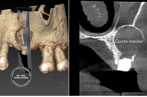
En odontología, la detección temprana de afecciones como los quistes maxilares es crucial, ya que pueden pasar desapercibidas durante meses si no se identifican en una revisión rutinaria. Un quiste maxilar se define como una cavidad anómala dentro del hueso maxilar, superior o inferior, que se caracteriza por estar recubierta por una membrana epitelial y que puede contener líquido, aire o material semisólido.

El objetivo de este artículo es proporcionar una visión detallada del procedimiento de marsupialización en el tratamiento de queratoquistes odontogénicos, una alternativa al tratamiento estándar de enucleación.
¿Qué es un Queratoquiste Odontogénico?
El queratoquiste odontogénico es una tumoración quística cuya cápsula está formada por epitelio escamoso derivado de la lámina dental o el epitelio odontogénico primordial. Representa aproximadamente el 10% de todas las lesiones quísticas que se manifiestan en los maxilares.
Es localmente agresivo, recidiva con frecuencia y, ocasionalmente, se asocia con displasia epitelial o incluso carcinoma epidermoide. Radiológicamente, es raro que presentes reabsorciones radiculares. El diagnóstico está basado en las características histológicas.
El diagnóstico diferencial más importante es el quiste folicular que se caracteriza por un revestimiento escamoso de espesor variable.
Tratamiento de los Queratoquistes Odontogénicos
El tratamiento de los queratoquistes odontogénicos es objeto de constante discusión ya que la tasa de recidiva publicada es elevada (en torno al 30%). El tratamiento estándar es la enucleación, pero dado que la cápsula es típicamente fina y friable, se suele fragmentar durante la extirpación.
La resección incompleta de la cápsula así como la presencia de microquistes en el tejido conectivo circundante predispone a la recidiva o persistencia de la tumoración. Otros métodos empleados son curetaje, la crioterapia, la ostectomía periférica y la aplicación de sustancias químicas fijadoras al hueso circundante.
La alternativa es el tratamiento por medio de descompresión y marsupialización. La descompresión impide que el quiste siga expandiéndose, ya que parece que el crecimiento de los quistes responde a una combinación de presión osmótica y reabsorción por presión y a la liberación de prostaglandinas y factores de crecimiento.
La descompresión puede llevarse a cabo por medio de la simple aspiración de líquido o bien convirtiendo la cavidad quística en una bolsa que se abre a otro medio (marsupialización: derivado del griego marsupial- bolsa).
Los quistes mandibulares se marsupializan a la cavidad oral, los maxilares pueden abrirse a la cavidad oral o bien ocasionalmente también a la cavidad nasal o al seno maxilar. El tratamiento por medio de descompresión y marsupialización se describió a finales del siglo XIX en la literatura alemana por Partsch.
En ese momento era el tratamiento de elección, ya que era todavía la era preantibiótica y la enucleación quística con frecuencia derivaba en dehiscencias e infecciones locales. Con el advenimiento de los antibióticos, la enucleación con sutura directa de la mucosa pasó a ser el tratamiento habitual de estas lesiones.
En 1991 Brondum y Jensen publicaron un seguimiento a largo plazo de 44 queratoquistes odontogénicos. La tasa global de recidivas era un 18%, pero en un pequeño grupo de 12 pacientes que habían sido tratados con descompresión y marsupialización no había ninguna recidiva en un periodo de seguimiento de 7 a 17 años.
Posteriormente este mismo grupo publicó sus resultados en un total de 23 pacientes tratados con descompresión e irrigación, con la aparición de recidivas en 2 de 23 casos (8,7%).
Técnicamente, la marsupialización consiste en practicar una apertura formal de un centímetro de diámetro, y si es posible suturar la mucosa oral a la pared quística. La apertura debe mantenerse abierta bien por medio de un taponamiento o mediante la inserción de un stent que impida el cierre.
En la mandíbula la tendencia a que la apertura se cierre es mayor que en el maxilar. El proceso debe ir seguido de al menos dos irrigaciones diarias con clorhexidina.
Ocasionalmente, la marsupialización lleva a la completa resolución de la lesión en el plazo de unos meses. Con el tiempo se reduce el tamaño de la lesión y en la mayoría de protocolos se lleva a cabo una enucleación pasados 10-12 meses.
En el momento de la quistectomía, la cápsula está engrosada y se adhiere menos al hueso, y en un 60% de los casos no presenta ya las características histológicas del queratoquiste odontogénico, y es negativo para la citoqueratina 10. Esto puede deberse a una metaplasia del revestimiento del quiste o al crecimiento de la mucosa oral.
La tasa de recidiva publicada con este método es inferior al 10%. La selección de casos para este método debe ser cuidadosa, ya que el paciente debe llevar a cabo unas dos irrigaciones diarias durante varios meses.
Fracasa sobre todo en aquellos casos multiloculados en que quedan cavidades que no están abiertas a la cavidad oral. Este hecho puede minimizarse eliminando cuidadosamente todos los tabiques en la cirugía de descompresión.
Los tratamientos para un quiste maxilar van a depender principalmente del diagnóstico que realice el odontólogo. La forma más común de tratar un quiste maxilar es la extirpación del mismo a través de una cirugía, que debe ser realizada por un especialista como lo es un cirujano maxilofacial.
Cuando el quiste es producto de una infección, el dentista puede recurrir a una endodoncia para eliminar la materia infectada que se produjo dentro del diente.
La marsupialización del quiste resulta una técnica menos invasiva y con menor riesgo de complicaciones que los tratamientos tradicionales.
Los primeros cuidados deben incluir control del dolor y de la inflamación, que es una consecuencia normal de la cirugía. Luego de 24 horas se puede comenzar la higiene de la boca teniendo cuidado con la zona de la cirugía.
Acudir a un dentista especializado como un cirujano maxilofacial en Madrid, tanto si detectas alguno de los síntomas o para los chequeos anuales que se recomiendan, permite un diagnóstico temprano y preciso.
No olvides que una buena higiene dental es el camino para una mejor salud bucal. Los controles dentales regulares en la Clínica Maxilofacial Madrid o en tu centro de atención más cercano son fundamentales en estos casos, puesto que estas lesiones suelen pasar inadvertidas.
Eliminación de QUISTE ODONTOGENICO mediante cirugía - Quiste en los DIENTES
Ventajas y Desventajas de la Marsupialización
Como cualquier procedimiento, la marsupialización tiene sus pros y sus contras:
Desventajas
- Dos intervenciones.
- Mantenimiento de una cánula o Stent durante varios meses.
- Lavados repetidos durante varios meses.
Ventajas
- Engrosamiento de la cápsula (mayor facilidad de extirpación).
- Disminución del tamaño de la lesión (menor riesgo de lesión de estructuras y de fractura).
- Menor tasa de recidiva.
Tabla Comparativa de Tratamientos para Quistes Odontogénicos
| Tratamiento | Ventajas | Desventajas | Tasa de Recidiva |
|---|---|---|---|
| Enucleación | Procedimiento estándar | Cápsula fina y friable, riesgo de resección incompleta | Aproximadamente 30% |
| Marsupialización | Menor riesgo de lesión, menor tasa de recidiva | Requiere cooperación del paciente, dos intervenciones | Inferior al 10% |
| Descompresión | Impide la expansión del quiste | Puede requerir intervenciones adicionales | Variable |

tags: #marsupializacion #quiste #dental