El sangrado de encías es un problema común que muchas personas experimentan en algún momento de su vida. Puede presentarse al cepillarse los dientes, al usar hilo dental o incluso de manera espontánea. Entender las causas y los tratamientos disponibles es crucial para mantener una buena salud bucal y prevenir complicaciones a largo plazo.

¿Qué son las encías inflamadas?
Las encías inflamadas son la hinchazón de este tejido blanco de la boca, por lo tanto, lucen más grandes o abultadas de lo habitual. Es una condición que ocurre por diversas razones y puede provocar desde síntomas leves que en ocasiones pasan desapercibidos, hasta problemas más graves.
Tipos de Inflamación en las Encías
- Gingivitis: Es la forma de inflamación de las encías más común y es la condición en su etapa inicial. Sus principales síntomas son el dolor y enrojecimiento del tejido gingival. Dentro de la gingivitis existen, otros tipos como la gingivitis del embarazo, la gingivitis por medicamentos o asociada a enfermedades sistémicas.
- Periodontitis: Es el tipo de inflamación que ocurre luego de una gingivitis no tratada. Se trata de una condición más severa que puede causar encías sangrantes, dolor severo e incluso la pérdida de piezas dentales. También afecta a los ligamentos periodontales, a las encías y al hueso.
- Periimplantitis: Es la inflamación que ocurre en los tejidos que rodean un implante dental, y puede llegar a causar la pérdida del implante.
Causas Comunes del Sangrado de Encías
El sangrado de encías suele ser consecuencia de la acumulación de placa bacteriana en la base de los dientes. La inflamación de encías (encías hinchadas, rojas y sensibles) suele deberse a la placa bacteriana.

La principal causa de las encías inflamadas es la acumulación de placa bacteriana debida a una higiene oral deficiente. La boca está llena de bacterias que forman una película pegajosa llamada placa dental sobre los dientes. Si no la eliminas correctamente con el cepillado y el hilo dental, la placa se acumula especialmente en el borde de las encías. Estas bacterias liberan toxinas que irritan e inflaman las encías, provocando gingivitis.
La gingivitis es la etapa inicial de la enfermedad de las encías: causa enrojecimiento, hinchazón y sangrado leve. Es muy común y reversible con una buena limpieza; pero si la placa persiste, puede endurecerse formando sarro y llevar a etapas más graves.
Cuando la placa no se retira a tiempo, se calcifica formando sarro (cálculo dental), un depósito duro adherido al diente que no se puede quitar con el cepillo normal. El sarro acumulado debajo de la línea de la encía mantiene la encía constantemente inflamada.
Si no se trata la gingivitis inicial, puede progresar a periodontitis, que es una infección más profunda de las encías. En la periodontitis, las bacterias avanzan debajo de la encía destruyendo el tejido de soporte del diente (ligamento y hueso). Esto agrava la inflamación y provoca síntomas más severos: encías muy hinchadas que pueden supurar pus, retracción (la encía se va “encogiendo” y dejando el diente más expuesto), movilidad dental e incluso riesgo de pérdida del diente.
Además de la gingivitis y la periodontitis, existen otros factores que pueden contribuir al sangrado de encías:
- Higiene oral deficiente: No tener una rutina de higiene bucal adecuada puede aumentar las probabilidades de que se forme sarro y placa dental y de que reproduzcan bacterias en el interior de la boca, lo cual provoca irritación en las encías.
- Cepillado agresivo: Un cepillado excesivamente agresivo puede dañar las encías y provocar sangrado.
- Cambios hormonales: Las fluctuaciones hormonales pueden volver tus encías más sensibles. Por ejemplo, durante la pubertad aumentan ciertas hormonas que pueden intensificar la respuesta inflamatoria de las encías ante la placa. En mujeres adultas, muchos notan que justo antes de la menstruación las encías se vuelven más rojas o sangran con facilidad (gingivitis menstrual). Y especialmente durante el embarazo ocurren cambios hormonales drásticos: el aumento de progesterona y estrógenos incrementa el flujo de sangre en las encías y puede debilitarlas frente a las bacterias. De hecho, es frecuente la gingivitis del embarazo: encías muy inflamadas, rojas y que sangran en el segundo o tercer trimestre. Los cambios hormonales del embarazo también pueden disminuir la capacidad del cuerpo para combatir la placa bacteriana, aumentando la probabilidad de inflamación.
- Deficiencias nutricionales: Una dieta pobre en ciertos nutrientes debilita la salud de las encías. En particular, la falta de vitamina C es conocida por causar encías inflamadas y sangrantes (esto es básicamente lo que ocurre en el escorbuto, una enfermedad por déficit de vitamina C). Este nutriente es clave para la reparación de los tejidos y la salud del colágeno en las encías. La carencia de vitaminas del grupo B o de hierro también puede manifestarse con encías más enrojecidas e inflamadas de lo normal.
- Medicamentos o enfermedades sistémicas: Algunos fármacos pueden tener efectos secundarios sobre las encías. Por ejemplo, ciertos medicamentos para la epilepsia (como la fenitoína), inmunosupresores o incluso bloqueadores de los canales de calcio (para la hipertensión) pueden causar crecimiento excesivo de las encías (hiperplasia gingival) e inflamación. Otros, como los antidepresivos o antihistamínicos, reducen la salivación causando boca seca, lo cual facilita la acumulación de placa y la irritación. Además, padecer enfermedades sistémicas como diabetes mal controlada o trastornos inmunológicos puede aumentar la propensión a infecciones en las encías y dificultar su curación.
- Tabaquismo: El fumar cigarrillos (o consumir tabaco en cualquier forma) es uno de los peores enemigos de las encías. El tabaco no solo introduce toxinas en la boca que irritan el tejido gingival, sino que además reduce la vascularización de las encías y “enmascara” la inflamación (las encías de fumadores avanzados pueden no sangrar mucho, dando falsa impresión de estar sanas mientras la enfermedad periodontal progresa por debajo). Los fumadores tienen mayor riesgo de gingivitis y, sobre todo, de periodontitis severa. Asimismo, el consumo habitual de alcohol fuerte puede irritar crónicamente las encías y favorecer su inflamación. Incluso algunos enjuagues bucales con alto contenido de alcohol pueden causar sensación de encías ardoridas o inflamadas en personas sensibles.
- Prótesis dentales o aparatos mal ajustados: Si utilizas una prótesis dental removible (como una dentadura postiza parcial o completa) que no ajusta bien, es muy probable que esté provocando roces constantes en la encía. Esa irritación mecánica repetida genera inflamación y enrojecimiento en el área de contacto. Del mismo modo, aparatos de ortodoncia fija (brackets) pueden contribuir a encías inflamadas, bien sea porque dificultan la higiene permitiendo mayor acumulación de placa alrededor, o porque alguna banda/el alambre pueda estar lesionando ligeramente la encía próxima. Los retenedores u otros dispositivos ortodónticos removibles también, si no se limpian y desinfectan adecuadamente, pueden alojar bacterias que irriten las encías. Por ello, es importante que cualquier aparato o prótesis esté bien adaptado por el dentista y realizar controles periódicos de ajuste.
- Factores genéticos y enfermedades periodontales: Hay personas que son más susceptibles a la formación de bacterias y las inflamaciones, lo que puede aumentar el riesgo de padecer enfermedades periodontales. Por tanto, de sufrir de encías inflamadas.
Síntomas de Encías Inflamadas
Es posible que te preguntes cómo saber si realmente tienes las encías inflamadas o cuáles signos acompañan a esta condición. Algunos de los síntomas más comunes incluyen:
- Enrojecimiento y cambio de color: Las encías sanas suelen ser rosadas pálidas. Si están inflamadas, toman un tono rojo intenso o incluso violáceo.
- Hinchazón o abultamiento: Al inflamarse, el tejido gingival se ve engrosado, abultado o sobresaliendo más de lo normal. Las papilas (triangulitos de encía entre diente y diente) se ven agrandadas.
- Sensibilidad y dolor de encías: Las encías inflamadas a menudo están sensibles al tacto - por ejemplo, molestia al cepillarte o morder alimentos duros. Pueden doler de forma sorda o pulsátil, especialmente si la inflamación es por infección aguda.
- Sangrado gingival: Es uno de los síntomas más comunes. Puedes notarlo al escupir la pasta dentífrica con hilos de sangre, o al pasar el hilo dental. En encías inflamadas incluso morder una manzana o pan duro puede provocar sangrado.
- Encías retraídas: Cuando la inflamación es crónica (como en periodontitis), la encía puede ir retrocediendo y dejando expuesta una porción mayor del diente. Notarás los dientes “más largos” o pequeños espacios negros entre dientes donde antes había encía.
- Mal aliento persistente: El halitosis o mal sabor de boca es frecuente cuando hay inflamación e infección en las encías. Las bacterias implicadas liberan compuestos sulfúricos de olor desagradable.
- Supuración (pus) en la encía: En casos de infección periodontal avanzada o absceso dental, la encía inflamada puede llegar a formar un flemón o bolsita de pus. Verás un punto blanco-amarillento en la encía muy roja, acompañado de dolor punzante.
- Movilidad en los dientes: En etapas avanzadas de periodontitis, al haberse dañado el hueso de soporte, los dientes pueden aflojarse.
Importante: En ocasiones la inflamación de encías puede pasar desapercibida en cuanto a dolor - por ejemplo, en una gingivitis inicial puede que solo veas un poco de sangre al cepillar pero no sientas dolor. No esperes a tener dolor para actuar.
Factores de Riesgo
Además de las causas directas, existen ciertos factores que aumentan tu riesgo de sufrir encías inflamadas o agravan una inflamación existente:
- Tabaquismo: Fumar cigarrillos o usar tabaco de mascar es probablemente el factor de riesgo más potente y a la vez prevenible. El tabaco disminuye la respuesta inmune de las encías y su flujo sanguíneo, facilitando que la placa cause daño sin mucha señal de alarma (poco sangrado).
- Diabetes mal controlada: La diabetes debilita la capacidad del organismo para combatir infecciones. Los niveles elevados de glucosa en sangre y saliva también fomentan el crecimiento bacteriano. Por eso, personas diabéticas (especialmente si no tienen buen control glucémico) sufren más inflamación de encías y periodontitis más agresivas.
- Cambios hormonales en la mujer: Como mencioné antes, etapas vitales como la pubertad, el ciclo menstrual, el embarazo o la menopausia implican variaciones hormonales que pueden volver las encías más vulnerables. Por ejemplo, en el embarazo el riesgo de gingivitis aumenta notablemente (se estima que entre 60-70% de embarazadas presentan encías inflamadas).
- Sistema inmune comprometido: Cualquier condición que afecte tu sistema inmunológico puede reflejarse en la salud de tus encías. Pacientes con VIH/SIDA, con leucemia u otros tipos de cáncer, o quienes toman medicamentos inmunosupresores (por trasplantes, enfermedades autoinmunes, etc.) suelen padecer problemas gingivales con mayor frecuencia y severidad.
- Estrés crónico: El estrés psicológico prolongado tiene impacto físico real: puede disminuir la respuesta inmunitaria y aumentar la inflamación sistémica. Se ha observado que personas con altos niveles de estrés o ansiedad son más propensas a sufrir periodontitis.
- Historia familiar (genética): La genética juega un papel en la predisposición a la enfermedad periodontal. Si padres o hermanos han tenido encías muy problemáticas o pérdida temprana de dientes por periodontitis, es posible que tengas mayor tendencia natural a reaccionar con inflamación frente a menos placa de la que le causaría problema a otra persona. La periodontitis agresiva de aparición en gente joven suele tener un componente genético importante.
- Mala posición dental o apiñamiento: Los dientes muy apiñados o mal alineados crean áreas de difícil acceso al cepillar, donde la placa se acumula con facilidad. Esos rincones se vuelven focos de gingivitis recurrente. Además, ciertas maloclusiones (mordidas incorrectas) pueden generar traumas en encías específicas.
- Uso de aparatos dentales: Como se explicó, llevar brackets fijos demanda extrema rigurosidad en la higiene, pues alrededor de los brackets y bandas tiende a quedarse placa que inflama las encías cercanas (gingivitis del aparatito). Del mismo modo, apoyos de prótesis parciales removibles metálicos que calzan sobre algunos dientes pueden irritar las encías de soporte.
- Dieta rica en azúcares/refrescos: Además de la desnutrición por falta de vitaminas, el otro extremo - comer abundantes azúcares refinados, carbohidratos y bebidas azucaradas - también es un factor de riesgo. Esos alimentos promueven el crecimiento bacteriano (causando más placa y ácido) y favorecen tanto caries como inflamación gingival.
Nota: Tener uno o varios factores de riesgo no implica que indefectiblemente sufrirás encías inflamadas, pero sí significa que debes poner mayor atención a la salud de tus encías. Por ejemplo, una persona fumadora y diabética debe ser especialmente cuidadosa con su higiene bucal y acudir a revisiones dentales con más frecuencia, pues tiene varios factores actuando en contra.
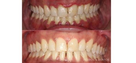
Tratamiento para las Encías Inflamadas
El tratamiento de las encías inflamadas dependerá de la causa y la gravedad del problema. En términos generales, existen dos ámbitos de actuación: los tratamientos profesionales que se realizan en la clínica dental y los cuidados o remedios caseros que puedes hacer en casa para mejorar la condición de tus encías. Lo ideal es combinar ambos: primero resolver la causa principal en el consultorio y, paralelamente, mantener buenos cuidados diarios.
😨 Que hacer si tengo ENCIAS INFLAMADAS Y SANGRANTES - Causas y Tratamientos (Que SI FUNCIONAN ✅)
El primer paso para frenar el sangrado de encías es mantener una correcta higiene bucodental.
Tratamientos Profesionales
- Limpieza dental profesional: El odontólogo podrá realizar una limpieza dental profesional para eliminar la placa y el sarro acumulado (aliviando la causa de la inflamación). Este procedimiento logrará eliminar estas condiciones y con ello las encías se irán desinflamando hasta mejorar por completo.
- Raspado y alisado radicular: En caso de una inflamación moderada, además de una limpieza dental profesional, el médico puede sugerir alisado radicular, que consiste en el raspado de la raíz del diente para eliminar y evitar que se siga formando placa y sarro, de esta forma se logra mejorar la hinchazón.
- Tratamiento quirúrgico: En casos más graves, puede ser necesaria una opción quirúrgica. Una gingivectomía es un tipo de cirugía bucal en la que el dentista elimina parte del tejido de las encías, en especial en aquellos pacientes que han desarrollado bolsas periodontales. Otra cirugía, que puede ser efectiva es el injerto de tejido gingival, este se realiza con el objetivo de cubrir la raíz de un diente que ha quedado expuesta, de esta forma se puede mejorar la condición de pacientes con encías retraídas y evitar el avance de enfermedades de las encías como la periodontitis.
- Antibióticos y enjuagues bucales: En casos de infección, el dentista puede recetar un enjuague especial o antibiótico si hay infección.
Cuidados en Casa
- Buena higiene oral diaria: Una rutina de higiene bucal adecuada es esencial para tener una salud dental óptima. Esto significa que para que las encías puedan estar sanas también es indispensable cepillarse al menos dos veces al día, durante dos minutos y complementar con enjuague bucal e hilo dental una vez al día. Al mantener limpias todas las zonas de la boca se puede evitar la reproducción de bacterias que es una de las causas de la encía inflamada.
- Enjuagues bucales antimicrobianos: Los enjuagues bucales antisépticos o antimicrobianos son una excelente opción para mantener la boca libre de bacterias.
- Enjuagues con agua y sal: También puedes optar por mezclar una taza de agua tibia con una cucharadita de sal, y con esto hacer gárgaras. La sal funciona como antiséptico, y es un remedio casero sencillo y efectivo, para aliviar la gingivitis.
- Dieta equilibrada: Seguir una alimentación equilibrada rica en vitaminas y evitar el tabaco son factores que contribuyen a la salud gingival.
¿Cuándo Acudir al Dentista?
Siempre que notes tus encías inflamadas de forma persistente, lo recomendable es consultar al dentista para un diagnóstico preciso.
Ante algunos signos de que la condición está empeorando o que, por el contrario, se han tomado medidas como los tratamientos antes mencionados, y no se observa mejoría se recomienda buscar atención de un periodoncista de inmediato, si se observa la presencia de algunos o todos los siguientes síntomas:
- Dolor fuerte que resulta insoportable.
- Sangrado abundante.
- Encías retraídas.
- Presencia de secreciones, como pus.
- Fiebre.
- Problemas para tragar.
- Dientes flojos.
Si tus encías “se quejan” a través de inflamación o sangrado, sobre todo de forma continua, toma eso como una señal de ¡acude al dentista! antes de que pueda progresar a daños mayores.
Prevención de la Inflamación de Encías
Prevenir el sangrado de encías y las enfermedades periodontales es posible con buenos hábitos de higiene y revisiones periódicas en la clínica dental.
- Cepillado adecuado y uso de hilo dental: Tal como lo indicamos, la higiene bucal es esencial para la buena salud bucal y como tratamiento para las encías inflamadas; pero también es una forma de evitar que las encías se inflamen. Cepillarse con la técnica adecuada, el tipo de pasta acorde a las necesidades de la persona y con el tipo de cepillo correcto permiten mantener tus dientes sanos y limpios. Además, utilizar hilo dental y enjuague bucal permite eliminar los residuos de comida y eliminar las bacterias que se acumulan en la boca.
- Dieta rica en vitaminas y minerales: Un déficit de vitaminas y minerales, como la vitamina C y A, hierro, calcio y fósforo, puede provocar que las encías se hinchen; por lo cual, es importante mantener una dieta saludable que aporte las vitaminas y minerales necesarios para mantener las encías sanas. En la dieta diaria se deben incluir alimentos como las frutas y verduras, legumbres, pescados, productos lácteos y cereales integrales si desea estar saludable y que sus encías estén bien cuidadas.
- Evitar el tabaco y el alcohol: Tanto el tabaco como el alcohol son hábitos que afectan la salud general de las personas. Y las encías no son la excepción. Ambos contienen elementos que dañan e irritan el tejido gingival. Por lo cual, se recomienda evitar su consumo para mantener una salud bucal óptima, y encías sanas.
Conclusión
El sangrado de encías no debe ignorarse. Aunque en algunos casos puede ser una molestia pasajera, en otros es una señal de alerta que indica la necesidad de atención profesional. En la clínica dental, se ofrece un enfoque integral para la salud de las encías, proporcionando diagnósticos precisos y tratamientos personalizados para cada paciente.
tags: #martin #encias #sangrantes