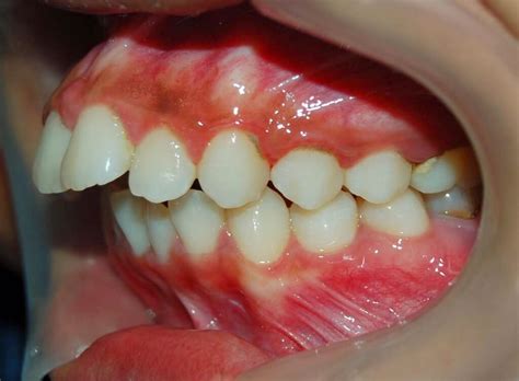
La protrusión dental, comúnmente conocida como "dientes de conejo", es un tipo de maloclusión caracterizada por un adelantamiento muy marcado de los incisivos superiores respecto de los inferiores. Las personas con esta posición en sus piezas pueden tener dificultades para mantener la boca completamente cerrada, ya que sus “paletas” asoman entre los labios. Esta característica sonrisa está asociada a los niños, pero lo cierto es que encontramos pacientes adultos con protrusión dental.

Identificación y Tipos de Maloclusiones
Existen diferentes tipos de maloclusiones dentales, por lo que puede ser confuso identificar adecuadamente ante cuál estamos. La protrusión dental viene en casi todos los casos acompañada de la clase II o prognatismo, caracterizada por un maxilar superior más adelantado que la mandíbula. En este caso, el origen de la maloclusión es esquelético, es decir, está en una incorrecta formación de las bases óseas faciales.
Causas de la Protrusión Dental
Las causas de la protrusión dental son variadas, incluyendo factores genéticos y hábitos durante la infancia.
Hábitos Infantiles
Es muy normal ver a recién nacidos chuparse el dedo con frecuencia, ya sea mientras está despierto o en las horas de sueño, como un acto casi involuntario. Durante los primeros meses de vida, las bases óseas están aún en formación, por lo que el movimiento continuado que requiere la succión del pulgar termina afectando al desarrollo de la boca. Otro hábito que, como padres, deberíamos vigilar es el uso prolongado tanto del chupete como del biberón. Al igual que sucede con el pulgar, el niño realiza ciertos movimientos bucales para mantener el chupe y beber del biberón.

Deglución Atípica
A diferencia de los puntos que acabamos de explicar, la deglución atípica no es una costumbre que podamos quitarle a nuestro hijo desde casa. Así, en lugar de posicionar la lengua en el paladar, el niño deglute apoyándola en la cara interna de los dientes superiores.
Herencia Genética
Por último, la herencia genética tiene un gran peso en el desarrollo de los bebés y es también una cuestión a tener en cuenta. Si los padres tienen maloclusiones, como la clase II, es probable que el bebé también la tenga.
Consecuencias de la Protrusión Dental
Más allá de la imagen, la protrusión acarrea problemas de desgaste dental. Al no tener la posición correcta, los dientes no pueden repartir de forma homogénea las cargas masticatorias. Además de esto, especialmente en casos muy severos, los niños tienen dificultades para hablar con normalidad. Es en los primeros años cuando aprenden los diferentes fonemas y, al chocar los dientes con la lengua, no pueden desarrollar correctamente sus habilidades comunicativas. Es común que los niños con protrusión dental tiendan a cecear.

Tratamientos para la Protrusión Dental
El tratamiento orientado a corregir los dientes de conejo es una ortodoncia.
Antes hemos comentado que conviene llevar a nuestro hijo a un ortodoncista a partir de los 5 años. Esto se debe a que, en este momento, sus bases óseas están en fase de crecimiento. Por el contrario, a partir de los 12 años, aproximadamente, el desarrollo esquelético facial concluye y ya no es posible actuar sobre los huesos a través de la ortodoncia.
Por ello, en caso de protrusión dental de origen esquelético en personas adultas puede llegar a ser necesario recurrir a una cirugía ortognática. Esta intervención siempre se combina con un tratamiento de ortodoncia. Como ves, lo más recomendable es actuar en edades tempranas y evitar tratamientos más invasivos en la adultez.
Para solucionar este problema sin necesidad de cirugía es necesario llevar a los niños a su primera revisión cuando se les mueven los primeros diente, alrededor de los 6 años. Esto permitirá detectar problemas de maloclusión y tratarlos con ortodoncia interceptiva.
Esta ortodoncia es un aparato removible que no sirven para colocar el diente, pero sí para cambiar la forma de los huesos maxilares. El ortodoncista determinará cuántas horas se debe llevar al día, dependerá de la gravedad de cada caso.
Una vez se pasa la etapa de crecimiento los huesos maxilares son inamovibles, la forma que tienen no se puede modificar a no ser que el paciente se someta a un tratamiento de cirugía ortognática para corregirlo.
Los que solo se someten a un tratamiento de ortodoncia y no modifican su hueso, tendrán los dientes colocados pero su problema de mordida proseguirá.
Los adultos suelen decantarse por tratamientos más estéticos como la ortodoncia invisible, una serie de alineadores transparentes que se cambian cada 15 días. Su gran ventaja es que nadie nota que se llevan puestos y puedes seguir el tratamiento cómodamente desde casa.
Hay adultos que prefieren llevar brackets, pero no suelen elegirlos metálicos, si no de cerámica o zafiro.
Otros se decantan por los brackets linguales, que se colocan en la cara interna del diente y tampoco se ven, pero es uno de los tratamientos de ortodoncia más caros.
😁 ¿Qué sabes de la ortodoncia? Ortodoncia invisible o brackets, tú eliges
Prognatismo Mandibular: Causas y Tratamientos
El prognatismo mandibular, también conocido como maloclusión de clase III, es un problema de la mordida que se refiere al excesivo desarrollo de la mandíbula. Dependiendo del grado de desarrollo de la mandíbula, este problema puede ser más o menos relevante para las personas que lo padecen.

Causas del Prognatismo Mandibular
El origen es esquelético y se debe a una alteración en el desarrollo de los huesos maxilares. En ocasiones, la descompensación es muy evidente y es fácil determinar que existe la patología. Otra posible causa es un defecto en la hormona del crecimiento.
Se podría decir que los trastornos respiratorios afectan a que la mandíbula no cierre correctamente. Por último, el prognatismo es muy común cuando existe una caída de las muelas de leche antes del tiempo debido.
Tratamiento del Prognatismo Mandibular
El tratamiento del prognatismo mandibular depende del diagnóstico de cada paciente. En el caso de que se detecte, identifique y planifique un tratamiento temprano, la solución será menos invasiva. Es muy importante llevar a tus hijos a una consulta con el dentista cuando son pequeños, sobre todo en casos de prognatismo.
De esta manera, el odontopediatra podrá realizar un seguimiento del crecimiento óseo de la mandíbula y los huesos faciales. Así, podrá determinar si es necesario planificar un tratamiento específico.
En los niños que padecen este problema en un grado más severo, la ortodoncia interceptiva es la clave. Este tipo de tratamiento tiene como objetivo guiar el crecimiento de las estructuras dentales de los niños.
Una vez finalizada la ortodoncia interceptiva, es el momento de planificar un tratamiento correctivo. Este tiene como función mejorar la alineación dental.
Como ya hemos adelantado, el tratamiento es totalmente diferente si el paciente es adulto. Esto se debe a que, en los pacientes adultos, ya no es posible modificar el crecimiento de las estructuras óseas.
El procedimiento es diferente dependiendo de cada paciente y su estructura mandibular.
Opciones de Tratamiento
- Ortodoncia: Para corregir la posición de los dientes y mejorar la mordida.
- Cirugía Ortognática: En casos severos, para corregir deformaciones y maloclusiones dentales.
- Mentoplastia: Para corregir un mentón sobredesarrollado.
El Pseudo-Prognatismo o Hipoplasia Maxilar
El pseudoprognatismo, hipoplasia maxilar, o falso prognatismo, es una malformación ósea en la que la mandíbula superior está subdesarollada. En la mayoría de los casos se trata de una anomalía del desarrollo, aunque también puede ser causada por factores externos, como extracciones dentales mal planificadas o falta de dientes.
En la mayoría de los casos de pseudoprognatismo, el maxilar está subdesarrollado no sólo en el plano anteroposterior, sino que también presenta deficiencias en el plano vertical o transversal, dando una apariencia hundida al tercio medio del rostro del paciente, y haciendo que la mandíbula inferior sobresalga y parezca muy grande, aunque en realidad tenga un tamaño normal.
Esta malformación se corrige con una cirugía ortognática monomaxilar, normalmente de avance maxilar.
Por otro lado, algunos pacientes pueden presentar ambas malformaciones: tanto prognatismo mandibular como hipoplasia maxilar; en estos casos, el menor desarrollo de la mandíbula superior propicia un mecanismo de compensación en la mandíbula inferior, por lo que ambas estructuras óseas deben corregirse a la vez con una cirugía ortognática bimaxilar.
¿Por qué tratar el prognatismo mandibular o clase III?
La característica común que define tanto un maxilar inferior prominente, como un maxilar superior retruído, es que en ambos casos el paciente presenta una maloclusión dental de Clase III, es decir, los dientes inferiores están delante de los dientes superiores, una condición que trasmite cierta dureza y agresividad a los rasgos faciales de los pacientes con este tipo de problema.
La solución del prognatismo mandibular o clase III resuelve problemas funcionales, como la dificultad para masticar o morder, dolor en la articulación temporomandibular (ATM), e incluso mejora la dicción del paciente (que en muchos casos presentan ceceo).
Además, tras la intervención también se consigue una gran mejoría estética: los rasgos faciales se vuelven más suaves, finos y armónicos entre sí, eliminando las trabas psicológicas que supone tener una deformidad facial.
Como ya hemos comprobado, el prognatismo mandibular supone un problema estético y puede complicar la calidad de vida del paciente si no se trata de forma correcta. Por ello, es importante acudir a revisiones, especialmente, si sufres algún síntoma claro.
Dependiendo de la edad y del grado de la maloclusión, los especialistas aplicarán un tratamiento que, generalmente, se resolverá con ortodoncia. Y, en algunos casos, también con cirugía. Por ello, si estás experimentando alguno de los síntomas mencionados, ¡no te rindas!
Tabla Resumen de Tratamientos
| Tratamiento | Descripción | Indicación |
|---|---|---|
| Ortodoncia Interceptiva | Aparatos removibles para modificar el crecimiento de los huesos maxilares en niños. | Niños con problemas de maloclusión detectados a temprana edad. |
| Ortodoncia Invisible (Alineadores Transparentes) | Alineadores transparentes que se cambian cada 15 días. | Adultos que buscan una opción estética y cómoda. |
| Brackets (Cerámicos o Zafiro) | Brackets estéticos que se adhieren a los dientes. | Adultos que prefieren brackets pero buscan una opción discreta. |
| Brackets Linguales | Brackets colocados en la cara interna de los dientes. | Adultos que buscan una opción completamente invisible. |
| Cirugía Ortognática | Corrección quirúrgica de los huesos maxilares. | Casos severos de maloclusión esquelética en adultos. |
tags: #maxilar #superior #adelantado