Las carillas dentales se han convertido en uno de los tratamientos de odontología estética más populares gracias a su sencillez y efectividad para mejorar la apariencia de los dientes. Estas láminas finas, generalmente de menos de un milímetro de espesor, se adhieren a la superficie frontal de uno o varios dientes con el objetivo de corregir problemas estéticos como fracturas leves, cambios de color, o incluso problemas patológicos originados por caries.

¿Qué son las Carillas Dentales?
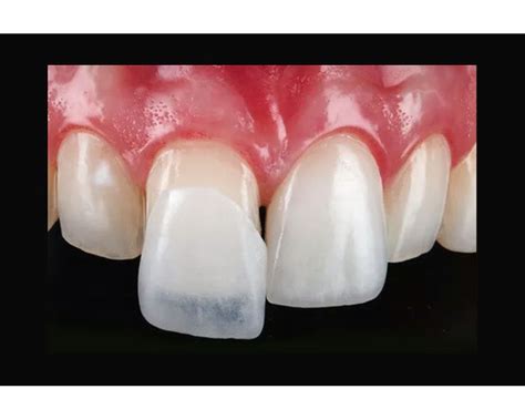
Las carillas dentales son láminas muy finas que se fijan sobre la parte visible de uno o varios dientes. Su principal objetivo es mejorar el aspecto de los dientes, ya sea para modificar su tamaño, color, forma o posición. Por tanto, tienen una finalidad puramente estética.
Pueden estar hechas de diferentes materiales, pero suelen ser de porcelana o composite. Por lo general, estas últimas suelen confeccionarse en la propia clínica dental con un material fotocurable, igual que el que se usa para hacer los empastes.
¿Quién Puede Llevar Carillas Dentales y Cuándo se Recomiendan?
Las carillas dentales son ideales para personas con imperfecciones dentales moderadas. También son una gran opción para aquellos que desean mejorar la estética de su sonrisa sin grandes alteraciones de los dientes. Las carillas pueden ayudarte a arreglar dientes torcidos, reparar dientes astillados o rotos, o cubrir manchas y decoloraciones antiestéticas.

Tipos de Carillas Dentales
Existen dos tipos principales de carillas: carillas del color del diente (composite) y carillas de porcelana. Las carillas de porcelana son más populares, pero las carillas de composite también son una opción viable.
Carillas de Composite
Las carillas de composite están hechas de resina compuesta. Este tipo de carillas requieren menos mantenimiento y son más económicas que las carillas de porcelana. La forma más habitual de colocar las carillas de composite es de forma directa, en la que un especialista diseña la carilla directamente sobre el diente sirviéndose de una guía.
Carillas de Porcelana
Las carillas de porcelana son más resistentes, duraderas y un poco más caras que las carillas de color del diente. Las carillas ultrafinas están fabricadas con porcelana feldespática, de gran calidad y resistencia. De hecho, cuidando correctamente las carillas, pueden llegar a durar 20 años. Como son algo translúcidas, dejan pasar la luz y por ello dan un resultado tan natural.
También existen las microcarillas, que tienen la particularidad de tener un grosor mínimo de 0,3 mm, similar al de una lentilla. Gracias a su ínfimo grosor, únicamente requieren de un mínimo tallado dental para alcanzar unos resultados naturales y estéticos.

Carillas Dentales Vs Diseño de Sonrisa | Lo que tienes que saber antes de decidir
Ventajas de las Carillas Dentales
- Enderezar dientes torcidos: Las carillas son una forma eficaz y no invasiva de corregir los dientes que están ligeramente torcidos. Suelen utilizarse para corregir los espacios entre los dientes o los que están ligeramente descentrados.
- Reparación de dientes astillados o rotos: Si tienes dientes rotos o astillados, puedes utilizar carillas para repararlos.
- Cubrir manchas antiestéticas y decoloración: Las carillas pueden ser una gran opción si tienes manchas antiestéticas en los dientes o decoloración que deseas cubrir.
- Alargar o ensanchar los dientes: Las carillas pueden utilizarse para alargar o ensanchar los dientes. Esto se denomina remodelación.
Riesgos y Consideraciones
Como todo tratamiento, también existen algunos riesgos a la hora de poner carillas dentales para arreglar los dientes torcidos:
- Puede ser difícil para usted comer ciertos alimentos: Las carillas pueden hacer que sea más difícil de masticar ciertos alimentos. Si no se tiene cuidado, podría astillarse o romperse las carillas.
- Puede ser difícil mantener los dientes limpios: Como las carillas no forman parte de los dientes naturales, puede ser más difícil limpiarlas.
- Puede haber riesgo de reacción alérgica: Existe un pequeño riesgo de que se pueda desarrollar una reacción alérgica al material de las carillas. Si notas enrojecimiento, hinchazón o irritación alrededor de las carillas, es posible que tengas una reacción alérgica.
Carillas sin Tallado
Las carillas sin tallado son aquellas que se colocan en la pieza sin alterar en absoluto su anatomía, es decir, sin reducir el volumen de esmalte natural. Sin embargo, las carillas sin tallado no siempre son una opción ideal. Esto se explica porque la carilla aumenta el grosor del diente.
El tallado dental la preparación de los dientes para la colocación de carillas está indicado ante la necesidad de lograr un cambio morfológico, mal posicionamiento, malformación o rotación de alguna pieza dental. Durante la preparación de las carillas dentales, los dentistas suelen desgastar o limar la capa superficial de los dientes.
Las carillas dentales sin tallado, cumplen con las mismas funciones que las carillas dentales normales, pero en estos casos la pieza dental del paciente deberá contar con unas características para poder colocarlas. Como ventaja podemos destacar: Al no tener que limar los dientes no es necesario usar anestesia, ya que no genera ningún dolor en el paciente.
Mantenimiento y Durabilidad
La duración de las carillas dentales está determinada por diversos factores, como los cuidados que siga el paciente en cuanto a higiene oral, alimentación, tabaco, hábitos, revisiones con el dentista, etc. Adicionalmente, la durabilidad del tratamiento también depende del material con el que están fabricadas las carillas y de la técnica de colocación (directa o indirecta).
Con unos cuidados y unos mantenimientos adecuados, son un tratamiento pensado para durar a largo plazo. Es necesario:
- Visitar a su dentista cada seis meses para que te hagan una limpieza y te revisen las carillas.
- Tener cuidado al comer.
- Limpieza adecuada de las carillas regularmente.
Alternativas a las Carillas Dentales
Siempre hay pacientes que prefieren otro tipo de tratamiento para corregir los dientes torcidos. Cada paciente es un caso y la voluntad de cada uno es respetada.
- Aparatos de ortodoncia: Si los dientes torcidos te causan vergüenza es posible que quieras considerar realizar un tratamiento de ortodoncia para enderezar los dientes.
- Coronas: Si tienes dientes dañados que necesitan ser arreglados, puedes considerar la posibilidad de ponerte una corona para reparar tus dientes.
- Rellenos: Si tienes decoloración en los dientes, existe la posibilidad de llenar el área con una resina compuesta blanca.
Precios de las Carillas Dentales
El precio de las carillas dentales varía según de qué material estén confeccionadas. A la hora de elegir un tipo de carillas u otro es necesario acudir a la clínica dental y que sea el odontólogo quien aconseje el tipo de carilla más conveniente, en función de las necesidades de cada paciente.
Ejemplo de financiación:
Importe de 604,00€ en 12 meses. Comisión de formalización del 2,00%: 12,08€ a pagar en la primera cuota. Importe financiado: 604,00€. Primera cuota de 64,47€. 10 cuotas de 52,39€ y una última cuota de 52,35€. TIN 7,45% TAE 11,82%. Total intereses: 24,64€. Coste total del crédito: 36,72€. Importe total adeudado y precio total a plazos: 640,72€. Precio de adquisición al contado: 604,00€.
| Material | Descripción |
|---|---|
| Disilicato de litio | Carilla sobre diente de disilicato de litio. Incluye revisión y seguimiento. |
| Composite | Material fotocurable utilizado para empastes. |
| Porcelana feldespática | Material de gran calidad y resistencia para carillas ultrafinas. |