Las encías inflamadas son un problema común de salud bucal que puede ser causado por diversas razones, como la gingivitis, la mala higiene dental o infecciones. Es importante cuidar las encías porque son una parte vulnerable de la boca y deben estar sanas.

Tener las encías inflamadas es un problema muy común en la ciudadanía española. De hecho, la Sociedad Española de Periodoncia y Osteointegración (SEPA) declaró en un informe que tan solo el 14.8% de los adultos entre 35 y 44 años tiene las encías sanas.
¿Cómo identificar las encías inflamadas?
Las encías inflamadas suelen tener un color más rojo o morado en lugar del rosado saludable. Pueden aparecer hinchadas y ser sensibles al tacto, especialmente cuando se cepillan o se usan hilos dentales. También pueden sangrar fácilmente, especialmente durante el cepillado o al comer alimentos duros.
Si experimentas estos síntomas, es crucial tomar medidas de inmediato para evitar que la inflamación empeore y se convierta en un problema más serio, como la periodontitis.
Causas de las encías inflamadas
La inflamación de encías puede deberse a múltiples factores, pero algunas de las causas más frecuentes son las siguientes:
- Gingivitis: La gingivitis se produce por depósitos de sarro que no se eliminan en la higiene diaria. Se suele manifestar con sangre durante el cepillado de los dientes. Esta es la primera fase de la periodontitis.
- Periodontitis: Surge si la gingivitis no se trata. Esta enfermedad destruye progresivamente encías, huesos y tejidos de la boca.
- Brackets o dentaduras: Estos aparatos pueden dificultar la higiene dental y por lo tanto podrían irritar las encías.
- Déficit nutricional: La falta de vitamina C o hierro también pueden ser un factor para provocar inflamación de encías.
- Medicamentos: El uso de determinados medicamentos puede provocar encías inflamadas como efecto secundario.
- Placa bacteriana: La principal causa de las encías inflamadas es la acumulación de placa bacteriana en los dientes y las encías.
😨 Que hacer si tengo ENCIAS INFLAMADAS Y SANGRANTES - Causas y Tratamientos (Que SI FUNCIONAN ✅)
¿Por qué sangran las encías?
Con la edad el sangrado durante el cepillado se vuelve más frecuente. Es importante no restarle importancia a esta situación y consultar con un dentista.
Es un síntoma -posiblemente acompañado de otras señales de alarma que solemos pasar por alto, como las encías hinchadas, enrojecidas o irritadas-, de la gingivitis, la fase inicial de la enfermedad periodontal.
Millones de adultos sufren alguna clase de enfermedad periodontal, aunque solo una parte muy pequeña se da cuenta, puesto que el dolor de encías no es un síntoma inicial. Lo positivo es que la fase inicial es prevenible si mejoras el cuidado bucal diario, sigues nuestros consejos y visitas con frecuencia al dentista para que este elimine la placa y el sarro mediante una limpieza.
Pero si no se trata, la sangre en el lavabo puede derivar en una enfermedad periodontal grave (periodontitis) que ataca a las encías, erosiona la mandíbula y es el principal motivo de la caída de los dientes. Si ves gotas de sangre, no esperes más para comenzar a mejorar tu rutina de cepillado, hilo dental y enjuague.

¿Por qué retroceden las encías?
Las encías retraídas son uno de los síntomas más evidentes de la enfermedad periodontal y se caracterizan por el hecho de que tus encías y el hueso se alejan del diente y dejan al descubierto una parte mayor de la parte inferior de este, dando lugar a una manifiesta recesión.
Este síntoma, también denominado retracción de las encías, deja la raíz del diente expuesta a las bacterias nocivas y la boca vulnerable a una inmensa variedad de problemas de salud. Si va acompañado de enrojecimiento e inflamación de las encías y estas sangran con el cepillado, es muy probable que se trate de la enfermedad periodontal en su fase inicial.
Es importante actuar con tiempo, ya que, si no las consecuencias pueden ser graves e irreversibles, como la pérdida de la dentina (tejido óseo, denso y duro que conforma la mayor parte del diente por debajo del esmalte y que mantiene el diente firmemente sujeto) y las raíces expuestas pueden ablandarse, doler o infectarse.
Tratamientos y Remedios Caseros para Aliviar las Encías Inflamadas
El tratamiento se centra en reducir la inflamación, eliminar la placa bacteriana y prevenir su acumulación futura.
- Cepillado dental: Cepíllate los dientes al menos dos veces al día con un cepillo de dientes suave y pasta dental fluorada.
- Limpieza dental profesional: Programa citas regulares para una limpieza dental profesional.
- Raspado y alisado radicular: En casos más graves, puede ser necesario un tratamiento llamado raspado y alisado radicular.
- Enjuagues bucales con agua tibia y sal: Uno de los más conocidos y efectivos es realizar enjuagues bucales con agua tibia y sal.
- Limón: Otro de los remedios que podemos utilizar es la utilización del limón.
- Té: El té también nos va a ayudar para las encías inflamadas, ya que tiene una solución antiséptica natural que es capaz de desinfectar y mejorar la curación.
- Alimentación equilibrada: En algunos casos por ciertas deficiencias de nutricionales puede parecer inflamación de las encías, por tanto, una dieta equilibrada puede solucionar el problema.
Remedios caseros para las encías inflamadas
Desde Listerine te proporcionamos una serie de consejos para evitar la inflamación de encías:
- Bebe agua: El agua puede eliminar los depósitos de alimentos y bacterias.
- Evita el consumo de alcohol y tabaco: El consumo de este tipo de sustancias puede dar lugar a encías irritadas.
- Utiliza hilo dental: Usar hilo dental por lo menos una vez al día para mantener una higiene bucal adecuada. Este alcanza sitios donde el cepillo no puede llegar.
- Cepíllate los dientes después de cada comida: Es importante lavarse los dientes al menos durante dos minutos.
- Alimentación equilibrada: Comer frutas y verduras, así como reducir la ingesta de alimentos y bebidas azucarados puede reducir el riesgo de tener encías inflamadas.
- Uso de colutorio: El colutorio y los enjuagues bucales después del cepillado ayudan a completar tu limpieza bucodental y a prevenir posibles enfermedades de encías.
Tratamiento con antibióticos
Actualmente en la clínica dental es posible tomar muestras de la placa bacteriana del paciente y enviarlas para realizar un estudio microbiológico mediante cultivo, PCR y antibiograma y así identificar de forma precisa las bacterias presentes e indicar de forma individualizada y personalizada la mejor antibioticoterapia para el paciente.
En caso de no realizar antibiograma, la bibliografía indica como antibioticoterapia de elección para periodontitis agresivas o severas la toma de AMOXICILINA 500MG y METRONIDAZOL 500MG cada 8h durante 10 días, y siempre realizando de forma concominante un tratamiento local que elimine el sarro supra y subgingival del paciente. Así combatimos de forma sistémica y localizada la infección.
Cabe destacar el efecto antabús del metronidazol con el alcohol y es necesario alertar a los pacientes. Por otro lado, la forma farmacéutica actual de metronidazol en las farmacias es de 250mg y no de 500mg, así que los pacientes deberán tomar 2 comprimidos de metronidazol y 1 comprimido de amoxicilina, siempre con receta médica y supervisión del médico o dentista. Puede ser necesario administrar protector gástrico, y es necesario tener en mente que no se puede administrar en embarazadas, y puede haber interacciones con el disulfiram y la warfarina.
Amoxicilina y Metronidazol son los 2 antibióticos de elección que actúan de forma sinérgica y cubren ampliamente el espectro de las bacterias periodontopatógenas.
El uso de Ibuprofeno para aliviar el dolor de encías
El ibuprofeno se ha utilizado ampliamente para aliviar el dolor y reducir la inflamación en diversas condiciones, incluido el dolor de encías. El ibuprofeno actúa bloqueando la producción de prostaglandinas, sustancias químicas que desempeñan un papel importante en la respuesta inflamatoria y en la generación de la sensación de dolor.
Es importante tener en cuenta que el ibuprofeno no trata directamente la causa subyacente del dolor de encías. Si el dolor es causado por una infección dental o una enfermedad periodontal, es fundamental abordar y tratar la causa raíz.
El ibuprofeno puede proporcionar un alivio temporal de los síntomas del dolor de encías, como el dolor, la hinchazón y la sensibilidad. Sin embargo, es importante tener en cuenta que el uso del ibuprofeno solo brinda un alivio temporal y no resuelve la causa subyacente del dolor de encías. Es fundamental consultar a un dentista para recibir un diagnóstico preciso y un tratamiento adecuado.
El ibuprofeno es un medicamento seguro y efectivo cuando se usa adecuadamente, pero es crucial tener en cuenta ciertas precauciones y advertencias antes de su uso.
Aunque el ibuprofeno es generalmente seguro, puede provocar efectos secundarios en algunas personas. Los efectos secundarios más comunes incluyen malestar estomacal, náuseas, acidez, mareos y somnolencia. En casos raros, pueden ocurrir reacciones alérgicas graves, como erupciones cutáneas, dificultad para respirar y hinchazón de la cara, los labios o la lengua.
Además, el ibuprofeno está contraindicado en ciertos casos, como en personas con antecedentes de úlceras estomacales, trastornos de coagulación, insuficiencia cardíaca grave, enfermedad renal avanzada o alergia conocida al ibuprofeno u otros AINE.
El ibuprofeno puede interactuar con otros medicamentos, lo que puede aumentar el riesgo de efectos secundarios o reducir la eficacia de ciertos tratamientos. Es importante informar al dentista o al médico sobre todos los medicamentos, tanto recetados como de venta libre, así como cualquier suplemento o producto herbal que se esté tomando.
Es fundamental seguir las indicaciones del profesional de la salud y respetar la dosis recomendada.
Si bien el ibuprofeno puede ser efectivo en el alivio del dolor de encías, existen algunas alternativas que se pueden considerar en combinación con el tratamiento recomendado por un dentista.
Aplicar compresas frías o calientes en el área afectada puede proporcionar alivio temporal.
Si el dolor de encías persiste, es importante buscar la opinión de un dentista.
Recuerda que es fundamental seguir las instrucciones de un profesional de la salud dental y no automedicarse. Cada caso de dolor de encías es único, por lo que es importante recibir un diagnóstico preciso y un plan de tratamiento adecuado.
Medidas adicionales para el cuidado de las encías
Además de considerar alternativas al ibuprofeno y buscar el tratamiento adecuado, existen medidas adicionales que se pueden tomar para cuidar las encías y prevenir el dolor dental.
- Evita el tabaco: Fumar o masticar tabaco daña las encías y puede provocar enfermedades periodontales.
- Controla el estrés: El estrés afecta la salud bucal.
- Programa visitas regulares al dentista: Acude a controles dentales periódicos para una evaluación y limpieza profesional.
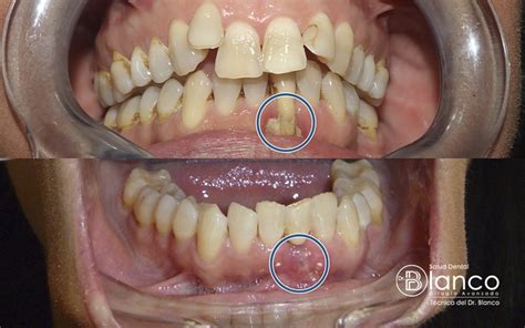
Posibles soluciones al retroceso de encías
Ahora bien, hay varias posibles soluciones al retroceso de encías como los injertos, que se llevan a cabo en casos donde el paciente necesita reparar daños y/o desea recuperar el buen aspecto de esa zona por una razón estética. Puede realizarse con fragmentos de la propia encía del paciente o con biomateriales sintéticos, que se integran perfectamente en su boca.
tags: #medicamento #para #las #encias #hinchadas