Lucir una sonrisa bonita y radiante puede estar al alcance de cualquiera. Cada vez más personas buscan mejorar la apariencia de sus dientes, no solo por cuestiones de salud, sino también por motivos estéticos que repercuten directamente en la autoestima y la confianza.

¿Por qué es importante mejorar la sonrisa?
Numerosos son los estudios que relacionan una sonrisa bonita con un aspecto saludable, una estética facial más atractiva o una mejor aceptación social, incluso a la hora de encontrar un trabajo. Una sonrisa amplia, brillante y sana es algo bello. Si no estamos conformes con la estética de nuestra sonrisa o con el aspecto de nuestros dientes, no hay que esconderlo.
Una boca funcional es indispensable para la salud general. Un ejemplo: si los dientes están desalineados o si falta alguna pieza, la acción masticatoria no es adecuada y nuestro sistema digestivo lo sufrirá. Por lo tanto, mejorar la sonrisa es un paso importante para ganar en salud y en calidad de vida.
Tratamientos de Estética Dental
La estética dental es una rama de la odontología orientada a mejorar el aspecto de los dientes, la boca y, en consecuencia, la sonrisa del paciente. A diferencia de otros procedimientos dentales que priorizan la función, los tratamientos de estética tienen como objetivo principal la armonía y la belleza dental. Gracias a estos tratamientos de estética dental podemos corregir pequeños defectos relacionados con el color, el tamaño o la forma de las piezas dentales.
Entre los procedimientos más demandados se encuentran el blanqueamiento dental, las carillas, las coronas y el relleno de espacios interdentales. Un dentista especializado en estética dental puede ofrecer una amplia gama de tratamientos diseñados para atender diferentes necesidades. Tanto si se está buscando la mejora de algunos dientes o de toda la boca, se puede realizar un tratamiento incluyendo toda la gama de soluciones dentales necesarias para lograr un resultado óptimo.
Ahora que ya sabes los tratamientos más demandados para mejorar la sonrisa, descárgate la app para tu simulación y empieza el tratamiento. Una vez que nos han dejado sin mascarilla por la calle, no hay nada mejor que mostrar una sonrisa para volver a ver nuestros rostros felices.
1. Blanqueamiento Dental
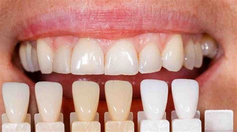
El color es una de las cuestiones que primero resaltan de una sonrisa. Lucir unos dientes blancos y sanos es una demanda habitual en aquellos que quieren mejorar su estética dental. Con este tratamiento es posible aclarar la tonalidad de los dientes que están decolorados o presentan problemas de manchas. El blanqueamiento dental es el procedimiento de la estética dental más común en los últimos años.
Con la edad, los dientes se oscurecen y pierden luminosidad. También pueden aparecer manchas a causa de ciertos alimentos, del tabaco o de pequeños traumatismos. Se puede realizar en la clínica con férulas blanqueantes y luz fría, en casa o combinar ambas posibilidades. En pocas semanas, el color de tus dientes se rebajará varios tonos. Es un tratamiento que te permitirá mejorar la sonrisa en apenas dos sesiones.

Tipos de blanqueamiento dental:
- En clínica: La primera sesión tiene lugar en las instalaciones del dentista y es el momento en el que se aplica peróxido de hidrógeno o peróxido de carbamida sobre los dientes, utilizando una luz especial para que se potencie su efecto. Su dentista puede realizar el tratamiento de blanqueamiento con tecnología LED en clínica.
- En casa: Finalizada esta sesión, te entregarán estos productos en una concentración mucho menor, además de una férula especial, para que puedas seguir el tratamiento en tu casa. Si lo prefiere el paciente, también puede hacerse este tratamiento de forma íntegra desde casa. Los resultados son muy similares y estables en el tiempo. Su dentista puede recomendar un blanqueamiento en casa, pero con este último tardarás entre dos y cuatro semanas hasta obtener resultados.
Cualquier sea tu elección, nosotros te recomendamos el mejor blanqueamiento de Estados Unidos GLO Science, disponible tanto para clínica como en casa. Lo que lo hace especial es que también dispone de unos viales, fáciles de usar para echártelos en cualquier momento o después de las comidas.
Los blanqueamientos dentales en casa sin ningún tipo de supervisión médica, además de muchas veces resultar ineficaces, están altamente desaconsejados.
2. Carillas Dentales
Las carillas dentales son láminas muy finas que se colocan sobre la superficie de los dientes. Son finas láminas que se adhieren a la superficie frontal del diente y nos pueden ayudar a cambiar tanto la forma como el color del mismo. Con el uso de estas facetas, un odontólogo especializado puede realizar desde grandes rehabilitaciones estéticas hasta mínimos cambios en nuestros dientes para lograr una mejora estética de nuestra sonrisa.

Tipos de carillas dentales:
- Carillas de composite: Este tipo de carillas es el más recomendable para solucionar problemas leves de color, forma o tamaño.
- Carillas de porcelana: A diferencia que las de composite, estas carillas dentales se elaboran previamente en el laboratorio dental. Son muy resistentes y son aptas para corregir deficiencias más graves. En unos casos esas láminas se fabrican en laboratorio y se adhieren al esmalte. Independientemente del proceso, es un tratamiento rápido, indoloro y de resultados naturales.
¿En qué casos se indica este tratamiento? Este tratamiento es ideal para conseguir sin dolor unos dientes blancos de la noche a la mañana, gracias a las carillas dentales también conseguiremos una mejor alineación de nuestra dentadura.Las finas láminas que se adhieren a los dientes para mejorar su apariencia, son muy eficaces y conseguirán crear una armonía en tu boca y poder ocultar ese diente que tanto detestas.
3. Ortodoncia Invisible
Ortodoncia invisible. Consigue una sonrisa perfecta con esta técnica
La ortodoncia invisible es la solución más moderna de enderezar los dientes, descrito como un “aparato dental” de última generación que consta en férulas transparentes personalizadas y se cambian cada 2 semanas. Cada alineador mueve los dientes hasta llegar a la posición deseada. Dientes mal alineados o arcadas que no encajan bien no son estéticas. Pero tal vez te hayas resistido a iniciar un tratamiento de ortodoncia precisamente por esa cuestión, porque los brackets son muy visibles.

Su funcionamiento es diferente a la de la ortodoncia tradicional. Trabaja con unos alineadores transparentes que ejercen presión sobre los dientes y fuerzan a que se muevan hacia su posición correcta. Esos alineadores son prácticamente imperceptibles, de manera que podrás sonreír abiertamente con ellos porque nadie lo notará. La ortodoncia invisible invisaling, es el tratamiento adecuado y más solicitado actualmente para mejorar la alineación de los dientes.Dile adiós a los antiguos Brackets y prueba nuestra cómoda ortodoncia invisible, no daña la estética visual de tu boca, además te ayuda a masticar y hacer la digestión mejor, cuando la alineación esté correcta.Tratamiento novedoso con la última tecnología, mucho más disimulados, casi imperceptible por el ojo humano. Con la ortodoncia invisible conseguimos una sonrisa estética y a la vez sana, un dos en uno!
Lo mejor de la ortodoncia invisible es que no se nota. En cuanto al precio, hay que tener en cuenta que hay muchas marcas con tarifas competitivas.
Con los nuevos tratamientos que realizamos actualmente, la ortodoncia ha dejado de ser una cosa de niños, y cada vez son más los adultos que se tratar con ortodoncia para corregir la posición de sus dientes, consiguiendo una sonrisa mucho más bonita y con un mejor pronóstico de esos dientes a largo plazo, ya que con este tipo de tratamiento facilitamos la higiene dental por parte de nuestros pacientes.
4. Implantes Dentales
La ausencia de piezas dentales afecta no solo al aspecto de la sonrisa y del rostro, también a la salud. Los implantes dentales se colocan con técnicas mínimamente invasivas. Significa que no sufrirás apenas molestias y el postoperatorio será rápido. Los implantes dentales han revolucionado el campo de la odontología, especialmente desde los últimos 15 años. Cuando has sufrido la pérdida de un diente de la parte delantera, la sonrisa se resiente mucho y nos da vergüenza hasta de abrir la boca al reírnos.

¿Has perdido masa ósea?
5. Estética Gingival
Además de para los dientes, existen otros tratamientos de estética que permiten que el estado de las encías no suponga un obstáculo para el equilibrio de tu sonrisa. Las encías juegan un papel clave dentro de la estética de la sonrisa, la denominada estética rosa, es igual de importante que el papel que juegan los dientes a la hora de tener una sonrisa bonita.
La muestra excesiva de encía, como sucede en pacientes con la denominada «sonrisa gingival», o una encías rojas y sangrantes, debido a la falta de higiene de las mismas, pueden afear de manera considerable unos dientes bonitos, blancos y grandes, que de lo contrario lucirían muchísimo más. Además de la estética propiamente dicha, el cuidado de las encías es primordial a la hora de realizar cualquier tratamiento estético, ya que en el caso de no hacer una fase higiénica previa, en pacientes que lo necesiten, antes del comienzo del tratamiento estético, éste puede hacer más mal que bien a la salud de nuestros dientes, tanto a corto como a largo plazo.
Problemas comunes en las encías:
- Sonrisa gingival: se produce cuando al sonreír se muestra una cantidad excesiva de encía en la parte superior, dando la sensación de que los dientes son más cortos.
- Recesión gingival: en ocasiones, la encía está en una posición mucho más baja de lo normal y esto hace que, no sólo sea un problema estético, si no que en ocasiones existan problemas de sensibilidad al frío o al calor.
Diseño Digital de Sonrisa
El diseño de la sonrisa es una herramienta de planificación de tratamientos dentales que ayuda al odontólogo a tener una mejor visión diagnóstica de los problemas existentes a tratar. El plan de tratamiento se basa básicamente en el análisis exhaustivo de las proporciones dentales y faciales del paciente. El diseño de la sonrisa diagnóstica y planifica los diferentes tratamientos necesarios para corregir la amplia variedad de problemas dentales cosméticos y funcionales existentes.

Modernas herramientas informáticas permiten analizar las características faciales para diseñar una sonrisa perfecta, con la forma y tamaño de dientes más adecuados. Pero la tecnología permite mucho más en el diseño digital de sonrisas. Permite realizar varias simulaciones de diferentes sonrisas para que puedas elegir la que creas que te sentará mejor. Sea cual sea tu tratamiento dental digital, gracias al software de diseño de sonrisa podrás ver tus resultados incluso antes de empezar el tratamiento. El diseño de sonrisa ayuda a crear tu futura sonrisa basándose en técnicas digitales en ordenador, de la manera que puedas beneficiar de la sonrisa que mejor se adapta a tus rasgos faciales y a tu personalidad.
Esta disciplina odontológica valora la situación y los diferentes aspectos de los dientes, diseñando un plan de tratamiento que mejore su apariencia. Cada caso es diferente, por lo que es importante evaluar todos los aspectos, discutir los objetivos y recomendar las opciones de tratamiento que sean más apropiadas para cada persona. seguir, desde la dimensión y posición de cada diente hasta su forma o color.
La primera etapa implica el propio diseño del plan de tratamiento para lo que será necesario tomar impresiones de la boca para planificar los tratamientos necesarios. En ciertos casos se puede colocar lo que denominamos “mock up” que no es más que un boceto del resultado final a conseguir para que el paciente tenga una idea de los cambios que va a implicar el tratamiento.El resto de los trabajos dentales se realizarán durante la segunda etapa, una vez aceptado el planteamiento del diseño de la sonrisa.
Recomendaciones para una Sonrisa Perfecta
Además de aplicarte el tratamiento, vamos a daros una serie de recomendaciones que tenéis que cumplir para conseguir esa sonrisa perfecta que tanto buscamos. Son las siguientes:
- Evitar consumir en exceso productos con alto contenido en azúcares, tanto bebidas como comidas.
- El cepillo de diente que usemos diario, debe tener cerdas suaves para no dañar la superficie del diente, además debe ser cambiado cada 3 meses.
- Complementar el cepillado de dientes con el hilo dental o enjuague bucal.
- Dejar de fumar o minimizarlo al máximo, es el causante del mal aliento, decoloración de dientes y pérdida de estos.
- Realizar una limpieza bucal profesional en el dentista una vez al año.
- Cepillarse 3 veces al día, como siempre nos han dicho nuestros padres y abuelos.
- Incluir en nuestra alimentación, productos altos en minerales y vitaminas A,C,D y K. Nos servirá para fortalecer los dientes.
Con estas recomendaciones y los tratamientos arriba mencionados, tendremos más fácil lucir sonrisa perfecta.
Consideraciones Finales
Como has podido observar, existen múltiples tratamientos y claves para mejorar el estado de tu sonrisa. Además de las ventajas estéticas que presentan, suponen una mejora emocional: no solo consigues un mejor aspecto, sino que tu autoestima y confianza se ven reforzadas. Los distintos tratamientos de diseño de la sonrisa contribuyen de forma directa a mejorar la autoestima y la confianza de las personas. Se recupera la seguridad y eso repercute en el bienestar general.
Es fundamental que antes de someterse a cualquier tratamiento, el paciente pase por una evaluación bucal completa. La elección de un dentista adecuado es clave para garantizar la seguridad y la calidad de los resultados en estética dental. Un profesional con experiencia sabrá identificar estas limitaciones y proponer un plan de tratamiento personalizado.
Los tratamientos necesarios para lograr el objetivo planteado se adaptan a las necesidades únicas de cada paciente, por ello, el precio del diseño de sonrisa, como se ha mencionado anteriormente, dependerá de los procedimientos que se decidan incorporar en el tratamiento global.
La vida se ve de otra manera cuando se sonríe. Un gesto tan sencillo y que no cuesta nada nos ayuda a sentirnos mejor, a encarar las dificultades con más energía y a relacionarnos con mayor facilidad. No importa que la genética no nos haya dado una sonrisa perfecta o que un pequeño accidente haya hecho que perdamos alguna pieza. La odontología moderna ha incorporado la tecnología más innovadora y nuevos materiales en sus diferentes tratamientos, también en lo que se refiere a odontología estética. Son muchos los beneficios.