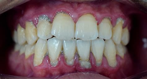
El sarro dental, también conocido como cálculo dental, es una acumulación endurecida de placa bacteriana que afecta tanto la estética de tu sonrisa como tu salud bucal. A diferencia de la placa, el sarro no se elimina con el cepillado convencional.

En este artículo, descubrirás cómo quitar el sarro de los dientes de forma segura, ya sea con ayuda profesional o con algunos remedios complementarios desde casa.
¿Qué es el Sarro Dental y Cómo se Forma?
El sarro se forma cuando la placa bacteriana no se elimina correctamente y se mineraliza con el tiempo. La mala higiene bucodental es la principal causa de su aparición. Cuanto más tiempo dejes que el sarro dental permanezca en tu boca, más bacterias se acumularán a su alrededor. Estas bacterias pueden empezar a corroer el esmalte dental, favoreciendo la decoloración de los dientes y la aparición de caries.
Para saber si tienes sarro dental, lo primero que puedes hacer es mirarte en el espejo. También puedes palpar alrededor de los dientes con la lengua. La forma más efectiva de detectar si tienes sarro dental es acudir a tu dentista para que te haga un examen profesional.
Métodos Profesionales para Eliminar el Sarro
La manera más segura y eficaz de eliminar el sarro es acudir al dentista para realizar una limpieza dental profesional o tartrectomía. En España, el precio oscila entre 50 € y 80 € por sesión.
En la clínica, se dispone de tratamientos avanzados para abordar la acumulación de sarro. La limpieza profunda es un tratamiento que se realiza para eliminar el sarro que se ha acumulado tanto por encima como por debajo de la línea de las encías. Este procedimiento no solo elimina la placa y el sarro, sino que también ayuda a prevenir la inflamación de las encías y otros problemas de salud bucal.
Cuando el sarro ha invadido la zona subgingival, se requiere un curetaje. Este tratamiento es más profundo y puede requerir anestesia local. Para eliminar el sarro que ha crecido más profundamente debajo de los tejidos blandos que sostienen los dientes, es necesario un tratamiento distinto, que recibe el nombre de raspado y alisado radicular, o curetaje, que sí necesita anestesia local.
En Clínicas Cleardent son expertos en eliminación de sarro sin dolor, utilizando ultrasonidos de última generación y garantizando una atención personalizada.
Remedios Caseros para Complementar la Limpieza Dental

Algunos remedios pueden ayudar a prevenir o reducir la acumulación de placa, pero no eliminan el sarro ya formado. ⚠️ Importante: Usar estos métodos en exceso puede dañar el esmalte o las encías.
En los últimos años, ha crecido el interés por las alternativas naturales para el cuidado bucal. Muchos buscan métodos más suaves y ecológicos para mantener su salud oral, evitando productos con ingredientes artificiales o químicos. Desde aceites esenciales hasta enjuagues con hierbas, la medicina tradicional y las tendencias modernas convergen en este campo. Pero, ¿realmente funcionan estas alternativas naturales?
¿Remover Sarro Dental en 5 minutos con Remedios Caseros?
- Oil Pulling con Aceite de Coco: El oil pulling, o enjuague bucal con aceite de coco, es una práctica ancestral de la medicina ayurvédica. Consiste en enjuagar la boca con aceite de coco durante unos 15-20 minutos, con la idea de que las propiedades antibacterianas del aceite eliminarán toxinas y mejorarán la salud bucal. Un estudio publicado en el Journal of Clinical and Diagnostic Research encontró que el uso de aceite de coco como enjuague bucal puede reducir los niveles de placa y gingivitis.
- Bicarbonato de Sodio: El bicarbonato de sodio es un abrasivo suave que ha sido utilizado durante décadas como blanqueador dental casero. Para crear una pasta eficaz, se puede mezclar una cucharadita de bicarbonato de sodio con un poco de agua. Esta mezcla debe aplicarse sobre el cepillo de dientes y usarse para limpiar los dientes durante aproximadamente dos minutos. Un artículo del Journal of the American Dental Association sugiere que el bicarbonato de sodio puede ser efectivo para remover manchas superficiales. Sin embargo, su uso excesivo puede desgastar el esmalte dental, lo que podría llevar a una mayor sensibilidad dental y otros problemas. Es importante tener en cuenta que el uso excesivo de bicarbonato de sodio puede desgastar el esmalte dental.
- Enjuagues con Sal y Bicarbonato: Los enjuagues con sal y bicarbonato son remedios populares para aliviar el dolor en las encías inflamadas o las aftas bucales. Un estudio del Journal of Indian Society of Periodontology sugiere que los enjuagues con agua salada pueden reducir la inflamación y combatir las bacterias que causan infecciones bucales.
- Aloe Vera: El Aloe Vera es conocido por sus propiedades curativas y antiinflamatorias, y ha sido utilizado para tratar problemas bucales como la gingivitis. Un estudio publicado en el Journal of Clinical and Experimental Dentistry encontró que los enjuagues bucales con Aloe Vera pueden ser tan efectivos como los enjuagues comerciales para reducir la inflamación de las encías.
- Carbón Activado: El carbón activado se ha popularizado como un blanqueador dental natural. La evidencia científica sobre la efectividad del carbón activado es limitada. Un informe del Journal of the American Dental Association señala que, aunque el carbón activado puede eliminar algunas manchas superficiales, su uso frecuente podría dañar el esmalte dental debido a su alta abrasividad.
- Té Verde: El té verde es una fuente rica en antioxidantes y polifenoles, que se ha demostrado que tienen efectos antimicrobianos. Un estudio en el Journal of Contemporary Dental Practice encontró que el té verde puede reducir las bacterias causantes del mal aliento. Además, los polifenoles presentes en el té verde pueden inhibir el crecimiento de bacterias relacionadas con la caries dental y la enfermedad periodontal.
- Limón: El limón es conocido por sus propiedades antibacterianas y blanqueadoras. Para preparar una solución eficaz, se debe exprimir el jugo de medio limón en una taza de agua tibia y mezclar bien. Es fundamental recordar que el ácido del limón puede erosionar el esmalte dental si no se enjuaga adecuadamente.
- Vinagre de Sidra de Manzana: Si la pasta de bicarbonato de sodio no es suficiente, entonces puedes probar a utilizar vinagre de sidra de manzana. Sólo tienes que mezclar partes iguales de vinagre de sidra de manzana y agua en una taza, y luego utilizarlo como enjuague bucal durante dos minutos cada día, más o menos.
La mayoría de estos remedios caseros tienen en común una cosa: aplicarlos puede implicar un severo daño en el esmalte dental. Además, ninguna de estas recomendaciones para eliminar el sarro será efectiva sin una higiene dental completa de forma regular.

Prácticas Esenciales de Higiene Dental
Implementar prácticas efectivas de higiene puede ayudar a reducir la acumulación de placa bacteriana y, por ende, la formación de sarro.
- Cepillado Adecuado: Un cepillado adecuado es fundamental para eliminar los restos de comida y la placa. Se debe utilizar una pasta dental con flúor y cepillarse al menos dos veces al día. El cepillado debe durar al menos 2 minutos, repasando las piezas dentales por todos sus lados. En este sentido, es aconsejable consultar cuál es el cepillo de dientes más adecuado en cada caso; eléctrico, manual, de cerdas suaves, etc.
- Hilo Dental: El hilo dental es una herramienta esencial para limpiar entre los dientes donde el cepillo no llega. Es recomendable usarlo una vez al día. Después de usar el irrigador y lavar los dientes, se pasa hilo dental entre los huecos de los dientes y encías. Esto nos asegura que ya no quede resto de alimentos en la boca, por lo que la producción de placa y sarro va a ser menor.
- Cepillos Interdentales: Los cepillos interdentales son útiles para alcanzar las áreas entre los dientes que un cepillo normal podría no limpiar adecuadamente. Su inclusión en la rutina diaria puede contribuir a reducir la acumulación de sarro.
- Enjuagues Bucales: Los enjuagues bucales con propiedades antibacterianas pueden complementar las técnicas de cepillado e hilo dental. Elimina la placa bacteriana utilizando un buen enjuague bucal, de hecho este debe ser el último paso para una limpieza dental completa en casa tras el cepillado y el uso del hilo dental.
- Irrigador Bucal: Utilizar un irrigador bucal es un sistema que, mediante agua a presión, nos permite realizar limpiezas bucales y eliminar los restos de suciedad que pueden quedar tanto en las encías como entre los dientes, accediendo a zonas que no sería posible con un cepillo de dientes. Se aconseja utilizarlo antes del cepillado. Siempre con agua templada para evitar un exceso de sensibilidad y ajustando la presión para no causar daños en las encías.
El Tipo de Cepillo de Dientes
El tipo de cepillo de dientes utilizado puede influir significativamente en la eficacia de la eliminación del sarro. Los cepillos eléctricos han demostrado ser más eficaces en la eliminación de placa bacteriana en comparación con los manuales, gracias a su capacidad para realizar movimientos oscilantes y rotativos. Cada vez más odontólogos recomiendan el uso de cepillo eléctrico en vez del cepillo manual ya que éste es capaz de eliminar la suciedad de los dientes de forma más certera. También te ayuda a limpiar la encía e incluso la lengua.
La Alimentación y su Impacto en la Salud Bucal
La alimentación desempeña un papel crucial en la salud bucal. Los alimentos ricos en azúcares y almidones son un caldo de cultivo para las bacterias, favoreciendo la formación de placa y sarro. Consumir frutas y verduras frescas, como manzanas y zanahorias, puede ayudar a limpiar los dientes de forma natural. Y no olvides que tu alimentación también es fundamental para prevenir la aparición del sarro. Come muchas manzanas y zanahorias, y evita, en la medida de lo posible, el pan de molde.
Pastas Dentales Anti-sarro
Existen pastas dentales formuladas específicamente para combatir el sarro. Estas suelen contener abrasivos suaves y agentes que ayudan a descomponer la placa.
Visitas Regulares al Dentista
Las consultas profesionales y el mantenimiento adecuado son fundamentales para garantizar una buena salud bucodental.