Lucir una sonrisa perfecta es el deseo de muchas personas, y los tratamientos de ortodoncia con brackets han demostrado ser una solución efectiva para lograrlo. A través de este artículo, exploraremos cómo los brackets pueden transformar la apariencia dental, los diferentes tipos de ortodoncia disponibles y algunos consejos para el cuidado dental.

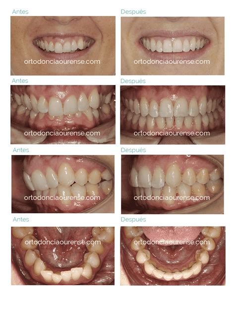
Casos de Éxito: Antes y Después de los Brackets
Y es que, rara vez, todos los dientes crecen en su lugar correcto de manera natural. A continuación, se presentan algunos ejemplos de transformaciones notables logradas con ortodoncia:
- Penélope Cruz: La reconocida actriz ha pasado por un notable cambio en su aspecto dental.
- George Clooney: El carismático actor también ha experimentado una mejora notable en su sonrisa.
- Paula Echevarría: La actriz y modelo ha sido otra de las famosas españolas que ha decidido mejorar su sonrisa.
- J Balvin: El reconocido artista también ha sido protagonista de una transformación en su aspecto dental.
- Miley Cyrus: La cantante ha dejado atrás los dientes manchados y ha optado por un blanqueamiento dental para lograr una sonrisa radiante.
Incluso el actor estadounidense Morgan Freeman se ha sumado a la tendencia de mejorar su sonrisa.
Tipos de Ortodoncia
Actualmente, la ortodoncia no tiene por qué ser sinónimo de meses de sufrimiento estético antes de poder lucir una sonrisa perfecta. Existen diversas opciones de ortodoncia, cada una con sus propias características y beneficios:
- Ortodoncia Metálica: Son los clásicos brackets.
- Ortodoncia Estética o de Zafiro: Es el paso intermedio entre los brackets metálicos y la ortodoncia invisible.
- Ortodoncia Lingual: Otro de los tratamientos de ortodoncia invisible.
- Ortodoncia Invisible (Invisalign): El verdadero secreto de la sonrisa de los famosos.
¿Cómo funciona la ortodoncia invisible o Invisalign? Resolvemos tus dudas de este tratamiento dental
Ortodoncia Invisible: Invisalign
Invisalign es un novedoso método de ortodoncia invisible que ha revolucionado el mundo de la odontología estética. Consiste en el uso de alineadores transparentes y removibles, fabricados a medida, que se colocan en los dientes para corregir su posición y alinear la dentadura.

Algunos famosos que han optado por Invisalign son:
- Mariló Montero: Decidió optar por el tratamiento de Invisalign para corregir ciertos problemas de alineación en su dentadura.
- David Broncano: Logró corregir pequeñas imperfecciones en su dentadura y conseguir una sonrisa más simétrica y atractiva.
- Nuria Roca: Decidió apostar por Invisalign para corregir ciertos problemas en su dentadura sin comprometer su imagen pública.
- Rey Juan Carlos de España: Decidió someterse a un tratamiento con Invisalign para corregir pequeños problemas de alineación en su dentadura sin que fuera perceptible.
- Reina Máxima de Holanda: Ha utilizado Invisalign para mejorar su sonrisa.
Casos Específicos Tratables con Ortodoncia Invisible
La ortodoncia invisible es una opción versátil que puede tratar diversos problemas dentales:
- Mordida Abierta: Pacientes con mordida abierta también son candidatos al tratamiento con ortodoncia invisible.
- Mordida Profunda: También es posible tratar con ortodoncia invisible las mordidas profundas.
- Ausencia de Incisivos Laterales: Es un típico caso para tratar con invisalign.
- Mordida Cruzada Anterior: Igualmente tratable con ortodoncia invisible.
- Diastemas en los Incisivos: Son un caso típico para ser tratados con ortodoncia invisible.
No obstante es muy importante que cada situación se estudie detenidamente.
Precio de la Ortodoncia Invisible
El precio de la ortodoncia invisible varía entre 2.500 euros y 4.900 euros. Cuanto cuesta la ortodoncia invisible será uno de los puntos que le detallaremos antes de empezar. Hay casos de ortodoncia invisible que son del precio barato.
Tratamientos Adicionales para una Sonrisa Perfecta
Además de la ortodoncia, existen otros tratamientos dentales que pueden complementar y mejorar la estética de la sonrisa:
- Carillas Dentales: Son finas láminas de porcelana o composite que se adhieren a la superficie de los dientes para corregir defectos estéticos como el color, la forma o el tamaño.
- Blanqueamiento Dental: Un procedimiento no invasivo que ayuda a eliminar manchas y decoloraciones en los dientes, devolviéndoles su brillo natural.
- Implantes Dentales: Una solución duradera para reemplazar dientes perdidos.
Problemas Dentales Comunes en Niños
Los problemas dentales en los niños pueden afectar no solo su salud bucal, sino también su bienestar general:
- Caries: Es una de las enfermedades más comunes en la infancia.
- Maloclusión: Se refiere a la mala alineación de los dientes y las mandíbulas.
- Gingivitis: Es una inflamación de las encías que puede causar enrojecimiento, inflamación y sangrado.
- Malos Hábitos Orales: Pueden provocar malformaciones en el desarrollo de la mandíbula y la posición de los dientes.
Para prevenir los problemas dentales en los niños, es esencial fomentar una buena higiene bucal desde una edad temprana.
Consejos para el Cuidado Dental
Como famoso, es crucial cuidar de tu salud dental para mantener una sonrisa impecable y radiante. Aquí hay algunos consejos:
- Realiza una buena higiene bucal en casa: Cepilla tus dientes al menos dos veces al día con una pasta dental de calidad, utilizando técnicas adecuadas de cepillado.
- Visita regularmente a tu dentista: Programa citas regulares con tu dentista para realizarte limpiezas profesionales y revisiones dentales completas.
- Evita malos hábitos que puedan dañar tus dientes: Evita morder objetos duros, como lápices o hielo, que puedan causar fisuras o fracturas en tus dientes.
- Adopta una alimentación saludable: Consumir una dieta equilibrada, rica en vitaminas y minerales esenciales para la salud dental, puede contribuir a mantener tus dientes y encías en buen estado.
Recuerda que una buena salud dental te ayudará a mantener una sonrisa deslumbrante a lo largo del tiempo.
Caso Clínico: Tratamiento de Mordida Abierta Severa
Este paciente de ortodoncia fue tratado en nuestra clínica en Barcelona durante 20 meses con brackets de autoligado y microtornillos. En la primera visita acude el paciente, de uno 35 años, buscando una solución para la maloclusión de mordida abierta anterior severa que presenta.

Al ver la boca del paciente hemos decidido hacer el estudio de ortodoncia y decidir si podemos solucionarlos con o sin cirugía. Al hacer el estudio de ortodoncia decidimos simular el tratamiento que planificamos y por esta razón retiramos los molares de los modelos superiores, que son los que tocan antes de los demás. Al subir, o eliminar en los modelos, los molares superiores la mordida se cierra.
Midiendo la cantidad de intrusión posterior de los molares superiores vimos que con tan solo 3mm de intrusión posterior podemos cerrar la mordida. En nuestras manos hacer 3mm de intrusión posterior es muy factible si usamos microtornillos.
Tratamiento Temprano con D-Gainer
Paciente de 12 años, acude con sus padres para «arreglarse la boca», presenta arcadas dentarias estrechas, apiñamiento moderado/severo y clase II (mandíbula returuida). Después del estudio (fotografías, radiografías, modelos y exploración clínica) observamos que están a punto de cambiarse todos los dientes de leche que le quedan en boca.
Se decide empezar lo antes posible con un D-Gainer del sistema de brackets de autoligado Damon, que no es más que un 2×4 que llamamos en ortodoncia, 2 brackets en los molares y 4 brackets en los incisivos con unos muelles que mantienen el espació y ayudan a la expansión.
El objetivo del 2×4 o D-Gainer es ganar espacio antes de que salgan lo caninos definitivos, así conseguimos 2 objetivos principales;1.