Los dientes inclinados hacia dentro son una preocupación común que afecta tanto la estética como la salud bucodental. Afortunadamente, existen diversas soluciones y tratamientos para corregir esta condición y lograr una sonrisa alineada y funcional.
Causas de los Dientes Inclinados Hacia Dentro
Los dientes torcidos de abajo o de arriba pueden deberse a varios factores. A continuación, exploraremos las causas más comunes en diferentes etapas de la vida:
Factores Genéticos
La genética juega un papel importante en la forma y el tamaño de la boca. La herencia de ciertos rasgos dentales puede predisponer a la maloclusión y al desarrollo de dientes inclinados hacia dentro.
Hábitos en la Infancia
Existen otros hábitos, normalmente inconscientes, que pueden contribuir a una desalineación continua de la mandíbula y al apiñamiento de los dientes. La succión del pulgar, el uso prolongado del chupete o incluso el hábito de respirar por la boca pueden influir en el desarrollo de dientes inclinados hacia dentro.

Hábito de chuparse el dedo puede causar dientes torcidos.
Pérdida Prematura de Dientes de Leche
La pérdida temprana de dientes de leche sin una adecuada secuencia de erupción de los dientes permanentes puede contribuir al desalineamiento dental.
Erupción de las Muelas del Juicio
Muchas veces, la erupción de las muelas del juicio puede crear una falta de espacio en las arcadas. Cuando estas erupcionan y la arcada es demasiado pequeña como para que quepan estas piezas dentales, se da lo que se conoce como apiñamiento dental, causando dientes torcidos o muy torcidos debido a la falta de espacio.
Periodontitis
La periodontitis es otro de los factores de riesgo para padecer de dientes torcidos. Debido a que en esta condición va disminuyendo la fijación, es más fácil que los dientes se muevan, por lo que las piezas pueden sufrir alteraciones en su posición, pudiendo llegar a la pérdida de alguna de estas.
Traumatismos
Cualquier tipo de trauma facial puede provocar el desplazamiento de los dientes. Los golpes o traumatismos también pueden alterar la posición de las piezas dentales y llegar a causar dientes muy torcidos.
Apiñamiento Dental
Los dientes montados o el apinamiento dental es la situacion en la cual los dientes se mueven a una posicion alterada, desalineandose al no disponer del espacio adecuado en la arcada dental.
Tengo Los Dientes Torcidos 😬 ¿Me puedo hacer Diseño de Sonrisa? 🦷 ¿Me Desgastan? - Odontología Láser
Tipos de Apiñamiento Dental
Existen diferentes tipos de apiñamiento dental, cada uno con sus propias características y causas:
- Apinamiento Primario: Es el apinamiento genetico o por causas propias del paciente, se produce cuando los dientes son demasiado grandes o el espacio disponible en los huesos es demasiado pequeno.
- Apinamiento Secundario: Ocurre por factores externos o ambientales, como por ejemplo, la perdida prematura de un diente temporal por caries que provoca el cierre de espacio y de esta manera la arcada dentaria se acorta y el espacio para la erupcion de los dientes permanentes se hace mas pequeno.
- Apinamiento Terciario: Es el apinamiento tardio, se produce normalmente hacia el final de la adolescencia. Lo que se puede decir claramente es que en individuos con muelas de juicio impactadas tienden a tener mas apinamiento en la zona anterior.
Consecuencias de los Dientes Torcidos
Las consecuencias de tener los dientes torcidos no son solo estéticas, sino que puede acarrear problemas para la salud bucodental:
- Caries, sarro y periodontitis: El apiñamiento y los dientes torcidos dificultan el acceso del cepillo a las zonas donde se da este problema, creando acúmulo de sarro, la aparición de caries y pudiendo llegar a causar periodontitis.
- Desgaste dental: Cuando hay dientes torcidos o inclinados puede darse un exceso de fricción dental en ciertas zonas que puede derivar en el desgaste de dichas piezas.
- Maloclusión: Otra de las consecuencias frecuentes de este tipo de problemas es la maloclusión dental.
- Recesión gingival: Debido al movimiento dentario, los dientes torcidos pueden ir migrando del hueso, causando la recesión gingival.
Soluciones y Tratamientos para los Dientes Inclinados Hacia Dentro
Afortunadamente, existen diversas opciones de tratamiento para corregir los dientes inclinados hacia dentro y lograr una sonrisa alineada y saludable:
Ortodoncia Interceptiva
La ortodoncia interceptiva es aquella que se realiza en niños para prevenir maloclusiones dentarias antes de que estas se den. Debido a que en esta etapa de la vida la mandíbula aún está en desarrollo, con la ortodoncia interceptiva se pueden prevenir malformaciones dentales o mandibulares.
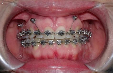
Ortodoncia con Brackets
El tratamiento ortodóncico convencional con brackets metálicos o cerámicos es una opción efectiva para corregir dientes inclinados hacia dentro. Aunque se puede iniciar un tratamiento de ortodoncia a cualquier edad, es recomendable empezar lo antes posible para evitar o arreglar los dientes torcidos.

Brackets de zafiro, una opción estética para la ortodoncia.
Ortodoncia Invisible (Alineadores Transparentes)
La ortodoncia invisible, como el uso de alineadores transparentes, se ha vuelto cada vez más popular. Estos dispositivos personalizados ofrecen una alternativa discreta y cómoda para alinear la sonrisa.

Alineadores invisibles para corregir dientes torcidos.
Una de las ventajas del tratamiento de ortodoncia invisible es que las férulas transparentes resultan prácticamente invisibles cuando las llevas y, además, no modifican la forma de tu cara.
Expansión Maxilar
En casos de paladar estrecho, se pueden utilizar disyuntores palatinos anclados en microtornillos (MARPE) para expandir el hueso maxilar. Esta técnica es menos invasiva que la cirugía ortognática y ofrece resultados fantásticos.

Disyuntor palatino anclado en microtornillos (MARPE).
Stripping Dental
El stripping dental consiste en pulir de manera minimamente invasiva los puntos de contacto entre los dientes y de esta manera generar espacios para poder alinear los dientes, este procedimiento esta limitado al esmalte del diente por lo que no tiene efectos secundarios.
Distalización de Molares
El procedimiento que nos gusta mas a la hora de tratar un apinamiento severo es el de distalizacion de los molares, aprovechando el espacio de las muelas de juicio, consiguiendo generar asi 4-5mm por lado en cada arcada (la superior y la inferior).
Retenedores
Después de completar un tratamiento de ortodoncia, es fundamental el uso de retenedores para mantener los resultados a largo plazo.
Importancia de Corregir la Angulación Dental
Corregir la angulación y posición de los dientes es fundamental para equilibrar la funcionalidad de la dentadura. Tener una maloclusión dental durante años nos lleva a morder irregularmente, causando daños en las piezas dentales.
¿Cómo Evitar que los Dientes Salgan Torcidos?
Para evitar que los dientes salgan torcidos, los niños a partir de los 5-6 años deben acudir a revisiones periódicas en el dentista. En algunos casos el especialista recomendará utilizar mantenedores de espacio dental removibles o fijos para evitar el apiñamiento y que los dientes salgan torcidos. La ortodoncia interceptiva también es eficaz para la prevención de los dientes torcidos. Además, otra forma de evitar que los dientes salgan torcidos es estar atentos a algunos hábitos de los más pequeños, como el uso prolongado de chupete y la costumbre de chuparse el dedo.
Maloclusiones
Tener los dientes inclinados hacia dentro es un signo de maloclusión, lo que nos indica que es un caso en el que se necesita ortodoncia para poder corregirlo.
A continuación, algunos tipos de maloclusiones:
- Maloclusión Clase I: Se caracteriza por la predisposición de padecer enfermedades bucodentales como gingivitis, inflamación amigdalar o periodontitis.
- Maloclusión Clase II: Se produce cuando los incisivos superiores están inclinados hacia dentro o hacia afuera de la cavidad oral, debido a la protrusión dental.
Tabla Resumen de Tratamientos
| Tratamiento | Descripción | Indicación |
|---|---|---|
| Ortodoncia Interceptiva | Aparatos removibles para guiar el crecimiento maxilar en niños. | Prevención de maloclusiones en edades tempranas. |
| Brackets Metálicos/Cerámicos | Aparatos fijos para alinear los dientes. | Corrección de maloclusiones en adolescentes y adultos. |
| Alineadores Invisibles | Férulas transparentes removibles para alinear los dientes. | Alternativa estética a los brackets tradicionales. |
| Expansión Maxilar (MARPE) | Disyuntor palatino anclado en microtornillos para expandir el maxilar superior. | Corrección de paladar estrecho en adultos. |
| Stripping Dental | Pulido mínimamente invasivo para crear espacio. | Apiñamiento leve a moderado. |
| Distalización de Molares | Movimiento de molares hacia atrás para crear espacio. | Apiñamiento severo. |
Si notas que tus dientes están inclinados hacia dentro o tienes cualquier otra preocupación sobre tu salud bucodental, no dudes en consultar a un ortodoncista. Un diagnóstico temprano y un tratamiento adecuado pueden marcar la diferencia en tu sonrisa y bienestar general.
tags: #dientes #inclinados #hacia #dentro