¿Estás buscando mejorar tu sonrisa y cuidar tu salud dental? En Santa Cruz de Tenerife, el Centro de Odontología Integrada (MV Dental) combina años de experiencia con tecnología avanzada para ofrecerte soluciones efectivas y duraderas.
Ya sea que busques una limpieza bucal profesional o un implante dental de titanio con corona de zirconio, el equipo de MV Dental se asegura de que cada tratamiento sea personalizado y seguro.

Ubicación y Contacto
El Centro de Odontología Integrada se encuentra en una ubicación privilegiada en Santa Cruz de Tenerife, España, específicamente en la Rbla. de Pulido, nº 16, 1º Piso Dcha, 38004.
Para programar una cita y obtener más información sobre sus servicios y tarifas, puedes contactar al centro a través del teléfono 922 096 207.
Horario: Lunes a Viernes de 9:00 a 20:00.
Recuerda que se requiere examen previo y que el cupón no incluye el TAC, que tiene un precio de 100 € y se realizará solo en caso de ser necesario para el paciente.
Servicios Ofrecidos
Este centro se especializa en clínica dental, ofreciendo una amplia gama de servicios dentales para satisfacer las necesidades de sus pacientes:
- Implantes dentales
- Coronas de zirconio
- Limpieza bucal profesional
- Otros tratamientos personalizados
Se realiza una evaluación previa a través de una radiografía 3D. La clínica ofrece el tratamiento con una garantía de 2 años. Las revisiones se hacen de forma anual, el precio de la revisión es de 40 €.
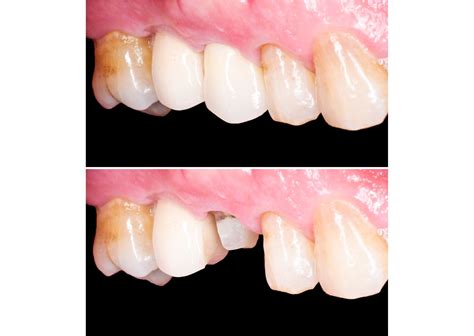
Todo lo que necesita saber sobre los implantes dentales antes de decidirse
Implantes Dentales: Una Solución Duradera
¿Estás buscando mejorar tu salud dental? El implante dental reemplaza la raíz del diente perdido, asegurando la fijación del diente artificial.
Su diseño roscado y su fabricación con materiales biocompatibles minimizan el riesgo de rechazo y facilitan la integración con el hueso. Además, contribuye a preservar el hueso alveolar, evitando su reabsorción al proporcionar el estímulo necesario.
Coronas de Zirconio: Estética y Funcionalidad
El zirconio permite crear prótesis de aspecto natural, con una textura ligera y resistente.
Su superficie lisa ayuda a reducir la acumulación de bacterias, lo que mejora la higiene bucal. Además, las coronas de zirconio disminuyen la sensibilidad térmica al consumir alimentos calientes o fríos, ofreciendo mayor confort.
Compromiso con la Inclusión y la Diversidad
Una de las características que destacan de este centro dental es su compromiso con la inclusión y la diversidad. Es un espacio amigable con LGBTQ+ y un espacio seguro para personas transgénero.
Opiniones de los Pacientes
La opinión media de los pacientes del Centro de Odontología Integrada es de 5/5, según 7 valoraciones en Google My Business.
Además, en plataformas como Groupon, los clientes han dejado opiniones verificadas sobre los servicios de MV Dental, destacando la calidad de la atención y los resultados obtenidos.
Sonrisas MVDental: Tu Guía en el Mundo de la Odontología
En Sonrisas MVDental, hemos creado un espacio único donde puedes encontrar toda la información que necesitas sobre clínicas dentales tanto en España como en Estados Unidos.
El cuidado dental es un aspecto fundamental en la vida de todas las personas, y en Sonrisas MVDental entendemos la importancia de encontrar un especialista de confianza. En nuestra plataforma, no solo tendrás acceso a un amplio directorio de clínicas, sino que también podrás leer opiniones de otros pacientes que han utilizado estos servicios.
La interfaz de nuestro sitio web está diseñada para que la navegación sea sencilla y efectiva. Puedes buscar clínicas por ubicación, tipo de servicio o incluso por nombre.
Una de las características más valiosas de Sonrisas MVDental es nuestra sección de opiniones. Aquí, los pacientes pueden compartir sus experiencias sobre diferentes clínicas.
Ya sea que necesites una consulta de rutina o un tratamiento especializado, en Sonrisas MVDental podrás encontrar la clínica ideal para ti. Nuestro directorio incluye tanto grandes hospitales como clínicas pequeñas, asegurando una variedad de opciones que se adaptan a tus preferencias y necesidades.
Una vez que encuentres una clínica que te interese, puedes ponerte en contacto directamente a través de la información proporcionada en nuestro sitio. Esto incluye números de teléfono, correos electrónicos y, en algunos casos, la posibilidad de solicitar citas en línea.
Además de ser un directorio de clínicas, en Sonrisas MVDental también ofrecemos artículos y recursos educativos sobre cuidado dental.
En Sonrisas MVDental, nos comprometemos a ofrecer un servicio de calidad y a mantener una base de datos actualizada y precisa. Trabajamos constantemente para verificar la información de las clínicas y asegurarnos de que los datos estén siempre al día.
Te invitamos a explorar Sonrisas MVDental y descubrir todo lo que tenemos para ofrecerte en el ámbito de la odontología. Nuestro directorio es la herramienta perfecta para encontrar clínicas dentales en España y EE. UU., así como para informarte sobre los diferentes tratamientos disponibles.

Información Adicional
- Reservas y cancelaciones: Con 24 horas de antelación.
- Menores de 18 años: Deben ir acompañados de un adulto.
- Anestesia: En caso de ser necesaria para la limpieza dental, se cobrará un suplemento de 10 €.
- Validez del cupón: 6 meses desde la fecha de compra.
- Límite: 1 cupón por persona, puedes regalar 1 adicional.