La elección del material adecuado para tu prótesis dental es clave para garantizar su durabilidad y estética. En la elaboración de estos sustitutos dentales se utilizan diversos materiales que cumplen con requisitos específicos de durabilidad, resistencia y compatibilidad con los tejidos bucales.
A lo largo de la historia, los materiales utilizados para las prótesis dentales han evolucionado significativamente. En tiempos antiguos, se empleaban materiales rudimentarios como huesos y marfil. Hoy en día, la odontología moderna ofrece una amplia gama de materiales avanzados que mejoran la funcionalidad y la apariencia de las prótesis.

Materiales Tradicionales con Mejoras Modernas
A pesar de la introducción de nuevos materiales, los metales siguen siendo una parte importante de las prótesis dentales, aunque en formas más avanzadas. Las aleaciones de titanio de última generación y las aleaciones de cromo-cobalto mejoradas son ejemplos de nuevos materiales para prótesis dentales que han optimizado las propiedades tradicionales de los metales.
Aleaciones de Cromo-Cobalto y Titanio
Los implantes de titanio son biocompatibles ofreciendo un alto índice de éxito.
Cerámica y Porcelana: Estética y Durabilidad
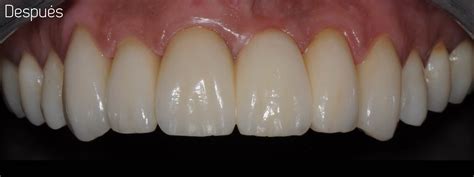
La porcelana, utilizada para la fabricación de coronas y carillas dentales, es apreciada por su apariencia natural y su capacidad para imitar la translucidez de los dientes naturales. Proporciona una apariencia realista que se integra perfectamente con las piezas existentes, mejorando la confianza del paciente. Además, tienen resistencia al desgaste y capacidad para soportar manchas.
Las cerámicas avanzadas han revolucionado el campo de las prótesis dentales, proporcionando una combinación única de resistencia y estética. Por otro lado, el disilicato de litio ofrece una translucidez similar a la de los dientes naturales, proporcionando una apariencia muy estética. Gracias a los continuos avances en la tecnología de materiales, las cerámicas modernas no solo imitan la translucidez y el color de los dientes naturales con una precisión impresionante, sino que también son extremadamente duraderas, capaces de soportar el desgaste diario durante muchos años.

Resinas y Polímeros: Versatilidad y Comodidad
Polimetilmetacrilato (PMMA). Estas resinas son comúnmente utilizadas en la fabricación de prótesis removibles, como dentaduras completas o parciales, debido a su versatilidad y costo accesible. Además, este material se caracteriza por su ligereza, porque su fabricación es relativamente sencilla, permiten ajustes y reparaciones con facilidad y ofrecen un buen aislamiento térmico, lo que significa que son menos sensibles a los cambios de temperatura.
El PMMA, mejorado con tecnologías modernas, ofrece una gran resistencia al desgaste y una estética superior. Los composites modernos, especialmente aquellos reforzados con fibra, son otro ejemplo destacado de nuevos materiales para prótesis dentales.
Fibra de Vidrio o Carbono
Estos materiales se incorporan a las resinas para mejorar la resistencia y la durabilidad de las prótesis, especialmente en aplicaciones parciales. Además de esta resistencia mejorada, la presencia de fibras en los polímeros mejora la durabilidad de estas piezas dentales, aportando una mayor capacidad para resistir el desgaste diario. Su aptitud para ser moldeados con detalle contribuye a la creación de prótesis más personalizadas y cómodas.
Óxido de Zirconio: Resistencia y Biocompatibilidad
El óxido de zirconio, apreciado por su durabilidad y cualidades estéticas, se ha convertido en un material destacado en la fabricación de coronas y puentes dentales. Entre sus ventajas más notables destacan su resistencia y durabilidad excepcionales. Esta característica la hace especialmente adecuada para coronas y puentes dentales, ya que puede soportar las fuerzas masticatorias diarias sin comprometer su integridad estructural. La durabilidad prolongada de la zirconia garantiza una solución dental confiable a largo plazo. Destaca también por su capacidad para imitar la apariencia natural de los dientes. Su translucidez y capacidad para reflejar la luz se asemejan de cerca al esmalte dental, lo que resulta en una estética excepcionalmente natural. Esta característica es esencial en la fabricación de coronas y puentes, ya que asegura resultados estéticamente agradables que se integran armoniosamente con la sonrisa del paciente. Es un material biocompatible, lo que significa que es bien tolerado por los tejidos bucales y presenta menos riesgos de provocar alergias o irritaciones.

PEEK: Una Innovación en Prótesis Removibles
PEEK, que significa Poliéter-éter-cetona, es un material de vanguardia que está transformando el mundo de las prótesis dentales removibles. Es ligero, resistente a la corrosión y altamente resistente al desgaste, lo que lo convierte en una elección ideal para prótesis dentales. Las prótesis Peek representan una de las últimas innovaciones en el campo de las prótesis dentales removibles. Este material ofrece una serie de beneficios, incluyendo su ligereza, durabilidad y biocompatibilidad. Comparadas con las prótesis convencionales, las prótesis Peek tienen la ventaja de ser más ligeras y cómodas. Además, al ser biocompatibles, son ideales para pacientes sensibles a ciertos materiales.
Materiales Híbridos: Lo Mejor de Ambos Mundos
Los materiales híbridos representan una innovadora categoría dentro de los nuevos materiales para prótesis dentales. Estos combinan lo mejor de varios materiales, como cerámicas y polímeros, para crear prótesis que son tanto estéticas como funcionales.
Prótesis Dentales Removibles: Opciones y Beneficios
Las prótesis dentales removibles son una solución efectiva cuando no se puede optar por una prótesis fija o un implante. Las prótesis dentales removibles son dispositivos de quita y pon, en contraposición a las prótesis fijas. Se adaptan a la arcada del paciente mediante ganchos metálicos que se fijan a las piezas dentales que aún conserva. La prótesis removible completa se utiliza en casos de pérdida total de dientes. Este tipo de dentadura postiza tradicional replica las piezas dentales y encías, ajustándose a la forma de la arcada del paciente. El odontólogo realiza un molde para crear una prótesis precisa, utilizando acrílico termocurado, un material ligero y resistente. La prótesis removible parcial se usa cuando es necesario restituir solo algunas piezas dentales. Se apoya en los dientes cercanos a los espacios vacíos y se ajusta perfectamente a la boca del paciente. Las prótesis dentales removibles son una rehabilitación oral efectiva, permitiendo a los pacientes recuperar la función masticatoria y hablar con naturalidad, además de mejorar la estética de su sonrisa.
En la actualidad, jóvenes y adultos pueden disfrutar de lo último en prótesis dentales removibles, que ofrecen una serie de ventajas en términos de comodidad, funcionalidad y estética. Uno de los aspectos más destacados de las últimas prótesis dentales removibles es la comodidad que ofrecen. La estética es otra área donde las nuevas prótesis dentales removibles marcan la diferencia. Los materiales modernos permiten una apariencia mucho más natural.
Las prótesis completas son una opción para aquellos que han perdido todos sus dientes en una arcada. Estas prótesis se apoyan en las encías y se mantienen en su lugar mediante succión y, a veces, adhesivos dentales. Las prótesis parciales son ideales para aquellos que han perdido solo algunos dientes en una arcada. Se sujetan a los dientes naturales circundantes a través de ganchos u otros métodos de sujeción. Para una solución aún más sólida y segura, las sobredentaduras soportadas por implantes son una opción a considerar. Estas prótesis se anclan a implantes dentales, lo que les otorga una estabilidad excepcional.

Diseño y Fabricación Asistidos por Computadora
Gracias a tecnologías avanzadas como la impresión 3D y el CAD/CAM, es posible fabricar prótesis dentales con una precisión y rapidez sin precedentes. Esto no solo significa menos visitas al dentista, sino también un proceso más eficiente y menos invasivo para el paciente. Los moldes de yeso ya son cosa del pasado, gracias a los escáneres intraorales. Los modernos implantes también han cambiado la forma de colocar las prótesis dentales.
Este avance permite a los pacientes “recibir” sus prótesis dentales el mismo día en que se instalan los implantes.
Como 𝗟𝗜𝗠𝗣𝗜𝗔𝗥 🧽 una 𝗣𝗥𝗢𝗧𝗘𝗦𝗜𝗦 𝗗𝗘𝗡𝗧𝗔𝗟 𝗥𝗘𝗠𝗢𝗩𝗜𝗕𝗟𝗘 (+ Como PONER una DENTADURA POSTIZA Correctamente)
Cuidado y Mantenimiento de Prótesis Removibles
Para prolongar la vida útil de tus prótesis dentales removibles, es esencial mantener una rutina de cuidado diario. Esto incluye la limpieza regular de la prótesis, utilizando productos de limpieza recomendados por tu dentista. El cuidado diario implica limpieza suave y uso de productos adecuados. Evita temperaturas extremas y maneja la prótesis con cuidado. Las visitas dentales regulares son esenciales para evaluar el ajuste y realizar ajustes necesarios.
Consideraciones Finales al Elegir un Material
A la hora de elegir el material para tu prótesis dental, es esencial tener en cuenta factores como la durabilidad, estética, comodidad y adaptabilidad a tus necesidades específicas. En el análisis de materiales para prótesis dentales, es crucial considerar las necesidades específicas de cada paciente, el tipo de restauración requerida y el presupuesto disponible. La capacidad de estos materiales para imitar la apariencia natural de los dientes los convierte en opciones ideales para restauraciones dentales en las que prime la buena imagen ya que simulan de manera impresionante la luminosidad y el aspecto característico del esmalte dental. Estos materiales han evolucionado para ofrecer resistencia suficiente para resistir las demandas diarias del entorno oral. Coronas, carillas y puentes dentales fabricados con cerámica y porcelana son capaces de soportar fuerzas masticatorias, garantizando una durabilidad sostenida a lo largo del tiempo. Esta excepcional flexibilidad permite a los odontólogos personalizar soluciones para las necesidades específicas de cada paciente. Estos se moldean fácilmente, lo que favorece la creación de prótesis dentales, carillas y aparatos ortodónticos de manera precisa y adaptativa. Además, su ligereza inherente contribuye significativamente a la comodidad del paciente. En prótesis removibles, como dentaduras y aparatos de ortodoncia, esta característica se traduce en una experiencia más llevadera para quienes las utilizan.
La elección del material adecuado en odontología es una decisión importante que influye directamente en el éxito y la durabilidad de las intervenciones dentales. Como hemos visto, cada uno posee características distintivas en términos de estética, durabilidad, biocompatibilidad y costo. La elección precisa depende de factores como la ubicación del diente a restaurar, la función esperada, las preferencias del paciente y consideraciones presupuestarias. En este contexto, el análisis meticuloso de las ventajas y consideraciones de cada material es esencial. Los profesionales deben evaluar no solo la funcionalidad y durabilidad, sino también la capacidad del material para integrarse armoniosamente en la estética bucal del paciente. Para los pacientes, participar activamente en el proceso de elección del material dental es fundamental para lograr resultados satisfactorios y duraderos. Si llevas un estilo de vida activo, es posible que desees optar por materiales más resistentes y duraderos. La variedad de materiales disponibles también se adapta a diferentes presupuestos. La elección del material correcto no solo influye en la estética, sino también en la funcionalidad. En este sentido es importante tener en cuenta cómo el material seleccionado afectará la estética general de tu sonrisa.
Tabla Comparativa de Materiales para Prótesis Dentales
| Material | Ventajas | Desventajas | Usos Comunes |
|---|---|---|---|
| Porcelana | Excelente estética, alta resistencia al desgaste | Puede ser frágil | Coronas, carillas |
| Zirconio | Alta resistencia, biocompatible, estética natural | Costo más elevado | Coronas, puentes |
| Resina Acrílica (PMMA) | Costo accesible, fácil de reparar | Menor durabilidad, puede mancharse | Prótesis removibles |
| Titanio | Biocompatible, alta resistencia, ligero | Estética menos natural | Implantes, estructuras de prótesis |
| PEEK | Ligero, resistente a la corrosión, biocompatible | Relativamente nuevo, menos estudios a largo plazo | Prótesis removibles |
tags: #nuevos #materiales #para #protesis #dentales