Muchos pacientes postergan el tratamiento necesario por miedo o por la sensación de que no hay solución para su problema. Incluso el caso más severo de piorrea tiene solución poniéndote en manos de especialistas en Periodoncia. Para que veas cómo puede cambiar tu sonrisa, en este artículo te explico cómo se abordan casos de periodontitis.

Casos Reales de Tratamiento Periodontal
Caso 1: María y la Piorrea Severa
Esto es lo que le sucedía a una de mis pacientes, María. Hacía años que había dejado de sonreír e incluso tenía muchos inconvenientes para masticar con normalidad. Lo que comenzó con una gingivitis leve (con sangrado y una leve inflamación), había derivado en una piorrea severa y muy avanzada que amenazaba la estabilidad de sus dientes.
Por su complejidad, este caso lo abordé junto al doctor Pedro Pablo Martínez, especialista en Odontología Conservadora, y la doctora Georgina Carbajo, especialista en Implantología y Periodoncia. El diagnóstico inicial nos indicaba una alta posibilidad de tener que extraer varios dientes, además de dos muelas que ya había perdido con anterioridad.
Realizamos un tratamiento periodontal completo y varias endodoncias -todo bajo anestesia local- que hicieron posible devolver la salud a sus dientes y encías. La respuesta de María al tratamiento periodontal fue inmejorable y terminamos su proceso con dos implantes en sendos molares que le habían extraído previamente.
Es un caso del que todo el equipo y yo nos sentimos especialmente orgullosos, porque a pesar del pronóstico inicial, conseguimos que María mantuviera todos sus dientes.
Caso 2: Álvaro y la Enfermedad Periodontal Silenciosa
Otro caso que me gustaría compartir contigo es el de Álvaro. Nuestro paciente llevaba muchos meses notando cómo sus encías estaban cada vez más rojas e hinchadas, pero pensaba que iría a menos con una higiene profesional.
Álvaro no pensaba que tuviera enfermedad periodontal porque no había experimentado retracción en las encías, pero lo cierto es que las bacterias ya habían comenzado a destruir los tejidos de soporte de sus dientes. Para abordar su caso y evitar que el deterioro de su salud bucal fuera a más, planifiqué un tratamiento periodontal completo.
No solo realizamos curetajes generalizados en toda la boca, sino que nuestro equipo realizó un estudio de los agentes patógenos. Un mes después de haber completado el tratamiento, realizamos una reevaluación de los resultados y comprobamos que las encías de nuestro paciente habían mejorado sustancialmente, mostrando un aspecto más saludable.

Tratamientos para ENCÍAS RETRAÍDAS: ¿Hay solución? ¿Las encías se regeneran? ¿Cuál es su CAUSA?
Gingivectomía: Recuperando la Estética de tu Sonrisa
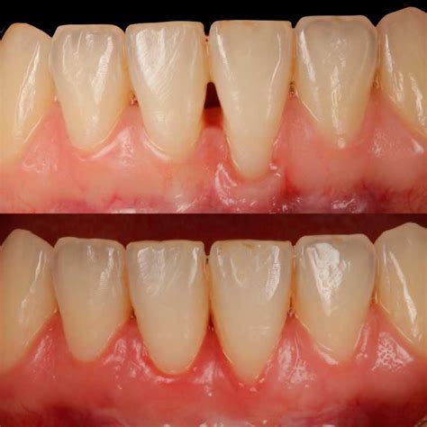
¿Imaginas sonreír sin preocuparte por el aspecto de tus encías? Con la gingivectomía es posible: un tratamiento con el que eliminamos el exceso de tejido gingival para devolver la estética a tu sonrisa. Y es que cuando la encía tiene un protagonismo excesivo, los dientes parecen mucho más cortos y pequeños.
La gingivectomía es un sencillo procedimiento quirúrgico que consiste en recortar ligeramente la encía que rodea el diente. Gracias a ella se descubre más la pieza y se consigue una gran mejora en la sonrisa, que se vuelve mucho más proporcionada y estética. Como resultado, los dientes parecerán más grandes, más largos y menos cuadrados.
En estas fotos puedes ver el antes y después de nuestra paciente Patricia.

Gingivectomía vs. Gingivoplastia
Es posible que hayas escuchado alguna vez los términos gingivectomía y gingivoplastia y no hayas sabido diferenciarlos. En realidad, se trata de dos procedimientos que se llevan a cabo casi de forma simultánea. Si la gingivectomía implica la eliminación de la encía sobrante, la gingivoplastia consiste en perfilar y dar forma a la mucosa que rodea al diente.
Nuestro equipo de especialistas utiliza un bisturí eléctrico para perfilar la encía. Aunque es posible hacerlo mediante láser, con el bisturí conseguimos que el procedimiento sea más preciso, indoloro y cause menos sangrado.
En ocasiones, además de recontornear el tejido blando, hacemos un alargamiento coronario, que consiste en recontornear ligeramente el hueso que hay bajo la encía. Tras realizarlo, procedemos a recortar la encía a la misma altura.
Causas del Exceso de Encía y Soluciones
Existen diversas causas para el exceso de encía:
- Es un trastorno que se produce durante el crecimiento natural de los dientes, que termina entre los 14 y los 16 años de edad. Precisamente este fue el diagnóstico de la doctora Georgina Carbajo para la sonrisa de Patricia.
- Esta alteración en el crecimiento de los huesos maxilares va acompañada, habitualmente, de una EPA leve. En este caso, una gingivectomía estética serviría para mejorar, en parte, el aspecto de la sonrisa. Por ello, y para conseguir la mejor solución estética y funcional, es necesario recurrir a la cirugía ortognática. Esto sucede porque la causa principal del exceso de encía es un crecimiento óseo mayor de lo normal. En supuestos como este debemos reducir el hueso a través de una intervención quirúrgica combinada con una ortodoncia.
- El desgaste generado por el bruxismo hace que los dientes se erosionen, haciéndose más pequeño y perdiendo protagonismo en la sonrisa. Cuando esto sucede, las piezas superiores van perdiendo el contacto con las inferiores. La tendencia natural de los dientes es buscar el contacto entre ellos al morder. Por este motivo, para lograrlo, van desplazándose hacia abajo llevándose a la encía consigo.
Postoperatorio de la Gingivectomía
Este tratamiento tiene uno de los mejores postoperatorios de todas las cirugías orales que pueden realizarse. Al día siguiente ya puedes lavarte los dientes con un cepillo quirúrgico, cuyo cabezal es más pequeño y redondo que el de uno convencional.
Trocea los alimentos que vayas a comer en lugar de morderlos directamente (por ejemplo al comer un bocadillo o una manzana). La operación produce un hematoma e inflamación en las encías, pero al cabo de 7 días su aspecto mejora notablemente.
Con los avances técnicos actuales es poco frecuente que haya complicaciones. Su única desventaja es que deja las encías amoratadas durante algunos días. Si la cirugía se realiza en la arcada inferior, es posible sentir más molestias debido a que el labio tiene mayor movilidad a la hora de hablar o comer. El constante movimiento puede ralentizar la cicatrización de la encía, algo que no es frecuente en la gingivectomía de la arcada superior.
Injerto de Encías: Restaurando el Tejido Perdido
El injerto de encías es un procedimiento quirúrgico destinado a compensar la recesión o el adelgazamiento del tejido gingival. El injerto de encías consiste básicamente en extraer un fragmento de tejido gingival para colocarlo en la zona donde se necesita mejorar el volumen o el espesor de la encía.
Se trata de una cirugía que tiene como fin restaurar el tejido perdido por recesiones gingivales localizadas o encías retraídas, un fenómeno progresivo que ocurre a consecuencia de muchos factores. Esta exposición causa caries, sensibilidad dental y, a largo plazo, recesión del hueso que rodea el diente, además de problemas estéticos.
Una alternativa al injerto de encía es el uso de un compuesto de proteínas y factores de crecimiento.

Tipos de Injertos de Encía
Existen diferentes tipos de injertos, dependiendo de dónde se obtenga el tejido:
- Tejido conectivo subepitelial: El tejido procede del paladar, en el que se hace una incisión para obtener un fragmento de la capa intermedia de tejido conectivo subyacente. Es el más utilizado y el que suele dar resultados más satisfactorios. Cuando se toma tejido del paladar, el inconveniente es que la herida es más molesta y produce dolor, que tarda varios días en desaparecer.
- Injerto libre de encía: El fragmento se toma también del paladar, pero incluye todo el espesor, con la mucosa y el tejido conectivo.
- Injerto pediculado: Se secciona una porción de la encía cercana a la zona que se quiere cubrir, dejando un lado sin cortar, con el propósito de mantener la circulación sanguínea y la vitalidad del tejido.
Postoperatorio del Injerto de Encías
Como en cualquier cirugía, el injerto de encías tiene varias etapas, antes y después de la intervención propiamente dicha. Inmediatamente después de la intervención puedes sentir malestar, dolor y vas a sangrar un poco uno o dos días, durante los cuales es preciso guardar reposo y evitar la actividad física.
Abstenerse de fumar es indispensable, ya que este hábito reduce la irrigación sanguínea e impide la correcta cicatrización. El odontólogo te prescribirá medicamentos para tratar el dolor o la inflamación y establecerá un cronograma para las revisiones.
En esta fase no debes cepillar los dientes o usar el hilo dental en la zona intervenida, ya que podría desprenderse el injerto. Para mantener el área desinfectada basta con utilizar un enjuague antiséptico. Después de esta etapa inicial puedes ampliar la dieta con verduras cocidas, pescado, pasta o huevos, pero hay que evitar los alimentos duros o viscosos.
El injerto de encía tarda aproximadamente 6 semanas en cicatrizar totalmente. Sin embargo, en una etapa tardía del posoperatorio aparece el remodelado. Se trata de pequeñas modificaciones morfológicas que se producen a lo largo de los siguientes 12 meses.
Posibles Complicaciones
Aunque el porcentaje de éxito es elevado cuando se realiza de forma adecuada, existen complicaciones que son comunes a todas las cirugías. Es normal que la zona sangre un poco después de la intervención, pero esto debe controlarse antes de que abandones la clínica. La palidez del tejido injertado y su movilidad son señales de que el procedimiento no está funcionando. Cuando la recesión no queda totalmente cubierta es necesario realizar una segunda intervención.
¿Qué son las Encías Retraídas?
Una encía retraída es cuando por diferentes causas se pierde encía y el margen se desplaza dejando expuesta parte de la raíz del diente. Estas recesiones pueden aparecer en uno o varios dientes y generalmente causan problemas estéticos o problemas de sensibilidad, además de una mayor predisposición a la abrasión y a la caries radicular (caries en la raíz del diente), una vez la encía se ha retraído no vuelve a crecer.
Es un problema oral muy frecuente ya que afecta al 50% de la población entre 18 y 65 años.
Causas Principales de la Retracción de Encías
Existen muchos factores que pueden estar causando que tus encías se retraigan, puede ser solo uno o una combinación de varios, una visita al dentista es la mejor forma de obtener un buen diagnóstico y una solución.
Las causas más comunes son:
- Enfermedad periodontal: Esta enfermedad puede dañar no solo las encías, también el hueso que sostiene el diente y hacer que se suelten y aflojen. Incluso puede provocar la pérdida de piezas dentales.
- Bruxismo: Es decir, rechinar o apretar los dientes constantemente, que puede someter a presión a las encías y causar que se retraigan.
- Cepillado traumático: Una técnica de cepillado agresiva o el uso de cepillos de cerdas duras puede dañar las encías y causar su retracción.

Otros Factores de Riesgo
Además de las causas principales, existen otros factores que pueden aumentar el riesgo de retracción gingival:
- Mala higiene bucal: La acumulación de placa y sarro puede inflamar las encías y contribuir a su retracción.
- Tabaquismo: El tabaco reduce la irrigación sanguínea de las encías, lo que dificulta su salud y aumenta el riesgo de retracción.
- Piercings orales: El roce constante del piercing con las encías puede irritarlas y provocar su retracción.
- Malposición dental: Los dientes mal alineados pueden dificultar la higiene y aumentar el riesgo de enfermedad periodontal.
Soluciones para la Retracción de Encías
Como te hemos mencionado antes las encías no vuelven a crecer por sí solas, por lo cual, si observamos ligeras recesiones estas a tiempo de ponerles freno eliminando alguno de los factores que pueden estar ocasionando la recesión.
Algunas soluciones son:
- Eliminar el cepillado traumático: Revisar y cambiar tu técnica de cepillado y tipo de cepillo puede ayudar a evitar que tus encías sigan retrayendo.
- Eliminar la presencia de placa con una higiene dental profesional: Recuerda que la placa dental es la principal causa de la inflamación de encías, periodontitis y pérdida del hueso que sostiene tus dientes.
- Retirar piercings: Si tuvieras que elegir entre un piercing y sonreír con todos tus dientes, ¿qué elegirías?
- Corregir la malposición del diente con un tratamiento de ortodoncia si es el caso.
- Realizar una frenectomía en caso de que el frenillo sea la causa para evitar que avance la recesión.
Cirugía Plástica Gingival: Recuperando la Armonía de tu Sonrisa
Si a pesar de tener unos dientes blancos y alineados, sigues sin terminar de sentirte a gusto con su boca, tal vez necesites leer este post en el que te explicamos qué es una recesión gingival y cómo se trata mediante cirugía plástica gingival o cirugía estética de las encías.
La cirugía plástica gingival se encarga de restablecer la proporción adecuada entre encía y dientes. Además se ocupa del contorno de los dientes, y del grosor y el color del tejido periodontal.
¿Por qué Necesitas una Cirugía Plástica Gingival?
Necesitas una cirugía plástica gingival si detectas alguna anomalía de cantidad, grosor o color en el tejido rosa que rodea tus dientes y te preocupa que eso afecte negativamente al aspecto de tu boca y que pueda arruinar tu sonrisa.
Los 3 problemas estéticos principales que afectan a las encías son:
- Recesión gingival: Las recesiones gingivales dejan a la vista el cuello del diente.
- Exceso de encía: Este exceso de encía tiene como consecuencia una sobreexposición antiestética de la misma al sonreír. Estos problemas de sobreexposición se solucionan con gingivectomía (recortando las encías), empleando técnicas quirúrgicas de alargamiento coronario que incluyen resecciones de tejido óseo o, en casos de sonrisa gingival, recurriendo a técnicas más complejas que limitan la movilidad del labio.
- Coloración de la encía: Las coloraciones pardas o grises oscuras en los tejidos gingivales deben ser estudiadas adecuadamente por el odontólogo para determinar si son patológicas o no. Si se trata únicamente un problema estético pueden ser abordadas con técnicas quirúrgicas de abrasión -con fresas, láser, electrocirugía, etc.-.
Clasificación y Pronóstico de las Recesiones Gingivales
Preston D. Miller estableció una clasificación de las recesiones dentarias en el año 1985, en la revista Int J Periodontics Restorative Dent, en la que además se relaciona el pronóstico de las mismas con su tratamiento quirúrgico y las posibilidades de reparación completa:
- Clase I: Lesión pequeña que no llega al límite mucogingival y no se acompaña de pérdida ósea interproximal. Se puede reparar al cien por cien con tratamiento quirúrgico.
- Clase II: Lesión que llega al límite mucogingival y que no se acompaña de pérdida ósea interproximal. Se puede reparar al cien por cien con tratamiento quirúrgico.
- Clase III: Lesión que traspasa el límite mucogingival y se acompaña de pérdida ósea interproximal o daño de las papilas interdentales (los triángulos de encía rosa que acompañan al diente). El tratamiento quirúrgico conseguirá solo una predictibilidad de recubrimiento parcial.
- Clase IV: Lesión que traspasa el limite mucogingival, acompañándose de daño severo periodontal interproximal y de la papila. No se aconseja el tratamiento quirúrgico de la recesión por baja predictibilidad del cubrimiento de la raíz.
Tratamiento de las Recesiones Gingivales
El tratamiento de las recesiones es quirúrgico y puede hacerse con colgajos de encía o con injertos de tejido gingival procedente del paladar (injerto libre). El tejido del paladar normalmente se coloca en la recesión desepitelizado, es decir, sin capa de epitelio. En este caso, solo se emplea el tejido conectivo, que da excelentes resultados estéticos y funcionales.
Cuidados Después de la Cirugía Plástica Gingival
Después de pasar por una cirugía plástica gingival:
- Es útil para aplicar geles cicatrizantes o hemostáticos en el paladar.
- Cuidar la alimentación: dieta semiblanda y a baja temperatura para evitar dilatar vasos sanguíneos y posibles hemorragias posquirúrgicas.
- Colocar frío local las primeras 24 horas para disminuir la inflamación. También puede ser útil dormir con la cabeza más elevada que el cuerpo.
- Evitar el cepillado de las zonas operadas hasta que lo indique tu odontólogo. Esto será normalmente después de la retirada de suturas y con cepillos ultrasuaves o quirúrgicos.
Conclusión
Hemos tratado a miles de pacientes con piorrea a lo largo de los años y todos ellos quedan sorprendidos del gran cambio que experimenta su sonrisa. No solo conseguimos devolverles la estética y la funcionalidad, sino que nuestro riguroso plan de revisiones evita la reaparición de la enfermedad periodontal. Por ello, los resultados obtenidos se mantienen a largo plazo.