En el corazón de Málaga, se encuentra ByB Dental, una clínica dental que ofrece soluciones estéticas y funcionales para pacientes de todas las edades. Fundada por la Dra. Blanca Barrio, esta clínica se ha posicionado como un referente gracias a su filosofía basada en la individualización de cada tratamiento y la implicación activa del paciente. En ByB Dental entienden el poder de una sonrisa no solo en la estética, sino también en la salud y la autoestima.

La Doctora Barrio en una consulta con una cliente.
La Historia Detrás de ByB Dental
Desde pequeña, Blanca Barrio sintió una fuerte vocación por la odontología. Este entusiasmo la llevó a graduarse y a completar diversos posgrados en estética dental y un máster en Ortodoncia. Antes de fundar ByB Dental en 2018, la Dra. Barrio trabajó en clínicas de primer nivel. Su visión era clara: cada paciente merece un trato completamente personalizado, acabados estéticos y naturales, y ser parte activa de su propia salud oral.
La historia de ByB Dental comenzó con una pequeña clínica en Arriate. Con el tiempo, inauguraron su segunda consulta en Málaga, que tras una reciente reforma y ampliación, se ha consolidado como un centro de referencia para quienes buscan resultados excelentes y un trato cercano.
Hoy, ByB Dental cuenta con especialistas en todas las ramas de la odontología: ortodoncia, estética dental, odontopediatría, periodoncia y endodoncia, todos liderados por la Dra. Blanca Barrio, para cubrir las necesidades en salud y estética dental de toda la familia.
Un Ambiente Cálido y Cercano
Desde el momento en que cruzas las puertas de ByB Dental, te recibe un ambiente cálido y relajante que redefine la experiencia odontológica tradicional. La Dra. Barrio y su equipo se destacan por escuchar atentamente las historias, inquietudes y metas de cada paciente, convirtiendo cada visita en una oportunidad para mejorar no solo la estética dental, sino también la confianza personal.
Desde los más pequeños que acuden con algún problema de alineación o caries, hasta los más mayores que quieren volver a sonreír con tranquilidad, en ByB Dental atienden a todo tipo de pacientes. Su objetivo es ofrecer soluciones individualizadas, ya sea una simple revisión, una rehabilitación completa o un tratamiento de estética dental.
Y en cada paso, el foco está en el factor humano: «No damos un tratamiento por finalizado hasta que el paciente está 100 % satisfecho», recalca la doctora.
Tratamientos Estrella en ByB Dental
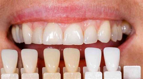
Carillas Dentales: La Transformación de tu Sonrisa
Entre los tratamientos más solicitados en ByB Dental destacan las carillas dentales, unas finas láminas de porcelana o composite que se adhieren a la superficie de los dientes para corregir su forma, color o tamaño. Más allá de la parte estética, las carillas devuelven al paciente la confianza para sonreír sin complejos.
«Lo más bonito es ver cómo una persona que apenas se atrevía a sonreír por las manchas o la forma de sus dientes, de repente se mira al espejo y se emociona con el cambio», cuenta la Dra. Barrio. Y es que el poder de una sonrisa puede transformar la vida social, laboral y personal de quien decide dar el paso.
En ByB Dental, la colocación de carillas se realiza de manera personalizada, siempre buscando la máxima naturalidad y el cuidado de la salud bucal. «Un buen tratamiento estético debe respetar el diente y, sobre todo, la esencia de la persona. Queremos sonrisas que enamoren, naturales que parezcan propias de cada paciente».

Ejemplo de carillas dentales antes y después.
Ortodoncia Invisible: La Revolución en Alineación Dental
¿COMO FUNCIONA LA ORTODONCIA INVISIBLE INVISALIGN? ¡ASI MUEVEN LOS DIENTES LOS ALINEADORES DENTALES!
Otro tratamiento muy demandado es la ortodoncia invisible, un sistema de alineadores transparentes que corrige la posición de los dientes sin el uso de brackets metálicos. Esta técnica innovadora permite a los pacientes continuar con su vida diaria sin apenas notarlo. «Se puede comer de todo, se quitan para cepillar los dientes y su apariencia es imperceptible», detalla la doctora.
Pero la verdadera revolución no está solo en lo estético, sino en la comodidad y la flexibilidad que ofrece. Cada sonrisa es diferente y, gracias a la tecnología digital, la Dra. Barrio y su equipo pueden planificar cada paso del tratamiento, mostrar simulaciones de la evolución y realizar ajustes a medida para lograr resultados impecables.
Compromiso con la Prevención y la Educación Dental
El compromiso de ByB Dental va más allá de ofrecer tratamientos de alta calidad: se centran en la prevención y la educación dental. Desde los más pequeños hasta los mayores, cada paciente recibe un plan personalizado adaptado a sus necesidades y expectativas.
Como muestra de su compromiso con tu salud dental, ofrecen primeras visitas y revisiones gratuitas. La comunicación es primordial para poder hacer tu visita al dentista lo más agradable posible. Con la última tecnología en Odontología toman registros para obtener imágenes precisas de tu boca. Basándose en las pruebas diagnósticas realizadas, proponen un plan de tratamiento integral.
En ByB Dental te ayudan a:
- Alinear tus dientes y evitar problemas de mordida y mandibulares.
- Recuperar tus dientes y tu calidad de vida.
- Lucir unos dientes más blancos con sus tratamientos blanqueadores.
- Cuidar a los niños, que son especiales y requieren cuidados dentales desde el primer diente.
- Recuperar tus dientes con una prótesis y volver a morder con normalidad.
Tecnología al Servicio de tu Sonrisa
ByB Dental cuenta con equipos como escáneres intraorales y TAC 3D, que garantizan precisión en los diagnósticos y tratamientos, eliminando molestias y optimizando la experiencia del paciente.

Algunos ejemplos de tecnología dental utilizada en ByB Dental.
¿Por Qué Elegir ByB Dental?
Si buscas una clínica donde la innovación se combine con el trato humano y la pasión con la excelencia, ByB Dental es tu mejor elección. Descubre cómo la Dra. Blanca Barrio y su equipo pueden transformar tu sonrisa y hacerte sentir más joven y seguro en tiempo récord.
Dirección: Calle Dos Aceras, 12, Málaga.
Otras Clínicas Dentales en Málaga
Si bien ByB Dental es una excelente opción, aquí te presentamos una tabla comparativa con otras clínicas dentales destacadas en Málaga:
| Clínica Dental | Dirección | Teléfono | Servicios Destacados |
|---|---|---|---|
| ByB Dental | C. dos Aceras, 12 | +34 722239076 | Estética dental, ortodoncia invisible, carillas |
| Clínica Dental Omega Málaga | C. Cuarteles, 2 | +34 951358177 | Implantes dentales, blanqueamiento |
| Clinica Dental Gross | P.º Reding, 9, 5ª | +34 952220775 | Implantes y Dentistas en |
| Grupo Dental Clinics Centro | C. Armengual de la Mota, 33 | +34 628852982 | Cirugía maxilofacial, implantes dentales, carillas |
| Clínica Dental La Paz | C. Beethoven, 7 | +34 640770279 | Implantología, ortodoncia, estética dental |
| Clínica dental Cuevas Queipo - UNA CLÍNICA MAEX | Calle Especería, 11 | +34 952213708 | Nuevas técnicas de la profesión |
| Clínica Dental en | Pareja Clinic | C. Enrique de Egas, 18, 1º E, Bailén-Miraflores | +34 679580696 | Cuidado dental personalizado y de alta calidad |
Recuerda que la elección de una clínica dental debe basarse en tus necesidades específicas, la confianza que te inspire el equipo y las opiniones de otros pacientes.