Anabel Pantoja, conocida colaboradora de "Sálvame", ha sorprendido a sus seguidores con un nuevo retoque estético, esta vez enfocado en su dentadura. Este cambio se suma a una serie de transformaciones que ha experimentado durante el último año, desde retoques faciales hasta dietas y rutinas de ejercicio, como parte de su "Plan Pantoja".
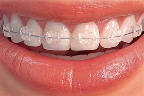
La sobrina de Isabel Pantoja ha optado por mejorar su sonrisa con un método dental innovador: la ortodoncia estética de zafiro. Este tratamiento destaca por su discreción, ya que está fabricado con una variedad de zafiro, un mineral transparente que lo hace prácticamente imperceptible.

¿Qué es la Ortodoncia Estética de Zafiro?
La ortodoncia de zafiro es un tipo de brackets fabricados con cristal de zafiro, un material transparente y resistente. Esta característica los hace mucho más discretos que los brackets metálicos tradicionales, ya que se mimetizan con el color natural de los dientes. Además de su estética, los brackets de zafiro son biocompatibles y no se manchan con el tiempo.
El tratamiento con ortodoncia de zafiro es similar al de la ortodoncia convencional. El odontólogo coloca los brackets en los dientes y los conecta con un arco de alambre que ejerce presión para mover los dientes a su posición correcta. La duración del tratamiento varía según las necesidades de cada paciente, pero suele oscilar entre 18 y 24 meses.
Un Proceso de Metamorfosis Radical
Anabel Pantoja está inmersa en un proceso de metamorfosis radical. A lo largo de los años, se ha sometido a diversas operaciones y retoques estéticos para mejorar su imagen. Hace seis años, tomó la drástica decisión de someterse a una operación de banda gástrica en la Clínica La Luz de Madrid, en manos del doctor Adelardo Caballero Díaz.
Lejos de frenar su ‘obsesión’ por la belleza, la sobrina de Isabel Pantoja ha decidido gastarse 4.530 euros más en un nuevo tratamiento: la ortodoncia estética de zafiro. Dicho procedimiento podría tener una duración de entre 18 y 24 meses, dependiendo de lo rápido que evolucione la boca de Pantoja. Por lo tanto, si el tratamiento se alargase, el precio podría subir algunos miles de euros más (6.040€).
Preparándose para el "Sí, Quiero"
Anabel Pantoja tiene muchos motivos para sonreír, y quizás por ello ha decidido que es el momento de lucir unos dientes perfectos. La colaboradora televisiva, que se acaba de prometer hace poco con su chico, Omar Sánchez, está totalmente enfocada en lucir un aspecto ideal, algo para lo ya ha recurrido a ciertos retoques estéticos e incluso llegó a pasar por quirófano (recordemos que se sometió a una reducción de estómago en 2013).
Además, la sobrina de Isabel Pantoja lleva mucho tiempo tratando de perder peso, para lo que ha seguido varias dietas e incluso se ha sometido a un estricto plan de ejercicio.

Presumiendo de su Nueva Sonrisa en Redes Sociales
Anabel Pantoja está orgullosa de su nuevo cambio estético y no duda en presumirlo en sus redes sociales. Desde que optó por la ortodoncia, comparte vídeos en sus historias de Instagram mostrando su sonrisa y los brackets.
Arreglarse la boca con brackets no es un tratamiento accesible para todos. El precio de la ortodoncia de zafiro puede oscilar entre los 3.000 y los 6.000 euros, dependiendo de la clínica y la complejidad del caso. A este costo hay que añadir las visitas al dentista, que pueden costar entre 60 y 80 euros por sesión.
Además del costo económico, la ortodoncia requiere seguir una estricta rutina alimenticia. Es necesario mantener una dieta equilibrada y consumir productos blandos para evitar dañar los brackets. ¿Será Anabel capaz de seguir el tratamiento o las ganas de comer podrán con ella?
Otros Retoques Estéticos de Anabel Pantoja
Además de la ortodoncia, Anabel Pantoja se ha sometido a otros retoques estéticos para mejorar su apariencia. Recientemente, se realizó un tratamiento estético para rejuvenecer su piel, cuyo precio alcanza los 1.990 euros. También se inyectó bótox en la cara y tiene colocada una banda gástrica para perder peso.
El tratamiento elegido por la prima de Chabelita es conocido como Total Eye y está centrado en el rejuvenecimiento de la piel, de los ojos y de la expresión facial. Anabel aseguró estar muy satisfecha con el resultado, ya que le ha corregido el pequeño hundimiento y el color oscuro provocado por las venitas.
En febrero, Anabel se inyectó bótox en los párpados y toxina botulínica en diferentes zonas de la frente, la nariz y las cejas. La doctora Barba, experta en Cirugía y Medicina Estética, explicó que Anabel "se ha inyectado toxina botulínica en músculo frontal, en el músculo corrugador y en el músculo piramidal de la nariz, por lo que no frunce entrecejo ni tiene arrugas en la frente".

Costos Aproximados de los Tratamientos de Anabel Pantoja
A continuación, se presenta una tabla con los costos aproximados de los tratamientos estéticos a los que se ha sometido Anabel Pantoja:
| Tratamiento | Costo Aproximado |
|---|---|
| Ortodoncia Estética de Zafiro | 4.530 - 6.040 € |
| Tratamiento Total Eye | 1.990 € |
| Inyecciones de Bótox | Variable (depende de las zonas tratadas) |
| Visitas al Dentista (ortodoncia) | 60 - 80 € por sesión |
🔴Omar Sánchez, ex de Anabel Pantoja, muestra su nuevo rostro tras operarse la nariz y los ojos😱
tags: #ortodoncia #anabel #pantoja