Hoy en día, llevar ortodoncia es cada vez más común, tanto en niños como en adultos. Al igual que aumenta el interés por mejorar la salud bucodental, también crecen las opciones de ortodoncia que ofrecen ventajas estéticas frente a los brackets metálicos. Un claro ejemplo de ello son los brackets de zafiro.

¿Qué son los Brackets de Zafiro?
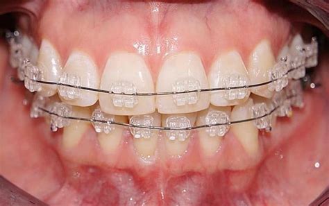
Una de las innovaciones más ingeniosas en el mundo de la odontología y los tratamientos de ortodoncia son los brackets de zafiro, también conocidos como brackets blancos. La principal novedad reside en el material con el que están elaborados: zafiro sintético, que comparte la misma estructura química y composición natural que el zafiro. Esto los convierte en elementos muy resistentes, ¡casi tanto como el diamante!
Estos brackets transparentes son mucho más discretos que los tradicionales metálicos, ya que son de color blanco.
2 Opciones de BRACEKTS ESTETICOS:cerámicos y de zafiro
¿Cómo Funcionan los Brackets de Zafiro?
Al igual que los brackets convencionales, los brackets de zafiro tienen la función de enderezar la dentadura ejerciendo una ligera fuerza controlada en cada diente. Cada ortodoncista realiza un tratamiento completamente personalizado, basado en los exámenes médicos necesarios, para que el aparato encaje perfectamente en cada arcada dental.
Los problemas bucodentales que solucionan los brackets de zafiro incluyen la maloclusión, los dientes torcidos, los diastemas, la mordida abierta y la mordida cruzada, entre otros.
La ortodoncia con brackets de zafiro está formada por pequeñas piezas que se fijan en cada diente mediante un cemento dental, unidos por un arco metálico sujeto con un elástico en cada uno de los brackets.

Duración del Tratamiento con Brackets de Zafiro
El tiempo de duración del tratamiento de ortodoncia con brackets de zafiro varía en función de varios factores, como la calidad del material, la implicación del paciente, la complejidad del caso, la experiencia del dentista y la evolución del tratamiento.
En términos generales, un tratamiento de ortodoncia para un problema dental de nivel medio tiene una duración de 18 meses. Para los tratamientos más complejos, la duración puede oscilar entre 24 y 30 meses, aunque algunos pueden alargarse hasta 36 meses.
Ventajas y Desventajas de los Brackets de Zafiro
Como todo tratamiento de ortodoncia, los brackets de zafiro tienen ventajas y desventajas que deben considerarse antes de iniciar el proceso.
Ventajas de los Brackets de Zafiro
- Estética: Son completamente estéticos, elaborados con un material químico con las mismas propiedades del zafiro natural, lo que les da un color transparente.
- Comodidad: El material sintético tiene una superficie lisa que evita rozaduras durante el tratamiento.
- Versatilidad: Corrigen todo tipo de malposiciones o problemas dentales, siendo aptos para niños, adolescentes y adultos.
- Resistencia: Son más resistentes que otros brackets estéticos.
- Color: El material no cambia de color, lo que los hace ideales para tratamientos largos.
Desventajas de los Brackets de Zafiro
- Precio: Debido a la calidad del material, el precio es superior al de otros tipos de ortodoncia.
- Duración: En algunos casos, el tratamiento puede ser un poco más largo debido a la mayor fricción entre el alambre y los dientes.
- Deportes: No se recomiendan para personas que practican deportes de contacto regularmente, ya que pueden dañarse o romperse con impactos.
- Higiene: Al ser transparentes, cualquier resto de comida es más visible, requiriendo mayor atención a la higiene bucal.
- Visibilidad: Aunque discretos, pueden ser visibles en ciertas condiciones de luz.
Precio de los Brackets de Zafiro en España
Varios factores influyen en el precio de los brackets de zafiro, como la duración del tratamiento, la complejidad del caso y el precio estipulado por el ortodoncista. El precio en España oscila entre los 3.000 y 5.000 euros.
Diferencias entre Brackets de Zafiro y Otros Tipos de Brackets
Además de solucionar problemas dentales y alinear los dientes, las personas buscan tratamientos de ortodoncia que no afecten su apariencia física. La ortodoncia de zafiro y otros brackets estéticos ofrecen esta ventaja.
Brackets Estéticos de Porcelana vs Brackets de Zafiro
La principal diferencia es que los brackets de zafiro son más transparentes que los de cerámica, debido al material del que están hechos.
Brackets Metálicos vs Brackets de Zafiro
Los brackets metálicos están hechos de metal, lo que los hace menos resistentes a los golpes y menos discretos a la vista.
Brackets de Zirconio vs Brackets de Zafiro
Los brackets de zirconio se catalogan como estéticos, similar a los de zafiro. No son transparentes como los de zafiro, pero se mimetizan bien con el diente gracias a su color similar al esmalte dental.
Para ayudarte a tomar una decisión informada, aquí tienes una tabla comparativa:
| Característica | Brackets de Zafiro | Brackets de Porcelana | Brackets Metálicos |
|---|---|---|---|
| Estética | Alta (Transparentes) | Media (Color similar al diente) | Baja (Visibles) |
| Resistencia | Alta | Media | Alta |
| Precio | Alto | Medio | Bajo |
| Duración del Tratamiento | Variable | Variable | Variable |
Ortodoncia Invisible: La Alternativa a los Brackets
Los alineadores invisibles son la última tecnología en tratamientos de ortodoncia invisible y ofrecen una completa lista de ventajas para mejorar la apariencia de la sonrisa sin que sea percibida desde el exterior.

Los alineadores transparentes son férulas dentales diseñadas con una tecnología en 3D muy avanzada y fabricadas con un plástico especial único.
tags: #ortodoncia #brackets #zafiro