La maloclusión de clase III, también conocida como prognatismo mandibular, es una de las alteraciones dentofaciales más complejas. Implica una relación incorrecta entre la mandíbula y el maxilar superior, con un adelantamiento de la primera respecto al segundo. En este artículo exploraremos cuál es el origen de esta maloclusión, sus tipos, los tratamientos para corregirla y las consecuencias funcionales y estéticas de no tratarla.

¿Qué es la Clase III?
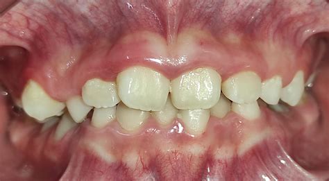
La clase III es una anomalía que afecta a los huesos maxilares y/o a los dientes. Se produce cuando hay una desalineación entre la arcada superior y la inferior, ya que la mandíbula está más adelantada que el maxilar superior. Esta malformación se describe por la presencia de una discrepancia anteroposterior entre la mandíbula y el maxilar superior, esto es, ambas estructuras óseas se encuentran desalineadas entre sí.
Esta maloclusión no solo afecta a la estética facial, sino también a la masticación y el habla y, en algunos casos, a la respiración. Por eso, es conveniente tratarla cuanto antes.
Clase III: cómo corregir una maloclusión severa SIN cirugía ni extracciones | Ortodoncia invisible
Tipos de Clase III
En función de su origen (dental o esquelético) podemos distinguir dos tipos de clase III:
1. Dental
Este tipo de maloclusión ocurre cuando los dientes están desalineados pero los huesos maxilares tienen una relación normal entre ellos. Suele tratarse con ortodoncia y tener un buen pronóstico, ya que el problema no involucra la estructura ósea. Para una clase III que es únicamente dental, el tratamiento indicado es la ortodoncia, aunque es importante mencionar que una mordida cruzada funcional conservada en el tiempo puede transformarse en esqueletal, de ahí la importancia de un tratamiento precoz.
2. Esquelética
En este caso, el trastorno también afecta a los huesos maxilares. Se debe a un sobrecrecimiento de la mandíbula o a una falta de desarrollo del maxilar superior. Es el tipo más complejo y puede requerir una combinación de ortodoncia (para corregir la posición de los dientes) y cirugía ortognática (para corregir la posición y el tamaño óseo). En los casos de prognatismo mandibular, la mandíbula está desarrollada por exceso en relación con el maxilar y el arco dentario inferior se extiende hacia adelante más allá del superior, causando una maloclusión de Clase III, también conocida como underbite.
El Pseudo-Prognatismo, o Hipoplasia Maxilar
El pseudoprognatismo, hipoplasia maxilar, o falso prognatismo, es una malformación ósea en la que la mandíbula superior está subdesarollada. En la mayoría de los casos se trata de una anomalía del desarrollo, aunque también puede ser causada por factores externos, como extracciones dentales mal planificadas o falta de dientes. En los pacientes con paladar hendido se trata de una afección congénita.
En la mayoría de los casos de pseudoprognatismo, el maxilar está subdesarrollado no sólo en el plano anteroposterior, sino que también presenta deficiencias en el plano vertical o transversal, dando una apariencia hundida al tercio medio del rostro del paciente, y haciendo que la mandíbula inferior sobresalga y parezca muy grande, aunque en realidad tenga un tamaño normal. Esta malformación se corrige con una cirugía ortognática monomaxilar, normalmente de avance maxilar.
Por otro lado, algunos pacientes pueden presentar ambas malformaciones: tanto prognatismo mandibular como hipoplasia maxilar; en estos casos, el menor desarrollo de la mandíbula superior propicia un mecanismo de compensación en la mandíbula inferior, por lo que ambas estructuras óseas deben corregirse a la vez con una cirugía ortognática bimaxilar.

Causas de la Clase III
La maloclusión de clase III puede deberse a varios factores, entre los que destacan los siguientes:
- Genética: la predisposición hereditaria juega un papel crucial en el desarrollo de la clase III, especialmente en los casos esqueléticos.
- Factores ambientales: determinados hábitos infantiles, como chuparse el dedo pulgar de manera prolongada, pueden causar clase III.
- Pérdida temprana de los dientes de leche: los dientes temporales (de leche) actúan de guía para el crecimiento de las piezas dentales permanentes. Por eso, cuando los dientes de leche se caen antes de tiempo se pueden producir alteraciones en la erupción de las piezas dentales permanentes.
Consecuencias de No Tratar la Clase III
Ignorar una maloclusión de clase III puede tener graves repercusiones, tanto funcionales como estéticas:
- Desgaste dental: una mordida inadecuada genera desgastes excesivos en determinados dientes, lo que puede derivar en fisuras o fracturas.
- Problemas en la articulación temporomandibular (ATM): la sobrecarga que genera la clase III en los huesos maxilares puede ocasionar dolor, ruidos o limitaciones en la mandíbula (falta de apertura y movimiento).
- Dificultades masticatorias: las discrepancias en los huesos maxilares afectan a la eficiencia de la masticación, lo que puede impactar negativamente en el proceso de digestión.
- Problemas en el habla: en algunos casos, la clase III puede alterar la pronunciación de determinados sonidos.
- Trastornos respiratorios: en casos severos, la clase III puede obstruir parcialmente las vías respiratorias, dando lugar a problemas para respirar correctamente. Esto, a su vez, puede conducir a ronquidos y apnea del sueño.
- Impacto psicológico: una apariencia facial comprometida puede generar inseguridades y perjudicar la autoestima.
Tratamiento para la Clase III
El tratamiento de la maloclusión de clase III depende de su tipo, su severidad y la edad del paciente. Es preferible corregir la clase III durante la edad de crecimiento.
- Ortodoncia interceptiva (entre los tres y los nueve años): Es eficaz en niños que se encuentran en fase de crecimiento, ya que en esta etapa temprana de la vida es posible guiar el desarrollo óseo mediante distintos aparatos como máscaras faciales y disyuntores de paladar. Asimismo, en edades muy tempranas, aplicamos principios de rehabilitación neuro-oclusal (RNO). Lo esencial en la RNO no está en el aparato propiamente dicho, sino en la aplicación correcta de los principios terapéuticos basados en el crecimiento natural de los huesos.
- Ortodoncia con brackets o alineadores transparentes (para adolescentes y adultos): La ortodoncia puede utilizarse, por lo general, a partir de los 11-12 años. Permite corregir la clase III de origen dental. Además, en algunos casos de clase III esquelética también es posible hacer un “camuflaje”. Esta es una alternativa de tratamiento, para evitar la cirugía, que consiste en hacer menos evidente una anomalía dento-esquelética ligera o moderada. Es decir, con el tratamiento de camuflaje no se corregirá el tamaño y la posición de los huesos maxilares, pero se podrá disimular la clase III. Los alineadores saben cómo y dónde mover cada pieza dental de forma progresiva y con la fuerza necesaria según el momento. Para que el tratamiento funcione, el paciente debe llevar los alineadores puestos por 22 horas al día, todos los días, de comienzo a fin del tratamiento.
- Ortodoncia + cirugía ortognática (solo adultos): Este tratamiento combinado está indicado en casos severos, en pacientes adultos que presentan alteraciones esqueléticas significativas y tienen seriamente comprometidas su estética y funcionalidad (masticación, habla, respiración…). La cirugía ortognática se combina con ortodoncia para lograr un resultado funcional y estético óptimo. Por un lado, la cirugía permite corregir las discrepancias en el tamaño y la posición de los huesos maxilares. Por otro lado, la ortodoncia ayuda a solucionar las malposiciones en los dientes.
En Instituto Maxilofacial llevamos a cabo más de 200 cirugías ortognáticas al año, lo que nos convierte en un centro de referencia a nivel mundial en esta especialidad.
A continuación, se presenta una tabla con las opciones de tratamiento según la edad y la severidad de la maloclusión:
| Edad del Paciente | Tipo de Maloclusión | Tratamiento Recomendado |
|---|---|---|
| Niños (3-9 años) | Dental/Esquelética | Ortodoncia interceptiva (máscaras faciales, disyuntores de paladar) |
| Adolescentes (11-18 años) | Dental | Ortodoncia con brackets o alineadores transparentes |
| Adultos | Esquelética Severa | Ortodoncia + cirugía ortognática |
| Adultos | Dental/Esquelética Leve | Ortodoncia con camuflaje |
