La ortodoncia es uno de los tratamientos odontológicos más conocidos. Y no es para menos, gracias a ella, millones de personas han podido arreglar sus problemas de sobremordida, diastemas y apiñamiento dental, entre otros. Además, desde hace unos años, se están llevando a cabo novedosos tratamientos de ortodoncia, como son los brackets linguales y los alineadores transparentes.
Estos métodos han revolucionado el mundo de la salud y estética bucodental, y lo mejor de todo es que estos tratamientos son igual de eficaces que la ortodoncia tradicional y ya son ampliamente utilizados por adolescentes y adultos de todo el mundo.

Alineadores invisibles vs. brackets tradicionales: ¿Cuál es el mejor para ti?
¿Qué es la Ortodoncia Lingual?
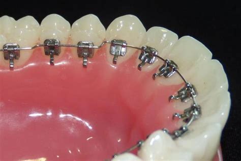
Muchas personas que necesitan iniciar un tratamiento de ortodoncia se pueden preguntar qué es la ortodoncia lingual. Los brackets linguales son un tipo de ortodoncia que se distingue por colocar los aparatos en la parte posterior de los dientes, es decir, los brackets se colocan de incognito para que el tratamiento sea totalmente imperceptible desde fuera.
Los brackets están unidos por un arco metálico que ejerce presión sobre los dientes para que se muevan gradualmente hasta conseguir una alineación perfecta. Los brackets linguales están compuestos por diferentes materiales y son de distintas formas, dependiendo de la marca o modelo que utilice cada ortodoncista.
¿Para qué sirven los Brackets Linguales y quiénes pueden llevarlos?
Si te estás preguntando para qué sirven los brackets linguales debes saber que estos son ideales para aquellas personas que quieren arreglar su dentadura de manera discreta. Un ejemplo claro de este caso serían personas que trabajan de cara al público o que deben mantener una imagen perfecta en su entorno profesional.
Además, este tipo de ortodoncia también es adecuada para adolescentes y niños. Los brackets linguales tienen la misma efectividad que los tradicionales y pueden resolver todo tipo de problemas de mordida. Se recomiendan especialmente para tratar los casos de sobremordida, apiñamiento, overjet y mordida cruzada.
Como hemos comentado, los aparatos linguales son igual de eficaces que otros tratamientos de ortodoncia a la hora de rectificar problemas de alineamiento dental.
Al igual que sucede con otros tipos de aparatos ortodónticos, es el ortodoncista quien te aconsejará cuál es el tratamiento de ortodoncia que mejor se adapta a ti. De esta manera, después de haber analizado tu caso y revisado que el presupuesto te encaja, podrás empezar tu tratamiento de ortodoncia lingual.
Tipos de Ortodoncia Lingual
Como se ha mencionado anteriormente, existen varios tipos de brackets linguales. La elección de un tipo concreto de ortodoncia fija lingual suele basarse en la recomendación de tu ortodoncista, tus preferencias y tu presupuesto.
Ortodoncia Lingual de Oro
Este tipo de brackets linguales son los más modernos y cómodos del mercado porque son los más finos. Al estar moldeados en oro se adaptan perfectamente a la forma exacta de tus dientes. Esta característica hace que el tratamiento sea mucho más agradable, ya que la lengua no está en contacto directo con el alambre metálico.
Para crear estos aparatos hechos a medida, el ortodoncista realiza un escáner digital para conseguir un ajuste perfecto de los brackets.
Brackets Linguales Autoligables
Los brackets linguales autoligables son aparatos que no requieren una banda elástica para unir cada pieza al arco metálico. Este tipo de ortodoncia lingual permite un tratamiento mucho más rápido y menos doloroso, debido a la presión que ejerce sobre el alambre que va moviendo gradualmente los dientes.
Ortodoncia Lingual Clásica
Los brackets linguales clásicos son igual de eficientes pero no son tan cómodos para el paciente. Más gruesos que los brackets de oro, requieren de un mayor tiempo de adaptación para comer y poder hablar correctamente.
¿Cómo se realiza la colocación de brackets linguales?
Los brackets situados dentro de la boca no son tan comunes como los tradicionales. Para la colocación de brackets linguales, el especialista tendrá que trabajar en un espacio reducido y de difícil acceso, por lo que sólo unos cuantos médicos especializados trabajan con este tipo de ortodoncia.
Existen dos opciones a la hora de colocar el aparato lingual de ortodoncia. Por un lado, se pueden colocar primero en una sola arcada de la boca para que el paciente se acostumbre a ellos antes de pasar a la siguiente. También existe la posibilidad de colocar el aparato lingual en la parte superior e inferior al mismo tiempo.
Fase 1: Escaneo y fabricación de los brackets linguales a medida
Esta fase se realiza para los brackets linguales de oro que se hacen a medida para cada paciente:
- Escaneo 3D para obtener las medidas exactas de los dientes del paciente.
- Fabricación del aparato a partir de los resultados.
Fase 2: Colocación de los brackets linguales
En una segunda fase se coloca el aparato. Para ello, el ortodoncista sigue los siguientes pasos:
- Limpia y seca la superficie interna de los dientes.
- Aplica el adhesivo sobre los dientes para asegurar la adhesión de los brackets a la superficie dentaria.
- Coloca todos los brackets en los dientes y mantiene la presión durante unos segundos para que el aparato se ajuste correctamente.
- Coloca el arco de metal entre los brackets y lo ajusta.
¿Cuál es el precio de la ortodoncia lingual en España?
Los brackets linguales tienen, generalmente, un precio más elevado que otros tipos de ortodoncia. Esto es debido en parte a la técnica utilizada durante la colocación de los brackets de incógnito, que hace que su precio aumente. Dependiendo de la complejidad del caso a tratar y del ortodoncista elegido, el precio de los brackets linguales en España puede ir desde los 3.000€ hasta los 7.000€.
El precio o costo de la ortodoncia lingual o aparato lingual, como en cualquier caso de ortodoncia, varía en función de la dificultad y duración estimada del caso. Normalmente, dicho precio se mueve entre 1900 (en los casos más sencillos de Incognito Lite u ortodoncia lingual solo en los dientes anteriores) y 5500 euros (casos de dificultad media o una cierta complejidad en ortodoncia lingual), repartidos en 12, 18 ó 24 mensualidades de entre 90 y 150 euros que se abonan a lo largo del tratamiento. Se abona una cantidad como entrada de entre 600 y 1800 euros para cubrir parte de los costes de la fabricación a medida de tu ortodoncia lingual.
Es esencial destacar que los siguientes son precios de Ortodoncia Lingual aproximados en Valencia, que obviamente pueden variar en función de la dificultad del caso, por arriba o por abajo. El coste de la ortodoncia lingual superior e inferior suele moverse entre los 4500 y los 7000 euros.
Sí. Incognito Lite es una modalidad más económica del tratamiento de ortodoncia lingual, que tiene un coste entre los 1900 y los 2900. Está indicado en los casos de un leve apiñamiento anterior, y puede utilizarse para tratar una sola arcada, arriba o abajo, lo que abarata el coste y simplifica el manejo.
En nuestros centros colocamos brackets de metal autoligables, de cristal de zafiro y linguales.
Ventajas y desventajas de la ortodoncia lingual
A la hora de decidir qué tipo de ortodoncia utilizar es importante valorar cuáles son los pros y los contras de cada una. Para que tomes una decisión más informada, aquí te detallamos algunas de las ventajas y desventajas de los brackets linguales.

¿Cuáles son las ventajas de la ortodoncia lingual?
Los brackets linguales se utilizan generalmente en pacientes que prefieren centrarse en su aspecto estético durante el tratamiento. Entre las ventajas de la ortodoncia lingual destacamos las siguientes:
- Totalmente invisible: Es un tratamiento totalmente imperceptible, a menos que se mire en detalle dentro de la boca.
- Compatible con blanqueamiento: Posibilidad de realizar el blanqueamiento al mismo tiempo que la ortodoncia.
- Recomendado para deportistas: Este tipo de ortodoncia es mejor para deportistas que la tradicional ya que no hay riesgo de lesión en caso de recibir un golpe en la boca.
- Eficacia: Es un tipo de ortodoncia muy eficaz.
¿Cuáles son las desventajas de los brackets linguales?
La ortodoncia lingual también tiene algunas desventajas o inconvenientes que hay que tener en cuenta:
- Se necesita un período de adaptación: Por muy finos y pequeños que sean, los aparatos linguales pueden dificultar la pronunciación de ciertas palabras. Además, al estar en contacto permanente con la lengua, pueden ser molestos de llevar durante las primeras semanas.
- Dificultad para comer: Los aparatos de ortodoncia lingual, al ir por la cara interior de los dientes, pueden ser un poco molestos durante la masticación.
- Son más frágiles que otros tipos de ortodoncia: Debido a que los brackets de incógnito van adheridos al diente, tendrás que evitar ciertos alimentos, especialmente aquellos que tienden a pegarse, como los dulces, los chicles o alimentos que son especialmente duros. También tendrás que evitar morder ciertos alimentos en los que haya que desgarrar con los incisivos, como es el caso de los bocadillos. Para que no se desprendan los brackets o se rompa el arco metálico es mejor comer bocados pequeños y precortados.
- Seguimiento muy frecuente: Deberás llevar un seguimiento mensual presencial con el ortodoncista. Esto es necesario para ajustar el aparato a medida que el tratamiento va avanzando.
- Higiene dental complicada: Los brackets, ya sean linguales o clásicos, dificultan el cepillado y el uso del hilo dental. Esto conduce a la formación de placa alrededor de los brackets.
- Precio más elevado: Los brackets linguales se encuentran entre los tratamientos de ortodoncia más caros del mercado.
Alineadores Impress: la mejor alternativa a la ortodoncia lingual
Si estás pensando en iniciar un tratamiento de ortodoncia ya sea por motivos de salud o estética, debes saber que, aparte de los aparatos linguales, existen otras alternativas para alinear tu sonrisa de manera discreta. Entre estas, encontramos los alineadores invisibles de Impress.
Los alineadores transparentes Impress cuentan con una serie de ventajas frente a la ortodoncia lingual:
- Más comodidad: Los alineadores invisibles son, sin duda, los más prácticos y cómodos. Además es muy fácil acostumbrarse a ellos.
- Mayor resistencia: Gracias a los aparatos removibles de Impress, el paciente no tiene limitaciones a la hora de comer y puede consumir cualquier tipo de alimento sin riesgo de que el aparato se desprenda o se rompa. En cambio, los aparatos linguales son más delicados y corremos el peligro de que se despeguen o rompan.
- Menos molestias: El bracket lingual puede causar rozaduras o llagas al estar en contacto con la lengua. En cambio, los alineadores transparentes disponen de una superficie lisa que evita las rozaduras y molestias típicas de la ortodoncia lingual.
- Mejor Higiene: Con la ortodoncia invisible de Impress es muy fácil mantener una buena higiene dental. Dado que los alineadores pueden retirarse durante el cepillado y las comidas, los pacientes pueden utilizar el cepillo de dientes y el hilo dental como de costumbre.
- Seguimiento a tu manera: Los aparatos linguales requieren un seguimiento estricto con el ortodoncista para ajustar el aparato a menudo. En cambio, con los alineadores invisibles no es necesario, ya que se puede hacer seguimiento y monitorización del tratamiento a través de la app, siempre bajo supervisión médica.
Impress ofrece varios tipos de tratamientos todo incluído con precios cerrados, en función de la complejidad del caso. Por último, mencionar que con Impress la primera consulta, en la que se realizan las pruebas necesarias, como un escáner 3D y radiografías de la cavidad oral, es gratuita.
Recomendaciones Adicionales
Podemos enumerar una serie de consejos para poner remedio a las molestias generadas a lo largo de un tratamiento de ortodoncia con brackets linguales.
- Si tienes pequeñas llagas o heridas producidas por el roce del aparato, te aconsejamos que hagas uso de la cera especial para ortodoncia. Sólo deberás colocar una pequeña parte en la zona que está provocando la herida para evitar la acción directa de los brackets sobre la mucosa.
- Es aconsejable seguir una dieta blanda -purés, sopas o guisos fáciles de masticar-.
- Es importante que luego de comenzar con la ortodoncia se recurra de manera regular a las citas de revisión con el especialista.
En la Clínica Ferrus & Bratos fuimos pioneros en Madrid en ofrecer ortodoncia lingual, sin embargo, actualmente este tipo de tratamiento ha sido sustituido en nuestra clínica por alternativas más avanzadas y eficaces como Invisalign, que ofrece resultados similares con mayor comodidad para el paciente.
Si tienes alguna duda con respecto a cuál sería tu tratamiento de ortodoncia ideal o quieres más información acerca del mismo, te invito a ponerte en contacto conmigo y el resto de especialistas en ortodoncia a través de nuestra página web o llamando al 91 768 18 12 (Centro F&B Arturo Soria) o al 91 508 14 48 (Centro F&B Velázquez).
tags: #ortodoncia #lingual #groupon