El sarro dental es un problema común que afecta a personas de todas las edades. Según la encuesta de Salud Oral en España (2020), más del 30% de los adolescentes lo padecen, alrededor del 67% de los adultos también y más del 70% de los mayores de 65 años sufren esta patología. Pero, ¿qué es exactamente el sarro dental y por qué es importante prestarle atención?

¿Qué es el Sarro Dental?
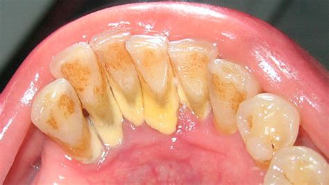
El sarro dental, también conocido como cálculo dental o tártaro, es la placa que no se ha eliminado y se ha endurecido y vuelto porosa a causa de los minerales de la saliva. Es decir, es la mineralización y calcificación de la placa dental, a la que se irán adhiriendo bacterias orales y otras sustancias, como la saliva o el calcio, formando una capa dura y amarillenta. En definitiva, el sarro es el empeoramiento y endurecimiento de la placa que no ha sido eliminada.
El sarro se distingue por su color, que puede ir de blanquecino a pardo. Aparece en la línea de las encías y, si no se elimina, continúa creciendo y calcificándose. Esta capa de suciedad también se puede acumular en el borde o debajo de las encías, llegando a irritar los tejidos gingivales.
El sarro está colonizado por las bacterias de la cavidad oral o placa bacteriana, responsable a su vez de muchas de las patologías de los dientes y encías.
Es importante saber que la placa dental va depositándose continuamente en los dientes, a lo largo del día y la noche. Incluso, después de cepillar los dientes, la placa se desarrolla en su superficie al cabo de unas 24 horas.
Si la placa no se retira mediante el cepillado, después de aproximadamente 72 horas, comienza a endurecerse y se convierte en sarro al entrar en contacto con sales minerales presentes en la cavidad bucal.
La principal causa del sarro en los dientes y encías es la falta de higiene oral. Otra causa de la aparición del sarro es la malposición de los dientes.
A diferencia de la placa bacteriana que se puede eliminar en casa, el sarro dental no puede eliminarse con un cepillado de dientes. Una vez que la película de suciedad y residuos se calcifica y se endurece, solo se puede eliminar mediante una limpieza profesional.
Diferencias entre Sarro y Placa Dental
Sarro y placa dental son cosas distintas que la gente suele confundir debido a sus características en común. A diferencia del sarro, que es duro y poroso, la placa dental es una película delgada que se forma sobre los dientes y que consiste en saliva y restos de comida atrapados que se acumulan en la línea de las encías.
Si no se quita la placa dental todos los días con un cepillado suave, hilo dental y el correcto uso de enjuague bucal LISTERINE®, ésta puede solidificarse y convertirse en sarro. El ácido de la placa puede atacar a los dientes inmediatamente después de las comidas y, si no se limpia, puede romper el esmalte y provocar caries.
La placa dental también daña las encías y puede causar su enrojecimiento e inflamación, hacer que sangren con el cepillado o incluso que se retraigan. En cuanto a su aspecto, es una capa cristalina fina donde se van alojando los gérmenes que habitan en la cavidad oral, agravándose al no poseer un correcto aseo bucodental.

¿Cómo Afecta el Sarro a los Dientes?
Las bacterias que tiene el sarro pueden afectar de manera negativa a nuestras encías y dientes. El paso del tiempo y el crecimiento cada vez mayor del sarro, puede llevar a una enfermedad de las encías. Por ello es importante prevenirlo y así poder evitar la gingivitis .
La acumulación de sarro puede provocar caries, deteriorar los dientes provocar periodontitis y llegar a provocar incluso su caída. Las bacterias presentes en el sarro dental son capaces de provocar, de manera directa o indirecta:
- Caries: Mediante la desmineralización de los tejidos duros.
- Gingivitis: Inflamación de la encía.
- Periodontitis: Pérdida del tejido gingival que sostiene al diente como consecuencia de la inflamación crónica de la encía.
- Halitosis: Los residuos y los efectos de las bacterias son el origen en muchas ocasiones de mal olor en la boca.
Además los problemas estéticos derivados de su aspecto desagradable, su presencia puede traer consecuencias negativas para la salud oral.
Otros problemas que puede provocar el sarro son:
- Gingivitis: el cúmulo de sedimentos en dientes afecta especialmente a los tejidos blandos, produciendo inflamación e irritación de las encías. Dicha inflamación viene acompañada de sangrado y edema sin llegar al desgaste del hueso.
- Periodontitis: la acumulación del sarro bajo las encías, produce sangrado y debilidad absoluta ocasionando pérdidas de inserción.
- Problemas digestivos: se producen a causa de la infección que al tragar pasa por el tracto digestivo.
Además de poder provocar problemas de salud como caries dentales, gingivitis o halitosis, el sarro dental constituye un problema estético.
¿Cómo Eliminar el Sarro?
Para eliminar el sarro en los dientes, utilizamos un tratamiento profesional llamado tartrectomía o raspado radicular. El sarro o cálculo dental tiene que ser eliminado en la clínica dental mediante una profilaxis dental profesional.
Existen diferentes métodos para quitar el sarro:
- Ultrasonidos: El empleo de ultrasonidos es especialmente útil cuando el sarro está ubicado por encima de la línea de las encías (unión del diente con la encía). Logran desprender el cálculo en fragmentos sin dañar la superficie dentaria.
- Curetaje: Las curetas dentales son dispositivos manuales con formas muy variadas, de tal manera que consiguen adaptarse perfectamente a la superficie de los dientes. Permiten llegar bien a los espacios que hay en el surco de la encía.
- Fresas: Existen también fresas de diseños específicos para la eliminación de placa y sarro. Se acoplan a las turbinas y los motores dentales a diversas revoluciones.
- Aeropulverizadores: Los aeropulverizadores de polvo de glicina son de gran ayuda para eliminar la placa bacteriana y las manchas. Se trata de un método poco invasivo y muy efectivo tras la eliminación grosera del sarro con los métodos descritos en los puntos anteriores.
- Pulido: Es importante insistir en la importancia del pulido de la superficie dentaria tras la realización de cualquier tipo de procedimiento de eliminación de sarro (tartrectomía). De no ser así, se volvería a acumular nuevamente la placa y el sarro de manera aún más rápida y severa, favorecida por las rugosidades que pueden producirse al limpiar.
Este procedimiento, también llamado tartrectomía, atenúa las manchas superficiales de los dientes. Sin embargo, cuando el sarro se acumula aparece por debajo de la encía (subgingival) es necesario proceder a la instrumentación subgingival o comunmente conocida como curetaje.
Es un tratamiento profesional de higiene dental que elimina bacterias acumuladas entre los dientes y encías.
La mejor recomendación es la prevención, ya que una vez ocasionada esta afección y dado a su dureza, es necesario que acudamos a nuestro dentista, quien llevará a cabo una limpieza de la mano de sus equipos.
CÓMO QUITAR EL SARRO NATURALMENTE 🦷 | Al final EL SECRETO para dientes BLANCOS Y SANOS
Consejos para Prevenir el Sarro
La mejor opción antes de tener que revertir la creación de sarro, es no llegar a ese momento. Por eso desde LISTERINE te dejamos algunos consejos para prevenir la creación de sarro en tus dientes y tener una higiene bucodental saludable:
- Cepillar los dientes con regularidad: El cepillado es la técnica más sencilla, económica y eficaz contra el sarro, por ello habría que cepillarse los dientes al menos tres veces al día.
- Usar hilo dental: Para tener una buena salud bucal, no solo hay que cepillarse los dientes, sino que también es importante el uso de hilo dental para eliminar la placa que se queda entre los dientes y llegar a los sitios donde el cepillo no alcanza.
- Acudir al dentista: Además de una correcta higiene bucodental casera, es necesario ir al dentista al menos una vez al año para tener la opinión y el cuidado de un especialista. La eliminación del exceso de sarro por un especialista evitará futuras enfermedades bucales que podrían traer más problemas consigo.
- No fumar: Algunos estudios demuestran que las personas que fuman tienen más probabilidades de acumular sarro en sus dientes.
- Uso diario de colutorio: El cepillado cubre solo la limpieza de un 25% de la boca. Con uso de colutorio completa tu higiene bucodental eliminando los restos no alcanzados por el cepillado y reparando y protegiendo el esmalte y las encías. En LISTERINE® te ofrecemos una gran variedad de enjuagues bucales con los que mantener tu salud dental en el mejor estado.
Para reducir al mínimo la placa y evitar que se forme el sarro es necesario mantener una buena higiene bucal. En concreto, una higiene oral completa debe incluir los siguientes cuidados personales:
- Cepillarse los dientes cuidadosamente tras cada comida, sobre todo antes de irse a dormir.
- Cepillarse las encías con suavidad a lo largo de la línea de las encías.
- Usar un dentífrico con flúor para prevenir las caries.
- Limpiarse los espacios interdentales con un cepillo interproximal o hilo dental.
- Limpiarse la lengua suavemente con el cepillo de dientes o un limpiador lingual.
Además, los expertos recomiendan un examen rutinario de los dientes al menos una vez al año y una limpieza profesional cada seis o doce meses con el fin de eliminar el sarro, ya que este puede acumularse en los dientes incluso aunque se lleve a cabo en casa una buena higiene dental.
Es importante insistir en la importancia del pulido de la superficie dentaria tras la realización de cualquier tipo de procedimiento de eliminación de sarro (tartrectomía). De no ser así, se volvería a acumular nuevamente la placa y el sarro de manera aún más rápida y severa, favorecida por las rugosidades que pueden producirse al limpiar.
La adecuada alimentación también influye en la salud bucal.
Remedios Caseros para Ayudar a Prevenir el Sarro
Aunque la eliminación del sarro requiere intervención profesional, existen algunos remedios caseros que pueden ayudar a prevenir su formación:
- Vinagre de manzana: Disolver 4 cucharadas de vinagre de manzana en 1 ⁄ 4 de vaso de agua y cepillarse los dientes con esta solución. Es imprescindible verificar que el vinagre sea de origen natural.
- Bicarbonato de sodio: Colocar el polvo sobre el cepillo y realizar el cepillado durante dos minutos aproximadamente. Los componentes de este producto son antimicrobianos, lo que ayuda a prevenir algunas afecciones bucodentales.
- Perejil: Cuenta con propiedades antibacterianas y astringentes contribuyendo a mejorar la salud dental.
¡Cuidado con los remedios caseros! Siempre es mejor consultar con un profesional antes de probar cualquier método alternativo.
Tabla Resumen: Prevención y Eliminación del Sarro Dental
| Aspecto | Prevención | Eliminación |
|---|---|---|
| Higiene bucal deficiente, dieta rica en azúcares. | Cepillado regular, uso de hilo dental, enjuague bucal, visitas al dentista. | Limpieza profesional (tartrectomía, curetaje). |