Es muy común observar el uso de gomas en los brackets durante los tratamientos de ortodoncia, lo que genera interrogantes sobre su función. En este artículo, exploraremos las gomas para brackets, también conocidas como elásticos de ortodoncia, y su importancia en el proceso de corrección dental.
Los elásticos de ortodoncia son elementos auxiliares que se utilizan en diversos tratamientos de ortodoncia, incluyendo la ortodoncia fija convencional, la ortodoncia lingual e incluso la ortodoncia invisible.
Si bien los arcos y las ligaduras dentales tienen la función de mover los dientes a través de la línea de las encías, la función de los elásticos de ortodoncia es la de corregir la mordida del paciente.
CLASE III Elásticos
Tipos de gomas elásticas en ortodoncia
Generalmente, se suelen utilizar dos tipos de gomas elásticas en la ortodoncia:
- Gomas elásticas o ligaduras
- Elásticos intermaxilares
¿En qué se diferencia cada una de ellas?
Gomas elásticas o ligaduras
Este tipo de producto hace referencia a las gomas elásticas que se colocan alrededor de cada bracket. Su objetivo principal es asegurar que el arco, un alambre metálico que conecta los brackets, se sujete bien al bracket en cada pieza dental.
Con la llegada de nuevos tipos de brackets, como los de autoligado, ya no se usan tanto estas ligaduras o gomas elásticas.
Estas gomas para brackets suelen estar disponibles en varios colores, aunque también existen transparentes o blancas, con las que podrás pasar más desapercibido.
Elásticos intermaxilares
Los elásticos intermaxilares son bandas elásticas algo más grandes que las anteriores. Se utilizan tanto en ortodoncia con brackets, como en tratamientos de ortodoncia invisible. Su función principal es ayudar a alinear el maxilar superior e inferior, permitiendo así el correcto encaje de los dientes.
Igual que en el caso anterior, su uso será indicado por un profesional dental ya que dependen de cada caso.
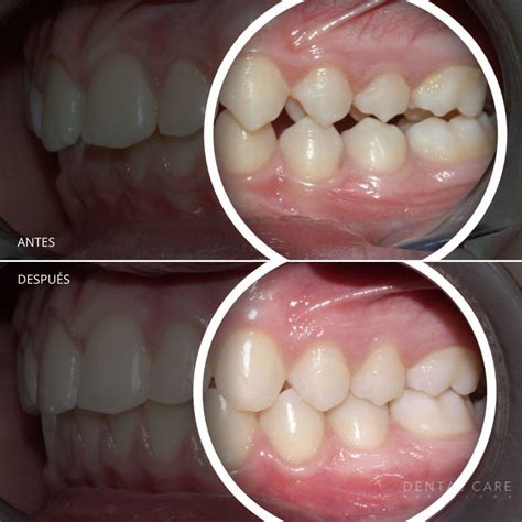
Como podemos ver en el siguiente ejemplo de uso de gomas de ortodoncia, los elásticos de triangulo o de asentamiento en triángulo se pueden utilizar en un tratamiento de ortodoncia lingual y sirven para conseguir que la mordida del paciente encaje a la perfección alineando los dientes de la parte superior para que encajen perfectamente con los dientes de abajo.

Colocación y uso de las gomas
¿Cómo y cuándo se ponen?
La colocación de las ligaduras suele realizarse por el especialista dental, siendo posible su colocación y extracción de manera sencilla. El dentista será quien coloque este tipo de gomas en los brackets. También te dirá cuándo debes ir a cambiar las gomas en las citas de seguimiento.
Es importante mantenerlas en buen estado y comunicar cualquier problema que puedas ver.
La primera vez será el dentista quien coloque los elásticos intermaxilares sobre tu ortodoncia. Después, te enseñará cómo hacerlo para que seas tú mismo quien lo haga.
En el caso de los brackets, no tendrás más que engancharlas a la parte superior e inferior como te hayan indicado. En el caso de tratamientos con alineadores, existen dos formas para enganchar cada maxilar:
- Recortes: En el alineador, donde se juntan el diente y la encía, aparecerá una pequeña muesca en forma de “C”, tanto arriba como abajo, hecha para sujetar las gomas.
- Botones: En este caso será a través del cementado de unos botones dentales que se colocan en cada alineador.
¿Cuánto tiempo se llevan las gomas en los brackets?
El uso de las gomas en los brackets es diario, es decir, debes llevarlas para comer y para dormir. El tiempo total de su utilización en el tratamiento será determinado por tu profesional dental.
La utilización de estos elásticos es diaria, incluyendo las horas de sueño. Únicamente deben quitarse para comer. En todo caso, este factor ha de ser indicado por el dentista encargado del tratamiento.
La duración habitual de uso de estos elásticos varía entre 3 y 6 meses.
¿Cada cuánto se cambian las gomas de los brackets?
Los elásticos intermaxilares van perdiendo elasticidad con el paso de las horas, dejando de cumplir su función. Es probable que tengas que cambiarlas al menos una vez al día pero, generalmente, su aplicación suele ser sencilla. De todos modos, y como regla general, sustituye siempre una goma de brackets que se ha roto.
Por un lado, las gomas para brackets son colocadas por el ortodoncista al inicio del tratamiento. Eso sí, deben ser cambiadas cada cuatro semanas aproximadamente, en las citas de revisión con el ortodoncista.
Por otro lado, el uso de los elásticos intermaxilares es completamente personalizado y depende de las necesidades de cada paciente. Los elásticos intermaxilares deben ser colocados por el propio paciente, ya que normalmente hay que cambiárselos todos los días y retirarlos antes de comer y cepillar los dientes.
Consejos para el uso adecuado de los elásticos
Llevar gomas elásticas en la ortodoncia no tiene por qué ser un obstáculo en tu día a día, pero es importante un uso y mantenimiento correcto. Recuerda lo siguiente:
- Cumple con las indicaciones de uso: Es crucial seguir las instrucciones específicas del dentista sobre cuándo y cómo debes usar las gomas elásticas. Esto incluye la cantidad de tiempo diario que deben ser llevadas y la correcta colocación de las mismas. Es decir, sigue las instrucciones exactas de tu dentista. Las gomas solo son eficaces si las colocas como te ha indicado el profesional.
- Una higiene bucal adecuada sigue siendo prioridad: Es esencial cepillarse los dientes y los brackets después de cada comida para evitar la acumulación de alimentos y placa alrededor de las gomas. El hilo dental o los cepillos interdentales pueden ser grandes aliados.
- Si las gomas de tu ortodoncia se desprenden de los brackets o se rompen, es importante que contactes a tu dentista.
Además, es recomendable llevarlas al menos 20 horas al día, a no ser que el dentista te indique lo contrario, para cerciorarnos de que su acción es efectiva. Las gomas deben colocarse en la posición indicada por el ortodoncista.
Tanto si son ligaduras elásticas de unión o elásticos intermaxilares, es necesario que sigas las instrucciones de colocación de tu médico, seas constante en su uso y sigas una escrupulosa limpieza.
Si tienes previsto realizar un tratamiento de ortodoncia, tu ortodoncista te dirá cómo colocar y cuándo usar algunos de estos elásticos, aunque no está de más conocer su función.
¿Duele llevar gomas en la ortodoncia?
Las ligaduras o gomas en los brackets pueden causar molestias en los dientes al principio.
En el caso de los elásticos intermaxilares, si la presión que ejercen te resulta incómoda, puedes probar a masajear la mandíbula. Cuando te quites las gomas para cambiarlas, puedes probar a activar y aliviar los músculos abriendo y cerrando la boca.
Ante cualquier duda, lo recomendable es que se lo comentes a tu dentista.
Tipos de ligaduras para ortodoncia según el material
Las ligaduras ortodónticas se clasifican en función del material de fabricación:
- Metálicas: Son más rígidas y resistentes, ejercen más fuerza durante un periodo de tiempo continuo. Utilizamos ligaduras preformadas metálicas, de alambre de .010 duro. La ligadura preformada mejora la adaptación del alambre al bracket y disminuye el tiempo de cambio de arcos. La dureza del alambre facilita graduar con precisión esta relación bracket/arco, evitando que se parta con facilidad.
- Elásticas: También llamadas gomas, proporcionan una mayor flexibilidad y menor rigidez. Pueden estar fabricadas en látex, silicona u otros materiales elásticos. Hay muchos colores disponibles. Los elastómeros para brackets poseen una excelente capacidad de recuperación de memoria, no contienen látex y son de colores estables.
- Estéticas: Con brackets metálicos se suelen utilizar gomas grises, mientras que el color marfil o crema se utiliza mucho con brackets estéticos. También se utilizan mucho las ligaduras de colores, son más llamativas. Las menos utilizadas son las transparentes, porque se tiñen más fácilmente que las de colores.
Otros elementos auxiliares en ortodoncia
Además de las ligaduras y elásticos, existen otros elementos auxiliares que se utilizan en ortodoncia:
- Muelles: Los muelles son resortes helicoidales que están destinados a utilizarse comprimidos para abrir espacios o para desplazar dientes en una dirección determinada o bien estirados que en tal caso se utiliza para desplazar un diente o un grupo de diente utilizando la recuperación elástica del muelle.
- Muelle de acero inoxidable: Utilizamos muelles para la apertura de un lateral que midan 2 mm. más que la distancia interbracket. Con esta activación obtenemos un sistema que una vez que realiza una pequeña apertura (de 1 mm. a 1,5 mm.) deja de actuar sin provocar un exceso de apertura.
- Muelle de níquel-titanio: Los muelles de Ni Ti de fuerza lineal son unos de los avances más importantes de los últimos años. Su diseño se ha realizado para que la presión que ejercemos de compresión no apriete una espira contra la contigua, sino que provoque una deformación elástica con desplazamiento aleatorio y excéntrico que cambia el comportamiento de un muelle convencional.
- Hilo elástico: El hilo elástico se utiliza en aquellos casos en los que tenemos un diente muy alejados de la arcada y no podemos ligarlo al arco con ningún otro tipo de sujección.
- Módulos: Los módulos son dispositivos auxiliares elastoméricos que en la fase de alineación y nivelación tienen pocas indicaciones, salvo las mismas que las del hilo elástico y además se utilizan para la corrección de las rotaciones de premolares.
- Cadenetas: Las cadenetas también son dispositivos elastoméricos que se utilizan en la fase de nivelación para corregir rotaciones de incisivos y premolares.
- Ligadura en lazo: La ligadura en lazo no es más que un alambre comúnmente utilizado de un calibre de .010 que se trenza alrededor de los brackets con cierta tensión con la finalidad de desplazar un diente en un sentido determinado como por ejemplo distalar caninos, en estos casos se denomina ligadura en lazo activa.
- Resortes sobre el arco: Los resortes se construyen en aquellos casos en los que la zona premolar o molar se han realizado extracciones y un arco recto se fractura o deforma con la masticación. La necesidad de hacer resortes es la causa de que utilicemos en todos los casos con extracciones arcos de acero.
- Elásticos Intermaxilares: Son dispositivos elastoméricos que se aplican uniendo las arcadas con el fin de mejorar la intercuspidación dentaria, tanto anterior como posterior.