Si actualmente tienes un tratamiento de ortodoncia con brackets o alineadores, es probable que tu ortodoncista te haya comentado que durante el tratamiento hará falta un «tope oclusal» o un «levante de mordida». Pero, ¿Qué es un tope oclusal? ¿Para qué sirve? En este post te lo explicamos.

Entendiendo los Topes Oclusales
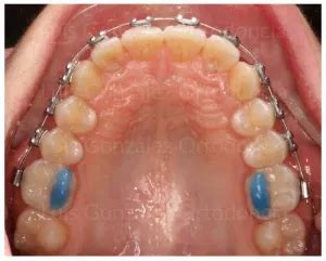
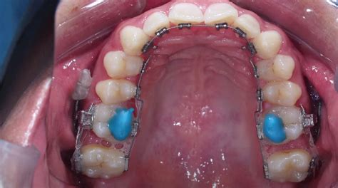
Los topes oclusales, también conocidos como levantes de mordida, son unos pequeños elementos utilizados en tratamientos de ortodoncia que evitan que los dientes engranen de forma completa.
¿Qué son los topes oclusales?
Los topes oclusales se colocan en los dientes para prevenir el contacto excesivo entre los dientes superiores e inferiores. Esto ayuda a aliviar la presión en ciertas áreas de la boca.
«Los topes oclusales son unos pequeños elementos utilizados en tratamientos de ortodoncia que evitan que los dientes engranen de forma completa».
¿Qué funciones tienen?
Los topes oclusales al crear «desoclusión» (desengranar los dientes) y dependiendo de si son colocados en la parte anterior o posterior tienen diferentes funciones, entre las cuales están:
- Desengranar los dientes para solventar mordidas cruzadas.
- Extrusión de los dientes posteriores así como la intrusión de los dientes anteriores: esto se consigue al colocarlos en la parte anterior.
- Evitar contactos de los dientes superiores con los brackets inferiores: los contactos muy fuertes entre dientes superiores contra los brackets inferiores pueden facilitar la caída de brackets.
- Estabilizar la mordida de forma temporal: En algunos tratamientos, pasamos por mordidas transicionales hasta conseguir la oclusón ideal. Estas mordidas transicionales pueden ser incómodas para el paciente. En estos casos los levantes de mordida pueden aliviar dichas molestias permitiendo tener contactos estables al morder.

Cuando se localiza en la parte anterior también recibe el nombre de «Turbo Bites»

Recomendaciones para pacientes de ortodoncia con topes Oclusales
Cuidado y Mantenimiento
- Higiene Oral Rigurosa: Mantén una rutina de higiene bucal estricta. Los topes oclusales pueden acumular placa si no se limpian adecuadamente.
- Evita Alimentos Duros o Pegajosos: Estos pueden dañar o desplazar los topes oclusales.
- Revisiones Periódicas: Es crucial asistir a todas tus citas programadas. Tu ortodoncista ajustará o reemplazará los topes oclusales según sea necesario.
- Periodo de Ajuste: Puede tomar un tiempo acostumbrarse a los topes oclusales. Ten paciencia y sigue las instrucciones de tu ortodoncista.
Beneficios de los Topes Oclusales
- Mejora de la Mordida: Ayudan a corregir problemas de mordida, lo que lleva a una función masticatoria más eficiente.
- Prevención de Daños: Protegen contra el desgaste excesivo de los dientes.
¿Se evitan los topes oclusales con los alineadores?
Los levantes de mordida pueden utilizarse también con la ortodoncia invisible.
🌟 TOPES OCLUSALES! 🦷✨ LEVANTES DE MORDIDA EN ORTODONCIA /¡REVELO LOS SECRETOS OCULTOS!
Levante de mordida: conceptos y beneficios
Definición de levante de mordida
El levantamiento de mordida es un método esencial en ortodoncia utilizado para mejorar la oclusión dental. Su propósito principal es crear una separación entre los dientes de arriba y los de abajo. Esta técnica se aplica tanto en la parte anterior como en la posterior de la cavidad bucal, según la necesidad del paciente. Dependiendo del tipo de maloclusión, el ortodoncista determinará la ubicación más adecuada. Frecuentemente conocida como topes oclusales, la elevación de mordida ayuda a desbloquear la oclusión dental, permitiendo que los dientes superiores no rocen contra los brackets inferiores.
Se utiliza en tratamientos ortodónticos linguales, vestibulares y con alineadores.
Además, el levante de mordida no solo mejora la estética dental, sino que también previene las lesiones bucales y mejora la funcionalidad de los dientes.
- Región anterior: Levante efectuado en las caras palatinas de los incisivos centrales superiores.
- Región posterior: Levante realizado en la cara oclusal de los molares y premolares.
Por lo tanto, el levante de mordida es una técnica clave en ortodoncia para resolver problemas de oclusión y mejora la salud dental general.
Beneficios del levante de mordida
Existen diversos beneficios esenciales para la salud dental y la calidad de vida del paciente.
En primer lugar, mejora la estética dental del paciente. Al corregir la oclusión, se logra una alineación más adecuada de los dientes, dando como resultado una sonrisa más atractiva.
Otro beneficio es la prevención de lesiones bucales. Al evitar el contacto entre los dientes superiores e inferiores, se disminuye el riesgo de heridas en labios, lengua y mejillas.
Asimismo, el levante de mordida ayuda a mejorar la funcionalidad dental. Permite una masticación más efectiva y cómoda, lo cual es crucial para la digestión y la salud general.
Al corregir maloclusiones a tiempo, se evitan complicaciones más extremas que podrían requerir tratamientos más invasivos.
En definitiva, los beneficios del levante de mordida son múltiples y significativos para los pacientes y profesionales dentales por igual.
Materiales utilizados en el levante de mordida
La elección de materiales para el levante de mordida es clave para la efectividad del tratamiento. A continuación, se describen los materiales más utilizados.
El composite es el material más comúnmente utilizado. Este material es conocido por su durabilidad y fácil manipulación. Se emplea para crear tanto levantes de mordida prefabricados como personalizados.
Otra opción popular es la resina fotopolimerizable. Este material se usa particularmente en levantes posteriores y tiene la ventaja de liberar flúor, lo que brinda protección adicional a los dientes.
Los mini moldes de composite permiten una aplicación rápida y precisa, especialmente útil en la región anterior.
Es esencial destacar que, la elección del material adecuado es fundamental para garantizar un tratamiento exitoso y duradero.
Duración del tratamiento
La duración del tratamiento de levante de mordida puede variar según el caso individual de cada paciente. Usualmente, los levantes de mordida permanecen en la boca alrededor de 8 meses.
En casos más complejos, como aquellos que requieren tratamientos más prolongados, se pueden aplicar técnicas alternativas. Por ejemplo, los levantes en los segundos molares se pueden retirar y reintegrar después de algunos meses.
Factores como el tipo de maloclusión y la respuesta del paciente al tratamiento son determinantes.
Un aspecto importante es que los levantes de mordida pueden ser temporales y se retiran una vez que se ha logrado el objetivo deseado. Esto minimiza cualquier incomodidad a largo plazo.
Finalmente, la duración del tratamiento se ajusta a las necesidades específicas del paciente, brindando flexibilidad y efectividad.
Levante de mordida posterior: Procedimiento y aplicaciones
Ubicación y técnica
El levante de mordida posterior es una técnica precisa recomendada por el ortodoncista para asegurar la alineación dental correcta y prevenir complicaciones antes de la colocación de los brackets.
En pacientes con overjet aumentado, se sugiere colocar el ajuste en los caninos para brindar un mejor soporte. Para corregir mordidas irregulares, se puede aplicar el ajuste uniendo los dientes anteriores de canino a canino, lo que ayuda a prevenir la formación de espacios entre los dientes.
Indicaciones para pacientes
Es esencial que los pacientes comprendan la importancia del ajuste de la mordida posterior y cómo cuidarlo correctamente, siguiendo las recomendaciones del ortodoncista. La higiene oral adecuada es crucial para prevenir la acumulación de placa y caries, por lo que se deben usar enjuagues bucales y cepillos interdentales según lo recomendado. Además, se debe evitar consumir alimentos duros y pegajosos que puedan dañar el ajuste.
Materiales recomendados
El éxito del ajuste de la mordida posterior depende en gran medida de los materiales utilizados. Las resinas compuestas son las más comúnmente recomendadas por su capacidad de adaptación y resistencia. Otros materiales que pueden ser utilizados incluyen acrílico, ionómero de vidrio y cerámica, cada uno con sus propias ventajas y desventajas, que el ortodoncista evaluará y recomendará según las necesidades específicas del paciente.
Duración y mantenimiento
La duración del ajuste de la mordida posterior puede variar de un paciente a otro y depende del material utilizado, pudiendo abarcar desde unos pocos meses hasta más de un año. Es crucial que los pacientes asistan a las citas de seguimiento programadas por el ortodoncista para evaluar la efectividad del tratamiento y llevar a cabo los ajustes necesarios.
Mantener una buena higiene oral durante todo el tratamiento es fundamental para garantizar su durabilidad y efectividad a largo plazo.
Levante de mordida anterior: Técnica y casos de uso
Métodos de confección
El levante de mordida anterior se puede realizar mediante diversas técnicas. La elección del método depende de factores como el diagnóstico clínico, la preferencia del ortodoncista y las necesidades específicas del paciente.
Entre los métodos más comunes, encontramos:
- Resina compuesta: Utilizada por su versatilidad y facilidad de aplicación, la resina compuesta es una opción popular para el levante de mordida anterior.
- Coronas temporales: En casos donde se requiere una solución temporal, las coronas pueden proporcionar una elevación de mordida efectiva.
- Dispositivos removibles: Estos aparatos permiten ajustes periódicos y son ideales para pacientes en crecimiento.
El método más adecuado para cada paciente puede variar según la situación específica y los objetivos del tratamiento. Es fundamental que el ortodoncista evalúe cada caso individualmente para seleccionar el método más adecuado y asegurar un resultado exitoso.
Indicaciones clínicas
El levante de mordida anterior se utiliza principalmente para tratar ciertos problemas ortodónticos. Entre las principales indicaciones clínicas se incluyen:
- Corrección de sobremordida: Cuando los dientes superiores cubren excesivamente los inferiores, el levante ayuda a equilibrar la mordida.
- Prevención de desgaste dental: Una mordida desequilibrada puede llevar al desgaste prematuro de los dientes.
- Tratamiento de maloclusiones: En casos de maloclusiones severas, un levante puede mejorar la funcionalidad y estética dental.
El diagnóstico preciso y la planificación son cruciales para determinar cuándo se debe aplicar esta técnica.
Materiales y sus ventajas
- Resina compuesta: Popular por su adaptabilidad y estética, esta resina permite ajustes fáciles y rápidos.
- Acrílico: Utilizado en dispositivos removibles, proporciona una opción duradera y económica.
- Cerámica: En soluciones permanentes como coronas, la cerámica ofrece una excelente estética y resistencia.
La selección del material adecuado dependerá de la duración del tratamiento y las preferencias del paciente. La combinación de materiales puede ser una opción viable según las necesidades clínicas.
Patologías que corrige el levante de mordida
Problemas de oclusión
El levante de mordida puede ser una solución eficaz para diversos problemas de oclusión, que a menudo se clasifican en tres categorías principales: Clase 1, Clase 2 y Clase 3. La oclusión dental adecuada es esencial para la función y la estética bucal.
En la oclusión Clase 1, los problemas surgen de la posición de los dientes más que de la estructura del maxilar. Aunque los maxilares tienen una relación normal, los dientes pueden estar apiñados o desalineados.
El retrognatismo o Clase 2 se caracteriza por un maxilar superior que sobresale significativamente sobre el maxilar inferior. Esto no solo afecta la estética facial, sino que también puede causar problemas funcionales al masticar y hablar.
La mordida cruzada y la mordida abierta, ambas de Clase 3, ocurren cuando los dientes superiores se alinean detrás de los inferiores, o hay un espacio notable entre ellos al morder.
El levante de mordida ayuda a redistribuir la presión dental, mejorando la alineación y la función de los dientes. Los pacientes y los profesionales dentales deben considerar esta técnica como una opción viable para tratar problemas de oclusión que afectan la calidad de vida.
Daños y heridas evitadas
El uso del levante de mordida no solo mejora la alineación dental, sino que también previene daños y heridas en la cavidad bucal.
Al corregir la maloclusión, el levante de mordida reduce el desgaste anormal de los dientes, protegiendo el esmalte y previniendo fracturas.
Los pacientes con problemas de oclusión a menudo experimentan dolores de cabeza, dolores de mandíbula, e incluso lesiones en los tejidos blandos.
Un tratamiento eficaz con levante de mordida puede mitigar estos síntomas, mejorando significativamente el bienestar general del paciente. Los profesionales dentales deben evaluar estos factores para ofrecer una solución completa.
Los sistemas de levante de mordida están diseñados para distribuir la presión de manera uniforme, evitando puntos de contacto excesivos y reduciendo el riesgo de lesiones en las encías y otros tejidos bucales.
Mejora de la salud bucal
Además de corregir la maloclusión, el levante de mordida contribuye a la mejora general de la salud bucal.
Una adecuada oclusión facilita una limpieza dental más eficaz. El alineamiento correcto de los dientes permite que la limpieza dental y el empleo de hilo dental sean más efectivos, reduciendo el riesgo de caries y enfermedades periodontales.
La distribución uniforme de la fuerza masticatoria evita el desgaste excesivo de ciertos dientes, prolongando su vida útil y evitando tratamientos más invasivos en el futuro.
El equilibrio oclusal también contribuye a una mejor digestión. Una masticación eficiente produce una trituración adecuada de los alimentos, facilitando su procesamiento en el sistema digestivo.
Finalmente, el levante de mordida puede mejorar la estética facial, proporcionando una sonrisa alineada y equilibrada que aumenta la confianza del paciente.
| Ventaja | Descripción |
|---|---|
| Mejora de la mordida | Corrige problemas de mordida, mejorando la función masticatoria. |
| Prevención de daños | Protege contra el desgaste excesivo de los dientes. |
| Estabilización temporal | Alivia molestias en mordidas transicionales. |
| Corrección de mordidas cruzadas | Desengrana los dientes para solucionar mordidas cruzadas. |