En un mundo donde las redes sociales dictan tendencias, la pasta de dientes morada ha surgido como una solución mágica para blanquear la dentadura al instante. Pero, ¿realmente cumple lo que promete? Este artículo explora la efectividad de este producto viral, respaldado por la opinión de expertos y análisis detallados.

El Auge de la Pasta de Dientes Morada
Las redes sociales se han convertido en una valla publicitaria, promocionando productos como la pasta de dientes morada que promete blanquear los dientes al instante. Esta tendencia sigue la misma teoría que los champús y mascarillas moradas para el cabello rubio: el morado es el color opuesto al amarillo, el cual se acerca al esmalte dental con el tiempo.
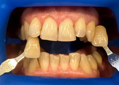
Lo que se observa en muchos vídeos es una demostración del resultado, donde se aplica el dentífrico morado en un solo diente durante unos minutos. Al retirar el producto, el cambio de color es evidente, logrando un blanco nuclear que contrasta con el resto de la dentadura amarillenta. A continuación, se aplica la pasta en toda la sonrisa con un cepillo, buscando un blanco homogéneo.
Es importante destacar que no se trata de un tratamiento de limpieza, sino de un sérum o fórmula blanqueante que no sustituye la pasta de dientes tradicional.
PURPLE V34™ - Blanqueador Dental
La Opinión de los Expertos
Ante resultados que parecen mágicos, surge la duda sobre la verdadera efectividad de la pasta morada. En redes sociales, varios odontólogos han refutado su eficacia como blanqueante duradero, argumentando que se trata solo de un efecto visual que desaparece con el tiempo.
La doctora María Gámez de la Clínica Dental Myca probó una de estas pastas y explicó: “Ya solo al leer los ingredientes que lleva sabía que no podía funcionar. Pero quería comprobar el porqué de su éxito en redes sociales y lo compré para verificar que, tras esa fama, se esconde una estrategia de publicidad”.
La doctora Gámez señala que los únicos ingredientes avalados por la ciencia para blanquear los dientes de forma segura son el Peróxido de Hidrógeno y el Peróxido de Carbamida, ninguno de los cuales está presente en los dentífricos morados. Además, el grado de blanqueamiento depende de factores como la dureza del esmalte.
El funcionamiento real de la pasta de dientes morada es anular el tono amarillo de la dentadura utilizando el pigmento morado, su color opuesto. La odontóloga afirma que es imposible lograr un blanqueamiento real con una simple pasta de dientes que actúa en pocos minutos. Lo único que se consigue es un efecto óptico temporal.

¿Es Segura la Pasta de Dientes Morada?
La falta de efectividad real de la pasta de dientes morada no implica riesgos para el esmalte. Sin embargo, la doctora Gámez no la recomienda para el uso diario, dada la amplia variedad de pastas de dientes disponibles en el mercado.
Si realmente fuera efectiva, podría dañar las encías. En un blanqueamiento clínico, el primer paso es proteger las encías. La doctora cuestiona si sería seguro aplicar en la boca un compuesto tan potente capaz de blanquear en segundos un diente o una corona de metal-porcelana.
Además, la doctora anima a prestar atención a los vídeos en redes sociales, donde a veces se utilizan filtros o carillas dentales para lograr el efecto de blanqueamiento.
¿Cómo Funcionan las Pastas de Dientes Blanqueadoras Convencionales?
Las pastas de dientes blanqueadoras contienen ingredientes abrasivos y/o blanqueadores especiales, como carbamida o peróxido de hidrógeno en concentraciones más altas que las pastas habituales. Estos ingredientes “rompen” las manchas de los dientes en pequeñas piezas, dejando el esmalte más brillante.
Es importante tener en cuenta que mantener unos dientes blancos requiere una buena genética, cuidado oral diario y evitar alimentos y bebidas que manchen los dientes.
Tipos de Manchas Dentales
- Manchas Extrínsecas: Se producen en la superficie del diente por el consumo de alimentos, bebidas u otras sustancias como café, té, vino o tabaco. La placa dental y el sarro facilitan la adhesión de estas sustancias.
- Manchas Intrínsecas: Son causadas por factores genéticos, edad, traumatismos, medicamentos (como la tetraciclina) o exposición excesiva al flúor.
Una buena pasta de dientes blanqueadora puede mantener el blanco obtenido con un blanqueamiento dental profesional en clínica.
Alternativas para el Blanqueamiento Dental
Si las pastas de dientes blanqueadoras no cumplen tus expectativas, existen otras opciones:
- GLO Teeth Whitening: Un sistema innovador que combina calor y luz LED azul con un producto blanqueador a base de peróxido de hidrógeno. Ofrece resultados rápidos y visibles, tanto en clínica como en casa.
- LacerBlanc: Utiliza sílicas para pulir y arrastrar manchas extrínsecas, devolviendo el color natural a los dientes. Incorpora un colorante azul que proporciona una apariencia más blanca tras el cepillado.
- Tratamientos Profesionales: Blanqueamientos en clínica con peróxido de hidrógeno, adhesión dental con resina compuesta, coronas dentales para cubrir dientes enteros.

Mejores Pastas Dentales Blanqueadoras en 2024
El mercado ofrece diversas marcas de pastas dentales blanqueadoras. Aquí algunas de las mejores opciones:
- Lacerblanc: Blanquea y elimina la placa bacteriana.
- Vitis Whitening: Protege especialmente el esmalte dental.
- Sensodyne Repair & Protect: Restaura el blanco natural.
- Dr Organic - Carbón: Apta para veganos.
- iWhite: Con partículas de carbón activo.
- Colgate Max White Expert: Elimina el 100% de las manchas superficiales.
Beneficios y Desventajas de las Pastas Blanqueadoras
El uso de pasta de dientes blanqueadora tiene ventajas y desventajas:
Beneficios
- Blanquea los dientes.
- Algunas fórmulas fortalecen el esmalte dental.
- Complementa la limpieza dental blanqueadora realizada por los dentistas.
- Ayuda a aumentar la confianza.
Desventajas
- Los efectos son sólo temporales.
- Puede causar sensibilidad en dientes y encías.
- Los resultados no son tan efectivos como los de los tratamientos blanqueadores profesionales.
- Solo actúan con manchas superficiales.
Tabla Comparativa de Pastas Dentales Blanqueadoras
| Marca | Características | Beneficios |
|---|---|---|
| Lacerblanc | Elimina placa bacteriana | Blanquea y protege |
| Vitis Whitening | Protege el esmalte | Blanqueamiento suave |
| Sensodyne | Repara y protege | Reduce la sensibilidad |
| Dr Organic | Carbón activado | Vegana, elimina manchas |