La salud de las encías es fundamental para mantener una sonrisa saludable y prevenir enfermedades dentales graves. Si tus encías están inflamadas, rojas o sangran cuando te cepillas los dientes, es posible que tengas enfermedad de las encías. Este problema puede ocasionar desde una simple inflamación hasta el desarrollo de algo mucho más grave como una enfermedad periodontal.

La regeneración y el cuidado de las encías es esencial porque ayudan a prevenir la periodontitis, una enfermedad dental grave que puede dañar las encías, el tejido conectivo y el hueso que sostiene los dientes. Mantener unas encías regeneradas y sanas tiene numerosas ventajas que pueden mejorar significativamente la salud y calidad de vida de una persona.
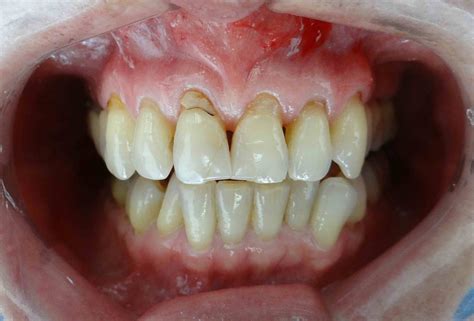
¿Qué son las encías retraídas?
Las encías son el tejido blando, firme y rosado que rodea el cuello de tus dientes y recubre su zona radicular. Hablamos de encías retraídas cuando el tejido gingival que rodea tu diente se desplaza en sentido apical, dejando al descubierto parte de la raíz dentaria. Retracción gingival, recesión de encías y pérdida de encía son otros nombres con los que se conoce esta afección.
Generalmente, este problema da inicio a grandes aglomeraciones de bacterias, lo que suele generar si no se trata a tiempo ciertas enfermedades periodontales y que dependiendo del grado de afección nuestros especialistas determinarán un tratamiento u otro. Asimismo, si tienes pérdida de tu encía, el cepillado dental puede volverse dificultoso por la sensibilidad. Esto favorece el acúmulo de placa bacteriana y la formación de sarro, situaciones que irritan tu tejido gingival e incrementan la retracción.
Aunque se trata de una condición bastante común, muchas personas no se dan cuenta de que su tejido gingival está retrocediendo. Ya te contamos que las encías retraídas afectan la estética de la boca, aumentan el riesgo de sufrir caries y pueden provocar sensibilidad. Presencia de uno o más dientes largos respecto a los demás. Igualmente, las encías retraídas pueden ser un síntoma de otras afecciones dentales subyacentes.

Son varios los motivos que pueden llevar a que tus encías se retraigan, incluso, en algunos casos, es la combinación de varias situaciones lo que provoca la pérdida de tejido gingival.
Causas comunes de la retracción gingival
- Gingivitis: La gingivitis es la inflamación de las encías, asociada a una inadecuada higiene oral, lo que provoca la acumulación de placa bacteriana y la formación de sarro.
- Periodontitis: La periodontitis, también conocida como enfermedad periodontal o piorrea, surge como consecuencia de una gingivitis no tratada.
- Cepillado agresivo: Si eres de los que se cepilla los dientes con mucha fuerza o con cepillos muy duros, debes saber que esta práctica puede dañar tus encías y provocar su retracción.
- Ortodoncia: Los tratamientos de ortodoncia nos permiten movilizar las piezas dentarias para conseguir una adecuada relación entre las piezas superiores con las inferiores.
- Tabaquismo: El tabaco es un hábito nocivo que altera la salud oral de muchas maneras.
- Traumatismos: Sufrir un golpe en la boca es otra de las causas que puede provocar la pérdida de encías.
- Bruxismo: En odontología llamamos bruxismo al apretamiento y rechinamiento inconsciente de los dientes.
- Piercings bucales: Otra causa de la recesión de encías es la presencia de piercings en la boca.
Si tienes sarro en tu boca deberás acudir a nuestros consultorios lo más pronto posible. Además, si notas que tus encías están hinchadas o sangran cuando te cepillas los dientes también deberás visitarnos con prontitud. Estas son señales de que algo no está bien en tu boca y no debes pasarlo por alto.
¿Se regeneran solas las encías?
La respuesta a esta pregunta es un rotundo no. Como ya sabemos, no es posible que nuestras encías se regeneren por sí solas, por lo que la recuperación gingival se realizará tras acudir con nuestros especialistas. El tejido gingival no se regenera por sí mismo ni existen remedios caseros para tratar las encías retraídas.
Sin embargo, no tienes de qué preocuparte porque no todo es tan malo como parece. Aunque el problema de encías retraídas sea severo, buscaremos una solución para resolverlo. Por este motivo, es importante que nos visites en nuestra Clínica Dental de Valencia y Silla para realizar tus revisiones semestrales con regularidad.
Así se solucionan las encías retraídas (recesión gingival)
Tratamientos para las encías retraídas
Si el origen es un cepillado agresivo, un piercing o la consecuencia de un tratamiento de ortodoncia, las encías retraídas tienen solución. En cambio, si la retracción gingival se acompaña de un daño periodontal grave, como en la periodontitis, el abordaje es más complicado. Entonces, lo primero que debemos hacer para curar tus encías retraídas es encontrar la causa que provocó el problema.
Al eliminar las causas de las encías retraídas, intentamos que el tejido gingival vuelva a su posición natural. Además de actuar sobre el origen del problema, muchas veces, serán necesarios algunos procedimientos terapéuticos para recuperar tus encías, disminuir los síntomas o lograr una sonrisa más armónica y bonita. Podemos dividir los tratamientos en técnicas quirúrgicas y no quirúrgicas.
Tratamientos no quirúrgicos
Si tu problema de encías retraídas es leve, podremos mejorar la situación sin cirugías.
- Agentes desensibilizantes y barnices: utilizaremos estos productos sobre las raíces expuestas.
Tratamientos quirúrgicos
Si tus encías no logran reposicionarse por sí solas, recurrimos a algunos procedimientos quirúrgicos que nos ayudan a solucionar el problema.
- Cirugía plástica mucogingival o injerto de encía: con esta técnica tomamos un fragmento de mucosa de tu paladar y lo colocamos sobre el sitio donde has perdido encía, recubriendo las raíces dentarias expuestas. Con esto buscamos regenerar el tejido faltante. Es una cirugía sencilla, rápida y con un postoperatorio leve.
- Estiramiento de encía: esta técnica, también llamada «colgajo movilizado coronalmente» lo podemos realizar si tienes conservadas tus papilas interdentarias, que son la porción triangular de encía que hay entre diente y diente.
- Cirugías periodontales: las aplicamos en casos de periodontitis graves y avanzadas.

Suele realizarse de manera quirúrgica y para ello se extrae una parte del tejido blando del paladar para insertarla en el área de la encía a reponer. En este caso se procede a realizar el estiramiento de encías sin necesidad de requerir algún injerto del paciente; sin embargo, esta técnica suele ser poco favorable debido a que no hay suficiente tejido para estirar, por lo que se termina recurriendo a la primera técnica.
¿Qué buscar en una pasta de dientes para encías retraídas?
Busca una fórmula específica para encías retraídas, con ingredientes que fortalezcan y estimulen la regeneración del tejido gingival. Evita pastas dentales con ingredientes abrasivos que puedan irritar más las encías. También, debes consultar a tu odontólogo para obtener recomendaciones personalizadas.
Algunas pastas dentales para encías retraídas contienen agentes que combaten las bacterias causantes del mal aliento, mejorando la frescura de la boca.
- Fortalecimiento de las encías.
- Reducción de la sensibilidad.
- Protección contra la caries.
- Prevención del mal aliento.
- Cuidado integral.
- Recomendación profesional.
Si te sientes inclinado hacia lo natural, considera pastas dentales con ingredientes naturales en su composición. Evita las pastas dentales que sean abrasivas y opta por productos suaves y que no causen irritación a tus encías.

Ejemplos de pastas de dientes recomendadas
- Parodontax Complete Protection: Esta pasta dental está diseñada específicamente para encías retraídas.
- Sensodyne Sensibilidad y Encías: Ideal para quienes padecen sensibilidad dental y encías retraídas.
- Elmex Sensitive Professional: Ofrece una protección integral para dientes sensibles y encías retraídas.
- Gum Paroex: Esta pasta dental está formulada para tratar y prevenir problemas de encías, incluyendo la recesión gingival.
- Oral-B Pro-Expert Clinical Gum Care.
- Colgate Total Advanced Gum Health.
- Parodontax Daily Care.
- GUM Sensi-Flex.
Pastas de dientes para encías inflamadas
Las encías inflamadas suelen ser el resultado de la acumulación de placa bacteriana. Algunas cremas dentales están formuladas específicamente para fortalecer las encías. Si las encías inflamadas también causan sensibilidad dental, puedes optar por una crema dental diseñada para reducir la sensibilidad. Algunas cremas dentales ofrecen protección adicional contra problemas dentales comunes, como caries, placa y manchas.
Busca triclosán, cloruro de cetilpiridinio (CPC) o bicarbonato de sodio para combatir bacterias y reducir la inflamación. Busca ingredientes antiinflamatorios, como triclosán, para reducir la hinchazón y el enrojecimiento. Consulta a tu dentista para recomendaciones personalizadas.
Ejemplos de pastas de dientes recomendadas para encías inflamadas
- Parodontax Complete Protection.
- Elmex Erosion Protection.
- Colgate Total Gum Health.
- Sensodyne Gum Care.
- Gum Paroex: Contiene clorhexidina, un agente antimicrobiano efectivo para combatir las bacterias en las encías inflamadas y prevenir problemas más graves.
- Fluocaril Gencives.
- Blend-a-med Pro-Expert Gum Protection.
Recuerda que, si fumas o bebes en exceso, considera cambiar tu estilo de vida para reducir la inflamación de las encías.
Higiene dental adecuada: La clave para encías saludables
La higiene dental adecuada es la clave para mantener encías saludables. Cepilla tus dientes dos veces al día con una pasta dental suave y utiliza hilo dental a diario para eliminar la placa y las bacterias que se acumulan en las encías. No, el uso de pasta de dientes especializada debe ir acompañado de una correcta técnica de cepillado, el uso de hilo dental y visitas regulares al dentista.
Cepillado dos veces al día con pasta suave, uso diario de hilo dental y enjuague bucal recomendado por el dentista. En situaciones avanzadas, se pueden necesitar tratamientos periodontales como limpiezas profundas.

Dieta saludable para la regeneración de encías
Otra forma de regenerar las encías es mediante una dieta saludable y equilibrada. Los alimentos ricos en vitamina C, como los cítricos y los pimientos, pueden ayudar a prevenir la inflamación de las encías.
Menor riesgo de enfermedades sistémicas
Las enfermedades de las encías también están relacionadas con un mayor riesgo de enfermedades sistémicas, como enfermedades cardíacas, diabetes y cáncer.
Si notas que tus dientes se ven más largos, tus encías se desplazan o tienes molestias al beber algo frío o caliente, puedes tener un problema de encías retraídas. Te recomendamos que no dejes pasar estas señales y pautes una cita en nuestras Clínicas Dentales de Valencia o Silla lo antes posible.