El flúor es uno de los elementos más debatidos en el cuidado dental.
Algunas personas lo consideran esencial para la salud bucodental, mientras que otras lo perciben como un ingrediente peligroso, especialmente en productos para niños.
La verdad es que, como ocurre con muchos temas de salud, la clave está en el conocimiento, el uso adecuado y el asesoramiento profesional.
En este artículo vamos a desmontar los mitos más comunes sobre el flúor y explicarte, con base científica, cuándo es seguro, cómo se usa y qué beneficios reales aporta a tu sonrisa.
¿Qué es el flúor y por qué se usa en odontología?
El flúor es un mineral que se encuentra de forma natural en el agua, el suelo y algunos alimentos.
En odontología, se utiliza por su capacidad para fortalecer el esmalte dental, hacerlo más resistente a los ácidos que producen las bacterias y prevenir la aparición de caries.
Está presente en muchas pastas dentales, colutorios, barnices profesionales y en algunos casos en el agua potable, según la región.
El flúor es un mineral clave en la prevención de la caries dental y en el fortalecimiento del esmalte, pero su uso debe ser controlado y personalizado.
Normalmente el flúor es un tema que genera diferentes opiniones cuando el debate aparece en nuestras consultas.
Es importante recordar que, durante décadas, el flúor ha sido un componente clave en la prevención de las caries, y su uso en productos como pastas dentales y enjuagues bucales está ampliamente extendido y conocido por todo el mundo.
El flúor es un mineral natural presente en diversas fuentes como el agua, el suelo, las rocas y ciertos alimentos.
Este mineral es fundamental en la salud dental debido a su capacidad para fortalecer el esmalte dental, la capa protectora externa de los dientes, y prevenir la aparición de caries.
El flúor puede ser encontrado de manera natural en algunas aguas subterráneas, y en muchos países, se añade de manera controlada al agua potable para mejorar la salud dental de la población.
También es un componente muy común en productos dentales como pastas de dientes, enjuagues bucales y tratamientos profesionales aplicados por muchos de los dentistas.
El flúor es ampliamente reconocido por su conocido papel en la prevención de las caries, lo que lo convierte en uno de los pilares fundamentales para mantener una buena salud bucal.
Como hemos comentado anteriormente, este mineral actúa fortaleciendo el esmalte dental, la primera línea de defensa de nuestros dientes frente a los ataques de ácidos y bacterias.
Aunque mucha gente puede no saberlo, uno de los beneficios más destacados del flúor es su capacidad para remineralizar áreas del esmalte que han comenzado a debilitarse.
El flúor tiene otros importantes beneficios, como su contribución a la reducción de la sensibilidad dental.

Como hemos visto en el anterior párrafo, aunque el flúor es conocido por sus múltiples beneficios para la salud dental, su uso en exceso puede provocar efectos secundarios, especialmente en los dientes que están en desarrollo.
Mitos sobre el flúor
Existen varios mitos en torno al uso del flúor en la salud dental. A continuación, desmentiremos algunos de los más comunes:
Mito 1: “El flúor es tóxico y no debería usarse”
Este es uno de los mitos más difundidos.
La realidad es que el flúor, en dosis adecuadas, es completamente seguro.
De hecho, su uso controlado es recomendado por organizaciones como la Organización Mundial de la Salud (OMS), la Asociación Dental Americana (ADA) y múltiples sociedades científicas internacionales.
Lo que sí es cierto es que, como cualquier sustancia, en dosis excesivas puede tener efectos adversos, especialmente en niños pequeños.
Por eso es importante usar la cantidad adecuada y siempre bajo supervisión en edades tempranas.
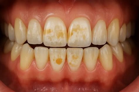
Mito 2: “El flúor causa fluorosis en los dientes”
Este mito tiene algo de verdad, pero con matices.
La fluorosis dental es una alteración en el esmalte que ocurre por la ingesta excesiva de flúor durante la etapa de formación de los dientes (de 0 a 8 años).
No es peligrosa para la salud, pero puede causar manchas o estrías blancas en los dientes.
Sin embargo, la fluorosis no ocurre por usar pasta fluorada correctamente, sino por ingerir flúor en exceso de forma continuada (por ejemplo, tragar grandes cantidades de pasta dental o consumir suplementos sin necesidad).
Mito 3: “Los niños no deben usar flúor”
Falso. Los niños sí deben usar flúor, pero en dosis adecuadas a su edad.
Las pastas dentales infantiles contienen concentraciones adaptadas, y los odontopediatras ajustan el uso según el riesgo de caries de cada niño.
Las recomendaciones actuales indican:
- De 0 a 3 años: pasta con 1000 ppm de flúor, usando una cantidad del tamaño de un grano de arroz.
- De 3 a 6 años: 1000 a 1450 ppm, con una cantidad del tamaño de un guisante.
- A partir de 6 años: pueden usar pastas para adultos.
Mito 4: “El flúor natural es mejor que el de las pastas dentales”
No hay diferencias significativas entre el flúor “natural” presente en el agua o en algunos alimentos y el que se incorpora en productos dentales.
Ambos actúan de forma similar sobre el esmalte.
La ventaja de las pastas y barnices es que permiten una aplicación controlada y localizada, justo donde se necesita.

Beneficios reales del flúor
El flúor no solo es seguro cuando se usa adecuadamente, sino que es una herramienta fundamental en la prevención de caries.
- Fortalece el esmalte dental.
- Previene la desmineralización causada por ácidos.
- Repara el esmalte en sus fases iniciales (remineralización).
- Reduce significativamente el riesgo de caries, tanto en niños como en adultos.
¿Cómo actúa el flúor sobre los dientes?
Existe un gran debate sobre la toxicidad del flúor y si debe estar presente en las cremas dentales.
El flúor transforma la hidroxiapatita (componente mineral presente en el diente) del esmalte dental en fluorapatita la cual es más resistente a la descalcificación.
El flúor fortalece el esmalte dental de dos maneras.
Primero, al entrar en contacto con el diente, se forma fluorhidroxiapatita, un mineral menos soluble que la hidroxiapatita presente de manera natural en el esmalte, lo que aumenta su resistencia al ataque ácido de las bacterias.
Los fluoruros presentes en enjuagues, pastas dentales y productos de uso exclusivo en la consulta suelen tener una acción tópica.
Como sabemos, la caries es resultado de un desequilibrio entre la pérdida de minerales del esmalte (desmineralización) y su recuperación (remineralización).
Flúor para niños y adultos
El flúor es un ingrediente clave en la prevención de caries para personas de todas las edades, incluidos los adultos.
En esta etapa, el esmalte dental puede seguir enfrentándose al ataque de ácidos producidos por bacterias en la boca, especialmente si la dieta incluye alimentos y bebidas con alto contenido de azúcar.
El uso de una pasta de dientes con flúor en adultos ayuda a fortalecer el esmalte dental y a remineralizar las zonas donde el desgaste comienza a ser visible, evitando la formación de caries.
Además, a medida que envejecemos, el riesgo de problemas como la retracción de encías y la exposición de las raíces dentales aumenta, lo que hace que el flúor sea aún más importante para proteger las áreas vulnerables.
En los niños, el flúor juega un papel crucial en el desarrollo de dientes fuertes y sanos desde una edad temprana.
Durante la infancia, los dientes permanentes se están formando y el flúor actúa como un escudo protector que evita que las bacterias ataquen el esmalte en desarrollo.
Es importante asegurarse de que los niños usen una cantidad adecuada de pasta dental con flúor según su edad.
Para los niños menores de tres años, se recomienda usar una cantidad equivalente a un grano de arroz, mientras que para los mayores de tres años se sugiere una porción del tamaño de un guisante.
Un uso excesivo de flúor puede ocasionar fluorosis dental, una afección que causa manchas en los dientes, por lo que es fundamental supervisar la cantidad que los niños utilizan.

Pastas dentales con flúor o sin flúor
La elección de una pasta de dientes con flúor o sin flúor suele generar bastantes dudas.
A la venta en el mercado tenemos disponibles distintos tipos de pastas dentífricas.
Las hay para uso general, para dientes sensibles, anti manchas, blanqueadoras, especiales para niños, anti caries, anti placa e incluso veganas.
El abanico es tan amplio porque cada una tiene una composición concreta con una función.
Pero esta variedad puede convertirse en un quebradero de cabeza cuando no se tiene claro cuál sería la más adecuada para cada persona.
Uno de las dudas más frecuentes suele surgir a la hora de elegir una pasta de dientes con flúor o sin flúor. ¿Sabes cuál es más conveniente?
Antes de conocer los pros y los contras, es importante destacar que el flúor es un mineral que está presente en la naturaleza (en estado sólido, líquido y gaseoso), en muchos alimentos y en algunas aguas potables fluoradas antes de su consumo.
Es necesario para el organismo porque participa activamente en los procesos de desmineralización y remineralización de la boca.
Con esta carta de presentación en la que sólo hablamos de sus beneficios, los odontólogos podríamos responder a la pregunta inicial diciendo que sí es mejor una pasta de dientes con flúor que otra que no lo contenga.
En el caso de los dientes, puede favorecer la aparición de manchas (blancas, o marrones en los casos más graves) o que pierdan su color.
Es lo que se conoce como fluorosis dental. Una enfermedad que además afecta a la estructura de los dientes y a su capacidad de absorber calcio, volviéndolos débiles y frágiles.
La fluorosis dental puede ser dañina en niños pequeños, hasta los 8 años, porque aún no tienen los dientes formados del todo.
Aunque según la Sociedad Española de Odontopediatría, el riesgo realmente sólo existe si el niño ingiere o chupa directamente pasta del tubo.
En cuanto a las proporciones en el cepillado, la recomendación es usar pastas de alta concentración de flúor, pero en pequeñas cantidades.
Nuestra respuesta es que, si eres una persona no propensa a las caries, no es necesario que uses una pasta con flúor para cepillarte los dientes.
Quizás en tu caso, y en función de tus necesidades, sea más adecuada una específica para la sensibilidad dental o anti sarro, por ejemplo.
Pero, conociendo sus beneficios, si optas por ella, úsala con moderación.
Si tienes hijos pequeños, recuerda que la pasta con flúor será una perfecta aliada para la prevención de las caries, pero siempre respetando la cantidad por franja de edad.
Además, deberás controlar cómo realizan el cepillado de los dientes, para ayudarles si lo necesitan, y evitar que se coman la pasta.
Sólo así preservarás su salud bucodental y su salud general.
Tratamientos preventivos con flúor
Los tratamientos preventivos desempeñan un papel fundamental en el cuidado de la salud bucal de los peques.
Una vez que se determina el riesgo de padecer caries del niño, debemos pasar a la planificación del plan de tratamiento.
- Revisiones regulares: establecer los tiempos adecuados entre sesiones para poder realizar higienes o detectar de manera temprana la aparición de caries.
- Sellantes de fosas y fisuras profundas: para prevenir la acumulación de restos de alimentos y biofilm dental en los surcos más profundos de los dientes.
- Geles de flúor: una de las principales formulaciones disponibles es la del gel de fluoruro fosfato acidulado al 1,23% que proporciona una concentración de 12.300 ppm de F-.
- Barniz de flúor: es una solución concentrada de flúor que contiene 5% de fluoruro de sodio, lo que representa una concentración de 22.600 ppm de F-.
Recomendaciones generales
Las principales asociaciones dentales coinciden en la importancia de que los más pequeños se cepillen los dientes al menos dos veces al día durante dos minutos con un cepillo suave, especialmente antes de irse a dormir.
En general, en situación de salud, se recomiendan pastas dentífricas con 1000 ppm de flúor de 0 a 6 años de edad; mientras que para los niños 6 años en adelante se pueden empezar a usar pastas con 1450 ppm de flúor.
Se suele recomendar una pequeña cantidad de pasta dental para niños hasta los 2 años, como un grano de arroz y de los 3 a 6 años la cantidad debe ser del tamaño de un guisante.
Si bien el flúor es seguro para los más pequeños y aporta muchos beneficios en las cantidades adecuadas, cuando se ingiere flúor en cantidades superiores a las recomendadas puede llevar a fluorosis dental, un trastorno en el esmalte que tiene lugar cuando los dientes en desarrollo se exponen a altos niveles de flúor.
A pesar de ello, la pasta dental no tiene por qué ser la causante de la fluorosis, existen muchos otros factores que pueden favorecer la aparición de esta: genética, dieta y concentración de flúor en el agua en la región, principalmente.
El flúor es uno de los minerales más importantes para mantener una buena salud bucodental, ya que protege los dientes frente a la caries y refuerza el esmalte dental.
El flúor es un mineral natural que se encuentra en el agua, en algunos alimentos y también en nuestro cuerpo, especialmente en los huesos y los dientes.
La cantidad de flúor incluida en la pasta dental se verifica en los ingredientes de la misma, también es importante llevar un control estricto sobre la cantidad de producto que se utiliza al momento de cepillarse, sobre todo en niños, ya que, dependiendo de la edad, algunos no saben llevar a cabo una correcta técnica de cepillado y suelen ingerir dentífrico lo que podría desencadenar aparte de malestares gástricos en una fluorosis dental, que se manifiesta cuan do los dientes están expuestos a grandes cantidades de flúor por vía sistémica en forma de manchas o pigmentaciones de color tiza o marrones.
La fluorosis exclusivamente puede ocurrir cuando se ingieren grandes cantidades de dentífricos, durante largos períodos de tiempo.
En definitiva, el flúor es uno de los ingredientes más efectivos para prevenir la caries dental en niños y niñas, aunque como todo ha de usarse de manera controlada.
Sigue siendo habitual encontrar cierta desinformación en lo que respecta al uso de pastas dentales con flúor.
Tal como ocurre con otras ciencias de la salud, la odontología está en constante evolución y es necesario adaptar las prácticas como profesionales, a las investigaciones más recientes.
En este caso, es importante informar a los padres sobre las razones que hay detrás de estas modificaciones para que puedan confiar en que es la mejor opción en el momento actual.
Riesgos del uso excesivo de flúor
Se ha demostrado que uno de los principales riesgos que se asocia a la exposición excesiva al flúor es la fluorosis dental.
La fluorosis dental se produce cuando los dientes en formación (generalmente en niños menores de 8 años) están expuestos a niveles elevados de flúor durante un período largo de tiempo.
La fluorosis suele ser más común en niños pequeños que ingieren grandes cantidades de flúor, ya sea a través del agua fluorada que hemos comentado antes, con los suplementos de flúor, o por el consumo accidental de pasta dental fluorada.
En la mayoría de los casos, si aparece la fluorosis, lo hace de manera leve y solo tiene un impacto estético en los dientes, sin llegar a afectar su propia funcionalidad.
Uso adecuado de la pasta dental con flúor
Para aprovechar al máximo los beneficios del flúor sin exponer tus dientes a riesgos innecesarios, es muy importante seguir las recomendaciones adecuadas para su uso que damos en nuestras clínicas dentales de la ciudad de Barcelona.
Una de las formas más comunes de incorporar el flúor en la rutina diaria de higiene bucal es mediante el uso de pasta dental con flúor.
En Dental Care Barcelona, recomendamos utilizar pastas dentales que contengan la cantidad adecuada de flúor para tu edad y necesidades específicas.
- Supervisión en el cepillado de los niños: Es fundamental que los padres supervisen a los niños menores de 6 años mientras se cepillan los dientes, asegurándose de que no traguen la pasta dental. También es importante enseñarles a escupir el exceso de pasta después del cepillado para minimizar la ingesta de flúor.
- Control del consumo de agua fluorada: En algunas áreas, el agua potable contiene niveles añadidos de flúor como medida preventiva contra las caries. Aunque este método es seguro y eficaz en dosis controladas, es importante conocer la cantidad de flúor en el agua de tu zona.
- Tratamientos profesionales con flúor: Los tratamientos profesionales con flúor, que se aplican en la consulta dental, pueden ser especialmente beneficiosos para personas con alto riesgo de caries o para aquellos con necesidades especiales de protección dental. Estos tratamientos suelen consistir en la aplicación de geles o barnices de flúor en concentraciones más altas que las encontradas en los productos de uso doméstico, proporcionando una capa protectora adicional para el esmalte dental.
Importancia de las consultas regulares con el dentista
La clave para un uso seguro del flúor es la moderación y el asesoramiento profesional.
En Dental Care Barcelona, nuestros dentistas están capacitados para ofrecerte recomendaciones personalizadas sobre el uso del flúor, adaptadas a tu situación específica.
Siguiendo estas recomendaciones y adoptando una rutina de cuidado dental adecuada, puedes disfrutar de los beneficios del flúor sin preocuparte por sus posibles efectos adversos.
El flúor, utilizado de manera adecuada, es uno de los recursos más efectivos en la prevención de caries y en el fortalecimiento del esmalte dental.
Su capacidad para remineralizar los dientes y combatir los efectos dañinos de los ácidos lo convierte en un aliado indispensable para mantener una buena salud bucal.
Por lo tanto, es muy importante encontrar un equilibrio adecuado.