Los traumatismos dentales son una de las causas más frecuentes de urgencias dentales. Un codazo, una patada, una caída…Son varios los motivos por los que un paciente puede llegar a sufrir un traumatismo en los incisivos centrales. Suele producirse cuando hay un fuerte golpe en uno o varios dientes y, normalmente, se ocasionan practicando algún deporte o juego, sobre todo, cuando hay niños cerca. En estos casos, la rapidez en la intervención del profesional marca la diferencia entre poder salvar un diente o no.
Los niños son curiosos, necesitan moverse constantemente y eso les hace exponerse a pequeños golpes y caídas, casi siempre, sin trascendencia. Pero puede que, en lugar de un golpe, se haya dado un señor trastazo que le afecte a la cara y/o a los dientes. Ante todo, calma, ¡no te asustes!, porque contagiarás tu miedo al pequeño.
Es esencial que, cuando te lleves un golpe fuerte en la boca, acudas a tu dentista a la mayor brevedad posible. Y es que, en muchos casos, el daño derivado de un traumatismo dental es fácilmente perceptible, pero en otras ocasiones, la afección de la pieza puede ser bastante más severa de lo que parece en un primer momento y pasar desapercibida a simple vista.
Sufrir un duro golpe en nuestra boca suele tener consecuencias muy variadas que oscilan, como ya hemos comentado, desde un daño mínimo del esmalte a la fractura o pérdida de la pieza dental. Por eso insistimos en que, en todos los casos, es necesaria la evaluación y actuación rápida de un especialista. Él será quien podrá valorar la gravedad del golpe y, también, si hay daños imperceptibles a simple vista que puedan afectar incluso a los dientes adyacentes.
Cuando padecemos un golpe en los dientes, debemos evaluar la gravedad no sólo teniendo en cuenta la apariencia del mismo -que se haya fracturado o no- sino que además debemos tener cuidado si observamos ciertos síntomas como, por ejemplo, un dolor puntual a la hora de morder o de consumir alimentos muy fríos o muy calientes.

Importancia de los Dientes de Leche
De lo primero que hay que ser conscientes es de que las raíces de los dientes temporales o de leche están íntimamente en contacto con los dientes permanentes sucesores que se están formando dentro del hueso, por eso hay que cuidar los primeros dientes tanto o más que los definitivos, ¡cualquier cosa que les ocurra a los primeros, afectará a los segundos! Prevenir antes que curar siempre, siempre.
Debemos recordar la estrecha relación existente entre la raíz de los dientes de leche con los dientes definitivos que se forman en el interior del hueso. Por tanto, lo que les ocurra a los dientes de leche afectará a los dientes definitivos. Nunca debemos quitarle importancia ni pensar que por ser un diente de leche se le caerá y no tendrá consecuencias porque el diente definitivo se está formando en el interior del hueso.
Primeros Auxilios Tras un Golpe
Al producirse un golpe en la boca, es frecuente lastimarse los tejidos blandos -labios, encías, lengua…- y que éstos sangren. No te asustes, la sangre es muy aparatosa, pero no siempre es síntoma de un traumatismo grave. Limpia al niño con agua, hazle un poco de comprensión con un pañuelo limpio y espera unos minutos a que deje de llorar y se relaje.
Pasados unos minutos y siempre con cuidado de no reabrir la herida, podrás valorar las consecuencias del golpe. Si hay un corte profundo en los tejidos blandos tendrás que llevarle a urgencias de Atención Primaria para que le den un punto de sutura -aunque ya te decimos que la mayoría de estos golpes no requieren puntos-.
Manejo de trauma dental en niños.
Tipos de Traumatismos Dentales
Aunque en la mayoría de los casos, el golpe se reducirá a una concusión -dolor de distinta intensidad, pero sin movilidad dental- o una subluxación -dolor, sangrado de encías y pequeña movilidad-, es muy importante que el odontopediatra valore siempre el alcance del golpe. Mediante radiografía, podrá comprobar si hay o no daño del paquete vásculo-nervioso dentro de los dientes de leche y descartar así una posible infección futura, garantizando que las piezas temporales se mantengan sanas y evitando tratamientos costosos en el futuro.
Al pedir cita al odontopediatra, es importante que indiques si al peque se le ha roto o fracturado un diente de leche. La fractura puede ser de esmalte y dentina o más seria, afectando al “nervio”. La diferencia es fácil de apreciar porque si el paquete vásculo-nervioso ha sufrido daños, hay dolor y en la zona de rotura se puede apreciar un punto rojo e, incluso, un poco de sangre.
Es lo que en odontología conocemos como avulsión y lo que más os asusta a los papás: la pérdida total de un diente de leche consecuencia de un golpe. ¡Calma! Sin tocar la zona afectada con los dedos, comprime la herida con una gasa durante unos minutos y, a continuación, llama al odontopediatra.
Traumatismos No Visibles
Sangrado por corte en tejidos blandos, fractura o rotura y pérdida total del diente de leche… Hasta ahora hemos analizado los traumatismos más visibles, pero ¿qué es lo que no se ve? Consecuencia del golpe puede producirse una mayor o menor intrusión, lo que se traduce en que uno o más dientes de leche se hayan “hundido” en el hueso o, todo lo contrario, una extrusión, que uno o más dientes de leche se hayan desplazado o “salido” de su alveolo.
Como veis, lejos de la creencia popular de que un golpe o traumatismo en los dientes de leche no es tan importante como en los dientes permanentes, supone una situación de urgencia odontopediátrica que debe ser tratada a la mayor brevedad posible. Cuanto más se retrase la atención, más riesgo de sufrir problemas posteriores.
Mandíbula Desencajada
Tener la mandíbula desencajada no es algo demasiado habitual, pero en caso de que aparezca va a ser necesaria la consulta con una especialista en cirugía maxilofacial. La mandíbula desencajada, también conocida como dislocación mandibular, ocurre cuando el cóndilo mandibular (la parte redondeada de la mandíbula que se articula con la cavidad temporal del cráneo) se sale de su posición normal.
Trastornos de la ATM
Cuando aparece la mandíbula desencajada, lo más frecuente es que haya una disfunción de la articulación temporomandibular.
Luxación Mandibular
Entre la mandíbula y el hueso temporal hay tejidos conectivos cruciales que aseguran la libertad de movimiento a la mandíbula. En ciertas situaciones, los tejidos conectivos no están fuertes, y pueden provocar la conocida como luxación mandibular. También nos podemos encontrar articulaciones con demasiada laxitud.
Los síntomas indicados anteriormente son algunos de los más frecuentes que pueden aparecer cuando la mandíbula está desencajada. Si tienes alguno de estos síntomas es fundamental que acudas al especialista. Además, cuando aparecen problemas en la articulación temporomandibular puede verse afectada la salud de nuestra boca.
Si presentas la mandíbula desencajada es crucial acudir lo antes posible a un especialista en articulación temporomandibular. En estos casos es crucial acudir cuanto antes para poder reservar el problema.
Reubicación de la Mandíbula
En la mayoría de los casos, la mandíbula desencajada debe ser realineada por un profesional médico. Esto a menudo se realiza en una clínica dental o maxilofacial. Se aplica una técnica suave para guiar la mandíbula de regreso a su posición normal.
Principales Causas de Traumatismo Dental
El tipo de traumatismo dental depende de la dureza del golpe que provoca la lesión. Existen ocasiones en las que únicamente se ve dañado el esmalte del diente; aunque otras veces, el golpe puede provocar desde la fractura de la pieza dental al desplazamiento o avulsión (pérdida) de la misma.
Como principales causas nos encontramos las caídas, los accidentes aparatosos, o la práctica de deportes de contacto como el kárate, boxeo o similar.
Los traumatismos dentales afectan, mayoritariamente, a los incisivos centrales de la arcada superior. Esto se debe a que son las piezas más expuestas de la boca y, por tanto, las que suelen recibir el golpe que causa el traumatismo.
¿Cómo Actuar Ante un Traumatismo Bucal?
Como hemos hablado, aunque sea una tarea complicada, es primordial mantener la calma para poder actuar con consciencia. Es muy frecuente que los traumatismos bucales vengan acompañados de sangrado por daños en los tejidos blandos de la boca. En este caso, deberás limpiar con cuidado las heridas con agua para frenar el sangrado y poder ver con claridad las consecuencias del traumatismo.
Presta especial atención en la falta alguna pieza dental, si tiene un diente fracturado, si se mueve alguna pieza o si se han desplazado. Es muy importante también identificar si las piezas dañadas son temporarias o definitivas.
Lo ideal siempre que exista un traumatismo bucal es acudir a un dentista especializado en niños para que el profesional evalúe el alcance de la lesión. En ocasiones, el traumatismo bucal no se puede observar a simple vista debido a que se dan en el interior del diente, por lo que será necesario una evaluación más rigurosa para obtener un buen diagnóstico y un tratamiento determinado.
Pero antes de acudir al odontopediatra como debes actuar:
- Ante un diente fracturado: busque el trocito del diente, para poder reparar la pieza con su trozo natural. De forma urgente acude al odontopediatra.
- Ausencia de una pieza dental: mirar si se le ha instruido o se le ha caído, en el caso de pérdida buscar el diente, limpiarlo con agua sin tocar la encía, meterlo en un vaso de leche y acudir con él al odontopediatra.
- Ante heridas: limpiar con una gasa y clorhexidina, posteriormente acudir al odontopediatra para saber que todo está bien.
- Movilidad de un diente: no hacer nada acude directamente al odontopediatra.
De todas formas, aquí os aclaramos las circunstancias en las que debéis acudir al odontopediatra con mayor urgencia:
- Falta una pieza o un pedazo de alguna.
- Movilidad en los dientes.
- Los dientes se encuentran en una posición anormal.
- El niño no puede morder como antes.
- Hay un corte profundo en lengua, labio o encía.
Una vez que el especialista haya evaluado correctamente la boca de tu hijo tras el traumatismo y haya realizado una radiografía, recomendará el tratamiento más efectivo y personalizado para su tipo de lesión.
Consecuencias Más Habituales de un Traumatismo Dental
Un fuerte golpe puede tener numerosas consecuencias en nuestra boca. Enumeramos las más habituales:
- Movilidad dentaria.
- Se puede producir la intrusión de la pieza, dañando los tejidos de soporte.
- Una pieza dental puede modificar su posición inicial en la arcada.
- Daño en los huesos maxilares e, incluso, fractura de los mismos.
- Heridas en la lengua o en los labios.
- Daño o caída de nuestros dientes.
- Afección del esmalte dental que, dependiendo de la gravedad, afectará también a la dentina de la pieza.
- Fractura coronaria -o rotura de la corona dental- que, en los casos más graves, puede llegar a afectar a la pulpa dental.
- Rotura de la corona y fractura radicular -de la raíz- del diente.
Tratamientos Más Habituales
En caso de dientes astillados o de una rotura mínima de la corona, debemos conservar, siempre que sea posible, la parte del diente resultante de la fractura y llevarla a la consulta. El odontólogo, en primer lugar, tratará de unirla a la pieza dental y, en caso de que no sea posible, intentará restaurar la pieza con composite o, en su defecto, con un tratamiento de carillas.
Cuando, a causa del traumatismo dental, se ha fracturado buena parte de la corona dentaria, se repone la corona por una artificial. En estos casos, se analiza si la pulpa dentaria ha sufrido algún daño, ya que, en caso afirmativo, es necesario, de manera previa a la instalación de la corona, practicar una endodoncia.
Ante un pronóstico más grave, en el que se haya dañado tanto la corona como la raíz, la única solución posible pasa por la extracción del diente y sustitución de la pieza por un implante dental. Afortunadamente, en la actualidad disponemos de tratamientos muy avanzados en este campo como son los dientes en un día, con los que podrás, si las condiciones de tu salud oral son las idóneas, reponer en la misma intervención tus piezas perdidas.
Por último, estaremos ante un caso de avulsión dentaria cuando el diente se cae de forma íntegra. En estas ocasiones, se actuará de forma distinta en función de si estamos ante un caso de un diente temporal (cuando el traumatismo se produce en un niño con dientes provisionales) o, por el contrario, de un diente definitivo.
Prevención de Traumatismos Dentales
Hay formas de evitar un traumatismo dental, sobre todo en aquellos casos en los que se producen a consecuencia de la práctica de deportes de contacto. Para ello, lo ideal es recurrir a los protectores bucales para evitar posibles lesiones en los dientes como consecuencia de una colisión. Las denominadas férulas para deportistas protegen nuestros dientes de posibles fracturas o lesiones. Además, amortiguan también el daño de los golpes fuertes en el rostro, cervicales e, incluso, en el cerebro.
Estas férulas pueden ir hechas a medida, o bien podemos optar por férulas estándar, tanto de materiales rígidos como flexibles. Las más aptas para la práctica de deportes sin sufrir riesgo de fractura son las realizadas a medida. Los especialistas en ortodoncia y odontología son los encargados de diseñar y elaborar estas férulas, que tienen una altísima durabilidad. Además, también existen tiendas especializadas en la venta de este tipo de artículos.
Como comentábamos al principio, si por cualquier causa padeces un traumatismo dental, es importantísimo que acudas cuanto antes a consulta para que un profesional evalúe el daño ocasionado en tu boca. Cuanto antes se valore, antes conocerás la gravedad del mismo y su posible tratamiento.

Otros Problemas Relacionados
Además, también podría haber una fractura maxilar. Si el diente se ha salido de su sitio, muchas veces es posible que el dentista lo reimplante. Te explicamos qué hacer de forma inmediata tras el impacto que, probablemente, haya dañado tus dientes.
Has recibido un duro golpe en los dientes. Ahora deberías intentar volver a poner el diente en su emplazamiento original, el alvéolo. Si no es posible, puedes conservar el diente poniéndotelo debajo de la lengua, o entre las mejillas y los dientes molares. ¡Hay que acudir de urgencia al odontólogo con el diente a salvo!
Si has perdido un fragmento de diente, recupera el trozo que se ha escindido y lo guardas. Lo puedes guardar, por ejemplo, en una servilleta. Recuerda no tocar el diente roto. En el resto de supuestos, no te toques el diente, ni lo sometas a ninguna presión de ningún tipo.
Podría haber una fractura de la raíz, que no se advierta a primera vista. Incluso se podría haber muerto el nervio, lo que demandaría una endodoncia.
Si el diente que se ha desprendido es de leche, no hace falta seguir estos consejos.
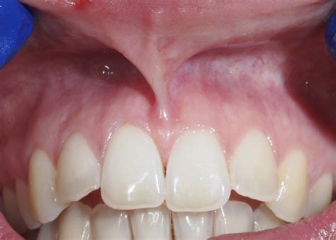
El Frenillo Labial
¿Qué es el frenillo labial y para qué sirve? Une el labio superior con la encía superior. Es el que une el labio inferior con la encía inferior. Los frenillos labiales son genéticos, lo que significa que ya nacemos con ellos.
Por tanto, generalmente, el frenillo lingual es normal. Si el frenillo labial superior es muy largo, provocará diastema (los dientes centrales quedarán separados). Si el afectado es el frenillo labial inferior, las consecuencias son menos graves pero será más complicada una correcta higiene dental.
En ocasiones, se hace necesario operar el frenillo labial. En niños, es frecuente que acabe el frenillo lingual roto. Si se rompe el frenillo lingual del bebé, tendrás que cortar el sangrado y ponerle hielo y presionar para evitar la inflamación. El médico examinará al bebé y cortará el frenillo con unas tijeras esterilizadas.
¿Y si no se corta el frenillo? Los días posteriores a la rotura, se recomienda dieta blanda y fría y evitar alimentos ácidos o que puedan acumularse y contaminar la herida del frenillo labial inferior o superior. A eso hay que sumar una buena higiene con enjuagues para evitar infecciones y poner hielo en la zona.
