En el mundo de la ortodoncia, mantener los resultados obtenidos tras el tratamiento es fundamental. Los dientes siempre intentan recuperar su posición original después del tratamiento. Además, el envejecimiento provoca que los huesos sufran remodelado, lo que puede dar lugar a cambios en la posición de los dientes. Por ello, los retenedores dentales juegan un papel crucial. Pero, ¿qué ocurre cuando estos se despegan? Aquí te ofrecemos una guía completa para actuar correctamente.

Tipos de retenedores dentales
Existen principalmente dos tipos de retenedores:
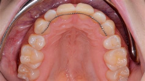
- Retenedores fijos: Consisten en un alambre delgado que se coloca en la parte posterior de los dientes.
- Retenedores removibles: Como las férulas transparentes, son dispositivos que se pueden quitar para comer y cepillarse los dientes.
¿Qué hacer ante un retenedor despegado?
Que se despegue un retenedor dental fijo es una de las urgencias de ortodoncia más comunes que nos podemos encontrar. Si te encuentras en esta situación, sigue estos pasos:
- Mantén la calma: Es importante no entrar en pánico.
- Evita tocar el retenedor: No manipules el retenedor despegado.
- Contacta a tu ortodoncista: Lo más importante es que llames a tu clínica dental lo antes posible y pidas tu cita previa para solucionar el problema.
Si se ha descementado en algunos de los dientes, además de las consecuencias descritas, podrías sufrir heridas en tejidos blandos como la lengua o el labio por el fragmento de alambre despegado.

Posibles problemas si no se actúa rápidamente
Que un retenedor fijo se despegue puede ser un problema si no se actúa rápidamente. Algunas de las consecuencias pueden ser:
- Desplazamiento dental: Movimiento dental.
- Daño a los tejidos blandos: Si se ha descementado en algunos de los dientes, además de las consecuencias descritas, podrías sufrir heridas en tejidos blandos como la lengua o el labio por el fragmento de alambre despegado.
- Molestias o dolor: Alambre suelto.
- Higiene oral: Es muy importante mantener una buena higiene oral.
¿Cómo saber si tu retenedor está despegado?
Aquí hay algunas señales que te ayudarán a identificar si tu retenedor necesita atención:
- Revisa en el espejo: Observa cuidadosamente el retenedor.
- Tacto con la lengua: Siente si hay alguna parte suelta o diferente.
Cuidado y mantenimiento de los retenedores
Mantener el retenedor en buen estado es crucial para garantizar que los resultados del tratamiento de ortodoncia se mantengan a largo plazo. Aquí tienes algunos consejos:
- Limpieza diaria: Lava tu retenedor removible diariamente con un cepillo suave y agua tibia.
- Almacenamiento adecuado: Guarda el retenedor siempre en su estuche cuando no lo estés usando.
- Evita alimentos duros: No uses el retenedor para morder objetos duros, como lápices, bolígrafos o alimentos demasiado duros.
- Revisiones periódicas: Es muy importante acudir a revisiones periódicas.
- Protección en deportes: Si practicas deportes de contacto, considera el uso de un protector bucal para evitar daños al retenedor y los dientes.
¿COMO ESTÁS LIMPIANDO TU RETENEDOR?
¿Cómo arreglar un retenedor roto?
Un retenedor roto puede ser un verdadero inconveniente, especialmente cuando has invertido tanto tiempo y esfuerzo en mantener tus dientes alineados después de un tratamiento de ortodoncia. Si te encuentras con un retenedor de plástico roto, es importante actuar con rapidez, pero también con cuidado, ya que intentar repararlo por tu cuenta puede empeorar la situación.
Si tu retenedor de plástico se ha roto, lo primero que debes hacer es mantener la calma. Aunque pueda parecer un problema grave, en muchos casos, los daños no son irreparables. La clave está en saber cómo actuar. Si el retenedor está roto de forma leve, como una pequeña grieta o un pedazo que se ha desprendido, es posible que tu dentista pueda repararlo.

¿Se puede usar pegamento para arreglar un retenedor?
Es importante que no intentes reparar el retenedor por tu cuenta. Muchas personas, por comodidad o por desconocimiento, piensan en usar pegamento o cualquier tipo de material casero para arreglar el retenedor. Sin embargo, esta es una decisión que puede traer más problemas. Los adhesivos comunes no están diseñados para usarse en la boca, y podrían liberar sustancias químicas dañinas. Lo mejor es que contactes con tu dentista u ortodoncista lo antes posible para que ellos puedan evaluar el daño.
¿Qué hacer si el retenedor está irreparablemente roto?
Cuando un retenedor de plástico se rompe de forma irreparable, lo más probable es que tu dentista te sugiera hacer uno nuevo. Aunque este proceso puede ser incómodo, reemplazar un retenedor roto es la mejor opción para evitar problemas con la alineación de tus dientes. Usar un retenedor que no se ajusta correctamente puede permitir que tus dientes se muevan y afecte los resultados conseguidos con la ortodoncia.
Adhesivos y cementos utilizados en ortodoncia
En Bracket360, entienden que la fiabilidad y la fuerza de adhesión son críticas para el éxito de cualquier tratamiento de ortodoncia. Por ello, han seleccionado un catálogo especializado de cementos, adhesivos y composites diseñados para ofrecer un rendimiento clínico excepcional en el cementado de brackets, bandas molares y la creación de levantes de mordida.
Algunos de los materiales que se usan son:
- Adhesivos Fotopolimerizables para Brackets: Ofrecen una viscosidad ideal que previene el deslizamiento del bracket antes del fotocurado, permitiendo un posicionamiento preciso.
- Cementos de Ionómero de Vidrio para Bandas: Diseñados para una mezcla sencilla, un tiempo de trabajo adecuado y una alta resistencia a la compresión y a la humedad, garantizando la estabilidad de sus anclajes molares.
- Composites para Levantes de Mordida y Retenedores: Ofrecen composites fluidos y modelables, en colores fácilmente distinguibles para su posterior retirada, que garantizan la estabilidad del levante o la retención a largo plazo sin sacrificar la comodidad del paciente.
Preguntas frecuentes sobre cementos y adhesivos
Aquí hay algunas preguntas frecuentes para profesionales sobre cementos y adhesivos para bandas y levantes:
| Pregunta | Respuesta |
|---|---|
| ¿Qué tipo de cemento es el más recomendado para brackets metálicos y estéticos? | Para brackets metálicos y cerámicos, los adhesivos de resina fotopolimerizables son el estándar de oro por su alta fuerza de adhesión y control sobre el tiempo de trabajo. Para situaciones que requieren protección adicional del esmalte, los cementos de ionómero de vidrio modificados con resina son una excelente alternativa. |
| ¿Cuál es la principal diferencia entre un cemento para bandas y un adhesivo para brackets? | La principal diferencia radica en su composición y propiedades. Los cementos para bandas (generalmente ionómeros de vidrio) ofrecen adhesión química y liberación de flúor, ideales para el sellado completo de la banda. Los adhesivos para brackets son resinas que logran una adhesión micromecánica superior sobre el esmalte grabado, crucial para soportar las fuerzas ortodónticas. |
| ¿Estos materiales son adecuados para la cementación de prótesis fijas como coronas o puentes? | No. Los materiales de esta categoría están específicamente formulados para las exigencias de la ortodoncia. |
Conclusión
No dudes en buscar atención profesional ante cualquier problema con tu retenedor. La rápida intervención puede prevenir complicaciones y asegurar una sonrisa saludable y bien alineada a lo largo del tiempo.