Cada vez son más las personas que optan por un tratamiento de ortodoncia para conseguir una sonrisa más estética. Tanto es así que algunos pacientes, después de llevar un tratamiento de ortodoncia -Invisalign, ortodoncia lingual, brackets de zafiro, brackets metálicos- no recuerdan cómo era su sonrisa antes del procedimiento.

¿Qué es el bruxismo en adultos?
El bruxismo o rechinar los dientes es un mal hábito que se produce durante un largo periodo de tiempo y sin darse cuenta habitualmente cuando se duerme. El bruxismo afecta por igual a hombres y mujeres, tanto niños como adultos, pero especialmente se manifiesta en los adultos.
Las personas con bruxismo suelen padecer distintos síntomas asociados como por ejemplo dolores de mandíbula, dolores en la lengua y aparición de grietas en la lengua, dolores de cabeza y cuello e incluso se pueden dar casos de rotura dental. Existen soluciones para el bruxismo como las férulas de descarga para dormir, si bien no solucionan este hábito nos previene de sus peores síntomas.
Problemas derivados del bruxismo
- Dolores de cabeza, especialmente al despertarse
- Dolores de mandíbula por inflamación
- Hipersensibilidad dental
- Molestias en la cara y en las mejillas
- Dificultades para conciliar el sueño y descansar correctamente
- Debilidad en los dientes

Combatir el bruxismo con Invisalign
La ortodoncia con Invisalign es un tratamiento especialmente eficaz en casos de desgastes dentales y pacientes con bruxismo (“apretamiento» nocturno, “rechinamiento” de dientes). Los alineadores que colocan los dientes en su sitio evitan durante el tratamiento que el paciente desgaste sus dientes. Hacen algo parecido al “efecto férula dental”: suelen relajar la musculatura y evitan el contacto dentario.
Con Invisalign son todo ventajas, además de ser uno de los tratamientos de ortodoncia invisible más eficientes para corregir la alineación de los dientes, ayuda a mejorar los problemas de bruxismo, ya que además de ser una protección eficaz para las piezas dentales, corrige la mala oclusión dental, uno de los factores más relacionados con el bruxismo.
Caso resuelto con ortodoncia Invisalign: Mordida borde a borde y desgastes dentales por bruxismo
La mordida borde a borde es una alteración de la mordida bastante común y que se debe al contacto de las cúspides al morder. Es decir, existe contacto entre la mordida cruzada y la mordida normal.
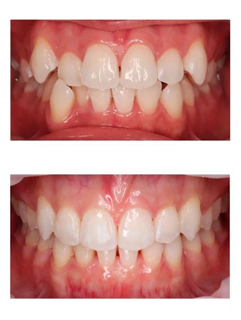
En este caso el paciente presentaba una curva invertida de la sonrisa y desgastes de los incisivos centrales por una maloclusión (mala mordida) en borde a borde, con tendencia a la clase III.
Este caso fue planificado con ortodoncia Invisalign. Como vemos, no es cierta la creencia popular que años atrás aseguraba que la ortodoncia invisible no servía para casos complejos y que, sin duda, tenía peores resultados que la ortodoncia convencional con brackets metálicos.
De hecho, en muchos casos tratatos con Invisalign, se están consiguiendo correcciones dentomaxilofaciales en espacios cortos de tiempo, difíciles de conseguir con brackets. En este sentido, Invisalign suma a sus ventajas estéticas la comodidad de una férula imperceptible. También destaca la ausencia de visitas extras por culpa de brackets desenganchados. Se tendrá una mejor higiene oral y la capacidad de, si es necesario, quitárselas en cualquier momento que se desee o que la situación y el paciente lo requiera.

Ortodoncia Avanzada para Casos Severos
Los casos extremos de ortodoncia que pueden darse -con mayor o menor frecuencia- implican la colaboración de otros especialistas además del ortodoncista para que el resultado final sea el deseado. Cuánto más se complique el caso, mayor deberá ser la experiencia del facultativo para atajarla de manera correcta. La Ortodoncia avanzada no es sino la aplicación de técnicas más complejas o sofisticadas, elementos auxiliares o participación conjunta con varios especialistas, para obtener resultados exitosos en casos fracasados o muy severos y complejos.
Los tratamientos combinados de Ortodoncia y Cirugía Ortognática se emplea para las maloclusiones que tienen su origen en displasias de los huesos maxilares o base esquelética severa, en pacientes adultos sin crecimiento y en los que la ortodoncia por sí sola tiene su gran limitación. Este tratamiento no puede ser solamente dental, sino que el ortodoncista y cirujano maxilofacial deben formar un equipo y coordinar sus actuaciones para una mejoría global del paciente en todos sus aspectos. Estos casos de ortodoncia complicados tienen como particularidad estar a caballo entre lo ortodóncico y lo quirúrgico.
Si bien un tratamiento ortodóncico-quirúrgico podría ser muy beneficioso para el paciente, algunos pacientes no son directamente candidatos para cirugía o no desean serlo. Estamos hablando de Microtornillos o Micro implantes de anclaje óseo, Corticotomías para facilitar y acelerar los movimientos dentarios o extracciones terapéuticas realizadas de forma estratégica con fines de Compensación o Camuflaje. En resumen, se puede llegar a resultados quizá más limitados aunque el resultado final es óptimo con intervenciones menores y la mejoría del paciente significativa respecto a la situación inicial.
El paciente periodontal, que es aquel paciente con problemas en los tejidos que rodean y soportan los dientes, se puede beneficiar con un tratamiento combinado de Ortodoncia y Periodoncia, ya que determinados movimientos dentarios como la extrusión, la intrusión, la rotación, el enderezamiento, entre otros, pueden ser favorables para el periodonto enfermo. Por eso, después de una correcta preparación periodontal los dientes libres de inflamación pueden y deben ser movidos a sus posiciones ideales, los dientes perdidos restaurados y la integridad y funcionalidad del sistema masticatorio recuperada. Por tanto la Ortodoncia en combinación con la Periodoncia tiene su relevancia en unos casos de forma previa y en otros casos posterior. La adecuada secuencia y planificación de cada tratamiento en función de su patología y características es el secreto del éxito clínico en estos tratamientos.
Para el tratamiento integral de rehabilitación en casos graves, puede ser necesaria la colocación de implantes, prótesis, restauraciones y carillas estéticas, que requieren acciones coordinadas entre varios especialistas en una secuencia determinada para que el paciente obtenga un resultado global. Es lógico que todo ello requiera un estudio, planificación y apoyo de distintos especialistas en cada campo para el mejor resultado. Normalmente la Ortodoncia será un paso previo a los tratamientos protésicos y restauradores para exprimir al máximo las posibilidades de éstos.
Es en estos casos donde entra en juego un equipo de tratamiento multidisciplinar, también llamado tratamiento combinado. La variedad de profesionales que intervendrán en la odontología multidisciplinar se establecerá en función de las características concretas de cada paciente, es decir, de los problemas concretos que se encuentren en su cavidad bucal (mordida abierta, mordida cruzada, sonrisa gingival, etc.).
Es casi indispensable profundizar en nuevas técnicas de ortodoncia avanzada ya que los pacientes demandan tratamientos de ortodoncia eficaces, discretos y rápidos, y los casos más complejos requieren técnicas más avanzadas, mayor experiencia y mayor dedicación. Hay cosas que hace 15 años creíamos que no eran posibles y el avance de la Ortodoncia nos abre nuevos campos y posibilidades y nos ofrece grandes mejoras año tras año. Gracias a la incorporación de tecnologías innovadoras a la ortodoncia se pueden combinar de manera más fácil con micro implantes, procedimientos de cirugía menor, implantes, cirugía maxilofacial, etc. o adaptarnos mejor a cambios en la anatomía, restauraciones etc. para facilitar el trabajo de los otros especialistas.

Nuevos Procedimientos en Ortodoncia
Los nuevos procedimientos (como el caso Invisalign) permiten que la ortodoncia siga avanzando a unos pasos agigantados y por esta razón, los especialistas se capacitan y aprenden cada día más con respecto al tema.
Lo más importante es el paciente, poder brindarle el tratamiento que mejor se adapte a sus necesidades. Sabemos que su sonrisa es una de sus características más importantes, y nosotros queremos que la luzca con orgullo.
¡Sonrisa Perfecta con Invisalign! Descubre si Eres Candidato | Transforma tu Sonrisa sin Sacrificar
Mediante el uso de esta última tecnología, conseguimos que los tratamientos sean más cortos y que tengas que venir a la clínica un menor número de veces a lo largo del tratamiento, consiguiendo igual o mejor resultado.
Incidencias Comunes en Ortodoncia
Las incidencias en ortodoncia son escasas, pero lógicamente alguna vez puede surgir algún imprevisto relacionado con los aparatos, (sea cual sea el tipo de aparato que lleves). Como regla general, deberías llamar a la clínica cuando tenga problemas con tu aparato. No obstante, las siguientes indicaciones te servirán para paliar el problema en un primer momento:
Molestias iniciales
Cuando se instalan los brackets, puedes sentir molestias durante tres o cinco días, que aumentan cuando mordemos alimentos más duros. Este malestar puede reducirse con dieta blanda y analgésicos en el caso sea necesario. En este periodo la superficie de los brackets puede producir irritaciones en labios, mejillas y lengua durante una o dos semanas; en este caso, se colocará cera en los brackets y se enjuagará con agua tibia y sal. Ten paciencia, porque son síntomas normales de que tus dientes están empezando a ordenarse.
Alambre que pincha
A veces el alambre sobresale por detrás del último bracket, y eso puede ser porque ya se te han movido y ordenado un poco los dientes y sobra arco o porque se ha desplazado hacia un lado. Puedes moverlo hacia el lado contrario al que te molesta con unas pinzas de depilar y dejara de molestarte. Si no se solucionara, te recomendamos que uses la cera.
Brackets o bandas sueltas
Si el bracket que se ha despegado aún está unido al arco, déjalo donde está y cúbrelo con cera si te molesta. Si es un bracket del final y se ha salido también el arco, puedes retirar el bracket o cualquier elemento del aparato que esté suelto, (guárdalo para traerlo a la consulta) y ponte cera en la punta del alambre.
Alambre que se ha salido del último bracket
Los primeros arcos son muy flexibles y se pueden salir del último bracket. Puedes probar a doblarlo con unas pinzas de depilar e introducirlo. Si no puedes, usa la cera.
Como verás, es normal que al principio del tratamiento puedan ocurrirte estas pequeñas incidencias. De todos modos, nuestra recomendación es que vengas a la clínica para que te adiestremos en solucionarlas de la forma más sencilla y efectiva. Llámanos ante cualquier pequeño problema. Resolveremos tus dudas.
Riesgos de Tratamientos Ortodóncicos No Supervisados
Los anuncios de alineadores invisibles que prometen arreglarte los dientes en un tiempo récord y a un precio único están inundando las redes sociales, Youtube o incluso la televisión. Estas compañías venden al público tratamientos de ortodoncia. Crean la apariencia de que se tratan de centros sanitarios cuando muchos de ellos carecen de autorización sanitaria en funcionamiento y son meros fabricantes o distribuidores.
La Agencia Española del Medicamento y el Producto Sanitario ha insistido en que estos tratamientos los debería prescribir un profesional: "Es muy importante el seguimiento del odontólogo durante todo el tratamiento".
Esta preocupación por alinearse la boca no sale de ellos mismos, es el bombardeo de publicidad constante en redes sociales lo que les hace plantearse si tienen los dientes perfectos: "Es algo que se te va metiendo poquito a poco porque te salen anuncios, ves a influencers con descuentos, se va fraguando en meses y llega un momento que dices va, voy a probar".
Estas clínicas, tras una primera consulta de revisión en la que varios de los afectados aseguran no poder identificar a nadie con su nombre, apellidos y número de colegiado, realizan un "diseño de boca" y pautan un tratamiento que el paciente sigue en su casa de forma autónoma. El seguimiento se realiza a través de una aplicación en la que el cliente va subiendo fotos de sus dientes hechas con su móvil. "Te hacen el seguimiento gente que no sabes quién es. Las fotos están borrosas o movidas, pero ellos te dicen siempre: sigue con el siguiente alineador".
Una paciente, a pesar de haber avisado en numerosas ocasiones de que se le movía el diente, le aseguraron que "no pasaba nada y que no había ningún problema". Finalmente, perdió la pala central y tras acudir a un perito, confirmó que este tratamiento estaba contraindicado para su patología: "Tenía una reabsorción radicular en esa pieza, con una infección. Vas a arreglar un tema estético y sales de funciones mal y de estética peor, con una deuda [porque dejó de pagar la última cuota] y amenazándome de que me van a meter en registro de morosos".
Otra de las afectadas, tras acudir a esa primera cita de revisión en la que confirmó que, a pesar de tener un ligero apiñamiento, su mordida era correcta, recibió un diseño de boca por correo electrónico para valorarlo en casa: "Tú no lo valoras bien porque tú no eres un profesional". Tras mirar cómo se le quedaría la boca y pasar, con un comercial de la empresa al teléfono, todas las pestañas a las que te dirigía la página web, le dijeron que, dándole a un botón, ya había contratado el servicio. "Tú no lees el contrato, tienes un espacio abierto en Internet en el que te pone tu presupuesto y tu simulación". Tras colgar con el comercial que había ido acompañándola en el proceso, se arrepintió de haber contratado el servicio al ver que no había tenido apenas información médica, pero el encargo ya no se podía cancelar: "Me dicen que eso está ya en proceso de diseño, como si a los dos segundos ya estuviese la fábrica funcionando". Un año después, esta paciente ha terminado con una mala oclusión, con una mordida torcida. Desde esta clínica, le han respondido que ellos estos problemas no los resuelven. "Te puede atender la limpiadora que te puede atender una dentista. Ellos están allí como robots".
Alicia Lanuza, ortodoncista, es contundente con estas clínicas: "No puede atenderte una persona que no tiene formación ninguna, que no ha estudiado el hueso, la biología, eso es intrusismo y es denunciable. Es como si a ti te opera una persona que no es cirujano. Es peligrosísimo". La ortodoncista asegura que le llegan numerosos casos de personas que vienen de estas clínicas con problemas graves: "No es como alinear las sillas de tu casa, la boca es un conjunto. Muchas veces me encuentro que la boca no encaja salvo una muela del final, y los demás dientes están en el aire. Nosotros siempre, antes de tratar a una persona con ortodoncia, miramos el estado de las encías, es muy importante tenerlas sanas para mover los dientes".
tags: #peores #casos #de #ortodoncia