La periimplantitis es una enfermedad inflamatoria que afecta los tejidos alrededor de un implante dental. Podríamos decir que es similar a la enfermedad periodontal, ya que afecta a las encías y el hueso que soporta los dientes naturales. Es importante reconocer los síntomas de la periimplantitis ya que, si no se trata adecuadamente, puede resultar en la pérdida del implante y necesitar un procedimiento de reemplazo costoso.

La primera vez que un paciente escucha la palabra periimplantitis, suele sentir preocupación. Como odontólogo profesional con años de experiencia en implantes dentales, entiendo esa inquietud y estoy aquí para ayudarte. Quiero explicarte de manera clara y humana qué es la periimplantitis, por qué ocurre, cuáles son sus síntomas, cómo la diagnosticamos los dentistas y las opciones de tratamiento disponibles. Si tienes uno o varios implantes dentales o estás pensando en ponértelos, este artículo te resultará muy útil. Hablaremos con honestidad y empatía, como lo haría en la consulta, para que puedas mantener una sonrisa sana y funcional.
¿Qué es la Periimplantitis?
La periimplantitis es una enfermedad periimplantaria crónica de origen inflamatorio que afecta los tejidos (encía y hueso) que rodean un implante dental. La periimplantitis es una inflamación e infección periimplantaria (alrededor del implante dental) que puede comprometer seriamente la integración del implante en el hueso. En otras palabras, es una complicación similar a la periodontitis (enfermedad de las encías) pero que afecta a los tejidos que rodean un implante en vez de un diente natural. En esta condición, la encía alrededor del implante se inflama y, en casos avanzados, se produce una pérdida progresiva del hueso de soporte del implante. Es importante diferenciarla de la mucositis periimplantaria.
La mucositis periimplantaria es la etapa inicial, donde existe inflamación de los tejidos blandos (encía) alrededor del implante sin pérdida ósea; es una afección reversible si se trata a tiempo. La periimplantitis, en cambio, es un estadio más grave en el que la inflamación ha progresado y ya hay destrucción del hueso que sostiene al implante. La periimplantitis suele aparecer como consecuencia de la acumulación de placa bacteriana en torno al implante, lo que desencadena una respuesta inflamatoria del organismo muy similar a la que ocurre en la enfermedad periodontal de los dientes.
¿Qué tan común es la periimplantitis?
Desafortunadamente, es más frecuente de lo que quisiéramos. Estudios recientes estiman que aproximadamente 1 de cada 5 pacientes con implantes dentales puede llegar a desarrollar periimplantitis en algún momento. Es decir, cerca del 20% de las personas con implantes sufren esta complicación, lo que la convierte en un problema significativo en odontología. De hecho, la periimplantitis es una de las causas más comunes de la falla o pérdida tardía de implantes dentales, a pesar de que los implantes en general tienen tasas de éxito superiores al 90%.
La periimplantitis es una infección alrededor del implante dental que provoca inflamación de las encías y destrucción del hueso de soporte. Si se detecta pronto (en fase de mucositis) es reversible, pero si progresa puede comprometer seriamente la estabilidad del implante.
Causas y Factores de Riesgo de la Periimplantitis
La causa directa de la periimplantitis es, en la mayoría de los casos, la acumulación de placa bacteriana y sarro en la base del implante dental debido a una higiene oral insuficiente. Estas bacterias desencadenan la inflamación de las encías y, con el tiempo, la infección va destruyendo el tejido óseo alrededor del implante. Sin embargo, además de la mala higiene, existen múltiples factores de riesgo que pueden predisponer o acelerar el desarrollo de la periimplantitis. Según la literatura científica y las organizaciones especializadas, los principales factores de riesgo para periimplantitis son muy similares a los de la enfermedad periodontal en dientes naturales.
- Higiene oral deficiente: La falta de una limpieza adecuada alrededor del implante permite que la placa bacteriana y el biofilm se depositen en la superficie del implante y debajo de la encía. Esta es la causa principal de periimplantitis en la mayoría de los casos.
- Antecedentes de enfermedad periodontal: Los pacientes que han tenido periodontitis (piorrea) o gingivitis severa en sus dientes naturales tienen mayor riesgo de desarrollar periimplantitis. Esto se debe a que pueden tener una predisposición a acumular placa bacteriana o respuestas inflamatorias más intensas en las encías.
- Tabaquismo: Fumar es un enemigo de la salud oral en general y de los implantes en particular. El tabaco reduce el flujo sanguíneo en las encías, disminuye la respuesta inmunitaria y dificulta la cicatrización de los tejidos. Los fumadores presentan un riesgo significativamente mayor de periimplantitis y de perder implantes que los no fumadores.
- Diabetes y otras enfermedades sistémicas: Condiciones médicas como la diabetes mellitus mal controlada aumentan la susceptibilidad a las infecciones y dificultan la regeneración de los tejidos, elevando el riesgo de periimplantitis. También se ha observado mayor incidencia en pacientes con enfermedades cardiovasculares o inmunodeprimidos.
- Implante mal posicionado o sobrecarga biomecánica: Factores mecánicos y técnicos en la colocación del implante pueden predisponer a la periimplantitis. Un implante dental mal ajustado o mal posicionado (por ejemplo, demasiado cerca de otro diente/implante o con poco hueso alrededor) crea zonas de difícil limpieza y tensión inadecuada. Asimismo, una sobrecarga oclusal - exceso de fuerza sobre el implante debido a una mordida desequilibrada o hábitos como el bruxismo (rechinar de dientes) - puede dañar los tejidos de soporte y favorecer la pérdida ósea.
- Restauraciones protésicas defectuosas o exceso de cemento: Si la corona o prótesis sobre el implante no está bien diseñada, puede retener placa (por ejemplo, por tener zonas de difícil acceso al cepillado). En los implantes con coronas cementadas, un problema común es el exceso de cemento dental que queda oculto bajo la encía; esos restos de cemento actúan como un imán para las bacterias y pueden provocar inflamación crónica.
- Falta de mantenimientos periódicos: Descuidar las revisiones regulares con el dentista tras la colocación del implante es otro factor importante. Los implantes requieren un plan de mantenimiento similar o mayor al de los dientes naturales. Si el paciente no acude a limpiezas profesionales y controles, es fácil que una mucositis inicial pase desapercibida y evolucione a periimplantitis.
- Predisposición genética o factores individuales: Cada persona es distinta en su respuesta inflamatoria. Hay individuos con mayor predisposición genética a las enfermedades periodontales y periimplantarias. Asimismo, factores como el estrés crónico (que puede afectar al sistema inmune) podrían influir.
La periimplantitis suele ser multifactorial. La buena noticia es que muchos de estos factores son modificables: con hábitos de higiene rigurosos, abandono del tabaco y controles periódicos, podemos reducir drásticamente el riesgo.
Síntomas de la Periimplantitis
La periimplantitis puede manifestarse a través de varios síntomas o señales de alarma en la zona del implante. Reconocer estos signos tempranamente es vital para actuar a tiempo. Al igual que ocurre con la enfermedad de las encías, los síntomas iniciales pueden ser sutiles, por lo que debes prestar atención a cualquier cambio alrededor de tu implante.
- Encías enrojecidas e inflamadas: Uno de los primeros signos es que la encía alrededor del implante aparece enrojecida, hinchada o más sensible de lo normal. La inflamación de las encías es uno de los principales síntomas de la periimplantitis. Las encías alrededor del implante pueden volverse rojas, hincharse y ser sensibles al tacto.
- Sangrado gingival: El sangrado de las encías alrededor del implante al cepillarte, al usar el hilo dental o incluso de forma espontánea es una señal de inflamación. El sangrado de encías es otro síntoma común de la periimplantitis. Puedes notar sangre al cepillarte los dientes o al usar hilo dental alrededor del implante. Es un signo de inflamación de las encías y puede ser indicativo de que existe un problema en el tejido que rodea el implante.
- Dolor o molestias en el implante: En fases iniciales, la periimplantitis puede cursar sin dolor. Sin embargo, a medida que avanza, es común sentir molestias o dolor al masticar sobre el implante, al palpar la encía circundante o una sensibilidad anormal en esa área. Un síntoma de la periimplantitis que suele ser resultado de la inflamación de los tejidos, la pérdida de hueso o la irritación de los nervios cercanos.
- Supuración (pus): Un signo claro de infección establecida es la supuración de pus por la encía alrededor del implante. Si al presionar la encía inflamada sale un líquido blanquecino-amarillento (pus) o tienes un flemón cerca del implante, indica que hay una infección activa en el tejido. En etapas más avanzadas de la periimplantitis, puede producirse supuración en la zona afectada. Es un signo grave de infección y suele ser síntoma de que la periimplantitis ha progresado.
- Recesión de la encía o exposición del implante: Puede observarse que la encía alrededor del implante se retrae, dejando al descubierto parte del metal del implante o de su corona. Si empiezas a ver la base metálica del implante asomando por la encía, es señal de que se ha perdido tejido (encía y posiblemente hueso) alrededor.
- Mal sabor de boca u olor desagradable (halitosis): La infección crónica puede producir mal aliento persistente o un sabor desagradable en la boca. Esto se debe a los subproductos bacterianos y al pus presentes en la zona. La acumulación de bacterias alrededor del implante puede llevar a un mal aliento persistente, también conocido como halitosis.
- Movilidad del implante: En etapas avanzadas, cuando la pérdida ósea es severa, el implante puede aflojarse. Un implante correctamente osteointegrado está firme y no se mueve; si sientes que tu implante tiene movilidad al morder o tocarlo (o el dentista detecta movimiento al evaluarlo), indica un fracaso del implante inminente por falta de soporte óseo. Que el implante dental se mueva es uno de los síntomas de periimplantitis más grave. Cuando el hueso que sostiene el implante dental se deteriora, este puede volverse inestable y moverse.
- Otros signos asociados: Puede haber sensibilidad en la zona, inflamación de la mucosa circundante, y en ocasiones inflamación de ganglios cercanos si la infección progresa. También es posible que la periimplantitis curse con abscesos recurrentes en la encía del implante (flemón que drena pus y luego reaparece).
- Pérdida de hueso: La pérdida de hueso alrededor del implante es un síntoma de periimplantitis avanzada y es preocupante.
Es importante destacar que en las fases iniciales la periimplantitis (o la mucositis) puede no causar dolor intenso, por lo que no debemos esperar al dolor para actuar. Muchos pacientes piensan que mientras no duela, todo va bien, pero con los implantes el sangrado o la inflamación sin dolor son ya motivos suficientes para consultar.
Además de los síntomas que tú mismo puedes notar en casa, el dentista cuenta con herramientas para detectar signos no visibles a simple vista, como pequeñas bolsas que se forman alrededor del implante o pérdida de hueso observable en radiografías.
Diagnóstico de la Periimplantitis
El diagnóstico de la periimplantitis lo realiza el odontólogo o periodoncista mediante una combinación de evaluación clínica en la boca y pruebas de imagen (radiografías principalmente). Si sospechas que puedes tener periimplantitis por los síntomas descritos, es fundamental acudir a la clínica para una revisión exhaustiva.
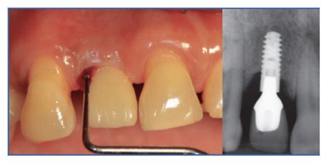
- Evaluación clínica de la encía: Primero, examinamos cuidadosamente la zona alrededor del implante. Observamos si hay enrojecimiento, inflamación o recesión de la encía, y si se produce sangrado al sondear. El sondeo periimplantario se hace con una sonda periodontal milimetrada, deslizando suavemente entre la encía y el implante para medir la profundidad de la bolsa. En un implante sano, la sonda penetra solo 2-3 mm y no hay sangrado. En la periimplantitis podemos encontrar bolsas profundas (por ejemplo >5 mm) y sangrado e incluso pus al sondear. La presencia de supuración (pus) al presionar la encía es prácticamente diagnóstico de infección activa.
- Medición de la profundidad del surco periimplantario: Como mencioné, usamos la sonda periodontal para medir la profundidad alrededor del implante en varios puntos. Un aumento de esa profundidad respecto a mediciones previas, o en comparación con parámetros normales, indica pérdida de inserción. Por ejemplo, profundidades mayores de ~5-6 mm con sangrado son indicativas de periimplantitis significativa.
- Radiografías dentales: La confirmación de la periimplantitis suele requerir radiografías, típicamente radiografías periapicales o panorámicas de la zona del implante. En la radiografía buscamos evidencias de pérdida ósea alrededor del implante comparado con radiografías tomadas justo después de colocarlo. Un signo típico es un cráter o sombra alrededor de la rosca del implante indicando que el hueso se ha reabsorbido. Si disponemos de radiografías anteriores, podemos determinar cuánto hueso se ha perdido con el tiempo. Incluso una pérdida ósea mínima (por ejemplo 2-3 mm) acompañada de inflamación nos haría diagnosticar periimplantitis incipiente.
- Evaluación de la movilidad del implante: Probamos si el implante tiene algún grado de movilidad.
- Otras pruebas complementarias: En algunos casos, se pueden realizar pruebas microbiológicas (toma de muestra del surco periimplantario para identificar las bacterias presentes) o pruebas de inflamación (como medir enzimas en el fluido crevicular).
Un aspecto del diagnóstico es determinar si el caso es solo mucositis (encía inflamada pero hueso intacto) o ya es periimplantitis (con pérdida ósea). Esto se clarifica combinando el sondeo y la radiografía. Si hay sangrado al sondeo pero la radiografía muestra el hueso intacto, hablaríamos de mucositis periimplantaria. En cambio, si la radiografía muestra periimplante con pérdida ósea (por ejemplo se ven expiras del implante descubiertas) junto con inflamación clínica, entonces es periimplantitis.
En mi consulta, suelo enfatizar la importancia de las visitas regulares de mantenimiento precisamente para diagnosticar este tipo de problemas en fases tempranas. Un diagnóstico precoz de periimplantitis (cuando apenas ha comenzado la pérdida ósea) nos permite abordar la situación de forma mucho más efectiva y aumentar las probabilidades de salvar el implante. Por eso, si tienes implantes dentales, deberías hacerte revisar al menos dos veces al año aunque no notes nada anormal.
El diagnóstico de periimplantitis se basa en examinar las encías del implante, medir las bolsas alrededor y comprobar en radiografías si hay pérdida de hueso.
| Condición | Inflamación | Pérdida ósea | Reversibilidad |
|---|---|---|---|
| Mucositis Periimplantaria | Sí | No | Sí, con tratamiento |
| Periimplantitis | Sí | Sí | Potencialmente reversible en etapas tempranas, pero requiere tratamiento más invasivo |
¿Qué es la periimplantitis? Cómo evitarla o tratarla sin pérdida de hueso
Consecuencias de no tratar la Periimplantitis
La periimplantitis no es un problema que deba ignorarse. Si no se trata a tiempo, puede tener consecuencias serias tanto para el implante afectado como para la salud bucal en general.
- Pérdida progresiva del hueso de soporte: La infección crónica va destruyendo cada vez más hueso alrededor del implante (resorción ósea). Lo que puede comenzar como un pequeño desgaste óseo puede avanzar hasta comprometer gran parte del hueso que sostiene el implante.
- Aflojamiento y fracaso del implante: Conforme se pierde hueso, el implante va quedando menos sujeto. Eventualmente, el implante pierde estabilidad al no tener suficiente anclaje óseo. En casos avanzados, el implante puede literalmente quedar móvil o “flojo”, y si no se retira antes, podría incluso llegar a caerse. En la mayoría de periimplantitis avanzadas terminamos teniendo que retirar el implante (fracaso del implante) porque mantenerlo sería imposible o arriesgado.
- Propagación de la infección a otros tejidos: Una periimplantitis no es solo un problema localizado; al ser una infección activa, las bacterias pueden diseminarse. Pueden extenderse a tejidos cercanos, afectando encías de dientes adyacentes o incluso provocando periimplantitis en otros implantes si existen.
Tratamiento de los Implantes Dentales Infectados
Hoy por hoy la prevención y el diagnóstico temprano son las mejores armas para combatir las infecciones de los implantes dentales. Si te has sentido identificado con alguno de estos síntomas de periimplantitis, no te alarmes. Actualmente existen diversos tratamientos para ayudarte a solucionar esta enfermedad y que puedas disfrutar de una buena calidad de vida de nuevo.
Según el nivel de gravedad de la infección, existen tres líneas de tratamiento.
1. Higiene
El tratamiento de los implantes afectados por mucositis periimplantaria debe orientarse fundamentalmente a restablecer la salud mediante medidas de higiene, tanto profesionales -limpiezas con ultrasonidos, polvo de glicina, etc.- como de autocuidado.
Tu odontólogo debe comprobar que el diseño de las estructuras protésicas es el adecuado para permitir el acceso a las emergencias de los implantes de forma que puedan ser higienizados satisfactoriamente.
En casa es necesario reforzar las rutinas de limpieza:
- 2-3 veces al día (imprescindible por la mañana y por la noche).
- Técnica de cepillado correcta.
- Limpieza interproximal con cepillos, seda o superfloss, e irrigadores orales, sobre todo en las zonas de implantes.
- Utilización complementaria de geles o colutorios antisépticos.
2. Tratamiento quirúrgico e implantoplastia
Cuando la mucositis ha progresado y producido la perdida de soporte óseo estamos ante una periimplantitis. Su manejo es notoriamente más complejo que el de la mucositis y aún no goza de consenso científico.
En la mayoría de los casos el tratamiento es conservador. Consiste en la eliminación mecánica de los restos bacterianos (sarro, placa, etc.) de la superficie del implante.
Además, tu odontólogo debe desbridar y quitar el tejido blando inflamado que rodea el implante.
Los casos menos agresivos de periimplantitis se pueden solucionar con la limpieza mecánica y/o química del implante, de los tejidos blandos que lo rodean y con el pulido de su superficie
La cirugía bucal se completa con una implantoplastia -eliminación de espiras o roscas del implante que han quedado al descubierto por la pérdida de hueso - y pulido de la superficie del implante dental, que ayudará a dificultar en el futuro la acumulación de placa.
Para la implantoplastia aplicamos distintos protocolos de fresado con turbina dental o instrumentos de baja velocidad. En algunos casos, a la vez que fresamos, intentamos regenerar el hueso mediante biomateriales o material autólogo.
Es frecuente que la pérdida de tejido óseo vaya acompañada de pérdida de tejido gingival, por lo que también la implantoplastia se puede complementar con injertos de encía o de tejido conectivo. Generalmente se obtienen del paladar del paciente y su objetivo será modificar el entorno del implante para hacer más eficaz su limpieza y para estabilizar su situación.
También antibióticos específicos como el metronidazol han demostrado su utilidad en los casos de periimplantitis y pueden emplearse como coadyuvantes en este proceso.
El manejo de la periimplantitis debe englobarse siempre en una estrategia integral de mantenimiento del paciente para intentar conservar los implantes en boca el mayor tiempo posible y así también poder prolongar la vida de las prótesis dentarias.
En este contexto se debe vigilar el estado de salud general de paciente, por si hubiera condiciones sistémicas que pudieran estar interfiriendo en la evolución de la periimplantitis - tratamientos farmacológicos, tabaco, diabetes, etc.-.
Especialmente importante es el control periodontal, pues los periodontopatógenos de las bolsas de los dientes vecinos pueden influir en los implantes.

3. Retirada del implante
En su versión más agresiva, como son los casos con supuración activa que no responden a medidas antibióticas y quirúrgicas, la periimplantitis puede obligar a retirar el implante.
La retirada del implante es hoy en día un procedimiento bastante sencillo. Existe instrumental específico capaz de desenroscar progresivamente el implante del tejido óseo, de modo similar a un sacacorchos en una botella.
¿Cómo prevenir la infección de un implante dental?
Los estudios actuales sugieren que para prevenir la infección de los implantes dentales y promover su éxito a largo plazo, deben seguirse una serie de pautas clínicas y de autocuidado.
Por ello en nuestra clínica tenemos muy en cuenta antes de la colocación del implante factores como la correcta selección del paciente, el estado de salud general y salud dental, la planificación quirúrgica, la calidad del tejido óseo y de la encía o el diseño de la prótesis.
Del mismo modo, aconsejamos a nuestros pacientes sobre la necesidad de mantener una correcta higiene y unos hábitos de vida saludables - alimentación sana, control del estrés y, especialmente, evitar el tabaco-.
Prevenir la periimplantitis es más sencillo de lo que piensas:
- Higiene oral rigurosa: Cepíllate los dientes dos veces al día y usa hilo dental diariamente.
- Visitas regulares al dentista: Acude a chequeos y limpiezas profesionales cada 6 con nuestro dentista en Terrassa.
- Evita el tabaco: Dejar de fumar puede reducir drásticamente el riesgo de periimplantitis.
Importancia de las revisiones en los implantes dentales
Algunas revisiones científicas, como la de Derk y Tomassi et al., que analiza 15 estudios epidemiológicos, indican que casi la mitad de los pacientes portadores de implantes van a sufrir algún tipo de infección en sus implantes a medio o largo plazo.
Por otra parte, un reciente estudio de la Sociedad Española de Periodoncia (SEPA) ha constatado que uno de cada cuatro pacientes con implantes se expone al riesgo de perder algún implante por periimplantitis, en ausencia de tratamiento.
Teniendo en cuenta estos datos, el cumplimiento del calendario de revisiones diseñado para cada paciente es el único medio de asegurar un cierto control sobre la evolución de los implantes a lo largo del tiempo.
El protocolo de revisiones de la clínica del Dr. Constantino Colmenero incluye exámenes clínicos de dientes e implantes, sondajes gingivales si procede, chequeo de ajustes protésicos y del apretamiento de coronas y pilares, y estudio radiológico. Asimismo contempla cuidados específicos eventuales, como desmontajes y montajes protésicos con higienizaciones.
Finalmente, si detectamos alguna anomalía o factor de riesgo durante la revisión, propondremos a nuestros pacientes un protocolo individualizado y consensuado, ya que es primordial su cumplimiento y colaboración para la supervivencia del implante.
Recuerda que la prevención y el diagnóstico temprano es hoy por hoy el mejor tratamiento.
Una visita rutinaria al dentista puede salvar tu implante.
tags: #periimplantitis #infeccion #implante #dental #sintomas