Cada vez son más las personas que optan por un tratamiento de ortodoncia para conseguir una sonrisa más estética. Tanto es así que algunos pacientes, después de llevar un tratamiento de ortodoncia -Invisalign, ortodoncia lingual, brackets de zafiro, brackets metálicos- no recuerdan cómo era su sonrisa antes del procedimiento.
Los tratamientos de ortodoncia ofrecen resultados muy satisfactorios y que duran toda la vida, proporcionando a los pacientes calidad en su mordida y en la colocación de los dientes. Además de un tratamiento estético, muchas personas recurren a la ortodoncia por problemas de salud.
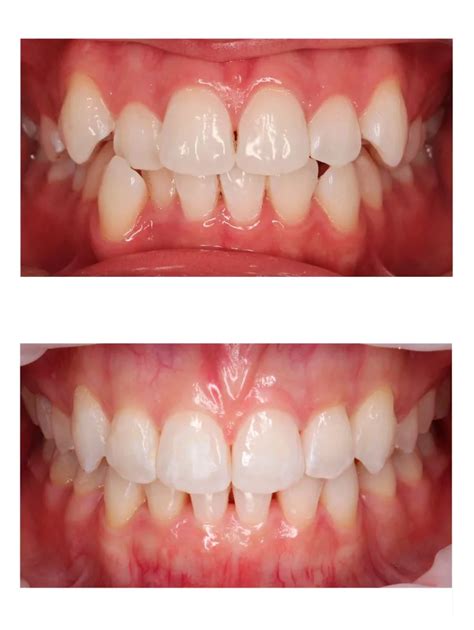
Aquí te mostramos casos normales de personas normales como tú. Veremos fotos antes y después del tratamiento de ortodoncia con brackets metálicos, cerámicos, Zafiro, Invisalign®… Aunque con fotos de casos reales de ortodoncia es fácil apreciar las diferencias antes y después de ponerse brackets, solo un especialista podrá asesorarnos sobre el tratamiento de ortodoncia que mejor resultados ofrecerá a nuestros dientes.
💊 Tratamiento para 𝗠𝗢𝗥𝗗𝗜𝗗𝗔 𝗜𝗡𝗩𝗘𝗥𝗧𝗜𝗗𝗔 clase 3 en NIÑOS y ADULTOS (MORDIDA CRUZADA ANTERIOR)
Hay un tratamiento odontológico cuya efectividad y beneficios son muy sencillos de demostrar: la ortodoncia. A nuestros pacientes les encanta ver sus fotografías del antes y después de sus tratamientos de ortodoncia.

¿Por qué elegir ortodoncia?
Una mala mordida afecta tu estado general de salud. La ortodoncia corrige diferentes problemas bucodentales como el apiñamiento, la mordida cruzada, bruxismo, sonrisa gingival, dolores temporomandibulares y problemas esqueléticos. Su fin es lograr una mejor oclusión, es decir, que la mordida sea correcta.
- Apiñamiento dental
- Mordida cruzada
- Bruxismo
- Sonrisa gingival
- Dolores temporomandibulares
- Problemas esqueléticos
Tipos de Brackets y sus Resultados
Brackets Metálicos: Antes y Después
El tratamiento de brackets metálicos es el más visible de todos, pero además cuenta con la ventaja de que su precio es inferior. Sirven para solucionar prácticamente todo tipo de problemas en la mordida, rotaciones de dientes, apiñamiento y separación entre dientes.
Brackets Estéticos: Antes y Después
La ortodoncia estética ofrece la opción de escoger entre dos materiales: de zafiro y de porcelana. Son de las opciones más estéticas ya que son transparentes y los escogen pacientes que quieren obtener un aspecto estético durante el proceso de ortodoncia.
Los resultados antes y después de la ortodoncia cerámica, hacen de ella una de las opciones estéticas más escogidas por adultos. Además las abrazaderas usadas en esta ortodoncia son del mismo color que el diente, por lo que la ortodoncia pasa desapercibida. Entre las opciones de ortodoncia estética son los que tienen un precio menor.
Ortodoncia Invisalign®: Resultados
La ortodoncia invisible o Invisalign® es un procedimiento dental con férulas transparentes es imperceptible a los demás, por lo que es el método de ortodoncia con un resultado más estético de todos los actuales. Dos de sus ventajas son que el propio paciente puede retirar la férula en casa y limpiar sus dientes de forma habitual.

Estas férulas mueven las piezas dentales gradualmente en la boca de pacientes que presentan apiñamiento y sus dientes se colocan en las arcadas de forma correcta. Uno de los métodos de ortodoncia más estéticos es el procedimiento a partir de alineadores transparentes -Invisalign-.
Ortodoncia Lingual
La ortodoncia lingual es el único método que es completamente imperceptible. Existen multitud de brackets linguales en el mercado, pero en Ferrus & Bratos solo colocamos brackets Incognito, de la marca 3M. Este sistema es el único que permite realizar tanto los arcos como los brackets a medida.

Casos Reales y Tratamientos
A continuación, se presentan algunos casos reales de pacientes y los tratamientos aplicados:
- Caso 1: Apiñamiento superior e inferior muy marcado con compresión maxilar y mandibular y sobremordida de 3/3. Incisivos superiores e inferiores muy retroinclinados. Tratamiento con brackets durante 20 meses. Se consiguió una gran expansión en parte superior e inferior, corrección de la sobremordida y del apiñamiento.
- Caso 2: Mordida cruzada unilateral derecha por compresión maxilar asimétrica. Tratamiento de expansión con disyuntor de Hyrax con anclaje mucoso en lado izquierdo durante 10 meses. Se consiguió una gran expansión del lado derecho.
- Caso 3: Apiñamiento superior e inferior, con 23 alto y 35 con gran falta de espacio. Además, presenta un importante canteo del plano oclusal. Tratamiento durante 18 meses con brackets y extracciones de piezas 24 y 35.
¿Te preocupa el pago?
¿Te preocupa el pago de la entrada de tu tratamiento de ortodoncia? ¿Prefieres pagar los brackets metálicos en cómodos plazos? Aunque ofrecemos precios económicos en nuestros tratamientos de ortodoncia metálica en Cáceres, muchos de nuestros clientes tienen preferencia por el pago en plazos.
Tenemos buenas noticias para ti, y es que en clínica Barrantes, te damos todas las facilidades para que puedas pagar el tratamiento dental como mejor te venga.
¡Consigue la Sonrisa que Siempre Has Deseado!
Si después de ver todos los resultados que han obtenido otros pacientes antes y después del tratamiento de ortodoncia, te planteas un cambio en tu sonrisa, en Clínica Dental Barrantes evaluamos el caso de cada paciente de forma individual para ofrecerles un tratamiento personalizado.
Solicita la primera consulta GRATIS para que nuestros especialistas dentales te asesoren sobre el tratamiento de ortodoncia perfecto para ti. Nos adaptamos a todo tipo de presupuestos, ofreciendo la posibilidad de financiación hasta 48 meses.
¡Di adiós a esos colmillos desalineados y pon solución a esos dientes torcidos tan molestos! ¡Llámanos y prepárate para presumir de una dentadura perfecta! Tener los dientes torcidos puede suponer una gran molestia además de ocasionar un mayor desgaste dental y reducir la salud bucodental. Con un tratamiento de ortodoncia especializado podrás disfrutar de todos tus dientes perfectamente alineados.

De esta forma, podrán pautar un tratamiento a tu medida para que tengas la sonrisa que siempre has querido.