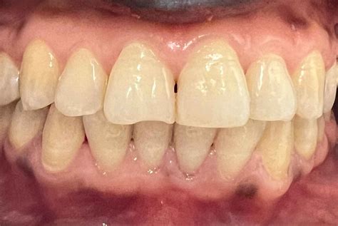
El exceso de producción de melanina en las encías puede provocar un oscurecimiento, dando a las encías un aspecto negruzco. Este oscurecimiento es conocido como melanosis gingival.

Aunque la melanosis gingival no reviste gravedad en personas adultas, debe considerarse y controlarse en una clínica dental, donde un equipo profesional de dentistas velará por el cuidado de las encías para mantenerlas completamente sanas y en perfecto estado. Es importante informar al odontólogo si se observan manchas negras en las encías de los niños, ya que a veces pueden ser un signo de problemas de dentición o cáncer oral.
⚫️¿Qué son estas MANCHAS NEGRAS en las ENCÍAS? - Melanosis gingival
¿Qué es la Melanosis Gingival?
De igual manera que en la piel, pelo u ojos, en las encías tenemos melanocitos que se encargan de protegernos y son los causantes del color de la piel y encías. La melanosis gingival es una alteración caracterizada por un cambio de coloración de la encía, en la que la encía toma una tinción más oscura provocada por una acumulación de melanina.
En algunos pacientes, la hiperpigmentación provoca un problema estético, particularmente si se ocasiona en la zona facial de la encía y resulta visible durante la sonrisa y habla del paciente.

Causas de la Melanosis Gingival
Las causas de la melanosis gingival o encías negras pueden deberse a alguno de los siguientes factores:
- Tabaquismo
- Melanoplaquia
- Manchas de amalgama
- Medicamentos
- Injertos de encías
- Enfermedades periodontales
Tabaquismo
Fumar no solo provoca oscurecimiento en los dientes sino que, debido a las toxinas que contiene, también puede llegar a oscurecer el color de las encías y provocar mal aliento. En personas adultas fumadoras es habitual observar manchas gingivales oscuras.
Melanoplaquia
La melanoplaquia es un factor hereditario y es una mancha negra debida a la acumulación de melanocitos en las encías, haciendo que luzcan un color más oscuro de lo habitual. Las melanoplaquias no revisten de gravedad alguna pero si precisan de un correcto control periódico en una consulta dental.
Manchas de Amalgama
La amalgama es un producto metálico utilizado hasta no hace muchos años en reconstrucciones dentales. Con el tiempo, las amalgamas al entrar en contacto con las encías podían provocar manchas negras e inflamación. Actualmente, para evitar este tipo de problema se utiliza el composite.
Medicamentos
El consumo de medicamentos como las píldoras anticonceptivas es otra causa de las encías negras en adultos. Algunos medicamentos pueden tener como efecto secundario el oscurecimiento de las encías. Los anticonceptivos orales de tipo combinados son el ejemplo más común. Algunos antibióticos, antipalúdicos, antipsicóticos y anticancerígenos también pueden generar manchas negras en las encías. Entre estos, la clorpromacina, la minociclina y la quinidina han presentado este tipo de efecto no deseado.
Injertos de Encías
Un tratamiento dental como puede ser una intervención dental o un injerto muco-gingival también puede provocar un oscurecimiento de la encía. Este oscurecimiento desaparecerá con el paso del tiempo y el color de la encía volverá a su tono rosado normal. Tras la colocación de un injerto de encía para tratar la resección gingival, por ejemplo, el tejido se observará negro por unos días, ya que se genera una necrosis transitoria que desaparecerá a medida que la zona se recupere.
Enfermedades Periodontales
Las enfermedades periodontales como la gingivitis o la periodontitis pueden provocar oscurecimiento en las encías. Así mismo, las encías pueden verse un tanto más oscuras por la acumulación de sarro sub-gingival.

¿Cómo Eliminar las Manchas Negras de las Encías?
Existen diversas alternativas para tratar la melanoplaquia, enfocadas en mejorar la apariencia de las encías. Algunas de las técnicas más comunes incluyen:
- Microabrasión: Técnica menos invasiva diseñada para eliminar las capas superficiales de pigmento en las encías.
- Despigmentación con bisturí: Eliminación de las partes pigmentadas mediante un bisturí.
- Cirugía láser: Utiliza un haz de luz para eliminar el tejido pigmentado con mucha precisión.
- Fresado: Utiliza un material rotatorio para eliminar la capa superficial del epitelio donde se concentra la melanina.
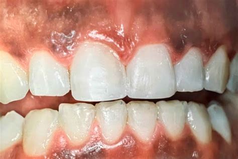
Tratamiento de la melanosis gingival mediante mucoabrasión
La hiperpigmentación melánica gingival es causa de problemas estéticos especialmente en pacientes con sonrisa gingival. Utilizando una técnica clásica de abrasión de la mucosa (mucoabrasión) descrita por Pérez Fernández en 1977, mostramos los resultados y la evolución en una paciente de 29 años, sin antecedentes médicos de interés, con manchas melánicas múltiples en la mucosa vestibular del maxilar superior y mandíbula, que demandaba tratamiento estético que le devolviese el aspecto normal a sus encías. El estudio histopatológico e inmunohistoquímico de biopsias gingivales, donde se apreció intensa hiperpigmentación de la capa basal epitelial y escasa presencia de melanina en melanófagos de lámina propia, condujo al diagnóstico de melanosis gingival secundaria a hábito tabáquico.

Tabla Resumen: Diagnóstico Diferencial de Manchas en Encías
A continuación, se presenta una tabla que resume las diferentes condiciones que pueden causar manchas en las encías, sus posibles causas y recomendaciones:
| Color de la Mancha | Nombre de la Condición | Descripción Breve | Causa(s) Posible(s) | Recomendación |
|---|---|---|---|---|
| Blanco | Leucoplasia | Placas blancas, no desprendibles al frotar | Tabaquismo, irritación | Evaluar por un profesional |
| Blanco | Candidiasis oral | Manchas blancas cremosas, retirables | Infección fúngica | Tratamiento antifúngico |
| Blanco | Liquen plano oral | Líneas blancas reticuladas, posible molestia | Desconocida, respuesta inmune | Seguimiento y manejo de síntomas |
| Rojo | Eritroplasia | Áreas rojas planas, pueden malignizar | Tabaquismo, alcohol, VPH | Seguimiento necesario |
| Rojo | Gingivitis | Encías rojas, inflamadas | Acumulación de placa | Mejora de higiene oral, consulta dental |
| Rojo | Úlceras traumáticas | Lesiones con centro amarillo/blanco y halo rojo | Traumatismo | Autocuidado, evitar irritantes |
| Negro/Marrón | Melanosis oral | Pigmentación oscura | Tabaquismo, genética, medicamentos | Consultar si hay cambios |
| Negro/Marrón | Amalgama tatuaje | Manchas grises/negras por partículas de amalgama | Partículas de amalgama | Generalmente inofensivo, monitorear |
Prevención de la Melanoplaquia
La prevención de la melanoplaquia es fundamental para mantener una buena salud bucodental. La higiene bucal adecuada es la primera línea de defensa contra la melanoplaquia. Modificar ciertos hábitos y estilos de vida puede tener un impacto significativo en la salud bucodental. El tabaquismo es un factor de riesgo asociado con la pigmentación de las encías.
Visitar al dentista de manera regular es crucial para detectar cambios en la coloración de las encías y recibir tratamiento oportuno si es necesario.
tags: #pigmentaciones #melanicas #en #encia