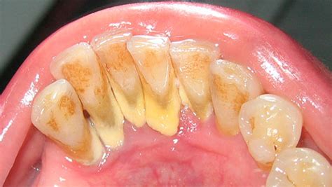
El sarro, también conocido como cálculo o tártaro dental, es la placa que se ha endurecido en los dientes debido al depósito de minerales. Al ser más poroso, absorbe fácilmente las manchas, además de ser un problema estético, también amenaza la salud de dientes y encías.
Cuando no se erradica a tiempo, el sarro puede acumularse sobre y/o entre los dientes. A diferencia de la placa que es una película incolora, el sarro presenta minerales siendo fácilmente visible si se localiza por encima de la línea de las encías. El indicador de sarro más común es observar un color marrón o amarillento en los dientes o encías.

Ejemplo de sarro dental visible en los dientes.
¿Qué es el Sarro?
El sarro es la placa que no se ha eliminado y se ha endurecido y vuelto poroso a causa de los minerales de la saliva. El sarro es el producto de la mineralización de la placa bacteriana. Estos cálculos son sobre todo fosfato de calcio, fosfato de magnesio y carbonato de calcio. Es de un color amarillento o pardo y aparece en la línea de las encías.
Si no se elimina, el sarro continúa creciendo y calcificándose. Además, el sarro puede erosionar el esmalte a largo plazo.
Diferencias entre Sarro y Placa Dental
Sarro y placa dental son cosas distintas que la gente suele confundir debido a sus características en común.
A diferencia del sarro, que es duro y poroso, la placa dental es una película delgada que se forma sobre los dientes y que consiste en saliva y restos de comida atrapados que se acumulan en la línea de las encías. El ácido de la placa puede atacar a los dientes inmediatamente después de las comidas y, si no se limpia, puede romper el esmalte y provocar caries.
Si no se quita la placa dental todos los días con un cepillado suave, hilo dental y el correcto uso de enjuague bucal LISTERINE®, ésta puede solidificarse y convertirse en sarro. La placa dental también daña las encías y puede causar su enrojecimiento e inflamación, hacer que sangren con el cepillado o incluso que se retraigan.
En definitiva, el sarro es el empeoramiento y endurecimiento de la placa que no ha sido eliminada. Si la placa no se trata, aparece el sarro. Por ello es importante mantener una buena y completa higiene bucodental.
¿Cómo Afecta el Sarro a los Dientes?
El sarro en los dientes puede provocar una serie de problemas que afectan a la salud de la boca. Las bacterias que tiene el sarro pueden afectar de manera negativa a nuestras encías y dientes. El paso del tiempo y el crecimiento cada vez mayor del sarro, puede llevar a una enfermedad de las encías. Por ello es importante prevenirlo y así poder evitar la gingivitis.
- Las bacterias presentes en el sarro producen ácidos que deterioran el esmalte dental.
- Un indicador de la presencia de sarro en los dientes, a diferencia de la placa bacteriana, es el mal aliento o halitosis.
- Cuando el sarro llega a la línea de la encía empiezan los problemas periodontales. Las encías se inflaman, se enrojecen y sangran con facilidad por la proliferación de bacterias. En una etapa inicial se conoce como gingivitis.
- Existe una relación entre el sistema digestivo y la salud oral. Por lo tanto, la presencia de un mayor número de bacterias en la boca puede favorecer trastornos estomacales o intestinales.
¿Qué Causa el Sarro?
Como acabamos de ver, la ausencia o deficiencia de higiene dental es la principal causa de formación del sarro: si no se retira periódicamente, la placa dental se acumula, endurece y mineraliza, lo que da lugar a la formación del sarro.
Aunque la dieta no es el único factor que contribuye a la formación de sarro, ciertos alimentos y bebidas pueden promover su desarrollo al favorecer la acumulación de placa.
Factores de Riesgo
Además de una incorrecta higiene bucal, existen otros factores que propician la aparición del sarro. Entre ellos, se encuentran los siguientes:
- El consumo excesivo de alimentos o bebidas ricos en azúcar.
- El tabaquismo.
- El consumo excesivo de café, té o vino.
- El uso incorrecto o prolongado de algunos colutorios.
- La malposición o mala alineación de los dientes. Ello aumenta la dificultad de llevar a cabo una higiene adecuada y, por tanto, de retirar correctamente la placa dental.
- Factores genéticos que afectan a la saliva como el grado de acidez (pH).
- Producir una cantidad insuficiente de saliva debido al uso de medicamentos u otras condiciones médicas.
- Tener edad avanzada. Con el paso de los años, las encías pueden retraerse, lo que expone una mayor superficie dental a la acumulación de placa y a la formación de sarro.
¿Cómo Prevenir la Aparición de Sarro?
Prevenir la aparición de sarro es la mejor forma de cuidar tu salud bucodental. Los estudios demuestran que una correcta higiene oral es la mejor manera de prevenir la aparición de sarro. Te damos algunos consejos para evitar su formación y los problemas que su presencia puede causar en tu salud oral:

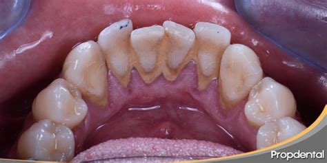
La prevención es clave para evitar la acumulación de sarro dental.
Cepillado de los dientes: Todo comienza por el cepillado, por lo que saltarse el cuidado personal solo dificultará su capacidad de prevenir la enfermedad periodontal y la caries. La bacteria se acumulará más rápidamente si no se cepilla con regularidad. Recomendamos cepillarse los dientes con un cepillo de dientes de cerdas suaves al menos dos veces al día. Preste especial atención a la placa que se acumula alrededor de las encías. Reemplace su cepillo de dientes o el cabezal de su cepillo de dientes a menudo.
En primer lugar, la mejor manera de prevenir la aparición de sarro es realizando un correcto cepillado después de cada comida. La mejor forma de hacer un cepillado eficaz es comenzar por usar el cepillo dental sin pasta, de esta forma podrás arrastrar cualquier resto de alimentos adherido a tus dientes.
Hilo dental: La limpieza interdental es imprescindible una vez al día. Ya que el cepillo de dientes no llega a toda la comida y bacterias entre los dientes, el uso del hilo dental o enjuague para llegar a estas áreas de difícil alcance, ayuda a combatir la enfermedad periodontal y las caries. El mejor momento para limpiar los espacios entre los dientes es antes de ir a dormir para que la boca albergue menos bacteria durante ese tiempo. Si prefiere hacerlo por la mañana, también es buen momento. Aunque el uso de hilo dental es la manera usual de limpiar entre los dientes, a algunas personas les resulta raro.
El hilo o la seda dental es el otro gran aliado contra la placa bacteriana. Su uso está menos extendido que el cepillo de dientes pero debería ser utilizado al menos una vez al día, lo más recomendable durante el último cepillado antes de acostarse. La seda dental permite acceder a la zona interdental y a las áreas entre el diente y la encía, removiendo los restos de alimentos que el cepillo no elimina.
Los irrigadores bucales y los cepillos interdentales mejoran todavía más la limpieza.
Limpiezas profesionales regulares: La placa bacteriana que se endurece convirtiéndose en sarro no puede eliminarse con el cepillo de dientes. Por lo tanto, también es necesario que visite a su odontólogo o higienista dental para limpiezas y revisiones.
Alimentación saludable: Cuando reduce su ingesta de carbohidratos, en especial los azúcares, está reduciendo la habilidad de las bacterias de producir ácidos que pueden causar caries y enfermedad periodontal. Es importante llevar una dieta saludable y variada. Reemplace los aperitivos y bebidas azucaradas por queso, yogur u otras alternativas no azucaradas.
Menos azúcar: Reduce el consumo de azúcar.
Alimentos crudos: Come muchas manzanas y zanahorias, y evita, en la medida de lo posible, el pan de molde.
Acude al dentista: La presencia de sarro es asintomática, y no siempre puede verse a simple vista. Este puede acumularse en zonas que sólo un dentista profesional podrá identificar.
Limpieza profesional: Cuando más limpios tengas tus dientes menor es la posibilidad de que acumulen sarro. Por eso es fundamental que al menos una vez al año realices una limpieza dental profesional en la consulta del dentista. Tus dientes te lo agradecerán.
No fumar: Algunos estudios demuestran que las personas que fuman tienen más probabilidades de acumular sarro en sus dientes.
Uso diario de colutorio: El cepillado cubre solo la limpieza de un 25% de la boca. Con uso de colutorio completa tu higiene bucodental eliminando los restos no alcanzados por el cepillado y reparando y protegiendo el esmalte y las encías.
En LISTERINE® te ofrecemos una gran variedad de enjuagues bucales con los que mantener tu salud dental en el mejor estado.
Además de estos consejos útiles para prevenir la aparición del sarro, hay también muchas otros remedios que puedes probar para eliminar el sarro dental. Para hacer esta pasta, sólo tienes que mezclar una cucharadita de bicarbonato de sodio con agua caliente hasta formar una pasta espesa. Si la pasta de bicarbonato de sodio no es suficiente, entonces puedes probar a utilizar vinagre de sidra de manzana. Sólo tienes que mezclar partes iguales de vinagre de sidra de manzana y agua en una taza, y luego utilizarlo como enjuague bucal durante dos minutos cada día, más o menos. También puedes probar el oil pulling con aceite de coco.
La mayoría de estos remedios caseros tienen en común una cosa: aplicarlos puede implicar un severo daño en el esmalte dental. Además, ninguna de estas recomendaciones para eliminar el sarro será efectiva sin una higiene dental completa de forma regular.
DIENTES con SARRO - CÓMO SE QUITA, previene y por qué se forma el sarro dental | Dentalk! ©
¿Cómo Eliminar el Sarro?
Una vez que el sarro se ha acumulado en los dientes, no puede ser eliminado en casa, de ahí la importancia de la prevención. Si has detectado sarro en tu boca solo un dentista o higienista dental podrá eliminarlo por completo con una limpieza dental profesional.
La única forma de «despegarlo» es acudiendo a la consulta del odontólogo para que realice una limpieza dental, o incluso un raspado gingival si el sarro ha llegado a acumularse debajo de las encías. Ninguno de estos procedimientos es doloroso, aunque sí pueden causar alguna molestia que se evita fácilmente aplicando un anestésico local sobre la encía.
Para quitar el sarro, el paciente debe dirigirse a una clínica odontológica y realizarse una limpieza de boca o higiene bucodental, en un lenguaje más propio. Las limpiezas bucodentales son tratamientos completamente indoloros y que, contrariamente al mito, no desgastan el esmalte de los dientes.
Los tratamientos de limpieza profesional en la clínica eliminan una mayor cantidad de sarro.
El raspado coronal indoloro, por lo que se realiza sin anestesia, donde el dentista o higienista dental lo hace manualmente.
La limpieza dental avanzada de Vitaldent elimina la placa bacteriana y el sarro que aparecen por encima de la línea de las encías (supragingival). Este procedimiento, también llamado tartrectomía, atenúa las manchas superficiales de los dientes.
Asimismo, el sarro puede extraerse con un aparato que emite ultrasonidos que lo desintegran.
Sin embargo, cuando el sarro se acumula aparece por debajo de la encía (subgingival) es necesario proceder a la instrumentación subgingival o comúnmente conocida como curetaje.
En el caso de que el sarro se haya acumulado bajo las encías, es necesario realizar un curetaje o raspado dental. Este implica una limpieza más profunda, que sí suele requerir la aplicación de anestesia local.
Para eliminar el sarro que ha crecido más profundamente debajo de los tejidos blandos que sostienen los dientes, es necesario un tratamiento distinto, que recibe el nombre de raspado y alisado radicular, o curetaje, que sí necesita anestesia local.
Tipos de Sarro
En función de su localización, el sarro puede ser:
- Supragingival: Se acumula en la superficie visible de los dientes y encías.
- Subgingival: Se localiza por debajo de la línea de la encía, por lo que es más difícil de percibir.
Problemas que Puede Provocar en la Boca
Si no se elimina correctamente la placa bacteriana y se forma sarro, pueden producirse, en función del tipo de bacterias predominantes, los siguientes problemas en la boca:
- Gingivitis: La placa y el sarro irritan e inflaman las encías, que se hinchan y sangran. Se pueden formar “bolsillos” en los que pueden proliferar bacterias.
- Periodontitis: Es una forma más severa de la enfermedad de las encías, en la que los ligamentos y el hueso que soportan el diente se destruyen. Con frecuencia, desencadena la pérdida de la pieza dental.
- Caries dentales: Son agujeros o cavidades que dañan la estructura del diente. Se producen cuando las bacterias presentes en la placa metabolizan los azúcares y producen ácidos capaces de disolver el esmalte con el paso del tiempo.
- Mal aliento (halitosis): Debido a menudo a una mala higiene oral, las bacterias presentes en la boca segregan compuestos de azufre que producen un olor desagradable. Puede ocurrir que el sarro no sea visible, pero que sí se perciba el mal aliento. Los “bolsillos” que se crean por la gingivitis y periodontitis acumulan bacterias y pueden incrementar la halitosis.
- Aumento de la sensibilidad en los dientes, sobre todo al frío y/o al calor.
Además, los trastornos dentales pueden llegar a provocar una gran variedad de problemas de salud sistémicos como trastornos digestivos o enfermedades cardiovasculares, entre otros.
¿Cómo Limpiar la Boca para Prevenir el Sarro y la Placa Dental?
Para reducir al mínimo la placa bacteriana y evitar así que se forme el sarro, es necesario limpiar todos días los dientes, la lengua, las encías, el paladar y el interior de las mejillas. En concreto, una higiene oral completa debe incluir los siguientes cuidados personales:
- Cepillarse los dientes cuidadosamente: Debe hacerse tras cada comida pero, sobre todo, es fundamental realizar un cepillado profundo antes de irse a dormir, cuando baja la producción de saliva y los movimientos de la lengua, ya que estos contribuyen a remover la placa bacteriana. Puede utilizarse un cepillo manual o eléctrico, aunque estos últimos han demostrado retirar la placa con mayor eficacia si cuentan con tecnología oscilatoria-rotatoria. En todo caso, se recomienda que el cepillo tenga cerdas suaves o medias y que el cabezal no sea demasiado grande para que llegue a todos los rincones de la boca.
- Cepillarse las encías: Tras los dientes, debe cepillarse con suavidad la dentadura a lo largo de la línea de las encías.
- Usar un dentífrico con flúor: El dentífrico que usemos para el cepillado debe incluir flúor en su fórmula, porque ayuda a prevenir las caries. También existe la opción de realizar enjuagues bucales fluorados tras el cepillado dental. En niños deben emplearse dentífricos adaptados a su edad en contenido de flúor.
- Limpiarse los espacios interdentales: Si existe espacio suficiente, debe emplearse un cepillo interproximal o, si no, hilo o seda dental. Ambos deben usarse al menos una vez al día, preferiblemente por la noche, con el fin de asegurar la limpieza de las caras laterales de los dientes y que no queden restos de comida entre ellos. También se puede emplear un irrigador de agua para eliminar los desechos que se encuentren entre los dientes y debajo de las encías. Es especialmente importante la limpieza con cepillo interproximal, seda o irrigador, en personas que lleven implantes o puentes, ya que los espacios entre los dientes y la retracción de las encías pueden favorecer la acumulación de placa en espacios difícilmente accesibles.
- Limpiarse la lengua: Debe frotarse suavemente hacia adelante usando el cepillo de dientes o un limpiador lingual, ya que en ella se acumulan un gran número de bacterias.
Además, los expertos recomiendan un examen rutinario de los dientes al menos una vez al año y una limpieza profesional cada seis o doce meses con el fin de eliminar el sarro, ya que este puede acumularse en los dientes incluso aunque se lleve a cabo en casa una buena higiene dental.