Después de completar un tratamiento de ortodoncia, los retenedores se convierten en tus mejores aliados para mantener tu nueva sonrisa. No subestimes la importancia de estos dispositivos. En nuestra clínica dental en Lanzarote, contamos con un equipo de profesionales especializados en ortodoncia y en el cuidado posterior a tu tratamiento. Nos aseguramos de que tu sonrisa se mantenga alineada y saludable a lo largo del tiempo.

Ahora que llega el verano y te vas de merecidas vacaciones, no olvides tener una copia de tus retenedores ortodoncia siempre a mano. Así, si lo pierdes, si lo dejas en el hotel… ¡¡no correrás el riesgo de que tus dientes se muevan!! Recuerda que el primer año después de la ortodoncia es el más importante. No debes dormir ni una noche sin retenedores ortodoncia.
Cuanto ⌛️TIEMPO se debe usar los RETENEDORES DENTALES -Tipos de RETENEDORES despues de los Brackets!
¿Qué son los retenedores de ortodoncia?
Los retenedores de ortodoncia son dispositivos utilizados en el tratamiento de ortodoncia para mantener los dientes en su nueva posición después de haber finalizado el tratamiento con aparatos ortodóncicos, como los brackets o los alineadores transparentes. Estos dispositivos están diseñados para prevenir que los dientes vuelvan a su posición original y para asegurar que el resultado del tratamiento ortodóncico se mantenga a largo plazo.
¿Por qué es importante seguir usando los retenedores de ortodoncia?
Ahora, queremos contarte por qué es tan importante el uso continuado de retenedores ortodoncia.
¡Atento! Si aplicamos fuerza sobre nuestros dientes, estos se irán moviendo poco a poco. La aplicación de fuerza provoca que el diente se desplace por el hueso y se produzca un proceso de remodelación ósea: el hueso se va destruyendo para permitir el movimiento y, por otro lado, se va creando en la zona donde queda el espacio libre en el que estaba el diente.
Las células que van destruyendo el hueso se llaman osteoclastos, y las regeneradoras de hueso se llaman osteoblastos. Es por eso que, cuando los dientes no están en buena posición (bien a nivel estético, funcional, o en ambos casos) podemos utilizar un aparato de ortodoncia, ya sea fijo (ortodoncia tradicional con brackets) o removible (ortodoncia invisible con la técnica Invisalign) para colocarlos en la posición correcta, de modo que su posición final sea estética y además podamos masticar correctamente.
Sabemos que la ortodoncia es un proceso más o menos largo, pues toda esta remodelación ósea requiere tiempo: los movimientos son muy pequeñitos y deben estar controlados por tu ortodoncista. Gracias a la herramienta digital ClinCheck Pro, los ortodoncistas expertos en la técnica Invisalign pueden controlar los movimientos de tus dientes completamente y por separado. Además, esta planificación del tratamiento se hace por adelantado, por lo que podremos saber cuáles serán esos movimientos y cuál será el resultado final antes de comenzar con el tratamiento de ortodoncia. ¿No es asombroso?

Gracias a las nuevas tecnologías y al trabajo de los ortodoncistas expertos, podemos ver cómo va a quedar nuestra sonrisa incluso antes de empezar, y podemos hacernos una idea bastante aproximada del resultado final. Una vez que los dientes han sido bien colocados con ortodoncia, la tendencia de estos será de nuevo al movimiento, por dos razones:
- JUSTO AL TERMINAR LA ORTODONCIA, tus dientes (que tienen memoria) intentarán volver a la posición que tenían antes de su correcta colocación. Además, el hueso aún se está consolidando debido al reciente proceso de remodelación.
- Nuestros dientes se mueven poco a poco DURANTE TODA LA VIDA, aunque nunca hayas llevado ortodoncia e independientemente de la edad. En nuestra boca se producen múltiples fuerzas que provocan el movimiento progresivo y constante de los dientes. Los labios, la lengua, la forma de masticar o los músculos empleados en la masticación, el bruxismo o apretamiento inconsciente de los dientes… todo suma y genera pequeños movimientos en distintas direcciones. Lo más habitual suele ser una tendencia al apiñamiento anterior inferior (los dientes de abajo se montan con el paso del tiempo, seguro que lo has notado) y un estrechamiento de ambas arcadas, tanto la inferior como la superior.
Por tanto, si acabas de terminar un tratamiento de ortodoncia, independientemente de la técnica utilizada para ello (ortodoncia invisible Invisalign, ortodoncia fija con brackets), necesitas unos retenedores ortodoncia para mantener el resultado logrado. Si no colocamos estos retenedores ortodoncia, tus dientes (que, como hemos dicho, tienen memoria) volverán poco a poco a descolocarse.
No queremos que todo el tiempo, el esfuerzo y el dinero invertido se echen a perder por no utilizar un cómodo aparatito que usaremos sólo para dormir… ¡para toda la vida! Sobre todo el período inmediatamente posterior a la terminación de un tratamiento de ortodoncia (el primer año) es fundamental que no olvides tus retenedores ortodoncia en ningún momento.
Te recomendamos que siempre tengas copias de estos retenedores… ¡¡por si los pierdes!! Pásate por la clínica a recoger tus copias o, si ya las has usado todas, podemos pedirte copias nuevas. ¡Llegarán en 5 días! Ten en cuenta que utilizamos la imagen final de tu tratamiento que tenemos guardada en el escáner. Siempre podemos pedir copias de esa imagen. Es un proceso muy rápido que completamos en un click. Invisalign nos hará llegar tus nuevos Vivera en menos de una semana 🙂
Por otro lado, aunque nunca hayas llevado ortodoncia, te recomendamos el uso nocturno de unos retenedores ortodoncia. Así, como hemos dicho, evitaremos el movimiento progresivo y natural de los dientes provocado por las múltiples fuerzas que tienen lugar en nuestra boca. En este caso, también podemos fabricar unos Vivera. Sólo tenemos que escanear tus dientes con nuestro escáner intraoral 3D sin radiación. Esa imagen se guardará para siempre en tu archivo, con lo que podemos pedir nuevas copias sin necesidad de volver a escanear.
Tipos de retenedores de ortodoncia
Existen varios tipos de retenedores ortodoncia, fijos y removibles. Tras probarlos prácticamente todos, en nuestra clínica recomendamos el uso de los Vivera de Invisalign. Existen dos tipos principales de retenedores: los retenedores fijos y los removibles, cada uno con sus propias ventajas. Conocerlos te ayudará a tomar la mejor decisión para conservar los resultados de tu ortodoncia.
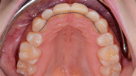
- Retenedores fijos: Los retenedores fijos son barras de alambre colocadas detrás de los dientes, invisibles al ojo. Se adhieren con un adhesivo y son permanentes, lo que significa que no pueden ser retirados por el paciente. Son efectivos para mantener la posición de los dientes anteriores, especialmente en la arcada inferior.
- Retenedores removibles: Estos retenedores son más flexibles, pudiendo ser retirados y colocados según necesidad. Ofrecen comodidad al permitir una higiene dental completa y son prácticamente invisibles, aumentando la probabilidad de uso constante.
¿Por qué son mejores los retenedores ortodoncia Vivera que otros retenedores?
Los retenedores ortodoncia Vivera están fabricados con la misma tecnología innovadora que los aligners de Invisalign: la toma de medidas se realiza mediante imágenes digitales en 3D, su tecnología de fabricación avanzada y el material de fabricación es termoplástico patentado de altísima calidad.
A continuación, se presenta una tabla comparativa de las características de los retenedores Vivera:
| Característica | Descripción |
|---|---|
| Proceso de fabricación | Tecnología innovadora con imágenes digitales en 3D y material termoplástico patentado. |
| Ajuste y comodidad | Ajuste extremadamente preciso y acabado redondeado y suave. |
| Durabilidad | Material termoplástico transparente un 30 % más resistente que otros retenedores. |
| Autocorrecciones | Permiten pequeñas autocorrecciones de hasta 0,25 mm por diente. |
| Mantenimiento de la forma | Se fabrican a partir de un molde de ambas arcadas al completo. |
| Combinación con otros retenedores | Combinables con retenedores ortodoncia fijos para un refuerzo retentivo extra. |
| Higiene bucal | No alteran los hábitos de higiene bucodental. |
| Aptitud | Aptos para todos, independientemente del tipo de ortodoncia utilizada. |
Ajuste y comodidad
Gracias a la fabricación 3D y el material utilizado, conseguimos unos retenedores ortodoncia con un ajuste extremadamente preciso y un acabado redondeado y suave que se sujeta firme y cómodamente.
Mayor durabilidad
Los retenedores ortodoncia, al ser de plástico, se van deformando con su uso. Las pruebas de laboratorio demuestran que la deformación comienza tras sólo dos meses de uso. Cuanto mejor es el plástico empleado en la fabricación de los retenedores ortodoncia, mayor será su durabilidad. Es importante en este punto incidir en la necesidad de cambiar los retenedores ortodoncia por unos nuevos cuando el plástico comience a deformarse. Así, evitaremos el riesgo de posibles pequeños movimientos.
El material termoplástico transparente utilizado en la fabricación de los retenedores ortodoncia Vivera ha demostrado ser un 30 % más resistente que el plástico empleado por otros retenedores ortodoncia.
Pequeñas autocorrecciones
Si, por alguna razón, en un momento determinado, has dejado de usar los retenedores ortodoncia (esperemos que haya sido por muy poco tiempo), la resistencia del material de los Vivera permite hacer pequeñas autocorrecciones (de hasta 0,25 mm por diente), devolviendo a tus dientes la posición que tenían cuando se tomaron las medidas para fabricarlos. No obstante, lo mejor es que siempre tengas retenedores ortodoncia de repuesto. No deberías estar ni una noche sin usarlos.
Mantenimiento de la forma de las arcadas
Los retenedores ortodoncia Vivera se fabrican a partir de un molde de ambas arcadas al completo, sin dejar ningún diente. Esto permite que se mantenga la forma de tus arcadas, impidiendo el estrechamiento de las mismas que, como habíamos comentado, se produce con los años debido a las fuerzas de la musculatura de tu boca y el bruxismo.
Combinables con retenedores ortodoncia fijos
Aunque normalmente suele ser suficiente con el uso de los retenedores ortodoncia removibles Vivera, es posible que algunas personas con mucha movilidad dentaria requieran la combinación de una barrita o alambre fijo (se cementa detrás de los dientes, de canino a canino) + Vivera. Así, disponemos de un refuerzo retentivo extra.
Higiene bucal completa
Como estos retenedores ortodoncia son removibles (de quita y pon, los usas sólo para dormir), no es preciso alterar los hábitos de higiene bucodental. Podemos cepillarnos los dientes y usar el hilo o seda dental como de costumbre. Si usásemos los retenedores ortodoncia fijos (la barrita pegada detrás de los dientes), la higiene bucodental debería ser más exhaustiva, y tendríamos que usar un hilo dental especial. Normalmente, en estos casos en que se tiene el retenedor fijo, las limpiezas profesionales suelen ser necesarias cada menos tiempo, pues se acumula sarro en esa zona.
Aptos para todos
No es necesario haber llevado ortodoncia invisible Invisalign para utilizar los retenedores ortodoncia Vivera. Sólo tenemos que tomar un molde digital de tu boca y mandarlos a fabricar. Por eso, puedes haber usado ortodoncia invisible, ortodoncia fija con brackets, o no haber llevado nunca ortodoncia. Sea cual sea tu caso, acude a un profesional ortodoncista y éste podrá solicitar tus Vivera. Ese modelo digital se guarda, de manera que siempre podremos pedir unos Vivera a partir de ese modelo.
Consecuencias de no utilizar retenedores dentales
No utilizar retenedores después de un tratamiento ortodóntico puede tener consecuencias significativas. Un estudio indica que hasta el 70% de las personas experimentan recaídas, con dientes que vuelven a su posición original. Sin los retenedores, la presión de los músculos de la boca y mandíbula puede desalinear nuevamente los dientes, advierte el Dr. En cuanto a la salud bucal general, el uso de retenedores es crucial para la estabilidad de los dientes y la adaptación de los tejidos orales.
Los tejidos necesitan tiempo para fortalecerse y adaptarse. Sin retenedores, la salud de las encías y el hueso puede verse comprometida. La principal consecuencia de no usar los retenedores dentales después de la ortodoncia es que las piezas dentales vuelvan a su posición inicial, provocando la pérdida de los resultados conseguidos. Y la consecuente pérdida de la inversión económica y el tiempo dedicados.
Una vez los dientes pierden la alineación conseguida, será necesario someterse a un nuevo tratamiento de ortodoncia correctora. Otra de las consecuencias de no usar los retenedores es que, al volver los dientes a su posición inicial, los tejidos gingivales y periodontales se podrían ver afectados.
Los períodos más críticos en el tratamiento de ortodoncia son los primeros meses y el año siguiente a la finalización del tratamiento. Muchas veces como pacientes se nos escapa que la retención es una fase esencial en el tratamiento de ortodoncia, por lo que es necesario seguir las pautas indicadas por el ortodoncista para garantizar los mejores resultados posibles.
¿Cuánto tiempo se deben usar los retenedores?
Por lo general, el ortodoncista recomienda usar los retenedores dentales removibles y fijos de manera permanente para evitar los movimientos indeseados en las piezas dentales. En todo caso, el uso de los retenedores dentales no afectará a los hábitos de comer, beber o hablar, ya que son elementos más cómodos que los usados durante la ortodoncia.
Los retenedores fijos consisten en una barra metálica muy fina que apenas el paciente nota, no incomoda la lengua y no afecta el hablar. Los retenedores removibles se utilizan exclusivamente durante la noche, aunque tienden a dejar de usarse a medida que pasan los meses. Una vez más es necesario ser muy consciente de las consecuencias.
¿Cómo cuidar los retenedores dentales?
Como los retenedores dentales removibles y fijos tienen un uso prolongado y frecuente, deben cuidarse de la forma correcta para una mayor vida útil de los mismos con el efecto deseado. Los retenedores dentales fijos se limpian de forma sencilla, pasando el cepillo por la barra para eliminar, así, la acumulación de restos de comida en la zona. Se recomienda usar un cepillo de dientes eléctrico para facilitar la limpieza.
Limpia los retenedores removibles diariamente y remójalos en un limpiador específico semanalmente. Los retenedores Hawley necesitan el mismo cuidado diario. Usa un cepillo de cerdas suaves con jabón suave para los retenedores removibles. Los retenedores removibles se retiran de la boca para ser limpiados con un cepillo, jabón neutro y agua tibia.
Los retenedores son esenciales para mantener los resultados de tu tratamiento ortodóntico. Seguir las recomendaciones de tu ortodoncista es clave para evitar que tus dientes vuelvan a su posición original. Es crucial cuidar de ellos adecuadamente y actuar con rapidez si se pierden o dañan. No subestimes la importancia de estos dispositivos.
En conclusión, en CLÍNICA CRISTINA VIYUELA recomendamos a todos el uso nocturno de unos retenedores ortodoncia, para mantener el resultado conseguido con la ortodoncia, o simplemente para evitar que tus dientes se vayan apiñando con la edad y que la forma de tus arcadas se vaya estrechando. A pesar de lo que algunos pacientes siguen pensando, la Ortodoncia no finaliza cuando se retiran los brackets o los alineadores transparentes. Después de conseguir la posición idónea de los dientes, es necesario llevar a cabo una fase de retención. Mediante el uso de retenedores se consigue estabilizar los resultados. Los dientes tienden a volver, progresivamente, a la posición que ocupaban en un principio, por lo que es importante establecer un periodo de retención.