¿Alguna vez te has preguntado cómo sería lucir una sonrisa perfectamente alineada? La ortodoncia es el tratamiento ideal para conseguirlo. Sin embargo, muchos temen que durante el proceso, sus dientes puedan volverse amarillos. Es crucial entender cómo la ortodoncia afecta realmente al color dental y desmitificar esta creencia. Al hacerlo, podemos tomar decisiones informadas sobre nuestra salud bucal.

Imagina que estás en una reunión familiar y alguien te dice: «He oído que la ortodoncia con brackets amarillea los dientes». Seguro que esta afirmación te deja con dudas.
Mitos sobre los brackets y el color de los dientes
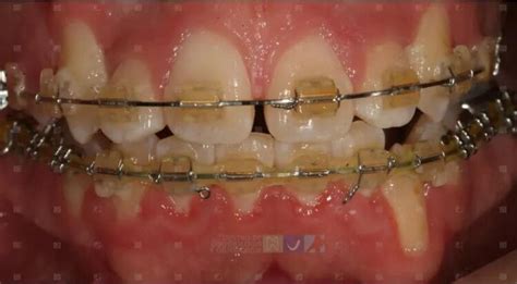
Una de las percepciones más comunes es que los brackets metálicos o de cerámica, al estar en contacto constante con los dientes, pueden provocar su decoloración. Sin embargo, estos son mitos. Los brackets en sí mismos no cambian el color de los dientes. Están hechos de materiales que no afectan el esmalte dental.
Un mito común es que los brackets tiñen los dientes de amarillo. Sin embargo, esto no es cierto.
Factores que contribuyen al cambio de color en los dientes durante la ortodoncia
Una higiene bucal inadecuada es uno de los principales factores que contribuyen al cambio de color en los dientes durante la ortodoncia. La acumulación de placa bacteriana y sarro puede provocar manchas e incluso caries dental.
Consumir alimentos y bebidas con altos niveles de pigmentos, como café, té, vino tinto y salsas oscuras, puede manchar los dientes. Limitar su consumo y enjuagar la boca con agua después de ingerirlos puede ayudar a mantener el color natural de los dientes.
Utilizar productos de limpieza dental inapropiados o de baja calidad puede afectar negativamente la salud dental. Es recomendable usar cepillos de dientes medios y pasta dental con flúor. Estos factores, si se manejan adecuadamente, pueden minimizar el riesgo de que los dientes cambien de color mientras se lleva ortodoncia.
Durante el tratamiento, es crucial mantener una limpieza dental rigurosa. Los brackets pueden dificultar el acceso a ciertas áreas de los dientes, lo que aumenta el riesgo de acumulación de placa. Para evitar esto, es importante cepillarse cuidadosamente después de cada comida y usar hilo dental con herramientas especiales. Además, los dentistas suelen recomendar el uso de enjuagues bucales antibacterianos.
Los dientes pueden mancharse durante el tratamiento de ortodoncia por varias razones. Los aparatos tradicionales tienen un complejo diseño de brackets y alambres que pueden atrapar los alimentos, lo que conduce a una acumulación de bacterias que provoca la formación de placa y el riesgo de desarrollar manchas blancas precursoras de caries.
Tener aparatos de ortodoncia dificulta la eliminación de esta placa, y acaba por generar ácidos que eliminan los minerales del esmalte. La placa aumenta el riesgo de padecer caries y enfermedades de las encías con el aparato puesto. Prevenga estos problemas con una rutina de cuidado bucal minuciosa durante la ortodoncia.
El material adhesivo utilizado para fijar los brackets de ortodoncia a los dientes puede decolorarse con el tiempo por la exposición a alimentos y bebidas que tiñen los dientes, pero este material se eliminará cuando se retiren los brackets.
Es esencial practicar una buena higiene dental en todo momento, pero cuando se lleva ortodoncia, la eliminación completa de la placa/biopelícula es difícil de hacer.
Limitar ciertos alimentos y bebidas de la dieta, como los artículos azucarados o con almidón, las bebidas de frutas con alta acidez y los refrescos. Si está fuera de casa y no puede cepillarse los dientes inmediatamente después de comer o beber estos alimentos y bebidas, enjuáguese la boca con agua para ayudar a neutralizar los ácidos de la placa.
Cepillarse y usar hilo dental después de cada comida. El hilo dental también es una herramienta útil para limpiar alrededor del aparato.
Con brackets el cepillado dental debe realizarse de manera meticulosa, sobre todo en portadores adolescentes, por lo que hay que seguir una rutina especial que solo necesitará un poco de práctica.
Cepillarse los dientes usando aparatos de ortodoncia, sean estéticos o metálicos, es más difícil por los muchos rincones en los que restos de comida pueden quedar atrapados, especialmente alrededor de los brackets. Si estos no se eliminan con una buena rutina diaria, las bacterias acaban formando una capa de “biofilm dental”, que daña el esmalte del diente y provoca la aparición de manchas blancas en los dientes.
1. Hay cepillos de dientes diseñados para usarse durante la ortodoncia que presentan un corte en forma de V en las cerdas. Así es más fácil limpiar alrededor de las piezas adheridas en los dientes.
2. Usar hilo dental con brackets requiere un poco de práctica, aunque te ayudará mucho a quitar la mayoría de los restos que el cepillo no ha podido retirar.
3. También puedes añadir a tu rutina de higiene el uso de cepillos interdentales, que al ser más pequeños permiten limpiar entre los espacios interproximales y alrededor de los arcos metálicos.
4. Después del cepillado con la pasta dentífrica recomendada por el especialista, es ideal enjuagarte la boca con un enjuague bucal especial para portadores de brackets.
Con los productos adecuados y pequeños cambios en tu rutina, mantendrás tus dientes igual de blancos y saludables. Con brackets debes prestar especial atención a lo que comes y bebes.
Los adolescentes son uno de los grupos de edad que más usan brackets, y uno de los grupos en los que es más difícil mantener buenos hábitos de higiene oral. Es fácil que se olviden de cepillarse los dientes. Explicarles por qué es tan necesario para su salud oral y general, les ayudará a tener una visión más global de los beneficios que les aporta cuidar de su boca. Han de comprometerse con la rutina recomendada por su odontólogo, por eso mismo, en los primeros meses, es buena idea hacer un seguimiento de sus progresos hasta que se acostumbren.
Más allá de una buena limpieza dental en casa, hay que cumplir con las indicaciones y citas programadas con el ortodoncista para que el tratamiento no se alargue y obtener los mejores resultados. Para hacerte más fácil cumplir con la rutina, te recomendamos llevar contigo un kit dental con cepillo, dentífrico, hilo dental y cepillo interdental. Si puedes añadir una pequeña botella de enjuague bucal, muchísimo mejor.
Bebe mucha agua y no te olvides de limpiar tu lengua cada día con un limpiador lingual o tu propio cepillo. Hazlo con suavidad, eliminarás muchas de las bacterias que causan mal aliento.
El amarillamiento dental es una cuestión que, aunque principalmente estética, puede afectar significativamente la confianza de una persona al sonreír. Por ello, es importante entender las causas reales detrás de este fenómeno y cómo los tratamientos de ortodoncia, como Invisalign, interactúan con la coloración de los dientes.
La relación entre la ortodoncia invisible, como Invisalign, y la coloración de los dientes es un tema de gran interés para muchos pacientes. A diferencia de lo que algunos pueden creer, el tratamiento con Invisalign no es responsable de que los dientes adquieran un tono amarillo.
Invisalign ofrece numerosas ventajas en comparación con los brackets tradicionales. Sus alineadores son removibles, lo que facilita la limpieza de los dientes y promueve una mejor higiene bucal durante el tratamiento.
Para prevenir la decoloración de los dientes durante el tratamiento con Invisalign, es fundamental mantener una óptima higiene bucal. Esto incluye cepillarse los dientes después de cada comida y antes de colocar los alineadores, así como utilizar hilo dental de forma regular.
El amarilleamiento de los dientes es un fenómeno que puede ser atribuido a una variedad de factores, más allá de los tratamientos de ortodoncia como Invisalign. Uno de los principales motivos es el consumo de ciertos alimentos y bebidas. Otro factor significativo es el hábito de fumar. El tabaco contiene sustancias que no solo manchan los dientes, sino que también pueden afectar la salud general de la boca. Además, una higiene bucodental inadecuada puede contribuir al amarilleamiento. La genética y la edad también juegan un papel importante en la coloración dental.
Algunas personas están genéticamente predispuestas a tener dientes más amarillos, mientras que el envejecimiento natural puede llevar a que la dentina, que es más oscura, se haga más visible a medida que el esmalte se desgasta con el tiempo.
El tratamiento con Invisalign ha revolucionado la ortodoncia moderna, ofreciendo una alternativa casi invisible a los tradicionales brackets metálicos. Sin embargo, un problema común que enfrentan muchos usuarios es la aparición de manchas y el amarilleo de los dientes. ¿Es esto un efecto secundario inevitable del uso de alineadores Invisalign? ¿Qué medidas podemos tomar para prevenirlo?
La coloración de los dientes puede verse afectada por varios factores durante el tratamiento de ortodoncia. La falta de higiene adecuada, la dieta y ciertos hábitos son los principales culpables. Al no limpiar correctamente los alineadores y los dientes, se acumulan placa y bacterias que pueden llevar a la decoloración.
Una preocupación común es que los alineadores Invisalign pueden teñirse y, en consecuencia, afectar la coloración de los dientes. Los alineadores están hechos de un plástico transparente que, aunque resistente, es susceptible a manchas.
Bebidas como el café y el vino tinto, y el hábito de fumar, pueden teñir los alineadores. Prevenir las manchas en los alineadores es fundamental para mantener su transparencia y la estética de los dientes.
Aparte del cepillado y el uso de hilo dental, considera usar un enjuague bucal antibacteriano para mantener las bacterias a raya. Los alimentos y bebidas que consumimos tienen un impacto directo en la coloración de los alineadores y, por ende, de los dientes. Es importante ser consciente de lo que comemos y bebemos.
En mi experiencia, los alineadores de Invisalign pueden teñirse debido al consumo de café, vino tinto y al fumar. Para evitarlo, es fundamental mantener una rutina estricta de higiene oral. Cepillarse los dientes y limpiar los alineadores después de cada comida es clave.
Mantener una sonrisa brillante y saludable durante el tratamiento con Invisalign es completamente posible con la higiene adecuada y algunos ajustes en los hábitos diarios. Evitando alimentos y bebidas que manchan, limpiando los alineadores regularmente y practicando una excelente higiene oral, puedes asegurarte de que tus dientes se mantendrán blancos y tus alineadores transparentes. La clave está en la consistencia y el cuidado diario.
Tener una sonrisa blanca y luminosa es el deseo de muchas personas, ya que transmite salud, juventud y confianza. Sin embargo, con el paso del tiempo es habitual notar que los dientes pierden su brillo y adoptan un tono amarillento. Conocer las dientes amarillos causas es fundamental para prevenir esta alteración estética y buscar el tratamiento adecuado.
El cambio de color en el esmalte puede estar motivado por múltiples factores. Una de las dientes amarillos causas más frecuentes es el consumo habitual de alimentos y bebidas con alto poder colorante.
El tabaco es otro gran enemigo del blanco dental. Una higiene inadecuada facilita la acumulación de placa bacteriana, que con el tiempo se calcifica en forma de sarro.
Con el paso de los años, el esmalte dental se va desgastando, dejando ver la dentina, una capa interna de color amarillento. Algunos antibióticos como las tetraciclinas, si se administran durante la infancia o durante el embarazo, pueden afectar al desarrollo del esmalte y producir manchas permanentes. La genética también influye en el color natural del esmalte.
Hábitos de higiene oral deficientes: la limpieza bucodental es una de las partes más importantes a la hora de evitar los problemas de amarillamiento dental. Determinados alimentos: el consumo excesivo de ciertos alimentos con alta coloración puede favorecer los problemas de oscurecimiento dental. Algunos de ellos son el café, el vino tinto, el té negro, los frutos rojos o salsas como la de soja o curry.
Fumar es un hábito nocivo para la salud. Como ya sabes, la nicotina genera infinidad de efectos perjudiciales tanto para la salud general como para la bucodental en particular. Paso del tiempo: el transcurso del tiempo es otra de las causas por las que aparecen problemas de oscurecimiento o amarillamiento dental.
La ortodoncia como tal no amarillea los dientes. Sin embargo, con la ortodoncia invisible esta posibilidad se elimina por completo, ya que, al ser un sistema de ortodoncia extraíble, permite cepillar los dientes con total normalidad. Por tanto, respondiendo a la pregunta que da título a este post, con la ortodoncia invisible los dientes no tienen por qué amarillearse, sino todo lo contrario.
De todos modos, en caso de que existan problemas de oscurecimiento o amarillamiento dental existen tratamientos de odontología estética con los que lograremos eliminar estas manchas dentales.
Consejos para mantener una sonrisa radiante durante la ortodoncia
Durante el tratamiento de ortodoncia, mantener una sonrisa radiante requiere un esfuerzo adicional:
- Establece una rutina de higiene bucal rigurosa: Cepíllate los dientes después de cada comida con un cepillo de cerdas medias y utiliza pasta dental con flúor.
- Utiliza productos recomendados: Considera el uso de enjuagues bucales antibacterianos que ayuden a reducir la placa y mantener el aliento fresco.
Recuerda, el cuidado de tus dientes durante la ortodoncia no solo te ayudará a mantenerlos blancos, sino que también contribuirá a una salud bucal óptima.
Para prevenir las manchas en los alineadores es fundamental mantener su transparencia y la estética de los dientes. Cepilla tus dientes después de cada comida y antes de volver a colocar los alineadores. Limita el consumo de café, té, vino tinto y otras bebidas que puedan manchar. Mantener una buena higiene oral es crucial para evitar que los dientes se pongan amarillos con Invisalign.
Es importante recordar que los brackets en sí no afectan directamente el color dental.
¿Qué hacer si los dientes cambian de color durante la ortodoncia?
Si observas un cambio de color en tus dientes durante el tratamiento de ortodoncia, lo más importante es mejorar tu higiene bucal. Asegúrate de cepillar adecuadamente y utiliza enjuague bucal.
Generalmente, se recomienda esperar entre tres y seis meses después de retirar los brackets para considerar un tratamiento de blanqueamiento.
No dejes que los dientes amarillos afecten tu confianza.
Causas comunes de los dientes amarillos
Todos deseamos una sonrisa brillante y blanca, pero con el tiempo y debido a varios factores, los dientes pueden volverse amarillos. ¿Por qué tengo los dientes amarillos?
- Pigmentos en los alimentos: algunos alimentos y bebidas contienen pigmentos que se adhieren al esmalte dental y lo manchan. El café, el té, el vino tinto y las bebidas gaseosas oscuras son grandes culpables.
- Unida a la causa anterior, la falta de higiene bucal es uno de los mayores causantes de dientes amarillos.
- Acumulación de placa y sarro: una higiene bucal inadecuada permite la acumulación de placa, que a la larga se endurece formando sarro.
- Tabaco: como es conocido, el tabaco es uno de los hábitos que más daño hacen a la salud bucodental. Fumar cigarrillos o masticar tabaco expone los dientes a nicotina y alquitrán, que se adhieren al esmalte y lo tiñen.
- Medicamentos: algunos medicamentos tienen como efectos adversos la aceleración del desgaste y la alteración del color. Las tetraciclinas, un tipo de antibiótico muy popular en la época de los 60 y 70 provocan oscurecimientos severos del esmalte, formado líneas horizontales en los dientes si se toman durante la infancia, cuando los dientes aún se están formando.
- Con el tiempo y de forma natural, los dientes se van oscureciendo conforme pasa el tiempo.
- Los golpes en los dientes también pueden dañar el esmalte y hacer que los dientes se vuelvan amarillos o grises.
Los dientes se vuelven amarillos gradualmente, por lo que es sencillo no notarlo. Por suerte, esto no es signo de una condición de salud oral grave. Aunque dejar tu sonrisa blanca y saludable sea desalentador y te haga sentir que perdiste tu mejor accesorio.
Algunos pacientes se preguntan por qué sus dientes se vuelven amarillos. Para ello, ponemos mucha atención a este tratamiento y lo dividimos en dos sesiones.
En resumen, el color de los dientes tiene poco o nada que ver con el tratamiento de ortodoncia.
Prevención y soluciones para dientes amarillos
La prevención es clave para mantener los dientes blancos y sanos. Mantén una higiene bucal adecuada, cepillándote los dientes al menos dos veces al día con un dentífrico profesional y utilizando hilo dental diariamente para eliminar la placa entre los dientes y en la línea de las encías.
Visita a tu dentista regularmente: las limpiezas profesionales y revisiones ayudan a prevenir y detectar problemas antes de que se agraven. Esta limpieza va mucho más allá de la que se puede hacer en casa.
Estas limpiezas dentales profesionales emplean equipos de última generación que liberan a tus dientes de todo el sarro acumulado y cristalizado. Este tratamiento es rápido, indoloro y muy efectivo, ya que consigue muy buenos resultados en muy poco tiempo.
Cuando se trata de abordar el problema de los dientes amarillos, existen diversas soluciones efectivas. Para los dientes que ya han perdido su color original, la mejor solución es acudir a un profesional para realizar un blanqueamiento dental seguro y eficaz. Es un procedimiento rápido y seguro que se realiza bajo la supervisión de un odontólogo. Se basa en el uso de férulas personalizadas y un gel blanqueador que el paciente aplica en casa durante varios días.
Este tratamiento es duradero, indoloro y mínimamente invasivo, ya que permiten al paciente tener una sonrisa perfecta, uniforme y blanca. Además, la tecnología actual nos permite hacer simulaciones por ordenador para visualizar como quedaría el tratamiento antes de realizarlo.
Este tratamiento es muy efectivo y deseado. Es rápido e indoloro y obtiene muy buenos resultados en cuestión de minutos.
Las carillas dentales también representan una excelente solución al problema de oscurecimiento dental.
Si estás buscando una clínica dental podemos ayudarte a recuperar la estética de tu sonrisa.
Si quieres mejorar el color de tus dientes y volver a sonreír con confianza, pide una cita y descubre todo lo que nuestro tratamiento de blanqueamiento dental puede hacer por ti.
Para resolver cualquier duda o inquietud, no dudes en consultar a un profesional de la salud dental.
Te invitamos a explorar más en nuestra página web. Aquí encontrarás una variedad de artículos sobre el cuidado de tus dientes, consejos útiles y respuestas a todas tus preguntas sobre salud bucal. No olvides revisar nuestra sección de blog para acceder a información actualizada y relevante sobre temas dentales. Mantente al día y protege tu sonrisa con el contenido que compartimos.
Pide cita en nuestra clínica si tienes alguna duda o si quieres programar una cita con nuestra especialista en ortodoncia. Nuestro equipo de expertos está disponible para ayudarte a mantener una sonrisa saludable y brillante.
Si nos necesitas o tienes cualquier tipo de duda, contacta con nosotros.

Tabla de alimentos y bebidas que pueden manchar los dientes:
| Alimentos y Bebidas | Recomendaciones |
|---|---|
| Café | Limitar el consumo y enjuagar la boca con agua después de tomarlo. |
| Té (especialmente el negro) | Limitar el consumo y enjuagar la boca con agua después de tomarlo. |
| Vino tinto | Consumir con moderación y enjuagar la boca con agua después de tomarlo. |
| Refrescos y bebidas azucaradas | Evitar su consumo frecuente. |
| Frutas y verduras de color intenso (arándanos, remolacha, etc.) | Consumir con moderación y mantener una buena higiene bucal. |
| Salsas (soja, curry, etc.) | Consumir con moderación y cepillarse los dientes después. |