La retracción de las encías, también conocida como migración del margen de las encías o recesión gingival, es un problema dental común que se desarrolla gradualmente y a veces es difícil de detectar. Este fenómeno puede afectar a cualquier persona, sin importar su edad.

Ejemplo visual de la retracción de encías.
¿Qué es la retracción de las encías?
Las encías retraídas aparecen como consecuencia de un proceso progresivo en el que las encías se retraen y cada vez aparecen más desconectadas de los dientes. Una encía retraída es cuando, por diferentes causas, se pierde encía y el margen se desplaza dejando expuesta parte de la raíz del diente. Una encía retraída o la pérdida de encía va más allá de un simple problema estético. La retracción de encías puede afectar a la salud de tus dientes e incluso puede promover la pérdida de una pieza dental.
Las encías cumplen varias funciones, entre ellas la de protección y, junto al ligamento periodontal, el hueso alveolar y el cemento radicular, forman el periodonto, cuya función es sostener y mantener el diente unido al hueso.
Síntomas de las encías retraídas
Las encías retraídas pueden detectarse a simple vista, pero en las fases iniciales, debido a su carácter progresivo, es posible que el paciente no perciba este proceso. El primer signo de esta condición es observar que las encías se retraen dejando al descubierto la raíz del diente y creando un efecto estético de dientes demasiado largos.
Otros síntomas incluyen:
- Molestia al cepillado.
- Hipersensibilidad dental. Cuando las raíces de los dientes quedan expuestas, se vuelven sensibles al calor y al frío.
- Sangrado de la encía durante el cepillado.
¿Por qué se retraen las encías? Causas comunes
Existen muchos factores que pueden estar causando que tus encías se retraigan, puede ser solo uno o una combinación de varios. Es fundamental acudir al dentista para obtener un buen diagnóstico y una solución adecuada.
Las principales causas son:
- Cepillado agresivo: El cepillado agresivo es una de las primeras respuestas a la pregunta de por qué se retraen las encías. Cepillarse los dientes con brusquedad puede provocar que con el tiempo se retraigan las encías, aumentando este riesgo si además el cepillo cuenta con unos filamentos demasiado duros. El cepillado de nuestros dientes debe de ser suave sin hacer fuerza ni apretar.
- Enfermedades periodontales: Las enfermedades periodontales (gingivitis y periodontitis), que suelen deberse en gran medida a una pobre higiene bucodental, son la principal causa de retracción de las encías. Las enfermedades periodontales, como la gingivitis y la periodontitis, son causadas por la acumulación de placa bacteriana. La periodontitis hace que pierdas hueso y, por consiguiente, pierdes encías. En el caso de la periodontitis, la recesión de encías suele manifestarse de manera generalizada.
- Malos hábitos dentales: Quien se esté preguntando por qué se retraen las encías y cómo evitarlo debe saber que los malos hábitos dentales tienen un peso significativo. Una mala higiene dental es la principal causa de la enfermedad periodontal.
- Malposición dental: Cuando los dientes no están posicionados de forma correcta, pueden ejercer presión desigual sobre las encías, dificultar la higiene, provocar una mala oclusión y dar lugar al desgaste de ciertas áreas.
- Bruxismo: El apretar o rechinar los dientes puede generar una presión anormalmente alta sobre los dientes y las estructuras de soporte, incluidas las encías. Si un paciente es bruxista de manera continuada, esta parte de la dentadura puede padecer que las encías se retraigan.
- Piercings orales: La presencia de piercing en labio superior o inferior pueden provocar la retracción de la encía porque suponen un trauma constante en la encía.
- Factores genéticos: Algunas personas están genéticamente predispuestas a tener encías sensibles y a sufrir retracción gingival.
- Enfermedades sistémicas: Enfermedades como la diabetes, el SIDA o cualquier otra que afecte al sistema inmunitario, crean un mayor riesgo de desarrollar infecciones.
- Estrés: Es uno de esos factores invisibles que afectan a la salud de nuestras encías.

El cepillado agresivo puede dañar las encías y causar retracción.
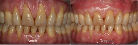
Así se solucionan las encías retraídas (recesión gingival)
¿Se pueden recuperar las encías retraídas?
La posibilidad de recuperar las encías retraídas dependerá de cada caso. Antes de nada, es imprescindible entender que las encías retraídas no se regeneran por sí mismas. La retracción de encías tiene que ser evaluada por un profesional.
Sin embargo, la pérdida de encías por periodontitis es un caso diferente. Pues se trata de una enfermedad que hace que se pierda hueso. Y si no hay hueso, no hay encía.
Soluciones y tratamientos para la retracción de encías
Las soluciones y tratamientos para la retracción de las encías se aplicarán en base al motivo que esté provocando este problema. Es fundamental que acudas a un especialista en encías para identificar la causa y buscar el tratamiento más adecuado a tu caso, teniendo en cuenta tus factores de riesgo y limitaciones para que tu periodoncista te pueda asesorar.
Algunas opciones de tratamiento incluyen:
- Higiene adecuada y raspado o alisado radicular: Es posible tratar las encías retraídas leves con una higiene adecuada, y raspado o alisado radicular, en caso de que estén asociadas a inflamación. Consulta más sobre el tratamiento de Raspado y alisado radicular, también conocido como Curetaje Dental, donde se consigue eliminar el sarro y las bacterias acumuladas bajo las encías, alrededor de las raíces de los dientes.
- Injertos de encía: Cuando el paciente ha perdido tejido gingival, se recomiendan los injertos de encía. Un injerto de encía (o cirugía mucogingival) es un trasplante de tejido conectivo de una zona donde hay mucho (paladar) a una zona donde no hay o hay muy poco tejido (encías retraídas). Ante un estado crítico de tus encías retraídas, la cirugía estética periodontal se presenta como la única solución.
- Estiramiento de encía: En el cual el paciente se somete a una microcirugía en sus encías.
- Microinjerto de encía: Cuando el caso es extremo se utiliza esta opción en la cual una mínima fracción del tejido del paladar es removido y luego injertado para cubrir tu encía.
- Tratamiento de ortodoncia: En algunos casos, un tratamiento de ortodoncia puede contribuir y mejorar la retracción de encías, ya que reubica un diente malposicionado y muy volcado hacia fuera.
- Férula de descarga: En el caso de los pacientes bruxistas, será necesario que empiecen a llevar, cuanto antes, una férula de descarga. Incluso bajo un cepillado normal tus encías pueden retraerse, caso en el cual se utiliza una placa de descarga que ayuda a detener este inconsciente acto de rechinar los dientes.
En la Clínica Dental Zabalegui, se utiliza una técnica de microcirugía sencilla e indolora para cubrir la encía denominada injerto de tejido conectivo del paladar. Consiste en tomar tejido del paladar para injertarlo en la zona de la recesión y cubrir la raíz que queda expuesta. En Dobleese, en algunos casos (cuando es necesario) se realiza un tratamiento para la retracción de encías antes incluso de colocar la ortodoncia al paciente. En las clínicas Dobleese, se utiliza la técnica de microcirugía mínimamente invasiva, garantizando el mejor resultado sin dolor.

Representación gráfica de un injerto de encía.
Prevención de la retracción de encías
Ahora que sabemos por qué las encías se retraen, veamos qué buenas prácticas se deben adoptar en materia de prevención. Y es que evitar que este tipo de situaciones se den es posible adoptando ciertos hábitos saludables en nuestra rutina diaria de cuidado bucal.
La mejor forma de prevenir cualquier enfermedad en las encías es cuidar tu higiene dental y visitar periódicamente a un profesional. En Ferrus & Bratos nos guiamos por unas pautas editoriales que aseguran la veracidad de toda la información que publicamos. En Ferrus&Bratos cumplimos con el RGPD de la UE por lo que tus datos están seguros.
Aquí hay algunos consejos para prevenir la retracción de encías:
- Usar un cepillo de dientes de cerdas suaves.
- Mantener una buena higiene bucal.
- Visitar regularmente al dentista.
- Evitar el tabaco.
- Usar protectores bucales si es necesario.
- Retirar los piercings.
- Optar por un tratamiento de ortodoncia.
- Eliminar el cepillado traumático: revisar y cambiar tu técnica de cepillado y tipo de cepillo puede ayudar a evitar que tus encías sigan retrayendo.
- Mantener una buena salud dental en general, recuerda el número 2.

Cepillo de dientes de cerdas suaves.
La buena noticia es que se puede prevenir y, en algunos casos, tratar mediante cambios en la higiene bucal y estilos de vida.