El hecho de que las encías retraídas sean relativamente comunes entre la población no debe hacernos pensar que son un problema menor. Las encías retraídas son uno de los problemas bucodentales más frecuentes hoy en día.
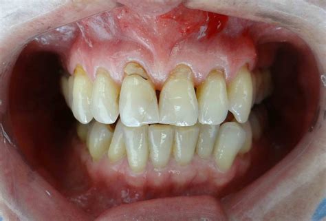
La retracción de las encías o migración del margen de las encías (recesión de encía), es uno de los problemas dentales más comunes, una patología que aparece de forma gradual y en ocasiones es difícil de detectar. Es posible que algunas personas detecten que sus encías han retrocedido dejando visible una mayor parte del diente. El primer signo de esta condición es observar que las encías se retraen dejando al descubierto la raíz del diente y creando un efecto estético de dientes demasiado largos.
En este artículo vamos a conocer qué son las encías retraídas, sus causas principales, las soluciones que existen y qué podemos hacer para evitar la recesión gingival.
¡NO te hagas INJERTO DE ENCÍA este 2025! sin ver este video.
¿Qué Son las Encías Retraídas?
Las encías retraídas, también conocidas como recesión gingival, ocurren cuando el tejido que rodea los dientes se retira, revelando una mayor parte de la raíz del diente. Cuando hablamos de encías retraídas nos referimos a un desplazamiento del tejido gingival que provoca una sobreexposición del diente. Las encías se desplazan hacia arriba en los dientes superiores y hacia abajo en los dientes inferiores dejando al descubierto parte de la raíz dental. Esto no solo afecta a la estética, sino que también compromete la protección natural de los dientes, aumentando la sensibilidad y el riesgo de enfermedades.

Síntomas y Señales de Alerta
El principal síntoma es el sangrado de la encía durante el cepillado. Si al mirarte al espejo notas que tus dientes se ven más de lo habitual o si experimentas sensibilidad al frío y al calor, puede que estés ante un problema muy común: las encías retraídas. La recesión gingival o encías retraídas son una de las patologías más comunes de salud dental, que debe ser tratado adecuadamente. Además, la propia retracción provoca que la raíz del diente se exponga, las encías retraídas también ocasionan un aumento de la sensibilidad dental. Otra de las consecuencias de las encías retraídas es el empeoramiento en el aspecto de la sonrisa.
Causas Principales de la Retracción de las Encías
Sin embargo, hay diversas razones que pueden explicar la razón por la que tenemos encías retraídas. Entre las principales causas de encías retraídas destacan las enfermedades periodontales, como la periodontitis crónica y hábitos perjudiciales como un cepillado agresivo.

Enfermedades Periodontales
Las enfermedades de las encías como la gingivitis y la periodontitis son causas primarias de la retracción gingival. Es producida por bacterias presentes en la placa dental que no hemos sido capaces de eliminar con el cepillado dental. También conocida como piorrea, la periodontitis empieza como una gingivitis no tratada. Con el paso del tiempo, esta bolsa destruye el hueso y todo el tejido conjuntivo que rodea al diente. En el caso de la periodontitis, la recesión de encías suele manifestarse de manera generalizada. Es decir, en todos o casi todos los dientes de la boca. La movilidad y caída de los dientes puede producirse cuando la causa de las encías retraídas es la periodontitis. Esto se debe a que las bacterias destruyen el tejido que se encuentra alrededor de los dientes (encías y hueso).
- Periodontitis o gingivitis. Como consecuencia de una mala higiene bucal, pueden aparecer enfermedades periodontales que afectan a las encías, los dientes y el hueso de soporte.
Técnicas Inadecuadas de Cepillado
Un cepillado agresivo o el uso de un cepillo con cerdas duras puede dañar el esmalte de los dientes y causar el retroceso de las encías. Y es que, hay personas que tienden a cepillarse los dientes con excesiva fuerza, creyendo que, de esa manera, van a limpiar mejor su boca. Generalmente, las encías retraídas por un cepillado abrasivo se manifiestan en unos dientes concretos -en función de las zonas donde se ejerza más fuerza-.
Factores Genéticos y de Salud
Algunas personas pueden ser genéticamente más susceptibles a la enfermedad de las encías. Algunas personas están genéticamente predispuestas a tener encías sensibles y a sufrir retracción gingival. Esto significa que, aunque mantengan una buena higiene bucal y cuiden su salud dental, podrían desarrollar problemas en las encías debido a factores genéticos. Además, enfermedades sistémicas como la diabetes, el SIDA o cualquier otra que afecte al sistema inmunitario, crean un mayor riesgo de desarrollar infecciones.
- Por antecedentes familiares.
Hábitos Nocivos
El tabaquismo y el uso de piercings en la boca pueden contribuir al deterioro de las encías. Los piercings en la boca, como los que se llevan en la lengua o en el labio, también pueden provocar retracción de encías. Esto se debe a que los piercings tienden a apoyarse o a contactar con las encías. El tabaco contribuye a la retracción de encías en pacientes con periodontitis. Como consecuencia, el tabaco enmascara los clásicos síntomas de las enfermedades periodontales: enrojecimiento, inflamación y sangrado de encías.
El bruxismo es un hábito que consiste en apretar o rechinar los dientes de manera involuntaria, normalmente, debido al estrés. Si una persona es bruxista y no se lleva a cabo un control adecuado de la afección (mediante revisiones y una férula de descarga), sus músculos y articulaciones faciales sufrirán una tensión constante.
Las encías retraídas también pueden estar causadas por un golpe muy fuerte.
Otras Causas
- Insuficiente higiene bucodental: una incompleta rutina de higiene oral favorece la acumulación de placa bacteriana, provocando la retracción de las encías.
- Mala posición dental: Cuando los dientes no están posicionados de forma correcta, pueden ejercer presión desigual sobre las encías, dificultar la higiene, provocar una mala oclusión y dar lugar al desgaste de ciertas áreas. Todo ello puede derivar en recesión.
- Estrés: es uno de esos factores invisibles que afectan a la salud de nuestras encías.
Tratamiento y Prevención
El tratamiento de las encías retraídas varía según la causa y la severidad de la condición. Antes de nada, es imprescindible entender que las encías retraídas no se regeneran por sí mismas. Uno de los mayores errores al tratar las encías retraídas es pretender hacerlo mediante remedios caseros. En esos casos, la solución nunca estará en la propia casa del paciente o en los remedios caseros que aparecen en Internet.

Higiene Bucal Mejorada
Una higiene bucal adecuada es esencial para prevenir y tratar la retracción gingival. Para minimizar el riesgo de que esto ocurra, será imprescindible que el paciente siga unas buenas rutinas de higiene en casa.
- Usar un cepillo de dientes de cerdas suaves. Elige un cepillo de dientes con cerdas suaves y practica un cepillado suave y circular para limpiar los dientes sin dañar las encías.
- Mantener una buena higiene bucal. Saber por qué se retraen las encías es solo el primer paso para evitarlo. Si realmente quieres prevenir esta situación, cepíllate los dientes al menos dos veces al día y usa hilo dental diariamente para eliminar la placa bacteriana y los restos de comida que pueden provocar enfermedades periodontales.
- Visitar regularmente al dentista. Acude a revisiones y limpiezas dentales profesionales cada 6 meses para prevenir problemas y recibir tratamiento temprano en caso necesario.
Tratamientos Profesionales
Es posible tratar las encías retraídas leves con una higiene adecuada, y raspado o alisado radicular, en caso de que estén asociadas a inflamación. En esos casos, suele estar indicada la colocación de un injerto de encía para volver a cubrir la raíz o raíces afectadas.
Cuando la retracción gingival se debe a un cepillado abrasivo, el tratamiento para solucionar la recesión pasará por un injerto de encía en los dientes afectados. Un injerto de encía (o cirugía mucogingival) es un trasplante de tejido conectivo de una zona donde hay mucho (paladar) a una zona donde no hay o hay muy poco tejido (encías retraídas). En la Clínica Dental Zabalegui utilizamos una técnica de microcirugía sencilla e indolora para cubrir la encía denominada injerto de tejido conectivo del paladar. Consiste en tomar tejido del paladar para injertarlo en la zona de la recesión y cubrir la raíz que queda expuesta. En Dobleese, en algunos casos (cuando es necesario) realizamos un tratamiento para la retracción de encías antes incluso de colocar la ortodoncia al paciente.
En el caso de los pacientes bruxistas, será necesario que empiecen a llevar, cuanto antes, una férula de descarga. Incluso bajo un cepillado normal tus encías pueden retraerse, caso en el cual se utiliza una placa de descarga que ayuda a detener este inconsciente acto de rechinar los dientes.
Hay ocasiones en las que, tras este tratamiento, es necesario emplear medicación antibiótica para mantener el control de las bacterias.
- Estiramiento de encía: en el cual el paciente se somete a una microcirugía en sus encías.
- Microinjerto de encía: cuando el caso es extremo se utiliza esta opción en la cual una mínima fracción del tejido del paladar es removido y luego injertado para cubrir tu encía.
Adaptación de Hábitos
Además, se recomienda:
- Evitar el tabaco. Dejar de fumar puede mejorar significativamente la salud de tus encías y reducir el riesgo de retracción gingival.
- Usar protectores bucales si es necesario. Si rechinas los dientes por la noche, considera el uso de un protector bucal (férula de descarga) para proteger tus dientes y encías de la presión excesiva.
- Retirar los piercings. En caso de que, claro está, estos estén siendo la causa de que se retraigan las encías.
- Optar por un tratamiento de ortodoncia. Para, con ello, poder colocar los dientes en su posición correcta y evitar las encías retraídas.
Preguntas Frecuentes (FAQs)
¿Las encías retraídas pueden regenerarse naturalmente?
No, las encías retraídas no pueden regenerarse por sí solas.
Por tanto, te recomendamos que, si notas tus encías retraídas, acudas cuanto antes a uno de nuestros odontólogos. En solo una visita, que además es gratuita, podrán determinar cuál es la causa de la recesión. Posteriormente, pautarán el tratamiento adecuado para que esta cese.