Las carillas dentales son una excelente alternativa para tener una sonrisa mucho más bonita y a su vez reforzar los dientes. A pesar de que son muy resistentes y duraderas hay factores y agentes que pueden dañarlas o deteriorarlas.

Las carillas dentales, ya sean de composite o de porcelana, son un tratamiento con alta demanda dentro de las consultas de Estética Dental. Su popularidad se debe a que ofrecen una solución natural, rápida y personalizada para mejorar el aspecto de la sonrisa. Pero, además, los pacientes valoran mucho otro de sus aspectos esenciales: son muy duraderas.
Tipos de carillas dentales
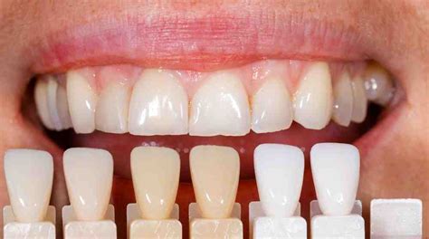
Fabricadas en distintos materiales, cada tipo de carilla tiene unas características particulares que la hacen diferente. Existen distintos tipos de carillas dentales, y la elección depende tanto de los objetivos estéticos del paciente como de factores clínicos (estado de los dientes, mordida, hábitos, presupuesto).
Los tres grupos principales son:
- Carillas de porcelana: Ofrecen unos resultados muy naturales y apenas son perceptibles, algo que nuestros pacientes aprecian considerablemente. Si son las tradicionales, tienen un grosor de 0,5 mm aproximado y para su colocación se requiere la preparación del diente. Como característica de las carillas de porcelana es que proporcionan una altísima durabilidad y resistencia.
- Carillas de composite: Estas carillas sí requieren la preparación del diente, por lo que son permanentes. Las carillas dentales de composite están fabricadas en una resina sintética denominada composite, como cita su nombre.
- Carillas ultrafinas (Lumineers y similares): Fabricadas en porcelana de alta tecnología. Su principal ventaja es que son tan finas que, en muchos casos, pueden colocarse sin necesidad de tallar el diente. Ofrecen una estética muy natural y conservadora, aunque no siempre son aplicables en todos los casos clínicos.

Tabla comparativa de tipos de carillas
A continuación, se presenta una tabla comparativa de los diferentes tipos de carillas dentales:
| Tipo de carilla | Ventajas | Inconvenientes |
|---|---|---|
| Porcelana |
|
|
| Composite |
|
|
| Ultrafinas (ej. Lumineers) |
|
|
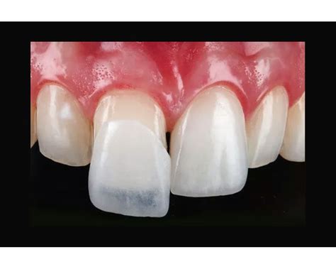
¿Por qué se despega una carilla?
Si bien las carillas, especialmente las de porcelana, pueden mantenerse en buen estado durante una década o más, su durabilidad puede verse afectada por el uso inadecuado, simplemente por el desgaste natural con el paso del tiempo o un problema en el adhesivo. Algunas causas frecuentes incluyen:
- Masticar alimentos duros o pegajosos (hielo, turrones, caramelos).
- Bruxismo o apretar los dientes por la noche.
- Microtraumatismos como golpes o caídas.
- Una colocación incorrecta o un fallo en el proceso de cementado durante la instalación original.
- Cambios térmicos extremos al consumir alimentos o bebidas muy calientes y frías.
La Asociación Dental Americana (ADA) indica que, aunque estos problemas no ocurren con frecuencia, suelen tener una solución sencilla si se interviene rápidamente: “Cuando una carilla se afloja o se cae, normalmente el dentista puede volver a colocarla o fabricar una nueva”.
Primeros pasos si se despega una carilla o microcarilla
Si notas que una carilla se ha soltado (total o parcialmente), lo más importante es mantener la calma. Aquí te indicamos qué hacer:
- Guarda la carilla: Si se ha despegado totalmente, deposítala en un recipiente limpio. No intentes volver a pegarla por tu cuenta con pegamentos caseros.
- Evita masticar con ese lado: Mientras no la tengas fijada nuevamente, evita usar ese lado de la boca para masticar, sobre todo alimentos duros o crujientes.
- No descuides la higiene: Sigue cepillando tus dientes como de costumbre, pero con cuidado alrededor del diente afectado. La zona puede estar más sensible.
- Llama a tu dentista de inmediato: Cuanto antes acudas a consulta, más posibilidades habrá de que la carilla se pueda volver a adherir sin necesidad de fabricar una nueva.
¿Se puede volver a colocar la misma carilla?
En muchos casos, sí. Si la carilla está intacta y no ha sufrido daños, el dentista puede limpiar el área, preparar la superficie y volver a cementarla con un adhesivo especializado.
No obstante, si la carilla se ha roto o desgastado, se deberá elaborar una nueva. El proceso suele tardar entre 7 y 10 días y, mientras tanto, el profesional puede colocar una carilla provisional para mantener la estética y proteger el diente.
¿Es urgente acudir al dentista?
Sí, aunque no sea una emergencia, es recomendable acudir a tu clínica de confianza lo antes posible. Un diente que ha perdido su carilla puede quedar expuesto y sensible. Además, dejar pasar mucho tiempo puede hacer que la forma del diente cambie ligeramente o que el adhesivo residual complique el recementado.
Desde la clínica dental OROA advierten: “Dejar fuera una carilla durante demasiado tiempo puede provocar cambios en el diente o la encía que dificulten o imposibiliten su reimplantación”.
¿Cómo evitar que vuelva a ocurrir?
Prevenir es clave para alargar la vida útil de tus carillas. Aquí te dejamos algunas recomendaciones sencillas:
- Evita comer alimentos duros o pegajosos, como nueces, hielo o chicles.
- Usa una férula nocturna si rechinas los dientes por la noche (bruxismo).
- No uses tus dientes como herramientas para abrir envases.
- Evita cambios bruscos de temperatura en la boca (por ejemplo, beber agua fría después de café caliente).
- Acude a revisiones periódicas una vez al año en las que podemos detectar posibles desajustes a tiempo.
¿Qué pasa si se despega una microcarilla?
Debido a que las microcarillas son más finas y requieren una intervención muy leve sobre el diente, también existe la posibilidad de que se despeguen, aunque normalmente están fijadas con adhesivos específicos que ofrecen una buena sujeción. El procedimiento para reponerlas es similar, aunque su fino grosor puede requerir mayor precisión al recolocar o reemplazar.
¿Cuándo es momento de reemplazarlas?
Si el despegue ocurre con frecuencia, o si la carilla ya ha cumplido entre 10 y 15 años de uso, es posible que haya llegado el momento de fabricar una nueva. Esto también aplica si ha cambiado el color del diente natural y ya no armoniza con el resto.
Una carilla que se despega no es motivo de pánico, pero sí un aviso para acudir al dentista cuanto antes. Con una evaluación profesional y el tratamiento adecuado, la solución suele ser rápida, indolora y efectiva.
Recuerda: una buena higiene oral, hábitos saludables y visitas regulares al odontólogo son tus mejores aliados para mantener tu sonrisa impecable durante años.
Mantenimiento de las carillas dentales
Para que estas se mantengan en buen estado por mucho más tiempo es indispensable que les des el mantenimiento y los cuidados necesarios. A continuación, te damos una serie de recomendaciones que te ayudarán.
1. Mantén una buena higiene dental
Las carillas no necesitan un tratamiento especial de limpieza. Con que mantengas una buena rutina dental y seas constante es suficiente. Cepíllate después de cada comida o por lo menos dos veces al día. Usa hilo dental una vez al día y enjuague bucal para evitar la proliferación de bacterias en la boca.
Una rutina de higiene dental apropiada también te ayuda a prevenir las manchas en las carillas y los dientes. Ya que los pigmentos se adhieren a la superficie de estos y si no son removidos en poco tiempo se fijan, generando como consecuencia manchas.
Es importante que tengas una rutina de higiene bucal apropiada para tus necesidades. Por eso consulta con tu odontólogo qué tipo de cepillo utilizar, qué enjuague bucal y otros productos recomendados.
2. Evita comidas con mucha pigmentación
Las carillas de composite pueden llegar a mancharse o teñirse. Por eso debes ser cuidadoso al momento de consumir alimentos o bebidas que tengan una alta pigmentación. Como, por ejemplo, el café, vino tinto, algunas gaseosas, tomate, fresa, remolacha, cúrcuma, salsa de soja y otros.
3. Visita a tu dentista estético
Te recomendamos visitar a tu dentista estético por lo menos una vez al año. Este revisará el estado de las carillas y te aplicará una limpieza dental profesional para eliminar las bacterias que se pueden haber acumulado entre los dientes y en su superficie. Este tratamiento también ayuda a mantener el color y brillo de las carillas.
4. Evita morder cosas duras
Aunque las carillas son muy resistentes debes evitar morder alimentos y objetos muy duros, ya que podrían romperse. No uses tus dientes como herramientas deja de cortar hilos, cinta adhesiva y otros elementos con la boca.
También evita comer hielo, abrir botellas con la boca e intentar cortar alimentos muy duros con los dientes delanteros.
5. Usa protector bucal
Si sufres de bruxismo o vas a practicar algún deporte en donde puedas recibir un fuerte impacto en los dientes. Te recomendamos el uso de una férula o protector bucal. Este disminuye la fuerza con la que la dentadura recibe el impacto, por lo que te ayuda a mantener intactas tus carillas.
Con respecto a las férulas para el bruxismo esta evitan que los bordes de las carillas rocen entre sí, evitando que se rompan o astillen.
6. No fumes
Las carillas son uno de los tratamientos estéticos para mejorar tu sonrisa recomendado a personas que fuman. Pero es importante que sepas que los gases y componentes tóxicos del cigarrillo como nicotina no solo afectan la salud general de tu boca, sino también la estética de tus carillas dentales.
Estas pierden su brillo rápidamente e incluso pueden presentar pérdida o cambios de color de forma prematura. Evitar el consumo de cualquier tipo de cigarrillo garantiza tener carillas bonitas y en buen estado por mucho más tiempo.
7. No uses bicarbonato
Hay muchos productos para limpieza dental que contienen bicarbonato. Incluso una gran cantidad de persona acostumbran aplicarlo directamente en los dientes algunas veces a la semana. Esto es un error, en especial si tienes carillas.
Si aplicas un producto con bicarbonato sobre las carillas constantemente, estas empezarán a desgastarse y perder su brillo. Antes de usar alguna pasta dental o producto de higiene bucal consulta con tu dentista Salamanca si es adecuado para ti.
8. ¿Las carillas se pueden blanquear?
En caso de que tus carillas de porcelana se oscurezcan el dentista puede aplicar un tratamiento blanqueamiento dental para mejorar su aspecto. Sin embargo, este mismo procedimiento no se puede aplicar en carillas de composite.
En la mayoría de los casos si las carillas de composite se manchan u oscurecen es necesario cambiarlas por completo. También existen tratamientos blanqueadores de uso casero que puedes aplicar sobre las carillas, pero antes de hacerlo es importante que consultes con tu dentista.
Este te ayudará a escoger la opción adecuada. Es importante que sepas cómo es el mantenimiento de las carillas dentales si quieres someterte a este tratamiento para mejorar la estética y funcionalidad de tu sonrisa.

¿Qué hacer si se cae un empaste?
La caída de un empaste requiere atención inmediata para evitar posibles complicaciones.
- Agenda una cita con el dentista lo antes posible.
- Evita alimentos y bebidas muy fríos o calientes: Sin el empaste, el diente puede volverse muy sensible, especialmente a temperaturas extremas.
- Reemplazo del empaste: Si la estructura dental está en buenas condiciones, el dentista puede proceder a reemplazar el empaste por uno nuevo.
- Evita morder alimentos duros: Aunque los empastes son resistentes, pueden deteriorarse si se aplican fuerzas excesivas sobre ellos.
Preguntas frecuentes sobre las carillas dentales
Al plantearse un tratamiento con carillas dentales, es normal que surjan dudas. Estas son algunas de las más habituales en consulta:
- ¿Es dolorosa la colocación de las carillas dentales? No. El procedimiento se realiza con anestesia local en caso de que se necesite un pequeño tallado dental. En la mayoría de los casos, es un tratamiento cómodo y bien tolerado por los pacientes.
- ¿Se pueden blanquear las carillas dentales? No. Las carillas no responden a los tratamientos de blanqueamiento. Por eso es fundamental elegir el tono adecuado antes de colocarlas. Si se desea aclarar el color de los dientes naturales, debe hacerse con un blanqueamiento previo.
- ¿Qué pasa si una carilla se rompe o se despega? Depende del material. Las carillas de composite se pueden reparar fácilmente en clínica. En el caso de las de porcelana, se reemplaza la pieza dañada. En cualquier caso, el odontólogo valora la mejor solución de manera rápida.
- ¿Todas las personas pueden llevar carillas dentales? No. Hay casos en los que es necesario resolver previamente problemas de encías, caries o bruxismo. Las carillas están indicadas cuando la boca está sana y el objetivo principal es estético.
- ¿Cuánto duran realmente? Las de porcelana pueden durar más de 10 años con buen cuidado; las de composite, entre 5 y 7.
