¿Has notado que, con el paso del tiempo, tus dientes lucen más oscuros o amarillentos que antes? No estás solo. Es una preocupación muy común. Si bien muchas veces lo relacionamos con tomar café o fumar, lo cierto es que existen múltiples causas acumulativas, muchas de ellas naturales, que influyen en el cambio del color dental.
En este artículo, explicaremos las posibles causas que producen el oscurecimiento dental, así como las opciones de tratamiento que existen y lo que podemos hacer para poder prevenirlos. Entender por qué se oscurecen los dientes con la edad, y debido a otros factores, te permitirá tomar las precauciones necesarias para que esto no ocurra o retrasarlo el máximo tiempo posible.
Blanqueamiento Dental - Descubre cómo recuperar el brillo natural de tu sonrisa en Dental Art
Causas del Oscurecimiento Dental
Existen diversas razones por las que un diente puede oscurecerse hasta verse negro. En general, las causas se dividen en extrínsecas (manchas superficiales externas en el esmalte) e intrínsecas (problemas internos del diente que cambian su color desde dentro).

Causas Intrínsecas
Todos envejecemos, y nuestros dientes también. Con el transcurso de los años, tanto el cuerpo como la boca experimentan transformaciones.
- Cambios en la Estructura Dental: El esmalte dental, esa capa protectora que recubre el diente, comienza a desgastarse de forma gradual.
- Genética: No todos los dientes son naturalmente blancos. Existe una gama amplia de tonalidades consideradas normales y saludables. El color que vemos depende de varios factores: la genética, el grosor del esmalte, la pigmentación de la dentina y hasta la dieta. Algunas personas, por ejemplo, nacen con esmalte más translúcido, lo que deja ver una dentina más oscura.
- Medicamentos: En casos concretos, el oscurecimiento está relacionado con la exposición a determinados medicamentos durante etapas sensibles del desarrollo dental, como la infancia. Las tetraciclinas, por ejemplo, pueden atravesar el esmalte en formación y provocar una pigmentación interna.
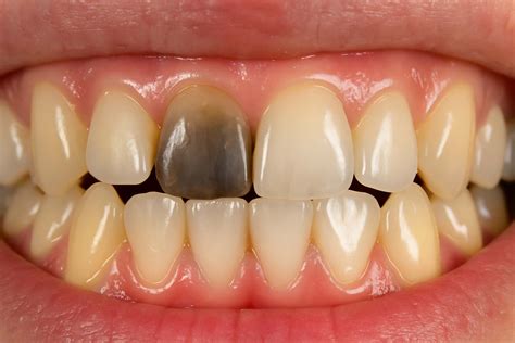
- Necrosis Pulpar: La necrosis pulpar ocurre cuando el tejido pulpar (el "nervio" del diente, que contiene nervios y vasos sanguíneos) muere. Al perder vitalidad, la pulpa deja de aportar sangre al diente y este comienza a cambiar de color, volviéndose primero grisáceo y luego, con el tiempo, un diente muerto puede volverse negro.
- Traumatismos: Los golpes o impactos en los dientes pueden dañar la pulpa dental, lo cual puede resultar en una coloración negra o grisácea. Un traumatismo dental (por ejemplo, al caer o recibir un impacto practicando deporte) puede dañar seriamente la pieza afectada. Incluso si el diente no se rompe, el golpe puede lesionar los vasos sanguíneos de la pulpa o el ligamento periodontal.
- Fluorosis Dental: La fluorosis dental es una alteración en el esmalte causada por una ingesta excesiva de flúor durante la formación de los dientes (es decir, en la infancia, cuando se están formando los dientes permanentes dentro del hueso).
Causas Extrínsecas
Por otra parte, los dientes oscuros también pueden ser resultado de otras causas que se denominan extrínsecas o lo que es lo mismo, que son consecuencia de otros hábitos y que con el paso del tiempo afectan de una forma más notable al color.
- Mala Higiene Oral: Una higiene oral deficiente puede dar lugar a la acumulación de placa bacteriana y a la formación de sarro.
- Fumar: La nicotina y el alquitrán se adhieren al esmalte con facilidad. El tabaco es otro gran villano de la coloración dental. Fumar cigarrillos o usar tabaco de mascar expone los dientes a la nicotina y al alquitrán, sustancias que producen manchas amarillo-marrones muy tenaces. En fumadores de muchos años, los dientes pueden volverse de un color marrón oscuro tirando a negro.
- Alimentos y Bebidas Cromógenas: Ciertos alimentos y bebidas con pigmentos intensos pueden teñir gradualmente los dientes si se consumen con frecuencia. Por ejemplo, el café, el té negro, el vino tinto, los refrescos de cola, los arándanos, salsa de soja, curry y otros condimentos pueden dejar manchas oscuras en los dientes con el tiempo.
- Sarro Dental: El sarro dental es placa bacteriana calcificada que se adhiere fuertemente a los dientes. Inicialmente, el sarro suele ser de color amarillo claro o beige; sin embargo, cuando el sarro se acumula debajo de las encías (sarro subgingival) puede tomar un color marrón oscuro, verde oscuro o negro.
- Materiales Dentales: Otra causa de que un diente luzca negro puede no ser una enfermedad actual, sino el resultado de tratamientos dentales previos. Por ejemplo, los empastes de amalgama (aquellos empastes metálicos de color plata que se usaban mucho antiguamente) pueden con el tiempo pigmentar la estructura dental circundante de gris oscuro o negro.

Tratamientos para Dientes Oscuros
Si tus dientes se han oscurecido, y quieres recuperar su color original o el más parecido, existen diferentes tratamientos. Esto va a depender de cómo se encuentre el diente y de las necesidades de cada paciente.
Cuando se trata de los dientes oscuros, es clave contar con opciones de tratamiento efectivas y adaptadas a las necesidades específicas de cada persona:
- Limpieza Dental Profesional: Un punto clave: las limpiezas periódicas no son sólo estéticas. Cuando no se eliminan correctamente la placa y los restos de comida, estos se calcifican y forman sarro. Este sarro es poroso y tiende a oscurecerse con el tiempo por la acumulación de pigmentos externos. Las manchas superficiales o extrínsecas, que se encuentran en la capa externa del esmalte, suelen eliminarse mediante limpiezas profesionales.
- Blanqueamiento Dental: El blanqueamiento dental es una opción a considerar si la decoloración de los dientes se debe a factores extrínsecos, como manchas superficiales o acumulación de placa. Existen procedimientos seguros que ayudan a recuperar una sonrisa más clara sin dañar la estructura dental. El blanqueamiento dental realizado por profesionales es una solución rápida y efectiva.
- Endodoncia: Si determinamos que la decoloración se debe a problemas en la pulpa, como una infección o necrosis, una endodoncia puede ser necesaria. Este procedimiento implica la remoción del tejido pulpar enfermo o muerto, limpiando y desinfectando el canal del diente antes de sellarlo para prevenir futuras infecciones.
- Restauraciones Estéticas: Cuando los dientes negros presentan daños estructurales o decoloración intrínseca persistente, las restauraciones estéticas pueden ser una opción adecuada. Las restauraciones pueden incluir carillas dentales, coronas o reconstrucciones dentales que mejoran tanto la apariencia como la función dental.
- Carillas o Coronas: En situaciones donde la decoloración es severa o cuando el diente ha sufrido daños estructurales significativos, podemos optar por instalar carillas o coronas. Estas soluciones no solo cubren la decoloración, sino que también restauran la forma y la funcionalidad del diente.
Prevención del Oscurecimiento Dental
Como hemos explicado anteriormente, la prevención es fundamental en la salud bucal y puede ayudar a evitar la aparición de dientes oscuros.
- Correcta Higiene Oral: Es fundamental cepillarse los dientes al menos dos veces al día con pasta dental fluorada. Independientemente de lo que comas y bebas, cepillarte bien los dientes después de cada comida y usar el hilo dental todos los días te ayuda a eliminar la placa y las manchas. Los cepillos de dientes eléctricos son mucho mejores para prevenir el oscurecimiento y la decoloración de los dientes que los cepillos manuales.
- Limitar el Consumo de Alimentos Azucarados: El consumo excesivo de alimentos y bebidas azucaradas aumenta el riesgo de caries dental, lo que puede conducir a la aparición de dientes negros.
- Visitas Regulares al Dentista: Las visitas periódicas al dentista son esenciales para detectar y tratar problemas dentales en etapas tempranas.
- Dieta equilibrada: La dieta juega un papel fundamental en la salud dental. Limita el consumo frecuente de alimentos y bebidas azucaradas o muy ácidas (golosinas, refrescos, jugos industriales), ya que el azúcar alimenta a las bacterias causantes de caries.
- Evitar el tabaco: Si fumas o masticas tabaco, considera seriamente dejar este hábito. Además de los riesgos enormes para tu salud general (cáncer, problemas pulmonares, cardiovasculares, etc.), el tabaco arruina la salud bucal: no solo mancha los dientes de negro, sino que aumenta el riesgo de enfermedad periodontal (de las encías) y cáncer oral.
- Modera alimentos y bebidas cromógenas: No es necesario evitar por completo tu café o té diario, ni dejar de tomar vino tinto o curry ocasionalmente, pero sé consciente de su efecto en los dientes.
