Las carillas dentales son una solución de estética dental popular que permiten mejorar la apariencia de la sonrisa de manera significativa. Permiten modificar el color, brillo y forma de los dientes para corregir una variedad de problemas estéticos en la superficie de los dientes. Tener una sonrisa estética y armónica es un elemento importante para la autoestima y confianza de una persona.

¿Por Qué Preparar los Dientes para Carillas?
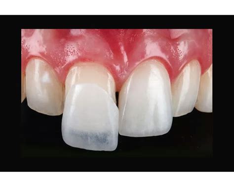
Antes de colocar carillas dentales, es fundamental preparar adecuadamente el diente natural. Este proceso asegura que la carilla se adhiera correctamente y proporcione un resultado estético óptimo. ¿Por qué se necesita en la amplia mayoría de los casos realizar una buena preparación del diente (lo cual incluye un tallado mínimo) para una colocación eficiente de carillas?
Márgenes
Las carillas necesitan un margen definido que las limite, es decir, el protésico que las fabrica debe tener claro donde acaban los márgenes de cada carilla para así conseguir un ajuste perfecto.

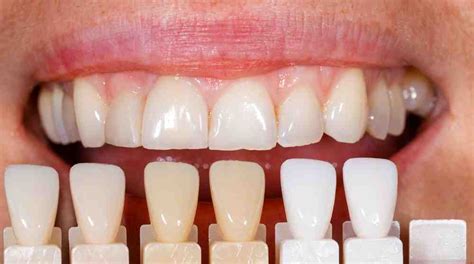
Color
Una de las funciones que más se buscan en las carillas es mejorar el color de los dientes, camuflando el color original una vez que se ponen sobre el diente. Para que esto ocurra de manera efectiva, necesitamos una carilla con cierto grosor, porque si es mínimo, se transparentaría el color (normalmente oscuro o amarillento, y por tanto más ‘fuerte’ que el blanco) de debajo.
Volumen
Por último, y relacionado con el grosor, debemos hablar del volumen. Pensad que si nuestros dientes ya tienen una posición correcta con respecto al labio, lo que sería lo ideal, al colocar unas carillas encima sin hacer espacio suficiente puede resultar en un aspecto de ‘dientes de caballo’, es decir, dientes que sobresalen excesivamente y que pueden llegar a cambiar incluso el volumen del labio. La preparación necesaria en la mayoría de casos es mínima, pero imprescindible. Hablamos de 0’3 a 1 milímetros dependiendo del caso, por lo que el paciente a veces ni siquiera puede apreciar dicho ‘tallado’. Además, la técnica de tallado sobre mockup (la prueba estética para mostrar el diseño al paciente), permite tallar de una forma guiada y conservadora, pues evita que nos excedamos en el tallado más allá de los estrictamente necesario.
Tipos de Carillas Dentales
Existen varios tipos de carillas dentales disponibles en el mercado. Cada tipo tiene sus propias características y está indicado para diferentes casos. Dependiendo del estado inicial del diente y la encía, así cómo de las expectativas y necesidades del paciente se optará por un tipo de carilla concreto (porcelana, composite o microcarillas).

- Carillas de porcelana: Son una opción popular debido a su aspecto natural y durabilidad. Las carillas de porcelana son un tratamiento restaurador que ha probado su bondad después de muchos años de uso clínico, especialmente en el sector anterior por sus implicaciones estéticas, con porcentajes de éxito próximos al 95% a los 15 años.
- Carillas de composite: Están hechas de una resina compuesta que se aplica directamente sobre el diente.
Elegir el tipo de carilla adecuado depende de tus necesidades específicas y de la recomendación de tu dentista.
Proceso Paso a Paso para la Colocación de Carillas Dentales
Poner carillas dentales es un proceso meticuloso que requiere precisión para asegurar un resultado natural y duradero. En Clínica Dental Ferrus & Bratos de Madrid, cuentan con un equipo de especialistas en estética dental avanzada que han desarrollado un protocolo específico para mejorar el proceso de colocación de carillas dentales y poder ofrecer unos resultados duraderos y de calidad en tan solo cuatro citas. Esta rigurosidad en el tratamiento nos ha permitido convertirnos en una clínica de referencia en Madrid en carillas de porcelana. En este artículo te explico, cómo es el proceso completo de colocación de carillas dentales: desde la primera visita hasta la sonrisa final.
- Evaluación inicial: Se inicia con una evaluación inicial. El dentista realiza un examen dental completo y discute los objetivos del paciente. La colocación de las carillas estéticas comienza con una evaluación detallada por parte de nuestro equipo de odontólogos especializados en estética dental. El primer paso es realizar una prueba en boca con la férula de posicionamiento, acompañada de una evaluación digital avanzada. En esta fase inicial, tomamos fotografías detalladas de tu boca y realizamos un escáner intraoral con tecnología 3D. Esta etapa es clave para comprender tus necesidades y garantizar que los resultados se ajusten a lo que esperas. Revisamos tu salud bucal general. Gracias a la tecnología de Diseño Digital de Sonrisa (DSD), podemos planificar el resultado estético final antes de comenzar el tratamiento. En este momento, podemos ajustar y modificar ese diseño de sonrisa. Por ello, realizamos un proceso de escucha activa con todos nuestros pacientes para poder ajustarnos a sus necesidades y expectativas.
- Preparación del diente: Antes de colocar carillas dentales, es fundamental preparar adecuadamente el diente natural. En algunos casos, es necesario realizar un ligero tallado de la superficie externa de los dientes para asegurar que las carillas se adhieran de manera segura y estén alineadas correctamente.
- Limpieza: Una buena higiene bucal es esencial antes del procedimiento.
- Anestesia: El uso de anestesia local puede ser necesario, especialmente si se requiere un desgaste significativo del esmalte dental. Es posible que durante el proceso de desgaste del esmalte sientas algunas molestias o incomodidades. Para minimizar estas sensaciones, el dentista puede aplicar anestesia local. En los casos en los que realizamos carillas sin tallado, no se necesita anestesia.
- Impresión dental: Se toma una impresión del diente preparado para crear un molde que se enviará al laboratorio dental.
- Diseño y fabricación de las carillas: Ya sean de porcelana o composite, las carillas dentales van adheridas al diente natural de la persona mediante un cementado. En todos los casos se confeccionan totalmente a medida a partir de un diseño de sonrisa y su forma está, por tanto, personalizada.
- Prueba de las carillas: Antes de cementar las carillas de manera permanente, el dentista las colocará temporalmente en los dientes del paciente para verificar su ajuste y color. Una vez que las carillas han sido fabricadas, el odontólogo citará al paciente para hacer una prueba en su boca y asegurarse de que encajan correctamente.
- Cementado: Se coloca una capa de cemento dental en la parte posterior de la carilla y se presiona sobre la pieza dental. En tu segunda visita, procedemos a colocar tus carillas definitivas mediante unas guías inteligentes. Gracias al diseño con guías 3D, el procedimiento es mínimamente invasivo, lo que reduce cualquier posible molestia y asegura un acabado natural . El diseño 100 % digital no solo aporta precisión, sino que también minimiza errores. El protocolo de trabajo que hemos desarrollado en nuestra clínica de Madrid nos permite diseñar casos de manera digital y ejecutarlos con total precisión. A través de unas guías inteligentes que nos permiten una preparación muy conservadora y aplicar técnicas mínimamente invasivas sin errores. El proceso de colocación y cementación es realmente sencillo y gracias a la guía inteligente, anteriormente mencionado, podemos llegar a colocar hasta 10 carillas en un solo paso. Las guías se fabrican utilizando lo último en tecnología de impresión 3D y materiales resistentes y biocompatibles. El dentista ejecuta las modificaciones necesarias de las carillas para garantizar un ajuste perfecto.
CARILLAS dentales de porcelana - Video 3D paso a paso
Cuidados Posteriores a la Colocación de Carillas Dentales
Después de la colocación de las carillas dentales, es fundamental seguir una serie de cuidados específicos para asegurar su longevidad y el éxito del tratamiento.
- Higiene bucal: Mantener una buena higiene bucal antes del procedimiento es crucial para garantizar el éxito de la colocación de las carillas.
- Sensibilidad dental: Es común sentir sensibilidad al frío o al calor durante los primeros días. La adhesión se realiza en el esmalte, con lo que se evita la -sensibilidad postoperatoria.
- Molestias en las encías: Puedes experimentar alguna molestia o inflamación en las encías alrededor de las carillas.
Siguiendo estos cuidados y recomendaciones, podrás disfrutar de una sonrisa perfecta y duradera con tus nuevas carillas dentales.
Beneficios de las Carillas Dentales
Las carillas dentales ofrecen numerosos beneficios tanto estéticos como funcionales. Una sonrisa mejorada puede tener un impacto significativo en la confianza en sí mismo.
- Permiten modificar el color, brillo y forma de los dientes.
- Son una excelente solución para corregir imperfecciones como dientes oscuros o manchados, espacios entre dientes, fracturas y malposiciones leves.
- Mantiene la estructura dental: Con las carillas sin tallado.
- Es un tratamiento reversible: Con las carillas sin tallado.
- No produce dolor: Con las carillas sin tallado.
- Materiales de última generación: Con las carillas sin tallado.
- No requieren cuidados especiales: Con las carillas sin tallado.
Preguntas Frecuentes sobre Carillas Dentales
A continuación, respondemos a algunas de las preguntas más comunes sobre el procedimiento de colocación de carillas dentales.
| Pregunta | Respuesta |
|---|---|
| ¿Cuánto duran las carillas? | La duración de las carillas depende del material utilizado y de los hábitos de cuidado bucal del paciente. |
| ¿Cuál es el costo del tratamiento? | El costo del tratamiento varía según la clínica, el número de carillas necesarias y el tipo de material elegido. |
| ¿Duele el procedimiento? | El procedimiento de colocación de carillas generalmente no es doloroso. Se utiliza anestesia local para minimizar cualquier molestia durante el tratamiento. |
| ¿Qué cuidados requieren las carillas? | Las carillas dentales no requieren cuidados especiales, pero es fundamental mantener una buena higiene bucal. |
| ¿Se puede comer y beber normalmente? | Sí, puedes comer y beber normalmente. Sin embargo, se recomienda evitar alimentos muy duros o pegajosos que puedan dañar las carillas. |
Recuerda que es crucial mantener una comunicación abierta con tu dentista.
tags: #preparacion #dientes #para #carillas