¿Sueñas con tener una sonrisa radiante y perfecta? Las carillas dentales pueden convertir ese sueño en realidad. Tener una sonrisa deslumbrante es el deseo de muchas personas. Las carillas dentales son una solución eficaz para lograr una sonrisa perfecta y radiante cuando el color, la forma o el tamaño de los dientes no son los adecuados. Las carillas dentales en Madrid Las Tablas son una solución de estética dental popular que permiten mejorar la apariencia de la sonrisa de manera significativa.

En este artículo, abordaremos los diferentes tipos de carillas disponibles, cómo elegir la más adecuada para tu caso específico, y los beneficios de este procedimiento estético. En este artículo vamos a contarte cómo es, paso a paso, el proceso para colocar las carillas, tanto de porcelana como de composite.
¿Qué son las Carillas Dentales?
Las carillas dentales son láminas delgadas, de porcelana o resina compuesta, que se adhieren a la parte frontal de tus dientes naturales. Son un tratamiento odontológico que se realiza totalmente a medida. De forma general, todas las carillas son láminas finas que se adhieren a la superficie de los dientes. Las carillas dentales son finas láminas que se colocan sobre la cara externa de los dientes, con el objetivo de mejorar su forma, color, tamaño o alineación. Son una excelente solución para corregir imperfecciones como dientes oscuros o manchados, espacios entre dientes, fracturas y malposiciones leves.
Tipos de Carillas Dentales
Existen varios tipos de carillas dentales en Madrid Las Tablas disponibles en el mercado. Cada tipo tiene sus propias características y está indicado para diferentes casos.
- Carillas de Porcelana: Son una opción popular debido a su aspecto natural y durabilidad.
- Carillas de Composite: Están hechas de una resina compuesta que se aplica directamente sobre el diente.
Elegir el tipo de carilla adecuado depende de tus necesidades específicas y de la recomendación de tu dentista. No obstante, dependiendo del caso será necesario utilizar uno u otro material (resina, cerámica,…).
Preparación para la Colocación de Carillas Dentales
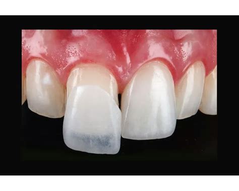
Antes de colocar carillas dentales, es fundamental preparar adecuadamente el diente natural. Este proceso asegura que la carilla se adhiera correctamente y proporcione un resultado estético óptimo. Llega el momento de la preparación y colocación de las carillas dentales. En algunos casos, es necesario realizar un ligero tallado de la superficie externa de los dientes para asegurar que las carillas se adhieran de manera segura y estén alineadas correctamente.
Prueba Pre - Colocacion carillas lumineers
Pasos Iniciales
- Evaluación Inicial: La colocación de las carillas estéticas comienza con una evaluación detallada por parte de nuestro equipo de odontólogos especializados en estética dental. El primer paso es realizar una prueba en boca con la férula de posicionamiento, acompañada de una evaluación digital avanzada. En esta fase inicial, tomamos fotografías detalladas de tu boca y realizamos un escáner intraoral con tecnología 3D. Esta etapa es clave para comprender tus necesidades y garantizar que los resultados se ajusten a lo que esperas. Revisamos tu salud bucal general.
- Diseño Digital de la Sonrisa (DSD): Y gracias al Diseño Digital de la Sonrisa (DSD) podemos planificar previamente el tamaño y forma de las futuras carillas. Gracias a la tecnología de Diseño Digital de Sonrisa (DSD), podemos planificar el resultado estético final antes de comenzar el tratamiento. En este momento, podemos ajustar y modificar ese diseño de sonrisa. Por ello, realizamos un proceso de escucha activa con todos nuestros pacientes para poder ajustarnos a sus necesidades y expectativas. Por otro lado, el Diseño Digital de la Sonrisa ayuda a planificar el tratamiento y ver cómo sería el resultado final antes incluso de comenzarlo.
- Preparación del Diente: Es necesario preparar el diente para conseguir una adhesión eficiente de la carilla sobre la parte frontal del mismo. Sin embargo, las técnicas actuales son mínimamente invasivas y requieren un tallado prácticamente imperceptible e incluso existen carillas sin tallado. Dependiendo del estado inicial del diente y la encía, así cómo de las expectativas y necesidades del paciente se optará por un tipo de carilla concreto (porcelana, composite o microcarillas).

Procedimiento Detallado
- Limpieza: Una buena higiene bucal es esencial antes del procedimiento. Mantener una buena higiene bucal antes del procedimiento es crucial para garantizar el éxito de la colocación de las carillas.
- Impresión dental: Se toma una impresión del diente preparado para crear un molde que se enviará al laboratorio dental. Una vez realizado el tallado, el dentista tomará una impresión o molde de los dientes.
- Anestesia (Opcional): Es posible que durante el proceso de desgaste del esmalte sientas algunas molestias o incomodidades. Para minimizar estas sensaciones, el dentista puede aplicar anestesia local. En los casos en los que realizamos carillas sin tallado, no se necesita anestesia. El uso de anestesia local puede ser necesario, especialmente si se requiere un desgaste significativo del esmalte dental.
- Carillas Provisionales: Debido a que, en este punto, la colocación de las carillas de porcelana puede demorarse dos o tres semanas, resulta necesario poner unas carillas provisionales al paciente. Mientras dura el proceso de elaboración de las carillas en el laboratorio, se suelen colocar carillas provisionales con las que el paciente puede hacer vida totalmente normal.
Colocación de las Carillas Dentales
Poner carillas dentales es un proceso meticuloso que requiere precisión para asegurar un resultado natural y duradero. En tu segunda visita, procedemos a colocar tus carillas definitivas mediante unas guías inteligentes. Gracias al diseño con guías 3D, el procedimiento es mínimamente invasivo, lo que reduce cualquier posible molestia y asegura un acabado natural. El diseño 100 % digital no solo aporta precisión, sino que también minimiza errores. El protocolo de trabajo que hemos desarrollado en nuestra clínica de Madrid nos permite diseñar casos de manera digital y ejecutarlos con total precisión. El proceso de colocación y cementación es realmente sencillo y gracias a la guía inteligente, anteriormente mencionado, podemos llegar a colocar hasta 10 carillas en un solo paso.
Pasos para la Colocación
- Prueba de las carillas: Antes de cementar las carillas de manera permanente, el dentista las colocará temporalmente en los dientes del paciente para verificar su ajuste y color. Una vez que las carillas han sido fabricadas, el odontólogo citará al paciente para hacer una prueba en su boca y asegurarse de que encajan correctamente. Así que en esta fase, desde nuestra clínica hacemos un gran trabajo para encontrar la estética que mejor encaja con el paciente.
- Cementado: Se coloca una capa de cemento dental en la parte posterior de la carilla y se presiona sobre la pieza dental. Antes de poner las carillas definitivas, el odontólogo retirará las provisionales. Tras esto, aplica un cemento especial en la carilla y la coloca sobre el diente. Luego utiliza una lámpara de polimerización para endurecer los materiales de adhesión y garantizar la fijación de la carilla. Las carillas dentales, hechas a medida en los mejores laboratorios de alta estética, se adhieren cuidadosamente a la superficie externa de tus dientes.
Cuidados Posteriores y Mantenimiento
Después de la colocación de las carillas dentales, es fundamental seguir una serie de cuidados específicos para asegurar su longevidad y el éxito del tratamiento. Siguiendo estos cuidados y recomendaciones, podrás disfrutar de una sonrisa perfecta y duradera con tus nuevas carillas dentales.
Recomendaciones
- Sensibilidad dental: Es común sentir sensibilidad al frío o al calor durante los primeros días.
- Molestias en las encías: Puedes experimentar alguna molestia o inflamación en las encías alrededor de las carillas.
- Higiene Bucal: Las carillas dentales no requieren cuidados especiales, pero es fundamental mantener una buena higiene bucal.
- Alimentos y Bebidas: Sí, puedes comer y beber normalmente. Sin embargo, se recomienda evitar alimentos muy duros o pegajosos que puedan dañar las carillas.
Preguntas Frecuentes sobre Carillas Dentales
A continuación, respondemos a algunas de las preguntas más comunes sobre el procedimiento de colocación de carillas dentales.
| Pregunta | Respuesta |
|---|---|
| ¿Cuánto duran las carillas? | La duración de las carillas depende del material utilizado y de los hábitos de cuidado bucal del paciente. |
| ¿Cuánto cuesta el tratamiento? | El costo del tratamiento varía según la clínica, el número de carillas necesarias y el tipo de material elegido. |
| ¿Es doloroso el procedimiento? | El procedimiento de colocación de carillas generalmente no es doloroso. Se utiliza anestesia local para minimizar cualquier molestia durante el tratamiento. |
Beneficios de las Carillas Dentales
Las carillas dentales ofrecen numerosos beneficios tanto estéticos como funcionales. Una sonrisa mejorada puede tener un impacto significativo en la confianza en sí mismo.
Conclusión
Las carillas dentales en Madrid Las Tablas pueden ser una excelente opción para mejorar tu sonrisa y aumentar tu confianza. Antes de someterte a este tratamiento, es fundamental que consultes con nuestros especialistas en estética dental en Madrid en las Tablas. Si tienes alguna duda o inquietud sobre las carillas dentales, no dudes en ponerte en contacto con la clínica dental en Madrid Las Tablas, Quintero dental, para obtener más información y pide tu cita ya.
tags: #preparacion #para #carillas