Nuestra salud bucodental es algo que tenemos que cuidar día a día, pues si no mantenemos una buena higiene o no tratamos a tiempo cualquier patología que pueda surgir, nos arriesgamos a sufrir graves consecuencias. Unas de las peores consecuencias, que además son irreversibles, son la pérdida de piezas dentales y la recesión gingival.
Ante la pérdida dental, surge la duda de si es necesario sustituir esa pieza y cuál es la mejor opción para hacerlo. Actualmente, existen varios tipos de prótesis, tanto fijas como removibles, para recuperar la funcionalidad y la estética del diente perdido. Una prótesis dental es una estructura que tiene uno o varios dientes artificiales, fabricados con materiales biocompatibles y seguros, que sustituirán a las piezas perdidas.
Cuando el paciente aún conserva dientes sanos, se coloca una prótesis dental parcial anclada a los dientes naturales, para evitar su desplazamiento; sin embargo, cuando hay que sustituir la dentadura entera, se emplea una prótesis dental completa. Las prótesis dentales removibles se utilizan en casos de pérdida dental, con el objetivo de recuperar la mordida y el aspecto estético de la sonrisa.
La prótesis dental removible es la alternativa más económica y menos invasiva para la reposición de las piezas dentales perdidas o en mal estado. Las prótesis dentales juegan un papel crucial en la rehabilitación oral, permitiendo a los pacientes recuperar la función masticatoria, la estética y la fonación adecuadas.
Las prótesis dentales son aparatos diseñados para reemplazar dientes perdidos o para restaurar dientes dañados. De esta manera, mejoran la salud, funcionalidad y estética de la boca. La importancia de una prótesis dental bien diseñada y fabricada radica en su capacidad para mejorar significativamente la calidad de vida de los pacientes.
👉 Tipos de Prótesis Removibles | Prótesis Dentales: Mejor opción
Tipos de Prótesis Dentales Removibles
Principalmente, existen dos tipos: las fijas y las removibles. Como sus propios nombres indican, las primeras no pueden ser retiradas en ningún momento del día, ya que van cementadas o atornilladas y, además, son más invasivas, mientras que las segundas se pueden quitar para limpiarlas con comodidad.
Las prótesis dentales removibles también pueden ser completas o parciales, dependiendo de la cantidad de dientes que haya que reponer. Existen varios tipos de prótesis dentales removibles, las cuales se eligen en función de las necesidades de cada paciente.
- Prótesis parcial removible: Se utiliza para reponer una o varias ausencias dentales cuando existen dientes sanos en los que poder fijar la estructura dental. En este caso la prótesis se sujeta en las piezas dentales que el paciente conserva en buen estado. Reemplazan uno o varios dientes perdidos, pero se usan cuando el paciente aún conserva algunos dientes en la arcada.
- Esquelética: De estructura metálica fina y resistente. Posee ganchos metálicos y normalmente es del color del diente. Las prótesis removibles esqueléticas son dispositivos dentales diseñados para reemplazar dientes perdidos, utilizando una estructura metálica como base. Las prótesis removibles esqueléticas son una excelente opción para aquellos que buscan una solución duradera y cómoda.
- Acrílica: De estructura acrílica (color rosa), y con ganchos. Las prótesis dentales acrílicas son dispositivos dentales removibles diseñados para reemplazar dientes faltantes, utilizando resinas acrílicas como material principal. Estas prótesis son populares debido a su versatilidad y costo accesible. Las prótesis acrílicas son una opción viable para pacientes que buscan una solución económica y estética. El acrílico es un material similar a la resina que es más resistente que la resina.
- Termoplástica: De material termoplástico (color rosa), con ganchos que salen de la propia prótesis y son color rosa se disimulan con la encía. Material termoplástico de gran flexibilidad y resistencia a las fracturas.
- Prótesis Peek: La prótesis Peek es un tipo de prótesis dental removible que está hecha de un material llamado poliéter-cetona (PEEK). Las prótesis Peek se pueden utilizar para reemplazar uno o varios dientes.
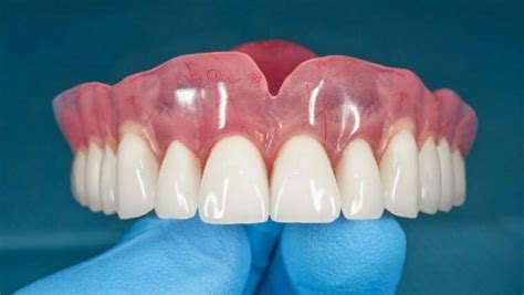
- Prótesis removible completa: Sustituye todas las piezas dentales de una arcada o de las dos, en caso de edentulismo total (pérdida de todas las piezas naturales). Reemplazan todos los dientes de una arcada (superior, inferior o ambas). También conocidas como dentaduras postizas. Las prótesis dentales completas, a diferencia de las prótesis parcial removible, son necesarias cuando el paciente pierde el total de los dientes. Tal y como venimos comentando en este artículo, la prótesis dental removible completa es una opción más que recomendable para personas que necesitan restaurar por completo todas sus piezas dentales.
Las piezas dentales frecuentemente son realizadas en resinas acrílicas o en material de cerámica.
En el caso de haber dientes se puede optar por realizar una prótesis sobre los mismos dientes o sobre implantes. Lo más aconsejable es siempre la realización de prótesis sobre implantes, pues el pronóstico a largo plazo es mucho mejor.

¿Cuándo se utilizan las prótesis dentales removibles?
- Pacientes con determinadas condiciones médicas: hay personas que, por padecer ciertas enfermedades, tienen contraindicada la colocación de implantes.
- Falta de hueso maxilar: algunas prótesis dentales fijas requieren un buen soporte óseo para colocar los implantes dentales.
- Falta de disponibilidad económica: por lo general, una prótesis dental removible es más económica que una prótesis fija. Se trata de una alternativa muy económica en comparación de prótesis fijas o los implantes dentales. Como adelantábamos en las ventajas de este tratamiento, se trata de una alternativa más económica que las prótesis fijas o los implantes dentales. La prótesis removible resulta muy económica respecto a la prótesis fija.
- Alternativa temporal: en algunos casos, las prótesis dentales removibles se usan como una solución temporal, mientras se planifica y se lleva a cabo un tratamiento definitivo con prótesis fijas e implantes dentales.
- Especialmente cuando otros tratamientos no sea recomendables por cuestiones médicas o de edad.
Proceso de Elaboración y Colocación
- Estudio inicial: el dentista realiza un examen completo de la boca del paciente, incluyendo dientes, encías y huesos maxilares. Esto abarca una exploración oral y la toma de radiografías y fotografías.
- Diseño de la prótesis: a continuación, se toman impresiones (medidas) de la boca. Una vez obtenidos todos los registros de la boca y habiendo estudiado el caso del paciente, el odontólogo diseñará la prótesis dental removible de acuerdo a sus necesidades.
- Colocación de la prótesis: tras la confección de la prótesis, esta se coloca en la boca del paciente. En este momento, el odontólogo comprueba que la prótesis está correctamente ajustada y el paciente está cómodo con ella. La colocación de una prótesis dental removible generalmente no es dolorosa. Durante el proceso, el dentista toma medidas de la boca para asegurar que la prótesis se ajuste adecuadamente, lo cual es un procedimiento no invasivo y sin dolor. Al principio, puede haber una sensación de incomodidad o extrañeza mientras te acostumbras a llevar la prótesis. Algunos pacientes experimentan irritación leve o aumentan la producción de saliva temporalmente. Sin embargo, estos síntomas suelen desaparecer a medida que te habitúas a la prótesis.
- Revisiones y seguimiento: como sucede con cualquier otro tratamiento dental, es necesario realizar un buen seguimiento para comprobar la adaptación del paciente a la prótesis removible, así como para realizar ajustes que aumentan la comodidad y la durabilidad del tratamiento.
Ventajas de las Prótesis Dentales Removibles
La pérdida de dientes puede ser una experiencia desafiante, pero las prótesis dentales removibles ofrecen una solución efectiva para restaurar tu sonrisa y mejorar tu calidad de vida. Las prótesis dentales removibles son dispositivos personalizados diseñados para reemplazar dientes faltantes y restaurar la función masticatoria.
Con la reposición de las ausencias dentales se obtienen múltiples beneficios. Es una alternativa a los implantes dentales que consigue también la rehabilitación oral del paciente.
Desventajas de las Prótesis Dentales Removibles
- Ajuste: Normalmente, las dentaduras postizas plantean problemas de estabilidad, ya que no se ajustan de manera óptima a la boca. Con el tiempo, la prótesis removibles o prótesis de quita y pon sufren un desajuste, por lo que es indispensable la visita a clínica dental recurrentemente.
- Comodidad: Al no conseguir un buen ajuste, una de las principales desventajas de la prótesis dental removible es que puede resultar incómoda al comer y hablar.
- Necesidad de reemplazos o ajustes: La falta de dientes provoca cambios anatómicos en las estructuras orales, lo que hace necesario realizar modificaciones en el aparato para mejorar el ajuste.
- Es posible que se vean los ganchos metálicos sobre los dientes remanentes.
Sin embargo, está lejos de ofrecer la misma estética, naturalidad y comodidad que los implantes dentales.

Cuidado y Mantenimiento de las Prótesis Dentales Removibles
Para que las prótesis duren en buen estado el máximo tiempo posible, es necesario cuidarlas adecuadamente. La duración de las prótesis dentales removibles dependen en gran medida del cuidado que tenga el paciente y de sus características anatómicas, pero una prótesis bien hecha puede llegar a durar entre 20 y 30 años.
Al igual que los dientes se deben cepillar después de cada comida, las prótesis dentales removibles tienen que ser limpiadas después de comer. Podemos pensar que al ser una dentadura de quita y pon, no necesitan tener un cuidado especial. Bastará con ir a la farmacia y allí encontraremos todo lo que necesitamos. Al igual que el resto de prótesis dentales removibles, las completas también requieren de un cuidado y limpieza especial. Por un lado, recomendamos usar un cepillo de dientes específico que elimine cualquier resto de alimento que se pueda fijar en la prótesis.
- Retira la prótesis de tu boca después de cada comida y enjuágala con agua tibia para retirar los restos de alimentos.
- Limpia el aparato con un cepillo especial para prótesis dentales, jabón neutro y agua tibia.
- Enjuaga bien la prótesis para asegurarte de que no queden residuos de jabón.
- Si no vas a volver a colocarte la prótesis después de la limpieza, es importante que la seques con papel o una toalla limpia. La razón es que la humedad favorece la proliferación de bacterias.
- Utiliza un comprimido efervescente para limpiar prótesis dentales una vez a la semana. De esta manera, realizarás una higiene más profunda, ya que estas pastillas incorporan antisépticos que ayudan a eliminar bacterias y hongos.
No se aconseja utilizar dentífricos, pues suelen contener sustancias abrasivas que rayan las prótesis. En su lugar, es recomendable utilizar unas pastillas efervescentes de limpieza de prótesis para asegurarnos de que están bien limpias. Es importante secarlas bien y guardarlas correctamente para evitar fracturas mientras no se esté utilizando la prótesis.
Materiales para Prótesis Dentales Removibles
En este artículo de nuestra clínica dental en Sevilla, Koresdent, se analizarán los diferentes materiales disponibles para la fabricación de prótesis dentales removibles, comparando sus características, ventajas y desventajas.
Al elegir entre prótesis removibles esqueléticas y prótesis acrílicas, es esencial considerar varios factores clave que impactan la funcionalidad y satisfacción del paciente. En resumen, la elección entre prótesis esqueléticas y acrílicas depende de múltiples factores, incluidos el presupuesto, la durabilidad deseada y las preferencias estéticas del paciente.
Los avances recientes en materiales para prótesis dentales han permitido el desarrollo de opciones más duraderas, estéticas y cómodas. Estas innovaciones están transformando el campo de la odontología, ofreciendo prótesis dentales que no solo mejoran la funcionalidad, sino también la calidad de vida del paciente. En conclusión, los avances en materiales para prótesis dentales prometen un futuro donde los pacientes puedan disfrutar de soluciones más personalizadas, duraderas y estéticamente agradables.
Elegir el material adecuado para una prótesis dental removible es crucial para garantizar la comodidad, funcionalidad y estética del paciente. En conclusión, tomar una decisión informada sobre el material de una prótesis dental removible requiere una evaluación cuidadosa de varios factores y consultar siempre con un profesional.
Al elegir el material adecuado para una prótesis dental removible, es fundamental considerar varios factores clave. Finalmente, siempre es recomendable buscar el consejo de un profesional en odontología para asegurarse de que la elección del material sea la más adecuada para sus necesidades específicas.
Cantidad de dientes faltantes: Si faltan pocos dientes, una prótesis dental de resina o acrílico puede ser suficiente.
¿Cuánto Tiempo Dura una Prótesis Dental Removible?
Una prótesis dental removible es una inversión en tu salud bucal y en tu calidad de vida. Pero, ¿cuánto tiempo puedes esperar que dure? En conclusión, la duración de una prótesis dental removible varía según varios factores.
Cualquiera de las dos prótesis que escojas van a necesitar de revisiones cada cierto tiempo para verificar que todo se encuentre en orden. No olvides cepillarte muy bien cada vez que comas para evitar o retardar la pérdida de los dientes.
Ten en cuenta que la decisión final sobre cuál es el mejor tipo de prótesis para ti, dependerá al 100% de tu condición clínica y de lo que tu dentista, a raíz de una serie de estudios y pruebas, considere qué es lo mejor y lo más eficaz para ti.
Si has perdido uno o dos dientes y no sabes qué hacer, contacta con nosotros cuanto antes. En Clínica Dental Cerro Alonso estudiaremos tu caso para ofrecerte la alternativa que mejor se ajuste a tus necesidades.
Si necesitas llevar una prótesis y buscas asesoramiento, te recomendamos consultar a nuestros dentistas. Si quieres más información solicita una cita con nuestro equipo de especialistas, te invitamos a ponerte en contacto con nosotros a través del formulario de contacto de nuestra página web. Déjate ayudar por Dr.
Ahora ya sabes más sobre prótesis dental fija vs removible, y sus ventajas e inconvenientes. En Clínica Dental Ruiz Estrada, tanto en Murcia como en Elche, somos especialistas en prótesis dentales. Pide cita online aquí; estudiaremos tu caso, te recomendaremos la mejor opción para ti, y tus nuevas prótesis dentales te permitirán vivir mejor.