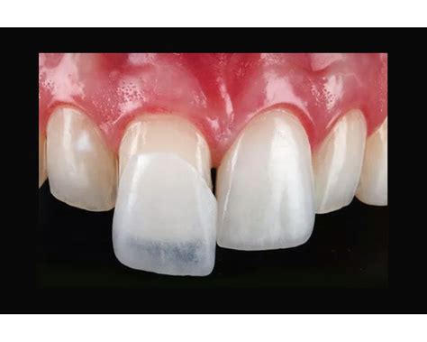
El cementado es un proceso fundamental para lograr una buena adhesión a la boca de las carillas dentales, las cuales son esenciales para conseguir una estética dental óptima. El cementado de las carillas dentales es un proceso fundamental para conseguir mejoras en la estética de la boca y considerar que el tratamiento ha sido todo un éxito.
¿Sueñas con tener una sonrisa radiante y perfecta? Las carillas dentales pueden convertir ese sueño en realidad. Tener una sonrisa deslumbrante es el deseo de muchas personas. Las carillas dentales son una solución eficaz para lograr una sonrisa perfecta y radiante cuando el color, la forma o el tamaño de los dientes no son los adecuados.
Las carillas dentales son láminas delgadas, de porcelana o resina compuesta, que se adhieren a la parte frontal de tus dientes naturales. Llega el momento de la preparación y colocación de las carillas dentales. En algunos casos, es necesario realizar un ligero tallado de la superficie externa de los dientes para asegurar que las carillas se adhieran de manera segura y estén alineadas correctamente.
Las carillas dentales, hechas a medida en los mejores laboratorios de alta estética, se adhieren cuidadosamente a la superficie externa de tus dientes. La duración del tratamiento puede variar según la cantidad de carillas que se coloquen. En los casos en los que realizamos carillas sin tallado, no se necesita anestesia.
En González y Casado, estamos comprometidos con la excelencia en alta estética dental pues nuestro anhelo es poder ayudarte a conseguir la sonrisa que siempre has deseado. Confía en González y Casado para transformar tu sonrisa y conseguir los resultados de calidad que te harán sentirte mejor que nunca.
Las carillas dentales son uno de los tratamientos más demandados por nuestros pacientes en estética dental ya que permite transformar la sonrisa de forma segura, natural y mínimamente invasiva. En este artículo te explico, cómo es el proceso completo de colocación de carillas dentales: desde la primera visita hasta la sonrisa final.
En la Clínica Dental Ferrus & Bratos de Madrid, contamos con un equipo de especialistas en estética dental avanzada que han desarrollado un protocolo específico para mejorar el proceso de colocación de carillas dentales y poder ofrecer unos resultados duraderos y de calidad en tan solo cuatro citas. Esta rigurosidad en el tratamiento nos ha permitido convertirnos en una clínica de referencia en Madrid en carillas de porcelana.
La colocación de las carillas estéticas comienza con una evaluación detallada por parte de nuestro equipo de odontólogos especializados en estética dental. El primer paso es realizar una prueba en boca con la férula de posicionamiento, acompañada de una evaluación digital avanzada. En esta fase inicial, tomamos fotografías detalladas de tu boca y realizamos un escáner intraoral con tecnología 3D. Esta etapa es clave para comprender tus necesidades y garantizar que los resultados se ajusten a lo que esperas.
Revisamos tu salud bucal general. Gracias a la tecnología de Diseño Digital de Sonrisa (DSD), podemos planificar el resultado estético final antes de comenzar el tratamiento. En este momento, podemos ajustar y modificar ese diseño de sonrisa. Por ello, realizamos un proceso de escucha activa con todos nuestros pacientes para poder ajustarnos a sus necesidades y expectativas.
Es necesario preparar el diente para conseguir una adhesión eficiente de la carilla sobre la parte frontal del mismo. Sin embargo, las técnicas actuales son mínimamente invasivas y requieren un tallado prácticamente imperceptible e incluso existen carillas sin tallado. Dependiendo del estado inicial del diente y la encía, así cómo de las expectativas y necesidades del paciente se optará por un tipo de carilla concreto (porcelana, composite o microcarillas).
Las carillas dentales son finas láminas que se colocan sobre la cara externa de los dientes, con el objetivo de mejorar su forma, color, tamaño o alineación. Son una excelente solución para corregir imperfecciones como dientes oscuros o manchados, espacios entre dientes, fracturas y malposiciones leves. Ya sean de porcelana o composite, las carillas dentales van adheridas al diente natural de la persona mediante un cementado. En todos los casos se confeccionan totalmente a medida a partir de un diseño de sonrisa y su forma está, por tanto, personalizada.
En tu segunda visita, procedemos a colocar tus carillas definitivas mediante unas guías inteligentes. Gracias al diseño con guías 3D, el procedimiento es mínimamente invasivo, lo que reduce cualquier posible molestia y asegura un acabado natural . El diseño 100 % digital no solo aporta precisión, sino que también minimiza errores.
El protocolo de trabajo que hemos desarrollado en nuestra clínica de Madrid nos permite diseñar casos de manera digital y ejecutarlos con total precisión. A través de unas guías inteligentes que nos permiten una preparación muy conservadora y aplicar técnicas mínimamente invasivas sin errores. El proceso de colocación y cementación es realmente sencillo y gracias a la guía inteligente, anteriormente mencionado, podemos llegar a colocar hasta 10 carillas en un solo paso.
Las guías se fabrican utilizando lo último en tecnología de impresión 3D y materiales resistentes y biocompatibles.
Ventajas y Desventajas de las Carillas de Porcelana
Las carillas de porcelana son un tratamiento restaurador que ha probado su bondad después de muchos años de uso clínico, especialmente en el sector anterior por sus implicaciones estéticas, con porcentajes de éxito próximos al 95% a los 15 años. En el presente artículo se hace una exposición del tratamiento con carillas de porcelana, incluyendo las indicaciones y contraindicaciones para su empleo, sus ventajas e inconvenientes, el diagnóstico, la comunicación con el paciente, las técnicas de preparación dentaria, el cementado de las mismas y el mantenimiento posterior.
En esta línea vamos a hacer una descripción de las ventajas y desventajas de las carillas de porcelana frente a las carillas de composite y a los retenedores de recubrimiento total.
Ventajas
- Técnica de dificultad media: Las destrezas y habilidades necesarias para poder llevar a cabo un tratamiento por medio de carillas de porcelana son asequibles a todos los odontoestomatólogos con un entrenamiento de dificultad media, en relación a la mayor facilidad del composite y dificultad de la corona.
- Preparación dentaria muy conservadora: La cantidad de estructura dentaria a eliminar para conformar un diente como receptor de una carilla de porcelana es escasa en comparación con la preparación necesaria para una corona de recubrimiento total. En los casos menos conservadores se elimina en torno al 30% de la estructura dentaria. Esto es de 2,4 a 4,3 veces menos que para una corona de recubrimiento total.
- Estética muy elevada: La ausencia de metal en la preparación protésica junto con el grosor de la cerámica empleada permite una transmisión óptima de la luz, que se va a reflejar en la dentina subyacente de manera similar a la del diente sano. El resultado estético es óptimo. Su color parece natural y es estable a largo plazo pues no se altera por ninguna circunstancia mientras no se fracture. Por otro lado, el color es parcialmente modificable si empleamos maquillajes cerámicos o bien tintes internos incorporados al composite cementante.
- Resistencia elevada a las fuerzas: Una vez cementadas son capaces de soportar fuerzas de tracción, tensión y cizalla importantes pues la adhesión que consiguen al esmalte es elevada.
- Biocompatibilidad local y general: de todos los materiales de recubrimiento dental que poseemos, la cerámica es junto con el oro, el que menos reacciones biológicas desencadena. Su superficie lisa no retiene placa.
- Resistencia al desgaste: Las fuerzas oclusales y de masticación no las desgastan, aunque puedan llegar a fracturarlas.
- Resistencia a la tinción: La superficie glaseada no permite la incrustación de tinciones, al no presentar microporosidad. Este glaseado permite el mantenimiento del brillo superficial durante todo el tiempo de vida de las carillas. Sólo en la interfase de cemento pueden formarse tinciones con el tiempo.
- Resistencia al ataque químico: Diferentes sustancias químicas, como ácidos (cítrico y otros), disolventes (alcohol), medicaciones (antibióticos) y cosméticos (colutorios) pueden producir alteraciones tanto en el esmalte dentario como en las carillas de composite. Sin embargo las carillas de porcelana son inalterables ante estas agresiones.
- Radiopacidad: Su densidad las hace similares al esmalte en cuanto a la penetrabilidad por los rayos X. Esto permite que el diente situado por debajo sea asequible a la exploración radiográfica, aún recubierto por la carilla.
- Costo aceptable: Los costes y los tiempos de tratamiento son inferiores a los de coronas de recubrimiento total.
Inconvenientes
- Técnica clínica más compleja: que para las carillas de composite y mucho más que para una corona. Requiere varias sesiones clínicas.
- Técnica de laboratorio compleja: El laboratorio dental necesita llevar a cabo técnicas de gran precisión para lograr un ajuste exacto de la carilla. Los márgenes son lugares de gran dificultad para su ajuste. Además deben ser muy delgadas, y en consecuencia muy frágiles.
- Fragilidad relativa: La construcción de finas láminas de porcelana da una fragilidad inherente a las carillas lo que hace que, con alguna frecuencia, se produzcan fracturas de las mismas. Una vez cementadas esta fragilidad se atenúa grandemente.
- Dificultad para la reparación: La carilla fracturada es de difícil reparación, aunque en ocasiones se puede llevar a cabo. El problema es que, con el tiempo aparecen tinciones, en la interfase reparada.
- Técnica adhesiva compleja: La técnica de adhesión es muy minuciosa y requiere una preparación importante, que consume tiempo y esfuerzos en un grado muy superior al del cementado no adhesivo de las coronas de recubrimiento total.
- Tratamiento irreversible: una vez tallado el diente no lo podemos recuperar, aunque su invasión sea mínima.
- Imposibilidad de cambiar el color: una vez cementada la carilla.

Tipos de Carillas Dentales
Indicaciones
Las principales indicaciones de las carillas de porcelana son problemas estéticos de una u otra etiología, aunque también pueden tener indicaciones para solucionar algunas alteraciones anatómicas y funcionales. En estos dos supuestos, hemos de decir que los mejores resultados se consiguen con coronas de recubrimiento total.
- Estéticas
- Cambios de coloración dentaria: las discromías y tinciones intrínsecas (tetraciclinas, fluorosis, dientes desvitalizados, tinción por amalgama, envejecimiento natural, etc.) pueden ser modificadas por medio de carillas de porcelana. Cuanto más intensa sea la coloración patológica más profundo será necesario tallar el diente, para poder enmascarar el color.
- Cambios de posición dentaria: Dentro de unos límites se pueden recolocar dientes con rotaciones por medio de carillas de porcelana que los coloquen en una posición más ideal; ello obligará en la mayoría de los casos a tallados dentarios que se salen de la ortodoxia, en función de la posición y/o rotación del diente.
- Cambios en la textura superficial dentaria. En ocasiones, el esmalte presenta una rugosidad excesiva, u oquedades que retienen placa con la consiguiente facilidad de tinción. La colocación de carillas de porcelana que restauren una anatomía lisa superficial conlleva la corrección anatómica y la no retención de placa bacteriana, solucionando así el problema.
- Cierre de diastemas. El ensanchamiento del diente por medio de carillas permitirá el cierre de pequeños espacios interdentarios de un modo conservador. No aconsejable si superan 1 mm de anchura.
- Anatómicas
La indicación de carillas para solucionar anomalías de forma, tamaño o volumen dentario, tanto congénitos como adquirido debe tomarse con cierta reserva. No obstante, cualquiera de ellos, siempre y cuando sean de pequeña intensidad/severidad podría ser restaurada con carillas sin perjuicio de otro tipo de tratamientos como coronas de recubrimiento total, en principio más adecuadas. Así podrían solucionarse tanto anomalías congénitas (hipoplasias del esmalte, microdoncias y dientes conoideos, etc.) como adquiridas (fracturas, atriciones, abrasiones, etc.) e incluso las ocasionadas por trastornos alimentarios (bulimias, etc.) con el fin de reponer la estructura dentaria perdida por la erosión ocasionada por los vómitos/regurgitaciones repetitivas de estos pacientes.
- Funcionales
Al igual que en las indicaciones anatómicas y con las mismas limitaciones, las carillas de porcelana pueden solucionar alteraciones funcionales tales como restauración de las guías anterior y canina colocándolas sobre la cara palatina de los dientes anterosuperiores, más que a expensas de la cara vestibular de los inferiores.
- Otras indicaciones
Otra posible indicación de las carillas de porcelana es la restauración de problemas derivados de la porcelana de una corona metal-cerámica, bien por fractura de la porcelana, por necesidad de modificar su color, modificar su morfología u otras. Debido a que las carillas de porcelana pueden unirse a la cerámica de la corona metal-cerámica por medios adhesivos micromecánicos y químicos de suficiente resistencia físico-mecánica. No obstante, estas indicaciones tienen sus limitaciones centradas en el espacio suficiente y no sobrecontorneado del diente.

Carillas de Porcelana Antes y Después
Contraindicaciones
Aunque las carillas pueden solucionar muchos problemas, no están exentas de contraindicaciones derivadas de su fragilidad y facilidad de descementación, tanto más cuanto no se siga una técnica e indicación rigurosa.
- Estéticas
Alteraciones muy importantes del color dentario pueden ser imposibles de esconder de manera suficiente con las carillas de porcelana pues su transparencia hace muy difícil el total enmasacaramiento de la discromía, incluso si se usan opacificadores y se incrementa el grosor al máximo permitido.
- Funcionales
Las situaciones de carga excesiva sobre las carillas de porcelana o sobre los dientes soporte de las mismas causarán fuerzas inadecuadas que redundarán en la fractura o descementado de la carilla. Entre estas situaciones de sobrecarga habremos de citar el bruxismo y los hábitos parafuncionales, que pueden causar fracturas y descementados continuos. En esta línea, un caso particular es el formado por un diente antagonista de un implante. Durante la función, normal o parafuncional, el resto de la dentición natural se intruirá con lo que el diente antagonista sufrirá toda la carga. Si es portador de una carilla, la fatiga acabará con ella o con su cemento.
- Otras
Hábitos inadecuados, higiene insuficiente o elevado índice de caries son otras importantes contraindicaciones
- Hábitos inadecuados tales como el mordisqueo de bolígrafos, la onicofagia, la sujeción de clavos y objetos con los dientes y cualquier otro que implique una actividad dentaria incorrecta contraindicará el empleo de carillas de porcelana como método restaurador, por el incremento del riesgo de fracturas.
- Higiene insuficiente. El acúmulo de placa bacteriana sobre la interfase diente/restauración cerámica conducirá a la tinción de la misma con la consiguiente alteración estética.
- Un índice de caries elevado, asociado o no a higiene insuficiente hace aparecer caries con mayor facilidad en la interfase cementante, elevando los riesgos de fracaso.

Colocación de Carillas de Porcelana
El caso de Cristina 🌟 | Su sonrisa perfecta gracias a carillas dentales en INARI
Cementos Dentales y su Importancia
La adhesión de las carillas está directamente relacionada con el material que se emplee para la misma. En esta clase de carillas se emplean técnicas adhesivas en una única sesión para cimentar al diente. En este tipo de carillas se pueden emplear distintos cementos dentales para conseguir una buena adhesión por medio de unas láminas muy finas al diente.
La cementación es una parte clave y fundamental en los tratamientos dentales ya que nos garantiza una prótesis perdurable y restauraciones menos invasivas. Son materiales que se deslizan por las superficies y se endurecen en un corto tiempo consiguiendo una alta resistencia.
Los cementos dentales permiten la fricción entre el diente y la restauración.
A lo largo de los años, 3M ha ido evolucionando y desarrollando una amplia variedad de cementos dependiendo de varias indicaciones, partiendo de productos para cementación provisional o permanente.
Tipos de Cementos 3M
- Ketac Cem Plus: Ofrece una fórmula de dispensación muy desarrollada, obteniendo así, todas las ventajas de un ionómero: alta adhesión y evitar los cortos períodos de sellado. Su simple y eficaz manejo lo hace ser uno de los favoritos. Es fácil de retirar con golpe de luz y su color es blanco entre A1 y A2. Su formato Automix con punta de mezcla genera un preparado perfecto.
- RelyX Unicem 2 Automix: Es un cemento de resina autoadhesivo. Su brillante calidad y rendimiento lo hace fácil de usar. Está disponible en dispensador Clicker o jeringa Automix. Este cemento trabaja muy bien la compresión y la tracción pero en los casos de las carillas o los puentes de Maryland existe una excepción, ya que no lo trabaja de manera tan óptima.
- RelyX Ultimate: Es un cemento de resina clásico con una fuerza de adhesión líder en el sector con menos pasos. Por un lado, al ser una resina clásica puede ser utilizada con todo tipo de materiales pero teniendo siempre en cuenta un protocolo de adhesión anterior. Antes de usarlo, se debe utilizar un adhesivo y es aquí donde entra en acción Scotchbond Universal: los adhesivos dentales son del tipo fotofraguado y para convertirlos es necesario un segundo elemento. Por el otro, comenzamos a cementar usando adhesivo durante 20 segundos en las superficies deseadas, además de usarlo en la superficie del diente durante el mismo tiempo. Este adhesivo debe ser fotopolimerizado cuidando el ajuste de la prótesis.
¿Por qué utilizar la gama de cementos de 3M? Porque una buena cementación, es un trabajo bien hecho y un paciente satisfecho. Por eso 3M ha desarrollado estos productos, los cuales tienen excelente fuerza de adhesión y alto rendimiento: desde ionómeros de vidrio hasta resinas y postes de fibra de vidrio.
Protocolo de Cementado con Resina Autoadhesiva
El protocolo de cementado con resina autoadhesiva, es mucho más sencillo de realizar en comparación a otros materiales de cementación. Además te dejamos algunas recomendaciones a tener en cuenta durante el proceso.
- PASO 1: Microareno el interior de la restauración con óxido de aluminio tras la prueba (máx. 2 bar o 30 psi, tamaño partícula ≤40 µm). Si el laboratorio ha enviado la corona microarenada limpia con hipoclorito de sodio al 5% y luego con agua, para quitar la contaminación por saliva. La respuesta es no, si quisieras saltarte este paso, es completamente opcional.
- PASO 3: Retira el provisional, luego limpia mecánicamente el diente tallado. Para este paso utilice piedra pómez.
- PASO 7: aplica 1 segundo de luz con la lámpara para fotopolimerizar. Esto te permitirá dejar los excesos en forma de gel para poder retirarlos luego. Ten cuidado de no exceder el tiempo recomendado, ya que si se endurece demasiado el cemento, será más difícil quitarlo. Debes asegurarte de que el rango de emisión de luz y la longitud de onda de tu lámpara sea correcta, en el caso de materiales que solo fraguan únicamente por luz, por lo que debes utilizar una lámpara de calidad. Los procedimientos en ocasiones están perfectamente realizados y los fallos suelen ocurrir al final cuando polimerizamos.
- PASO 9: polimeriza 20 segundos de luz por cada cara o superficie. Si prefieres no usar luz, puedes esperar el proceso de fraguado, dejando pasar 6 minutos hasta el comienzo de la polimerización química.
Es importante resaltar que, si deseas conseguir la máxima fuerza de cementación sobre una corona de zirconio y una adhesión química auténtica, es necesario aplicar el Scotchbond Universal, soplar con aire para evaporar los solventes, que quede una capa fina y posteriormente, polimerizar.
Preparación para la Cementación
Para conocer bien cómo cementar carillas de porcelana, en primer lugar debemos llevar a cabo una buena preparación de las mismas. Una vez se tenga la carilla con el adhesivo, para prevenir la incidencia de la luz, se puede introducir en un espacio sometido a un filtro de luz.
En primer momento, es esencial hacer el aislamiento absoluto del diente con el dique de goma. A continuación, eliminamos los excesos y quitamos el hilo retractor para mejorar la visibilidad y el acceso del área subgingival.
Limpiar en profundidad los sustratos donde vamos a realizar la cementación. Control de la humedad: depende del cemento que vayamos a utilizar, prestando especial atención en los cementos de resina, debido a su exigencia con el control de la humedad. Para ello podemos utilizar una pasta de retracción astringente para poder tener surcos limpios y secos. El proceso de retracción es un 50% más rápido y evita riesgo de hemorragias.
tags: #protocolo #de #cementacion #de #carillas