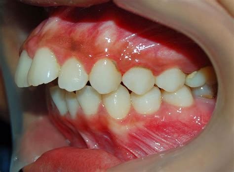
La protrusión dental es una maloclusión en la que los dientes frontales superiores se proyectan hacia adelante en comparación con los dientes inferiores. Esta condición puede afectar tanto la estética de la sonrisa como la funcionalidad de la mordida. Esta desalineación puede ser leve o severa, y puede influir en la apariencia facial, la capacidad para morder y masticar, y la salud bucodental en general.

La protrusión dental se conoce habitualmente como “dientes de conejo”. Esta patología, llamada también “dientes de conejo” se describe por un “abanicamiento” de los dientes incisivos superiores que no encajan correctamente con los inferiores, quedándose estos muy atrás. Esto provoca que el paciente no sea capaz de cerrar los labios por completo, ya que, los incisivos, posicionados tan hacia delante, lo impiden.
Causas de la Protrusión Dental
Existen varias razones por las cuales una persona puede tener los dientes salidos o la sonrisa de conejo. En la mayoría de los casos es consecuencia de una combinación de factores genéticos y hábitos adquiridos durante la infancia. A continuación, mencionamos las más frecuentes.

Factores Genéticos
La genética juega un papel fundamental en la estructura y alineación de los dientes. La causa más común por la que ocurre la protrusión dental es simplemente por herencia, cuando el paciente nace con una maloclusión del tipo II del hueso maxilar. Por cuestiones genéticas, el paciente nace con el hueso maxilar superior hacia fuera respecto al maxilar inferior y esto hace que los dientes, al cerrar la boca, no encajen correctamente. Es posible que la maloclusión II pueda hacer que los dientes se sobresalgan hasta un centímetro, no obstante, también es posible que la mandíbula esté un poco más hacia atrás.
Muchas alteraciones en la posición de los dientes o en la estructura ósea maxilar tienen un componente hereditario. Si uno o ambos padres presentan protrusión, hay más probabilidades de que los hijos también la desarrollen.
La deglución atípica, o la colocación inadecuada de la lengua en el momento de tragar, es otro factor genético que en algunas personas provoca protrusión dental. En este caso, la lengua presiona los dientes superiores y por ese motivo se terminan desplazando hacia delante.
Hábitos Infantiles
La segunda causa más frecuente es cuando los niños se chupan el dedo y hacen presión en la parte superior de la boca, empujando los dientes superiores hacia fuera. Con el tiempo, esta presión hace que los dientes del maxilar superior se muevan hacia delante. Otro hábito que puede provocar esta patología es morderse las uñas, puesto que, esta presión puede provocar que los dientes superiores se muevan hacia fuera.
La succión prolongada del dedo, el uso del chupete más allá de los 2 años o empujar la lengua contra los dientes pueden generar presión continua sobre los incisivos, provocando que se desplacen hacia adelante.
La succión labial es el hábito de morderse los labios con los dientes, normalmente superiores. Por ese motivo, se terminan empujando hacia afuera y en algunos casos, la persona termina con los dientes salidos.
Problemas Óseos
El desarrollo desproporcionado del hueso maxilar o mandibular puede causar protrusión, sobre todo cuando uno de los dos crece más de lo habitual. También puede deberse a un paladar estrecho que obliga a los dientes a buscar espacio desplazándose hacia fuera.
Pérdida Prematura de Dientes Temporales
Cuando los dientes de leche se pierden antes de tiempo y no se coloca un mantenedor de espacio, los dientes permanentes pueden erupcionar de forma desalineada, favoreciendo la aparición de protrusión.
Consecuencias de la Protrusión Dental
Tener los dientes de arriba más salidos, además de afectar a la autoestima y la confianza de la persona, tiene otros inconvenientes y puede causar problemas de salud.
- Problemas estéticos: La apariencia de la sonrisa puede estar afectada negativamente por la protrusión dental, ya que puede dar la impresión de una sonrisa desigual o prominente.
- Aparición de caries: La protrusión dental impide a los pacientes cerrar la boca correctamente y esto, además de afectar a su autoestima, también puede provocar otros problemas de salud de cierta gravedad. La aparición de las caries es la más habitual y ocurre porque si no cerramos la boca las bacterias entran.
- Inflamación de las encías: A causa de no cerrar la boca, también pueden inflamarse las encías.
- Mayor riesgo de traumatismos dentales: al sobresalir, los dientes son más vulnerables a golpes, sobre todo en la infancia o durante la práctica de deportes. Además, si vivimos con los dientes hacia fuera, es más probable que suframos golpes o fracturas.
- Problemas funcionales: puede dificultar la masticación, la deglución o el habla. Sin embargo, algo que nos puede afectar a diario y que pueda resultar una molestia constante es la masticación.
- Desgaste anormal de los dientes: Los dientes superiores que se extienden demasiado hacia adelante pueden sufrir un desgaste excesivo debido al contacto constante con los dientes inferiores.
- Tensión muscular y dolor: la mala oclusión puede generar sobrecarga en los músculos faciales y afectar a la articulación mandibular.
- Inseguridad o baja autoestima: la estética de la sonrisa es clave para la confianza personal, y una protrusión marcada puede generar complejos desde edades tempranas.
Tratamientos para Corregir la Protrusión Dental
👉Maloclusion dental - 𝙈𝙤𝙧𝙙𝙞𝙙𝙖 𝘾𝙡𝙖𝙨𝙚 𝙄𝙄 dental en Ortodoncia - que es y como corregirla
Afortunadamente, existen diversos tratamientos efectivos para corregir la protusión dental. La protrusión dental tiene, como casi todo, un tratamiento y es la ortodoncia. La buena noticia es que la protrusión tiene solución, y existen diferentes tratamientos que permiten devolver los dientes a su posición natural, mejorar la estética facial y optimizar la funcionalidad de la boca. La elección del tratamiento depende de la edad del paciente, la severidad de la protrusión y las causas subyacentes.

Ortodoncia Tradicional (Brackets)
La ortodoncia con brackets son el tratamiento más utilizado para corregir la protusión dental. Estos dispositivos aplican presión constante sobre los dientes para moverlos gradualmente a su posición correcta. La ortodoncia metálica es el tratamiento más recomendable, aunque es posible que la ortodoncia invisible también haga su función. En casos más complejos o cuando se requiere un mayor control del movimiento dental, los brackets pueden ser la mejor opción. Existen versiones metálicas, cerámicas o de zafiro, que se adaptan a las necesidades y preferencias del paciente.
Invisalign
Invisalign es una alternativa moderna a los brackets tradicionales. Consiste en una serie de alineadores transparentes y removibles que se cambian cada dos semanas. Los alineadores transparentes son una de las opciones más utilizadas para corregir la protrusión, especialmente en adolescentes y adultos. Este tratamiento permite mover los dientes de forma progresiva y controlada, con una estética muy discreta.
Expansores Palatinos
En casos donde la protusión es causada por una mandíbula superior estrecha, se puede utilizar un expansor palatino. Cuando la protrusión está relacionada con un paladar estrecho, es necesario crear espacio antes de mover los dientes. Los expansores ayudan a ensanchar el arco maxilar y facilitar el alineamiento posterior.
Cirugía Ortognática
En casos severos, especialmente en adultos, puede ser necesaria la cirugía ortognática. Este procedimiento quirúrgico reposiciona las mandíbulas para corregir la alineación dental y mejorar la mordida. En casos severos, especialmente si hay un componente óseo importante que no puede corregirse con ortodoncia sola, puede ser necesario combinar el tratamiento ortodóncico con cirugía ortognática. Esta intervención permite reposicionar el hueso maxilar o mandibular para lograr una correcta armonía facial y funcional.
Retenedores
Después de completar el tratamiento ortodóntico, es esencial usar retenedores para mantener los dientes en su nueva posición. Una vez se finaliza el tratamiento de ortodoncia para corregir los dientes salidos, es necesario usar retenedores, para asegurarnos que los dientes estarán en la posición después de terminar el tratamiento. Para esto, es necesario revisar y cambiar los retenedores cada 6 a 9 meses.
Corrección de Hábitos
En pacientes jóvenes, es fundamental corregir los hábitos que contribuyen a la protusión dental.
¿Cuándo Empezar el Tratamiento?
Lo ideal es detectar y tratar la protrusión durante la infancia o la adolescencia, ya que los huesos todavía están en desarrollo y la corrección suele ser más rápida y eficaz. Si realizamos este tratamiento desde jóvenes, mucho mejor, puesto que la boca aún no se ha desarrollado del todo y aún se puede influir en el crecimiento. Pero si la protrusión ocurre en adultos, también es posible corregirla. La primera visita de control de la oclusión debería hacerse a partir de los 6 años de edad, que es cuando comienzan a caerse los inferiores.
¿Se Puede Prevenir la Protrusión?
Es posible prevenir la protrusión dental si se abordan desde temprano los hábitos dañinos. Intervención temprana en hábitos infantiles, por ejemplo, eliminar el chupete antes de los tres años de edad. Si el hábito persiste, es necesario buscar estrategias para ayudar al niño a dejarlo. Lo mismo aplica para los pequeños que se chupan el pulgar. Asimismo, si el niño empuja los dientes con la lengua, puede ser necesaria la intervención de un profesional para que deje de hacerlo. Se puede recurrir a un terapeuta del habla o un ortodoncista para corregirlo. En caso de que el niño respire por la boca, hay que identificar y tratar la causa subyacente. Además, es importante visitar al dentista con regularidad. De esta manera se pueden aplicar los tratamientos a tiempo para guiar el crecimiento de la mandíbula y los dientes.
| Tratamiento | Descripción | Indicación |
|---|---|---|
| Ortodoncia con Brackets | Uso de brackets para aplicar presión constante sobre los dientes. | Corrección general de la alineación dental en protrusión leve a moderada. |
| Invisalign | Alineadores transparentes y removibles para mover los dientes gradualmente. | Alternativa estética a los brackets, ideal para adolescentes y adultos. |
| Expansores Palatinos | Dispositivos para ensanchar el arco maxilar. | Cuando la protrusión está relacionada con un paladar estrecho. |
| Cirugía Ortognática | Reposicionamiento quirúrgico de las mandíbulas. | Casos severos con componente óseo importante, en adultos. |
| Retenedores | Dispositivos para mantener los dientes en su nueva posición. | Uso post-tratamiento ortodóntico para asegurar la estabilidad. |
tags: #protrusion #dental #superior