La elección del material adecuado para tu prótesis dental es clave para garantizar su durabilidad y estética. En la elaboración de estos sustitutos dentales se utilizan diversos materiales que cumplen con requisitos específicos de durabilidad, resistencia y compatibilidad con los tejidos bucales. En el análisis de materiales para prótesis dentales, es crucial considerar las necesidades específicas de cada paciente, el tipo de restauración requerida y el presupuesto disponible.
Como hemos visto, cada uno posee características distintivas en términos de estética, durabilidad, biocompatibilidad y costo. La elección precisa depende de factores como la ubicación del diente a restaurar, la función esperada, las preferencias del paciente y consideraciones presupuestarias. En este contexto, el análisis meticuloso de las ventajas y consideraciones de cada material es esencial.
Para los pacientes, participar activamente en el proceso de elección del material dental es fundamental para lograr resultados satisfactorios y duraderos. Si llevas un estilo de vida activo, es posible que desees optar por materiales más resistentes y duraderos. La variedad de materiales disponibles también se adapta a diferentes presupuestos. La elección del material correcto no solo influye en la estética, sino también en la funcionalidad.
En este sentido es importante tener en cuenta cómo el material seleccionado afectará la estética general de tu sonrisa. En conclusión, la elección del material para tu prótesis dental es una cuestión de peso en tu viaje hacia una sonrisa saludable y atractiva. La cerámica y la porcelana ofrecen estética y durabilidad, mientras que las resinas y plásticos brindan versatilidad y comodidad. Consulta con tu odontólogo y toma decisiones informadas para garantizar una solución que se adapte perfectamente a tus necesidades individuales.
🔴 Prótesis Dental 𝗙𝗟𝗘𝗫𝗜𝗕𝗟𝗘 : 𝐕𝐞𝐧𝐭𝐚𝐣𝐚𝐬 𝐲 𝐃𝐞𝐬𝐯𝐞𝐧𝐭𝐚𝐣𝐚𝐬 (Valplast y Flexite) ¿Son una BUENA SOLUCION?
Materiales Comúnmente Utilizados en Prótesis Dentales
Porcelana
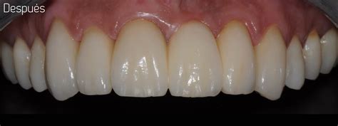
Utilizada para la fabricación de coronas y carillas dentales, es apreciada por su apariencia natural y su capacidad para imitar la translucidez de los dientes naturales. Proporciona una apariencia realista que se integra perfectamente con las piezas existentes, mejorando la confianza del paciente. Además, tienen resistencia al desgaste y capacidad para soportar manchas. Coronas, carillas y puentes dentales fabricados con cerámica y porcelana son capaces de soportar fuerzas masticatorias, garantizando una durabilidad sostenida a lo largo del tiempo.
La capacidad de estos materiales para imitar la apariencia natural de los dientes los convierte en opciones ideales para restauraciones dentales en las que prime la buena imagen ya que simulan de manera impresionante la luminosidad y el aspecto característico del esmalte dental.

Polimetilmetacrilato (PMMA)
Estas resinas son comúnmente utilizadas en la fabricación de prótesis removibles, como dentaduras completas o parciales, debido a su versatilidad y costo accesible. Además, este material se caracteriza por su ligereza, porque su fabricación es relativamente sencilla, permiten ajustes y reparaciones con facilidad y ofrecen un buen aislamiento térmico, lo que significa que son menos sensibles a los cambios de temperatura.
Estos se moldean fácilmente, lo que favorece la creación de prótesis dentales, carillas y aparatos ortodónticos de manera precisa y adaptativa. Además, su ligereza inherente contribuye significativamente a la comodidad del paciente. En prótesis removibles, como dentaduras y aparatos de ortodoncia, esta característica se traduce en una experiencia más llevadera para quienes las utilizan.
Fibra de Vidrio o Carbono
Estos materiales se incorporan a las resinas para mejorar la resistencia y la durabilidad de las prótesis, especialmente en aplicaciones parciales. Además de esta resistencia mejorada, la presencia de fibras en los polímeros mejora la durabilidad de estas piezas dentales, aportando una mayor capacidad para resistir el desgaste diario. Su aptitud para ser moldeados con detalle contribuye a la creación de prótesis más personalizadas y cómodas.
Óxido de Zirconio
El óxido de zirconio, apreciado por su durabilidad y cualidades estéticas, se ha convertido en un material destacado en la fabricación de coronas y puentes dentales. Entre sus ventajas más notables destacan su resistencia y durabilidad excepcionales. Esta característica la hace especialmente adecuada para coronas y puentes dentales, ya que puede soportar las fuerzas masticatorias diarias sin comprometer su integridad estructural. La durabilidad prolongada de la zirconia garantiza una solución dental confiable a largo plazo.
Destaca también por su capacidad para imitar la apariencia natural de los dientes. Su translucidez y capacidad para reflejar la luz se asemejan de cerca al esmalte dental, lo que resulta en una estética excepcionalmente natural. Esta característica es esencial en la fabricación de coronas y puentes, ya que asegura resultados estéticamente agradables que se integran armoniosamente con la sonrisa del paciente. Es un material biocompatible, lo que significa que es bien tolerado por los tejidos bucales y presenta menos riesgos de provocar alergias o irritaciones.
Otros Materiales
- Aleaciones de cromo-cobalto y titanio: Utilizadas por su resistencia y biocompatibilidad en estructuras de prótesis.
Consideraciones Adicionales
La elección del material adecuado en odontología es una decisión importante que influye directamente en el éxito y la durabilidad de las intervenciones dentales. Los profesionales deben evaluar no solo la funcionalidad y durabilidad, sino también la capacidad del material para integrarse armoniosamente en la estética bucal del paciente.
A la hora de elegir el material para tu prótesis dental, es esencial tener en cuenta factores como la durabilidad, estética, comodidad y adaptabilidad a tus necesidades específicas.

Proceso de Fabricación de una Prótesis Dental
La fabricación de una prótesis dental a medida requiere de un proceso meticuloso para garantizar un resultado estético y funcional óptimo.
- Examen clínico
- Toma de impresiones: Se utilizan materiales especiales para obtener moldes precisos de los dientes y encías del paciente.
- Radiografías
- Escáner intraoral: Esta tecnología permite obtener imágenes digitales de alta precisión de la boca del paciente, eliminando la necesidad de utilizar materiales de impresión tradicionales.
- Diseño digital
- Prueba de cera
- Ajuste y entrega: Si el paciente está satisfecho con la prueba de cera, se procede a la fabricación de la prótesis definitiva en el material seleccionado.
Cada boca es única, con características anatómicas y funcionales particulares.
Prótesis dentales sin ganchos ni paladar
Las prótesis dentales sin ganchos ni paladar son dentaduras postizas diseñadas para ser lo más discretas y confortables posible. A diferencia de las dentaduras removibles clásicas, no llevan ganchos metálicos visibles para sujetarse a los dientes remanentes, ni cubren el paladar con una base acrílica gruesa.
Elegir una prótesis sin ganchos ni paladar conlleva múltiples ventajas estéticas y funcionales respecto a una dentadura tradicional. Son prácticamente invisibles al sonreír: La mejora estética es la ventaja más obvia. Al no tener ganchos metálicos, nadie notará que llevas una prótesis removible. Los materiales flexibles de color rosa encía imitan el tejido de las encías, y los dientes protésicos se integran con tu sonrisa de forma muy natural.
Al no usar armazón metálico rígido ni cubierta palatina amplia, suelen resultar más cómodas. No hay ganchos que rocen o irriten las encías y mejillas, lo que reduce significativamente la posibilidad de úlceras o llagas. Muchos pacientes se adaptan más rápido a estas prótesis ligeras, pues la sensación en boca es más natural (sin un “plástico” ocupando todo el paladar). Las prótesis sin ganchos no apoyan sujeciones metálicas en los dientes remanentes, por lo que no ejercen fuerzas directas que puedan desgastarlos o aflojarlos con el tiempo.
Aunque no tengan ganchos tradicionales, estas prótesis se mantienen en su lugar mediante otros métodos efectivos. Las bases de resina flexible se abrazan a las encías creando un efecto de succión o fricción bastante seguro. En casos de tener todavía algunos dientes, se pueden usar conectores estéticos o attachments especiales (por ejemplo, pequeñas piezas insertadas en coronas o implantes que encajan con la dentadura) que actúan como anclajes invisibles. Incluso existen prótesis con imanes que se fijan a contrapartes metálicas colocadas en raíces o implantes.
Las estructuras flexibles suelen estar hechas de resinas termoplásticas como la poliamida (nylon) sin metal, ideales para pacientes alérgicos al cromo-cobalto o al acrílico monómero de las dentaduras tradicionales. ¡Olvídate del pánico si se te cae la dentadura al lavabo! Las prótesis flexibles no son quebradizas; su material tiene cierta elasticidad que las hace mucho menos propensas a romperse ante impactos.
Al no llevar componentes metálicos y tener bases más delgadas, el peso en boca es menor. Muchos pacientes describen que la dentadura flexible “se siente parte de la boca” y notan menos un cuerpo extraño. Además, en el caso de una prótesis superior sin paladar, el hecho de liberar el paladar permite recuperar la sensibilidad al calor, al frío y a los sabores de los alimentos.
Todo lo anterior redunda en que el paciente se siente más seguro al usar la prótesis. La autoestima mejora al poder sonreír, hablar y comer sin miedo a que se note la dentadura. Al recuperar la estética de la sonrisa de forma discreta y cómoda, muchas personas me cuentan que vuelven a reír espontáneamente en público sin taparse la boca.
Siempre destaco a mis pacientes que cada caso es distinto. Estas ventajas se cumplen cuando la prótesis está bien diseñada para la anatomía de la boca y se utiliza correctamente. Una prótesis mal ajustada (sea del tipo que sea) no será cómoda ni estable.
Aunque cuentan con buena retención, pueden moverse más que las prótesis con ganchos metálicos tradicionales en situaciones exigentes. Por ejemplo, al morder alimentos muy duros o pegajosos, es posible que la dentadura flexible se desplace un poco si no está perfectamente ajustada. Algunos pacientes sienten que la sujeción es más “floja” comparada con las prótesis rígidas con estructura metálica. Al igual que las dentaduras removibles convencionales, las prótesis sin ganchos apoyadas solo en encía no evitan que el hueso maxilar o mandibular siga reduciéndose con el tiempo.
Si bien el material flexible resiste caídas, tiende a sufrir desgaste y pigmentación con los años. Las resinas de nylon pueden ir oscureciéndose o tomando color por alimentos, café, tabaco, etc. con más facilidad que una base acrílica rígida. Cuando eso ocurre, no basta con pulir: habrá que hacer una prótesis nueva. Asimismo, no es sencillo repararlas o añadir dientes en caso de fractura o si se pierde otra pieza dental.