Las encías retraídas son un problema más frecuente de lo que a veces pensamos. Si estás en esta situación, seguramente leyendo este artículo te hayas podido identificar con alguno de los casos expuestos arriba. Tanto si deseas iniciar un tratamiento como si deseas solicitar información, estás en el lugar adecuado. En este artículo, exploraremos en detalle qué son las encías retraídas, sus causas, síntomas y las opciones de tratamiento disponibles.
👉 𝗘𝗡𝗖𝗜𝗔𝗦 𝗥𝗘𝗧𝗥𝗔𝗜𝗗𝗔𝗦 Solución DEFINITIVA ,¡FIN a la 𝗥𝗘𝗧𝗥𝗔𝗖𝗖𝗜𝗢𝗡 𝗚𝗜𝗡𝗚𝗜𝗩𝗔𝗟 Causas y Tratamiento!
¿Qué son las Encías Retraídas?
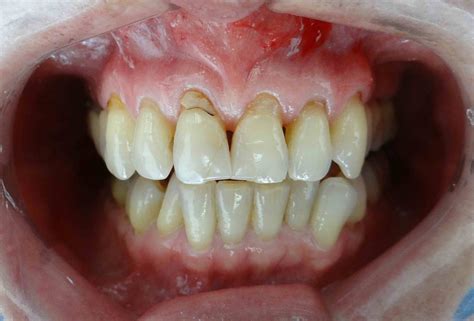
La retracción de las encías es una enfermedad periodontal en la que el tejido gingival que rodea al diente se desliza hacia arriba, dejando expuesta la raíz del diente. Las encías retraídas, también conocidas como recesión gingival, ocurren cuando el tejido que rodea los dientes se retira, revelando una mayor parte de la raíz del diente. Puede ocurrir en uno o en varios dientes a la vez.
Al retraerse el tejido, las encías lucen separadas de los dientes y se pueden formar bolsas en las que se acumula placa dental. Además, las piezas dentales lucen más alargadas, lo que afecta la sonrisa del paciente. Pero las consecuencias de las encías retraídas van más allá de la estética, ya que también pone en riesgo la salud dental en general.
Por ejemplo, aumenta la acumulación de placa, hay mayor sensibilidad dental y, en casos más graves, la pérdida de piezas dentales. Las encías retraídas no solo pueden ser una preocupación estética, sino que también indican posibles problemas de salud bucal que deben ser tratados con seriedad.

¿Cómo afecta la retracción gingival a la salud bucal?
Cuando las encías se retraen, las raíces de los dientes quedan expuestas, lo que las hace más susceptibles a la caries y a la sensibilidad. Si no se trata a tiempo también puede derivar en la pérdida de dientes. La falta de encías puede comprometer la estructura ósea y agrava los problemas dentales existentes.
Síntomas de las Encías Retraídas
Mientras nos cepillamos los dientes es posible ver algunas señales que nos alertan sobre un posible problema en las encías. Si se ven rojas e inflamadas, o sangran es probable que se trate de retracción de encías. También puede ocurrir que los dientes parezcan flojos. Otros síntomas comunes de esta condición son los siguientes:
- Sensibilidad dental: La exposición de las raíces dentales debido a las encías retraídas puede llevar a una mayor sensibilidad dental. Los pacientes pueden experimentar molestias al consumir alimentos o bebidas calientes, fríos o dulces.
- Dientes alargados: Uno de los signos visuales más evidentes de las encías retraídas es la apariencia de dientes alargados. La retracción del tejido gingival revela más parte de la superficie dental, afectando la estética de la sonrisa.
- Sangrado de encías: Las encías retraídas a menudo van de la mano con la inflamación y el sangrado de las encías.
- Movilidad dental: A medida que las encías pierden su soporte estructural, los dientes pueden volverse más móviles. La movilidad dental es un síntoma grave de encías retraídas y puede llevar a la pérdida de dientes si no se aborda de manera oportuna.
- Mal aliento persistente: La exposición de las raíces dentales y la acumulación de bacterias en las bolsas periodontales pueden contribuir a un mal aliento persistente.

Causas de la Retracción de las Encías
Pero, ¿por qué se retraen las encías?, ¿a qué se debe la retracción de encías? Existen diversos factores que pueden dar origen al desplazamiento de la encía. Las enfermedades de las encías como la gingivitis y la periodontitis son causas primarias de la retracción gingival. Tener una mala higiene bucal, las enfermedades periodontales, el cepillado agresivo y hábitos como el bruxismo son algunos de ellos.
A continuación, se detallan algunas de las causas más comunes:
- Enfermedad periodontal: La enfermedad periodontal, también conocida como gingivitis o periodontitis, es una de las principales causas de encías retraídas. Las infecciones bacterianas que afectan las encías y los tejidos circundantes pueden debilitar la estructura de soporte dental, llevando a la retracción de las encías.
- Cepillado incorrecto: Un hábito de cepillado dental incorrecto o demasiado vigoroso puede desgastar el tejido gingival, contribuyendo a la retracción de las encías.
- Factores genéticos: Algunas personas están genéticamente predispuestas a tener encías sensibles y a sufrir retracción gingival. Esto significa que, aunque mantengan una buena higiene bucal y cuiden su salud dental, podrían desarrollar problemas en las encías debido a factores genéticos.
- Factores hormonales: Cambios hormonales, como los experimentados durante el embarazo, la menopausia o la pubertad, pueden afectar la salud de las encías. Estos cambios hormonales pueden hacer que las encías sean más propensas a la retracción y a la inflamación.

Tratamientos para las Encías Retraídas
Ahora que ya conoces en qué casos se pueden recuperar las encías retraídas, responderemos a las preguntas: ¿Cómo solucionar la retracción de encías? ¿Cómo curar las encías retraídas? No obstante, hay que tener en cuenta que antes de pautar un tratamiento de regeneración de encías es necesario tratar el problema periodontal de origen, ya sea mediante la realización de una férula de descarga para el bruxismo, el tratamiento de la periodontitis, o bien, la educación sobre las adecuadas técnicas de cepillado.
Entre las soluciones para encías retraídas encontramos algunos tratamientos no quirúrgicos. Elegir el más adecuado, dependerá de la causa y la gravedad del problema. Y gracias a los avances en odontología, esta retracción puede tratarse. Es importante abordar este problema a tiempo para prevenir complicaciones a largo plazo.
A continuación, se describen los tratamientos más comunes:
- Limpieza profesional: La limpieza permite eliminar la placa y el sarro que contribuyen a la enfermedad periodontal y así prevenir que la retracción gingival avance.
- Raspado y alisado radicular: Esto implica la eliminación de las bacterias y la infección debajo de la línea de las encías. El raspado y alisado radicular suaviza las superficies de las raíces y reduce la inflamación. Consulta más sobre nuestro tratamiento de Raspado y alisado radicular, también conocido como Curetaje Dental, donde conseguimos eliminar el sarro y las bacterias acumuladas bajo las encías, alrededor de las raíces de los dientes.
- Injerto de encía: Un injerto de encía (o cirugía mucogingival) es un trasplante de tejido conectivo de una zona donde hay mucho (paladar) a una zona donde no hay o hay muy poco tejido (encías retraídas). Cuando la retracción de las encías es severa, se puede considerar la cirugía de injerto de encía. Este procedimiento implica tomar tejido del paladar y trasplantarlo a la zona afectada. De esta manera se cubren las raíces que habían quedado expuestas y se reduce la sensibilidad dental.
- Mediante esta técnica, es posible revestir la ‘raíz’ del diente que ha quedado excesivamente expuesta. En este caso es necesario tomar una parte de tejido blando donate (generalmente procedente del paladar) para reparar la zona receptora.

Prevención de las Encías Retraídas
La prevención es fundamental para mantener la salud de las encías. Para ello, lo principal es tener buenas prácticas de higiene y los controles regulares con el dentista. Antes de tratar las encías retraídas, la mejor alternativa será siempre prevenir el desarrollo de esta condición.
Algunas recomendaciones incluyen:
- Técnicas de cepillado correctas: Opta por un cepillo con cerdas suaves para reducir la irritación en las encías. Haz movimientos suaves, circulares y cortos con el cepillo.
- Uso del hilo dental: Usa hilo dental diariamente para eliminar la placa y los restos de alimentos entre los dientes.
- Enjuague bucal: Incorpora un enjuague bucal antimicrobiano en tu rutina para reducir la cantidad de bacterias en la boca.
- Dieta saludable: Consume una dieta equilibrada y rica en nutrientes, especialmente alimentos que fortalezcan los huesos y las encías, como productos lácteos, frutas y verduras.
- Evitar el tabaco: El tabaco es un factor de riesgo conocido para las enfermedades de las encías.
- Consultas periódicas: Programa revisiones regulares para evaluaciones profesionales y limpiezas dentales.