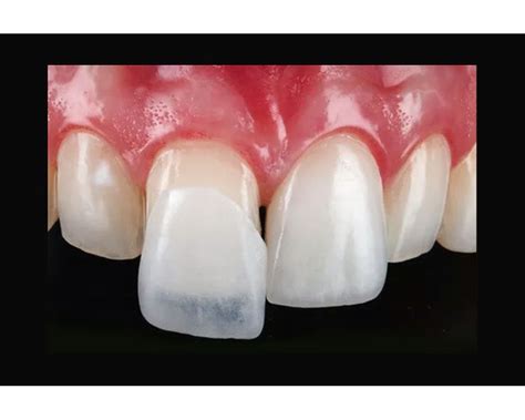
Las carillas dentales son un tratamiento pensado para durar mucho tiempo, permitiendo cambiar la forma, el color y la posición de tus dientes para conseguir una sonrisa perfecta. Las carillas son finas láminas confeccionadas en cerámica o composite que se adhieren a los dientes naturales. Existen diferentes tipos de carillas, cada una con sus propias características y cuidados específicos.

Tipos de Carillas Dentales
Hay varios tipos de carillas, cada uno con sus propias ventajas y desventajas:
- Carillas de Disilicato de Litio: Son mínimamente invasivas, las más duraderas y estéticas.
- Carillas de Composite: Son más económicas y no requieren tallado dental; sin embargo, su duración estimada es menor (hasta cinco años aproximadamente). Además, con el paso del tiempo, se pigmentan y desgastan.
- Carillas sin Tallado: Técnica mínimamente invasiva que se coloca sin necesidad de desgastar el diente, manteniendo su forma natural.
En cualquier caso, la duración de las carillas depende tanto del material como de los cuidados mantenidos por el paciente.
Pulido de Carillas de Composite
El pulido de las carillas de composite se realiza con un instrumental específico, como son los discos Soflex. Estos son una gama de discos que se utilizan pasando del más grueso al más fino, y hay que utilizarlos con cuidado para conservar la anatomía del diente.

Ventajas de las Carillas Dentales sin Tallado
Las carillas dentales sin tallado suponen una técnica mínimamente invasiva en las que, a diferencia de la técnica habitual, por norma general se colocan sin necesidad de desgastar el diente manteniendo su forma natural. A continuación, se presentan algunas ventajas:
- Preservación de la estructura dental saludable.
- Procedimientos poco invasivos para su colocación.
- Resultados inmediatos.
- No comprometen en absoluto al diente natural.
- Técnica reversible y no dolorosa.
Con las carillas dentales sin tallado podemos conseguir modificar la forma, la longitud, ligeramente el color y cerrar espacios entre dientes. Para poder llevar a cabo este tratamiento es importante realizar un diagnóstico previo para ver si es el tratamiento adecuado para el paciente.
Usos de las Carillas Dentales sin Tallado
- Blanquear dientes manchados por sustancias como el tabaco o el café.
- Alinear dientes torcidos o hundidos.
- Alargar dientes cortos.
- Cerrar pequeños espacios entre los dientes, lo que se conoce como diastemas.
- Arreglar dientes fracturados.
- Solucionar los problemas de abrasión dental.
- Ayudar a las personas con problemas de bruxismo.
Cuidados Esenciales para tus Carillas Dentales
Es importante tener un buen mantenimiento de las carillas dentales, para que mantengan el color y el brillo del primer día. Aquí te damos algunos consejos clave:
- Higiene Bucal: Al igual que ocurre con los dientes naturales, cuando se llevan carillas hay que cepillarse después de cada comida.
- Técnica de Cepillado: Ten cuidado de no utilizar una técnica circular, ya que está desaconsejada para los pacientes que llevan carillas.
- Limitación de Alimentos y Bebidas que Manchan: Para conservar el color y el brillo durante más tiempo, es recomendable limitar el consumo de los principales alimentos y bebidas que manchan los dientes, como el café, el té, infusiones, vino, zumos y refrescos oscuros.
- Evitar Alimentos Duros o Pegajosos: Otro de los cuidados que debes tener muy en cuenta es el de restringir el consumo de alimentos muy duros o pegajosos, ya que pueden hacer que las carillas se rompan o astillen.
- Evitar Hábitos Nocivos: No morderse las uñas ni usar los dientes como herramientas, ya que este hábito tan común puede fracturar las carillas dentales o hacer que se despeguen.
- No Fumar: Al igual que ocurre con los alimentos, el tabaco acaba dando a las carillas un antiestético tono marrón o amarillento.
- Limpiezas Profesionales: Lo más habitual es que las limpiezas sean realizadas una vez al año.
Después del tratamiento con carillas dentales, nuestras encías pueden reaccionar inicialmente presentando hinchazón y sangrado. Los impactos fuertes así como morder productos o alimentos duros afectan de manera seria a las carillas dentales ya que no están diseñadas para aguantar ciertas presiones.
Si la carilla de porcelana se rompe, habrá que rehacerse de nuevo.
Consejos para cuidar tus carillas dentales | Clínica dental Avodent
Muchos pacientes nos preguntan si es posible realizar un blanqueamiento dental como un tratamiento de estética dental complementario.

Carillas de Porcelana de Alta Estética
En una primera visita se rebaja la superficie externa del diente 0,3 mm a través un ligero limado, que se lleva a cabo mediante anestesia local y dejando siempre el tallado en el esmalte. En aproximadamente dos semanas, en una segunda visita, se procede a la colocación de las carillas de porcelana definitivas, fabricadas a medida para cada paciente.
Precio de las Carillas Dentales sin Tallado
El precio de las carillas dentales sin tallado depende del número de carillas que quieras realizarte, del material con el que están fabricadas y de si se complementa con otros tratamientos. En España el precio varía entre 550 y 950 euros de porcelana de composite será algo más barato y depende en mayor medida de la calidad del técnico de laboratorio que las realiza.
| Material | Precio (por carilla) |
|---|---|
| Porcelana | 550 - 950 € |
| Composite | Más barato (depende de la calidad) |
El precio de las carillas de Porcelana es de 550€ por carilla, aunque cuando el paciente necesita varias unidades, aplicamos un descuento. La primera visita y el estudio de diagnóstico son gratis.