El pulido dental después de la ortodoncia es un paso crucial para asegurar una sonrisa saludable y estéticamente agradable. Una técnica común utilizada durante el tratamiento ortodóntico es el stripping dental, también conocido como limado de dientes o reducción interproximal del esmalte (IPR). Este procedimiento consiste en reducir mínimamente el tamaño de los dientes para crear espacio y facilitar la alineación dental.

¿Qué es el Stripping Dental?
El stripping dental es una técnica utilizada principalmente en ortodoncia para aumentar el espacio entre los dientes y facilitar su alineación. Con este procedimiento, se reduce la pieza dental entre 0,2 y 0,5 milímetros. El stripping puede ser manual o mecánico.
El stripping dental, también conocido como limado de dientes, es un procedimiento que consiste en reducir el tamaño del diente para ganar un mínimo de espacio durante el tratamiento de ortodoncia. No en todos los casos se utiliza este método, sino que solo los pacientes que sufren un grado de apiñamiento dental moderado son candidatos, ya que aplicando este tratamiento se encuentra el espacio necesario para iniciar la alineación de todos los dientes con la ortodoncia.
Es una técnica muy común en ortodoncia que se basa en la reducción interproximal del esmalte de los dientes.
Tipos de Stripping Dental
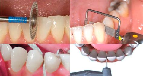
- Stripping Manual: Se trata de unas tiras de limado las cuales se manipulan manualmente. Se utilizan en casos en los que solamente necesitamos romper el punto de contacto entre los dientes sin necesidad de conseguir mucha reducción. Es el método más sencillo que existe.
- Stripping Mecánico: El mecanismo de acción es el mismo que el de las tiras, pero en este caso, las limas están activadas mecánicamente con un contra-ángulo, lo que hace que la técnica sea más delicada.
- Con fresas: Son el método con el que más espacio se puede conseguir.
¿Para qué se Utiliza el Stripping en los Dientes?
La reducción de esmalte interproximal o IPR tiene diferentes funciones dentro de la ortodoncia:
- Ampliación de la arcada: La función principal de la técnica de stripping en ortodoncia es ganar espacio dentro de las arcadas dentales. En casos en los que se requiere un espacio mínimo para posicionar correctamente un diente que se encuentra fuera de la línea dental, es cuando se usa el stripping dental. Para los pacientes que sufren de apiñamiento dental medio es una buena opción para encontrar el espacio necesario sin tener que deshacerse de alguna pieza dental.
- Protrusión de los incisivos: El IPR también es usado para reducir la protrusión de los incisivos, que es cuando los incisivos superiores, al cerrar la mandíbula, encajan por delante de los incisivos inferiores. La opción más recomendable es reducir el tamaño de los incisivos laterales superiores cuando se presenta una desproporción con los incisivos laterales inferiores con la técnica de stripping dental. Esta afección dental se conoce también como el problema en el índice de Bolton.
- Extracción de piezas dentales: Por último, el stripping dental se usa para evitar la extracción y pérdida de piezas dentales, ya que es otra forma usada para ganar el espacio necesario para alinear los dientes. Con reducir el tamaño de los dientes al menos unos 0,25 milímetros el ortodoncista puede ganar el espacio necesario para que la arcada se mueva hasta posicionar la pieza dental que se encuentra fuera de ella. La extracción de piezas dentales se usan en casos de ortodoncia más complejos con apiñamientos dentales bastante severos.
- Otros usos: Reducción de espacios negros entre los dientes, conocidos como troneras.
- Mejorar la forma de algunos dientes: Por ejemplo, premolares muy redondos o incisivos muy triangulares que crean espacios negros entre el punto de contacto y la papila dental. En esos casos, al aplanar la anatomía del incisivo y hacerlo más rectangular, conseguimos que el punto de contacto se sitúe más a gingival de forma que la papila pueda rellenar el espacio negro.
- Armonización de los tamaños de los dientes: Para que los dientes encajen correctamente entre ellos, el tamaño de los dientes superiores debe de estar en proporción con los inferiores.

¿Cuándo se Realiza el Stripping?
La reducción de esmalte interproximal se realiza en determinados dientes con el objetivo de tener un resultado estético armónico, además de ser un método menos invasivo para el paciente, aunque todo irá de acuerdo al estado o las características de su dentadura.
En resumen, la reducción interproximal se realiza cuando:
- Se presenta la discrepancia de Bolton, que es cuando el incisivo superior se posiciona fuera del incisivo inferior.
- Se quiere simular el desgaste fisiológico de los dientes.
- Se presenta alguna deformidad esquelética.
- Se quiere obtener espacio para posicionar los dientes dentro de la línea dental estética.
- No hay bastante espacio en una o ambas arcadas para que todas las piezas dentales quepan en ellas correctamente alineadas, por lo que se apiñan.
¿Para Quién es Aconsejable Este Tratamiento?
El uso del stripping dental o IPR es solo recomendado y aplicado para pacientes que requieren ganar un mínimo de espacio en la estructura dental. Por ejemplo, los pacientes con apiñamiento moderado pueden resolver el problema de espacio con el stripping dental, ya que se presenta como una solución más sencilla y práctica que la extracción.
Es un tratamiento muy habitual en pacientes adultos que llevan ortodoncia, independiente del tipo, con un apiñamiento dental medio.
Stripping Dental: Desventajas y Consecuencias
En términos generales, el tratamiento de stripping dental no conlleva ningún problema para el paciente, siempre y cuando el tratamiento lo aplique un profesional cualificado. El proceso suele ser muy conservador y eficiente para resolver los problemas de espacio que pueden tener los pacientes con apiñamiento dental medio.
Sin embargo, si se acude a un dentista u ortodoncista que no tenga los conocimientos necesarios para aplicar el stripping dental y haga una eliminación excesiva del esmalte, el paciente puede tener problemas futuros. Evítalos acudiendo a un especialista con experiencia en el procedimiento de stripping.
Una de las consecuencias del stripping dental es el aumento de la sensibilidad en los dientes expuestos al tratamiento de reducción. Los pacientes también podrían sufrir la pérdida de capas sanas o eliminación de estructura dental durante la búsqueda del espacio para la reposición de los dientes.
Limar Dientes Antes y Después
Antes de realizar un tratamiento de stripping dental para ortodoncia es necesario que el especialista tome algunas consideraciones y realice una serie de evaluaciones para conocer el estado de cada diente en particular, ya que no todos los dientes cuentan con la misma cantidad de esmalte. Después de realizar el stripping dental, el especialista debe pulir las áreas rugosas para evitar la acumulación de caries.
Se debe tener en cuenta que después del tratamiento de stripping los dientes pueden aumentar su sensibilidad a los cambios de temperatura, es por ello que los dentistas recomiendan pastas dentales especiales y no consumir bebidas frías para evitar molestias.
Te explico que es un Stripping Dental en menos de 1 minuto
Cuidados Posteriores al Stripping Dental
- Después de la realización del stripping es fundamental pulir las superficies para que la zona no acumule mayor cantidad de placa.
- Aplicar un barniz de flúor que ayuda a la remineralización del esmalte.
- Evita todas las bebidas durante 30 minutos.
- Evita comer durante 1 hora.
- Evita productos con lactosa durante 6 horas para permitir que el tratamiento de flúor haga efecto.
- Pasta de flúor: tu dentista te recetará una pasta con flúor para usar durante dos semanas.
- Utiliza pastas dentales con flúor y evita comidas y bebidas frías.
¿El Stripping Dental Duele?
No hay dolor asociado con el tratamiento de IPR. Al limar los dientes, solo se elimina una capa muy delgada del esmalte dental, por lo que algunas personas lo sienten como un pulido dental normal. Otras no sienten nada en absoluto.
El procedimiento de limar dientes para igualarlos es totalmente indoloro y no requiere de anestesia previa para llevarlo a cabo. La cantidad de material dentario que se reduce no suele superar los 0,5mm entre diente y diente, lo que hace que se limite solamente a esmalte. No obstante, la sensación mientras se está llevando a cabo puede ser algo incómoda.
Procedimiento de IPR
Antes de realizar el stripping interdental tu dentista evaluará cuidadosamente tus dientes para asegurarse de que están lo suficientemente sanos. Una cita para una IPR dental dura un máximo de 30 minutos y suele ser generalmente indolora. Este es el procedimiento:
- Preparación: Si lo deseas, te aplicarán un anestésico local al inicio del tratamiento.
- Limado de dientes: Las superficies de contacto de los dientes se limpian usando tiras delgadas recubiertas de diamante, reduciendo el espacio entre ellos. Típicamente, se pule entre 0.2 y 0.6 mm de esmalte.
- Aplicación de flúor: Después del stripping interdental, tu dentista pulirá tus dientes y aplicará un tratamiento de flúor.

Stripping Dental: Antes y Después
Aunque algunos pacientes pueden no notar ninguna diferencia visible justo después del procedimiento, otros pueden llegar a ver pequeños espacios entre sus dientes. Ten la seguridad de que esto es solo temporal.
A medida que tu tratamiento progrese, tus dientes se moverán a sus posiciones deseadas y estos espacios se cerrarán al final de tu tratamiento.
| Ventajas del Stripping Dental | Desventajas del Stripping Dental |
|---|---|
|
|
tags: #pulir #dientes #despues #de #ortodoncia