En Dental Care Barcelona, sabemos que una sonrisa saludable es fundamental para tu bienestar y confianza. Las carillas dentales permiten solucionar las pequeñas imperfecciones que afectan al color, la forma, el tamaño y la posición de tus dientes. Sonrisa más saludable, juvenil y armónica. Si estás pensando en transformar tu sonrisa con carillas pero te sientes perdido entre «composite» y «porcelana», sigue leyendo.

¿Qué son las carillas dentales?
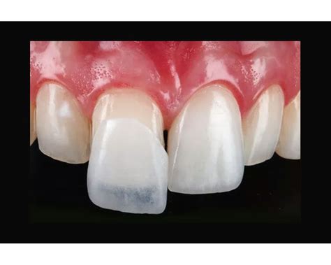
Las carillas dentales son unas finas láminas que se adhieren a la superficie frontal (visible) de los dientes con el objetivo de mejorar su apariencia. Estas láminas pueden estar hechas de diferentes materiales, como la porcelana, el composite o el disilicato de litio, y se diseñan a medida de cada paciente.
¿Para qué sirven las carillas dentales?
Las carillas dentales sirven para corregir pequeños defectos que afectan al color, el tamaño, la forma o la posición de los dientes. Entre las imperfecciones que pueden solucionar podemos destacar las siguientes:
- Dientes amarillos o con manchas
- Desgastes en el esmalte
- Diastemas (espacios entre los dientes)
- Leves malposiciones dentales
- Fisuras o fracturas
En cualquiera de los casos anteriores es necesario que el odontólogo realice una valoración del paciente para determinar si las alteraciones de sus dientes pueden ser corregidas con carillas.
¿Cuándo es recomendable ponerse carillas en los dientes?
A continuación, te detallamos los casos concretos en los que puede resultar recomendable ponerse carillas para mejorar la apariencia de la sonrisa:
- Dientes amarillos o con manchas: las carillas se pueden utilizar en pacientes que presentan dientes amarillos, decolorados o con manchas. Esto puede deberse a distintas circunstancias (alimentación, tabaco, envejecimiento, fluorosis, consumo de tetraciclinas…).
- Resistencia al blanqueamiento dental: las carillas son un excelente complemento al blanqueamiento. Cuando las tinciones son muy severas, el blanqueamiento puede no ser capaz de eliminarlas por completo. Por tanto, en muchos casos resulta recomendable ponerse carillas en los dientes después del blanqueamiento.
- Dientes desalineados: las carillas también pueden ofrecer un buen resultado estético a los pacientes que tienen ligeras malposiciones dentales, ya que en ocasiones permiten disimularlas. Eso sí, hay que tener en cuenta que para corregir la mayoría de las maloclusiones dentales es necesario recurrir a la ortodoncia.
- Dientes con formas o tamaños irregulares: las carillas se utilizan para corregir pequeños defectos que afectan a la forma de los dientes. Por ejemplo: unos caninos (colmillos) demasiado puntiagudos, un diente más pequeño de lo normal, etc.
- Diastemas: las carillas también están recomendadas para disimular los diastemas o espacios entre los dientes.
- Dientes desgastados: las carillas se pueden colocar en dientes que presentan desgastes en el esmalte. Esto puede tener su origen en una mordida inadecuada o en el bruxismo. Sin embargo, en estos casos suele ser necesario utilizar ortodoncia o colocar una férula de descarga previamente, dependiendo del caso. De no hacerlo, los desgastes volverán a aparecer.
- Dientes fisurados o fracturados: las carillas también pueden estar indicadas en determinados casos de fisuras o fracturas leves en los dientes.
¿Qué tipo de carillas dentales es mejor para ti: porcelana o composite? - Clínica Ruiz de Gopegui
Tipos de carillas dentales
Existen diferentes tipos de carillas dentales en función del material y la técnica empleados en su confección. Cada una de ellas tiene sus ventajas, y la elección dependerá del caso concreto y las necesidades del paciente.
Carillas de composite
Estas carillas están confeccionadas con composite, un tipo de resina que cuenta con tres cualidades: se adhiere al diente, es moldeable y permite imitar una infinidad de tonos. El composite es una pasta facilmente moldeable que se aplica directamente sobre tu diente y despues se le aplica una luz azul que endurece (polimeriza) el material manteniendo sus cualidades de color y translucidez. Si has tenido una caries, ya sabes lo que es el composite! esta resina compuesta es exactamente el mismo material que se usa para los empastes o restauraciones que vuelven a dar forma a tus dientes despues de una caries.
Las principales ventajas de las carillas de composite son su proceso de colocación sencillo, que no requieren tallar los dientes y su precio. El composite se aplica directamente sobre el diente, normalmente en una única sesión. Son más económicas que las carillas de porcelana o disilicato de litio, pero también suelen durar menos tiempo.
Carillas de porcelana
Las carillas de porcelana representan el estándar dorado en estética dental. Las carillas de porcelana son ampliamente reconocidas por su capacidad para imitar el aspecto natural de los dientes. Su durabilidad y resistencia a las manchas las convierten en una opción popular para aquellos que buscan resultados a largo plazo. Son las que más calidad y duración ofrecen. Es por ello que es el material que cuenta con más demanda en nuestra clínica dental.
El proceso de colocación requiere varias visitas. En la primera cita, se realiza un tallado mínimo del diente para crear espacio para la carilla. Posteriormente, se toman impresiones precisas que se envían al laboratorio, donde técnicos especializados crearán tus carillas a medida.
Las carillas de porcelana pueden durar con buenos cuidados de 10 a 15 anos. higiene diaria correcta, minimo 2 min. Las carillas de porcelana son una finas laminas que se adhieren sobre tu diente pulido o minimamente rebajado de su forma original.
Carillas mínimamente invasivas (Disilicato de Litio)
Estas carillas están fabricadas con disilicato de litio, un material que se caracteriza por su alta calidad, resistencia y naturalidad. Con este tipo de carillas dentales cerámicas los tiempos de tratamiento se reducen por lo general a la mitad y se colocan en tan solo 2 citas. Una primera cita de estudio y posteriormente la cita de colocación, eliminando la necesidad de colocar carillas provisionales temporales. Primero se realiza un mockup digital 3D y con el software específico First-Fit se diseña el tratamiento íntegramente.
El principal beneficio de las carillas de mínima invasión es que su proceso de planificación, diseño y fabricación es guiado y 100% digital. Este protocolo disminuye el tiempo total de tratamiento, reduce el margen de error humano y permite que el tallado del esmalte sea mínimo (similar al grosor de un cabello). Por tanto, las carillas mínimamente invasivas requieren muy poca o ninguna preparación del diente antes de su colocación. Esto significa que el esmalte dental no se altera significativamente, lo que las convierte en una opción menos agresiva para el diente.
Carillas de zirconio
Opción de alta gama para aquellos que buscan la máxima estética y resistencia. El zirconio es un material cerámico extremadamente duradero y translúcido, que imita la apariencia de los dientes naturales de manera excepcional. Estas carillas son altamente resistentes a las manchas y ofrecen resultados duraderos. Son recomendadas para personas con bruxismo o desgaste dental.
Tabla comparativa de tipos de carillas dentales
| Tipo de Carilla | Material | Durabilidad | Estética | Precio | Ventajas | Desventajas |
|---|---|---|---|---|---|---|
| Composite | Resina compuesta | 5-7 años | Buena | Más económico | Colocación rápida, reparación sencilla | Menos duradero, susceptible a manchas |
| Porcelana | Cerámica | 10-15 años | Excelente | Más caro | Aspecto natural, resistente a manchas | Requiere tallado dental, proceso más largo |
| Disilicato de Litio | Cerámica de disilicato de litio | 10-15 años | Excelente | Más caro | Alta resistencia, mínimo tallado | Proceso de laboratorio |
| Zirconio | Cerámica de óxido de zirconio | 15-20 años | Muy buena | Alto | Máxima resistencia, ideal para bruxismo | Puede ser más opaco que la porcelana |
Procedimiento para colocar las carillas dentales
Dado que existen distintos tipos de carillas dentales, cada una de ellas sigue un protocolo de colocación específico. Sin embargo, todas comparten los principales pasos del proceso.
- Estudio bucodental completo: consta de una exploración oral y la realización de radiografías (panorámicas y periapicales) y fotografías (intraorales y extraorales).
- Preparación de los dientes: con algunas carillas hay que realizar una mínima reducción del esmalte dental. Este paso suele ser necesario en las carillas de porcelana, pero no en las de composite.
- Toma de impresiones: tras preparar los dientes, en el caso de que haya que hacerlo, se toman medidas de los mismos para confeccionar las carillas de manera personalizada.
- Fabricación de las carillas: la confección puede realizarse directamente en la clínica dental (en el caso de las de composite) o encargarse al laboratorio (en el caso de las de disilicato de litio).
- Colocación de las carillas: en función del proceso de confección, la técnica de colocación también varía. Las carillas de composite se crean directamente sobre el diente, en una sesión en la clínica dental. En cambio, las carillas mínimamente invasivas (disilicato de litio) se fabrican en el laboratorio y posteriormente se colocan en la clínica dental.
Consideraciones importantes antes de elegir carillas
A la hora de elegir un tipo de carillas u otro es necesario acudir a la clínica y que sea el odontólogo quien aconseje el tipo de carilla más conveniente, en función de las necesidades de cada paciente.
- Mordida borde a borde: en este tipo de mordida, los dientes superiores chocan directamente contra los inferiores cuando la persona cierra la boca. Es decir, los dientes superiores no quedan por delante de los inferiores, como ocurre en una oclusión correcta. La mordida borde a borde, por tanto, provoca que las carillas se rompan y se caigan. En estas situaciones, al igual que en otros casos de maloclusión, será necesario recurrir a la ortodoncia antes de colocar las carillas.
- Bruxismo que no recibe tratamiento: algo parecido sucede con el hábito de apretar y/o rechinar los dientes. Los pacientes con bruxismo tienden a presentar grandes desgastes en sus piezas dentales, lo que las debilita y hace más propensas a fracturas. Por ell... En Dental Care Barcelona, tu clínica dental de confianza en el centro del Eixample de Barcelona, sabemos que una sonrisa saludable es fundamental para tu bienestar y confianza.
- Coloraciones muy intensas: Como es el caso de manchas por tetraciclinas en un grado muy severo, en este caso la solucion pasa por tallar el diente mas de lo requiere una carilla y colocar coronas, es decir cubrir el diente por todas sus caras.
- Hábitos que danan tus dientes.
- Enfermedades gingivales y periodontales.
- Bruxismo severo o apretar los dientes inconscientemente durante la noche y/o dia.
- Ausencia o esmalte pobre o dañado (hipoplasia).
- Apiñamientos moderados y grandes.
- Relaciones intermaxilares desfavorables, es decir, una diferencia entre la anchura del maxilar superior y el maxilar inferior que hacen que no muerdas correctamente (mordida cruzada, sobremordida).
- Pacientes con mal estado general, enfermedades crónicas avanzadas, malignas o descompensadas.
Precios de las carillas dentales
El precio de las carillas puede variar en función del material, la cantidad de dientes tratados y la complejidad del caso.
- 6 carillas: Pago único 1.107€
- 8 carillas: Pago único 1.396€
- 10 carillas: Pago único 1.671€
Además, contamos con planes de financiación para facilitar el acceso a los tratamientos.