Como odontólogo, quiero compartir mi experiencia profesional sobre las coronas de zirconio y su precio en España. Si estás buscando información sobre este tratamiento, es probable que tu dentista te lo haya recomendado o que tengas curiosidad sobre sus costos y beneficios. En este artículo, exploraremos a fondo las coronas de zirconio, desde qué son y cuándo se recomiendan, hasta sus ventajas, desventajas y el precio que puedes esperar en España.

¿Qué es una Corona Dental de Zirconio?
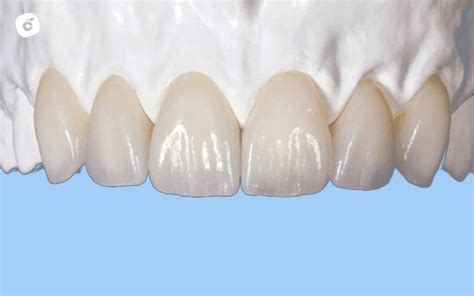
Una corona dental de zirconio es, básicamente, una "fundita" hecha a medida para cubrir completamente un diente dañado o restaurarlo. Cuando un diente natural está muy debilitado (por caries extensa, fracturas, desgaste, etc.), lo tallamos ligeramente y lo cubrimos con una corona que imita la forma y color del diente original. En el caso de las coronas de zirconio, el material utilizado es el óxido de zirconio, una cerámica muy resistente y de color blanco translúcido.
En otras palabras, la corona de zirconio actúa como un casco protector que envuelve todo el diente, devolviéndole su función (masticar sin molestias) y su estética (volver a lucir como un diente sano). A veces también escucharás que la llaman "funda dental de zirconio": es exactamente lo mismo, solo otro modo de referirse a la corona.
¿Cuándo se Recomienda una Corona de Zirconio?
Existen diversas situaciones en las que una corona de zirconio puede ser la mejor opción para restaurar tu sonrisa:
- Diente muy dañado o roto: Si un diente se ha fracturado de forma importante o tiene una caries tan grande que un simple empaste no sería suficiente, una corona de zirconio puede salvarlo. Por ejemplo, tras una endodoncia (tratamiento de conducto para remover el nervio) es habitual colocar una corona para proteger el diente debilitado. En este caso, podemos elegir zirconio para lograr resistencia y buena estética.
- Mejorar la estética de un diente: Cuando un diente está muy decolorado, desgastado o con una forma anómala, y no se puede arreglar solo con empastes estéticos o carillas, cubrirlo con una corona de zirconio le devuelve un aspecto natural. Las coronas de zirconio son translúcidas y se pueden ajustar en color, por lo que resultan ideales en dientes frontales que requieren alta estética.
- Rehabilitar un diente con un implante: Si perdiste una pieza dental y te han colocado un implante dental (un tornillo de titanio en el hueso), la parte visible que va atornillada encima del implante también suele ser una corona. Hoy en día, es muy frecuente usar coronas de zirconio sobre implantes para conseguir un resultado fuerte y estético. En mi experiencia, combinar un implante con una corona de zirconio proporciona un resultado casi indistinguible de un diente natural vecino.
Ten en cuenta que un implante y una corona son cosas distintas: el implante sustituye la raíz que falta, mientras la corona de zirconio es la "nueva pieza" que ves en la boca.
En resumen, recomiendo una corona de zirconio cuando busco durabilidad y estética a la vez.
Corona Dental vs. Implante Dental: ¿Cuál es la Diferencia?
Esta es una duda común que escucho de mis pacientes, así que permíteme aclararla brevemente. Una corona dental (ya sea de zirconio u otro material) es una cobertura que colocamos sobre un diente natural que aún tienes, cuando ese diente lo requiere por las razones antes mencionadas. En cambio, un implante dental es un sustituto artificial de la raíz cuando ya no hay diente (porque se perdió o fue extraído). Sobre ese implante, para completar el trabajo, se coloca igualmente una corona. Es decir, a veces trabajan en conjunto: primero va el implante (en el hueso) y luego encima va una corona (que suele ser de porcelana o zirconio) para restaurar la parte visible.

Corona (izquierda) e Implante (derecha)
Ventajas de las Coronas de Zirconio
Como odontólogo, he trabajado con distintos tipos de materiales para coronas a lo largo de los años. El zirconio ofrece una serie de ventajas significativas:
- Estética muy natural: El zirconio es un material blanco y translúcido que imita muy bien al esmalte dental. La corona de zirconio refleja la luz de forma similar a un diente real, logrando que pase desapercibida. En personas exigentes con la estética, esta es una gran ventaja.
- Alta resistencia y durabilidad: Una corona de zirconio es extremadamente resistente a la fractura y al desgaste. Puede soportar la fuerza de la masticación diaria incluso en las muelas (dientes posteriores) que reciben más presión. Por eso, combinan lo mejor de dos mundos: son tan fuertes como las coronas metálicas tradicionales pero tan estéticas como las de porcelana. Sus molares pueden ejercer una sorprendente cantidad de fuerza al masticar, por lo que su corona debe poder resistir este desgaste diario. El metal tampoco es propenso a agrietarse o astillarse, por lo que tiene la resistencia y durabilidad que necesita para hacer todo lo que necesitan sus dientes.
- Biocompatibilidad: El zirconio es un material biocompatible, lo que significa que es bien tolerado por el organismo. No es metal en el sentido tradicional (es una cerámica especial), por lo que no provoca alergias ni reacciones adversas en personas sensibles a metales. El zirconio dental es absolutamente compatible con el organismo humano. Además, como resultado, es muy poco probable que el zirconio cause una reacción alérgica, incluso si usted tiene alergia al metal. Su composición libre de metales lo convierte en una opción segura para personas con alergias conocidas a materiales metálicos.
- Versatilidad de uso: Podemos utilizar coronas de zirconio en casi cualquier situación: desde restaurar un premolar o molar muy destruido, hasta reemplazar un incisivo central en la zona estética, o sobre un implante dental. En todos estos casos, el zirconio cumple con la función y la apariencia requerida. Dado que las coronas de zirconio son duraderas y de aspecto natural, son lo suficientemente versátiles como para colocarlas en cualquier diente que deba protegerse con una corona.
- Resistencia a las manchas: Además de ser increíblemente fuertes y duraderas, las coronas de zirconio también son resistentes a las manchas.
- Longevidad: La fuerza, durabilidad, resistencia a la temperatura y resistencia a las manchas de las coronas de zirconio trabajan juntas para brindarles una longevidad impresionante. Cuando se cuida adecuadamente, su corona de zirconio debería durar entre 10 y 15 años, ¡aunque tiene el potencial de durar incluso más! Las coronas de zirconio instaladas sobre implantes dentales pueden durar entre 15 y 25 años con el mantenimiento adecuado. Su longevidad depende de factores como la higiene oral del paciente, los controles periódicos con el dentista, y los hábitos alimentarios. El zirconio es un material extremadamente resistente al desgaste y a las fracturas, lo que contribuye significativamente a su durabilidad superior comparada con otros materiales protésicos.
Desventajas de las Coronas de Zirconio
A pesar de sus numerosas ventajas, las coronas de zirconio también tienen algunas desventajas que debes considerar:
- Precio más elevado: El principal "pero" de las coronas de zirconio suele ser su costo, que es mayor en comparación con otros materiales más convencionales. El zirconio en sí mismo y el proceso de fabricación (mecanizado por CAD/CAM, etc.) encarecen el producto final. Por eso, algunos pacientes dudan debido al precio. La única desventaja de la corona de óxido de zirconio es el cuesto más alto en comparación con las de metal-cerámica o de cerámica pura (véase los precios de las coronas dentales).
- Requiere equipamiento y técnica especializada: Desde el punto de vista profesional, trabajar con zirconio implica contar con laboratorios o sistemas de fresado modernos y técnicos protésicos especializados. Para ti como paciente esto no es un "contra" directo, pero sí significa que debes buscar una clínica de confianza que tenga experiencia colocando coronas de zirconio. Elija una clínica dental de confianza, que tenga preferiblemente su propio laboratorio dental.
- Ligeramente menos translúcida que la porcelana pura: Aunque las coronas de zirconio actuales tienen muy buena estética, te seré sincero: las coronas 100% de porcelana (por ejemplo, de disilicato de litio tipo e.max) pueden ofrecer un nivel de translucidez incluso más natural en ciertos casos, especialmente en dientes delanteros muy exigentes. La diferencia es sutil, un ojo no entrenado ni lo nota, pero yo como dentista lo menciono. Sin embargo, esas coronas de porcelana pura son más frágiles; por eso muchas veces preferimos el zirconio, sacrificando un poquito de translucidez a cambio de mucha más resistencia.
En general, las ventajas del zirconio superan con creces sus desventajas cuando se indica apropiadamente. Por eso suelo recomendarlo mucho.
TRATAMIENTO PASO a PASO con CORONAS DE ZIRCONIO para NO tener problemas en el futuro del tratamiento
¿Cuánto Cuesta una Corona de Zirconio en España?
Vale, entremos de lleno en la gran pregunta: el precio. Es normal que quieras saber cuánto deberías presupuestar para una corona de zirconio. En España, una corona de zirconio suele costar aproximadamente entre 300 y 600 euros por diente. En mi experiencia, la mayoría de pacientes entran dentro de este rango por corona de zirconio en clínicas privadas. Este rango depende de muchos factores (materiales, técnicas, ciudad, etc., que ahora detallaremos).
Por supuesto, ten en cuenta que estos son valores por cada corona. Quiero destacar que este precio suele incluir todo el proceso de la corona: prepararla, tomar medidas, la fabricación en laboratorio y la cementación final, incluso la corona provisional de resina que se coloca mientras se hace la definitiva.
¿Por Qué Esa Horquilla de 300 a 600 €? ¿De Dónde Sale la Diferencia?
La variación en el precio de las coronas de zirconio se debe a varios factores:
- Complejidad del caso y tratamientos previos: Antes de colocar la corona, a veces el diente requiere otros procedimientos. Si el diente está muy destruido, puede que necesite una reconstrucción con perno o un refuerzo interno; si el nervio está dañado, habrá que hacer una endodoncia previa; si directamente no hay diente y vamos a colocar un implante, eso es un procedimiento aparte. Cada paso adicional (cirugías, endodoncia, postes, etc.) tiene su coste independiente de la corona en sí. Por ejemplo, una corona de zirconio sobre un implante dental suele ser más cara que sobre un diente natural, porque hay que añadir el precio del implante en sí y del componente que une implante y corona (pilar protésico). La situación del diente/implante sobre el cual se fija la corona.
- Material exacto y tecnología utilizada: Dentro de las coronas de zirconio, existen variaciones. Puede ser zirconio monolítico (tallado de un bloque sólido, muy resistente) o zirconio con recubrimiento de porcelana encima (para dar un extra de estética en frontales). También hay distintas marcas y calidades de zirconio dental. Esto puede hacer variar un poco el precio de laboratorio. Asimismo, si la clínica cuenta con tecnología CAD/CAM para diseñar y fresar la corona en el día, puede repercutir en el coste (aunque a veces se compensa porque ahorras visitas).
- Ubicación geográfica y prestigio de la clínica: El precio de los tratamientos odontológicos puede cambiar según la ciudad o región. En grandes ciudades como Madrid o Barcelona, los honorarios suelen ser un poco más altos que en localidades pequeñas, debido a costes operativos mayores. También influye el prestigio y experiencia del profesional o la clínica: un especialista muy reconocido o una clínica de mucha trayectoria a veces tienen tarifas algo más elevadas (aunque a cambio ofrecen gran calidad, tecnología puntera y garantías).
- Seguros dentales o convenios: ¿Tienes un seguro dental privado? Esto puede marcar la diferencia en el precio final que pagues. Algunos seguros dentales en España cubren parcialmente el coste de las coronas o tienen tarifas especiales concertadas con clínicas asociadas. Por ejemplo, he visto aseguradoras donde el paciente paga entre 300 y 350 € por una corona de zirconio si va a un dentista de su cuadro, en lugar de los ~450 € tarifa estándar sin seguro. Cada póliza es un mundo: conviene que consultes a tu aseguradora si tienes este beneficio. La Seguridad Social, por otro lado, no cubre coronas dentales en adultos en la mayoría de casos, ya que considera estos tratamientos como parte de la odontología privada (salvo situaciones muy excepcionales).
- Número de piezas a tratar y promociones: A veces, las clínicas ofrecen algún descuento si necesitas varias coronas de golpe, o paquetes cerrados si formas parte de algún plan dental. No es que el precio por unidad baje drásticamente, pero es posible obtener facilidades de pago. Por ejemplo, en nuestra clínica solemos ofrecer financiación sin intereses cuando el tratamiento es costoso, para que el paciente pueda pagarlo en varios meses.
En conclusión, el precio de tu corona de zirconio dependerá de tu caso particular. Mi consejo es que acudas a una consulta (muchas veces la primera cita valorativa es gratuita o de bajo costo) y pidas un presupuesto personalizado. Así verás exactamente qué incluye, si necesitas tratamientos adicionales, y podrás valorar calidad/precio.
Coronas de Zirconio vs. Otras Opciones: ¿Cuál Elegir?
En el mercado existen diferentes tipos de coronas según su material de fabricación. Cada una tiene sus indicaciones, ventajas y rangos de precio.
| Tipo de Corona | Ventajas | Desventajas | Precio Aproximado (España) |
|---|---|---|---|
| Metal-Porcelana | Muy resistentes, más económicas que zirconio. | El metal puede comprometer la estética, posible borde gris en la encía. | 250 - 450 € |
| Porcelana Pura | Mejor estética posible, translucidez natural. | Más frágiles, no se recomiendan para muelas. | 350 - 700 € |
| Metálica | Sumamente duraderas, desgastan menos el diente opuesto. | Estética nula, se ven doradas o plateadas. | 100-150 € (metal no noble), 700-1000 €+ (oro) |
| Resina/Acrílica (Provisional) | Costo muy bajo, fabricación rápida. | Poca resistencia, se desgastan y pigmentan fácilmente. | 30-50 € |
| Zirconio | Excelente estética, alta resistencia, biocompatibles, versátiles. | Precio más elevado, requieren técnica especializada, ligeramente menos translúcidas que la porcelana pura. | 300 - 600 € |
Como ves, la corona de zirconio se sitúa entre las opciones más modernas y balanceadas: ofrece mejor estética que la metal-porcelana y casi igual de buena que la porcelana pura, con una resistencia superior a la porcelana y cercana a la del metal. Es un poco más cara que la metal-porcelana, sí, pero bastante más accesible que una corona de oro puro (y mucho más bonita). Por estas razones, muchos dentistas (incluyéndome) consideramos que el zirconio es la mejor elección calidad-precio para coronas actualmente en la mayoría de casos.
¿Cómo se Coloca una Corona de Zirconio?
Permíteme ahora guiarte por el proceso típico de colocación de una corona de zirconio, para que sepas qué esperar. Colocar una corona suele requerir dos visitas principales a la clínica (a veces tres, dependiendo de ajustes, o una sola si la clínica dispone de sistemas de coronas en el día).
Primera visita - Preparación del diente:
Lo primero es asegurarnos de que el diente esté limpio de caries o infecciones. Si necesitaba una endodoncia, se hace antes o durante esta fase. Después, te aplico anestesia local en la zona (¡tranquilo, no sentirás dolor durante el procedimiento!) y procedo a tallar el diente. Tallar significa reducir un poco su tamaño y darle forma cilíndrica, eliminando la parte dañada, para hacer espacio a la corona. Tomo mucha precisión en este paso: el objetivo es dejar un "muñón" de diente de cierta forma, sobre el cual encajará la futura corona de zirconio como un guante. Si el diente estuviera muy destruido,...
Muchos pacientes a causa del nombre, creen que la corona está realizada completamente en zirconio. Pero, en realidad, solo la parte interna está hecha de ese material, sin embargo la parte externa está realizada en cerámica.

En la odontología moderna, el zirconio se ha posicionado como uno de los materiales más innovadores y vanguardistas. Su dureza, resistencia, color blanco y aspecto translúcido lo convierten en una opción muy recomendable para la elaboración de prótesis dentales de alta calidad.
En Dental Estudio ofrecemos diferentes tratamientos de implantes incluyendo el zirconio, no solo en Santa Cruz sino además con nuestros implantólogos en San Isidro, nuestros implantes en La Victoria, también nuestros implantes en Puerto Santiago y los implantes en San Cristobal de La Laguna.
Si quieres conocer más sobre los implantes de zirconio o deseas una valoración personalizada, no dudes en contactarnos. En Tenerife, Dental Estudio te ofrece la tecnología y el expertise necesario para lograr unos resultados naturales y duraderos.