Si alguna vez te has preguntado qué es una arcada dental, este artículo te proporcionará una visión completa de esta estructura esencial en la salud bucal. La arcada dental, también conocida como arco dental, es mucho más que la simple "dentadura". Es la base sobre la cual se alinean y mantienen los dientes en las mandíbulas superior e inferior.

¿Qué es una Arcada Dental?
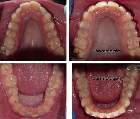
La arcada dental es el espacio que ocupan tus dientes en sus posiciones naturales. Es una estructura dentaria anatómica dispuesta sobre las arcadas dentales. En odontología, el término "arco dental" se utiliza tanto de manera anatómica como para referirse a un instrumento de higiene que ayuda a limpiar los espacios interdentales con hilo dental. Cada persona posee dos arcos: uno en el maxilar superior y otro en el mandibular inferior.
La arcada dental humana está formada por 32 dientes permanentes en los adultos, distribuidos de manera simétrica en la parte izquierda y derecha de la boca. Los arcos dentales son una estructura anatómica natural de la boca y funcionan como soportes y alineadores. Son la base en la cual los dientes están dispuestos e incrustados, de modo que este los mantenga siempre alineados en su respectiva posición.
Componentes de la Arcada Dental
El arco dental se compone de tres importantes partes: maxilar superior e inferior y las filas de dientes.
- Maxilar Superior e Inferior: Los maxilares son las estructuras óseas que sirven de soporte principal para todo el sistema dental; el maxilar superior no posee movilidad, mientras que el inferior sí y es el que conocemos como mandíbula.
- Dientes Anteriores: Son los caninos y los incisivos. Existen dos pares de incisivos y un par de caninos para cada maxilar, el superior y el inferior.
- Dientes Posteriores: Se trata de los molares y los premolares, conocidos como muelas. Estos se utilizan para triturar y moler los alimentos una vez que han sido cortados por los dientes posteriores. Los molares son esenciales para triturar y descomponer los alimentos en partículas más pequeñas, mientras que los premolares ayudan tanto en el desgarramiento como en la trituración.
Arcada Superior vs. Arcada Inferior
Si te fijas en un esquema anatómico de la boca, verás que los dientes se disponen en dos «arcos»: el superior y el inferior, cada uno con características particulares.
- Arcada dental superior: Se refiere a la fila de dientes que están sujetos al hueso maxilar, o la parte superior de la mandíbula. Está anclada al hueso maxilar y tiene una forma más amplia y ovalada. Esta arcada tiende a tener una forma más amplia y ovalada en comparación con la inferior. Al ser más grande, es la encargada de cubrir ligeramente la arcada inferior al morder, asegurando una oclusión adecuada. Esta disposición permite que cubra ligeramente a la arcada inferior al morder, facilitando una oclusión adecuada.
- Arcada dental inferior: En este caso, los dientes están alojados en la mandíbula inferior, un hueso móvil que participa activamente en la masticación y el habla. Situada en la mandíbula, que es la parte móvil del sistema, la arcada inferior tiene una forma más curva y estrecha. La arcada dental inferior suele tener una forma más estrecha y curva que la superior. Al ser móvil, es la que interactúa con la arcada superior durante la masticación, facilitando que los dientes trabajen en conjunto para triturar los alimentos.
Funciones de la Arcada Dental
La arcada dental tiene varias funciones importantes.
- Masticar los alimentos: Los dientes de ambas arcadas trabajan juntos para triturar los alimentos de manera eficaz. Gracias a que los arcos mantienen a los dientes fuertemente unidos a la mandíbula, podemos masticar, desgarrar y cortar los alimentos adecuadamente, sin que los dientes se desprendan de su lugar. La masticación es el primer estadio del proceso digestivo. Cuando hay una maloclusión entre ambos arcos, los alimentos tienden a tragarse parcialmente masticados, ya que el hacerlo es difícil o provoca dolor.
- Hablar correctamente: Los dientes juegan un papel crucial en la pronunciación de ciertas palabras. La posición de nuestros dientes en la boca es parte fundamental de la cantidad de sonidos que usamos para comunicarnos. Si estos estuvieran dispuestos de otra manera, no podríamos pronunciar algunas palabras o acciones, como silbar.
- Estabilidad y soporte facial: Las arcadas dentales ayudan a mantener la estructura del rostro. Las arcadas dentales mantienen la estructura facial.
Tipos de Arcadas Dentales
Aunque todos tenemos una arcada dental, la forma exacta de esta puede variar entre las personas. No todas las arcadas son iguales; cada persona puede tener una forma de arcada distinta.
- Arcada ovalada: Es la forma más común y se caracteriza por un arco suave y equilibrado.
- Arcada cuadrada: Esta forma es más angulosa, y los dientes delanteros tienden a estar alineados en línea recta. Tiene un contorno más recto, ya veces los dientes frontales están en una línea recta.
- Arcada triangular: En este tipo de arcada, la parte delantera es más estrecha y los dientes tienden a converger hacia adelante.

La Oclusión y su Importancia
La oclusión se refiere a la forma en que los dientes de la arcada dental superior e inferior se encajan entre sí al morder. Tener una buena oclusión es vital, ya que evita problemas como el desgaste desigual, el dolor mandibular y las dificultades para masticar. Una buena oclusión implica que los dientes superiores cubren ligeramente a los inferiores cuando se cierra la boca, y que no haya un contacto excesivo o inadecuado entre ellos.
Sin embargo, no todas las personas tienen una oclusión perfecta. La maloclusión es una condición donde ambos arcos, el superior y el inferior, no encajen correctamente al cerrar la boca y al morder. Por lo general, las maloclusiones van acompañadas de dientes desalineados a lo largo del arco dental, que no siguen su posición correcta. Una maloclusión puede afectar negativamente la estética de la sonrisa y la estructura facial.
Problemas Comunes de Oclusión
- Sobremordida: Ocurre cuando la arcada dental superior cubre en exceso a la inferior.
- Mordida abierta: Se produce cuando los dientes anteriores no llegan a tocarse al morder.
- Apiñamiento dental: Cuando la arcada dental no tiene suficiente espacio para acomodar todos los dientes, se produce el apiñamiento.
Los tipos de Arcos en Ortodoncia Correctiva: ¿Cuál usar y cuáles son sus diferencias?
Arcos de Ortodoncia: La Parte Activa del Tratamiento
Los “arcos de ortodoncia” son los elementos que unen los brackets entre sí. Se consideran la parte activa del aparato ya que, sin su uso, los dientes no se moverían. Los brackets pueden ser visibles, como los metálicos, o estéticos como los de cerámica que son translúcidos o transparentes y se pegan a la superficie exterior de los dientes tomando su color. Es una ortodoncia formada por la combinación de brackets, elementos metálicos o cerámicos pegados a los dientes y de arcos de metal que los atraviesan.
La función de los arcos de ortodoncia no es otra que la de ejercer la fuerza necesaria para mover los dientes a la posición óptima: almacenan energía, la cual se libera en forma de estímulos que afectan al ligamento periodontal. ¿Esto qué provoca? Para que el arco de ortodoncia realice su función, es necesario que el ajuste sea perfecto. En este sentido, existen diferentes clases, las cuales están definidas por la sección transversal, composición, grosor y material, entre otros aspectos.

La arcada clínica es la forma que se traza mediante los slots del aparato dental. Viene determinada por el tipo de arco que utilices y puede modificar la arcada anatómica del paciente.
- Estrecha: se caracteriza porque la anchura intercanina es menor.
- Cuadrada: esta, por su parte, se recomienda a pacientes con arcadas amplias, que precisen de un enderezamiento de los segmentos inferiores y posteriores.
- Ovoide: la ovoide es la forma de arcada más utilizada.
¡El grosor también es determinante en los tipos de arcos de ortodoncia! ¿Cuál es la secuencia de arcos de ortodoncia que suele seguirse? Por lo general, en este tipo de tratamiento odontológico, primero se comienza con arcos flexibles finos y, posteriormente, se usa una secuencia de arcos más gruesos. Lo normal es comenzar con calibres más finos, ya que las fuerzas que producen son más ligeras. El material empleado es otro de los factores que influyen en el desempeño del arco. Usualmente se usan aleaciones de metales como los que te explicamos a continuación.
Tipos de Materiales en Arcos de Ortodoncia
- Acero inoxidable: los arcos de tipo rígido suelen estar fabricados en este material. Cabe destacar que, al ser rígidos, estos arcos no se flexionan cuando se ejerce fuerza sobre ellos, sino que quedan deformados.
- Níquel Titanio (Ni-Ti): se trata del material más usado en ortodoncia actualmente debido a sus sorprendentes propiedades. Otra de sus cualidades es su capacidad de volver a su forma original; es lo que se conoce como un material con memoria. ¿Sabías que la NASA lo usa en ciertos componentes para viajar a Marte? ¡Increíble! Dentro de esta aleación cabe destacar los NiTi Reverse, con una aleación de alta calidad que presenta una curva inversa.
- TMA (Beta Titanio): no lleva níquel, por lo que es una estupenda opción para aquellos de tus pacientes que sean alérgicos a este material.
Tipos de Arcos de Ortodoncia
- Arcos estéticos: Existe una línea estética disponible tanto en NiTi como en acero inoxidable. Estos arcos se pintan o recubren de un material que hace que se camuflen con los dientes y los brackets.
- Arcos linguales: Estos consisten en un alambre de acero de entre 0,6 y 1 mm de grosor que se sitúa en la parte interior de los dientes de la arcada inferior. A su vez, pueden ser fijos o no. Los fijos llevan una sujeción que se realiza soldando en los molares; los removibles se insertan en un cajetín hecho con un material acrílico. Este tipo de arcos tienen diversas aplicaciones, aunque no siempre es posible su colocación.
Salud Bucodental y las Arcadas Dentales
Comprender qué tipo de arcada dental tienes, así como la forma en que los dientes están alineados, es crucial para mantener una buena salud bucodental. No mantener una adecuada higiene oral puede derivar en problemas como la sensibilidad dental, caries, enfermedad de las encías, entre otros. Fumar puede producirnos complicaciones en nuestra salud bucal, desde manchas y mal aliento, hasta enfermedades de las encías. El exceso de alimentos azucarados en nuestra dieta puede ocasionar una proliferación más abundante y rápida de caries.
Durante el tratamiento de ortodoncia, es fundamental prestar una especial atención a la salud bucodental, realizando un correcto cepillado de los dientes y aparatos con productos específicos para portadores de ortodoncia. Es esencial acudir a revisiones periódicas con el odontólogo para prevenir problemas dentales y mantener una salud bucal óptima.
Acortamiento de la Arcada Dentaria (AAD)
El AAD puede definirse como la presencia de una región anterior intacta pero con un número reducido de parejas oclusales de piezas posteriores. Una arcada dentaria corta no necesariamente implica una reducción de la capacidad masticatoria. La mayoría de los pacientes se quejan de dificultades en la masticación cuando no existen o solamente existen dos pares de premolares oclusales.

Los estudios sobre la eficacia del tratamiento protésico desafían los conceptos terapéuticos destinados a sustituir los dientes posteriores. Un estudio que comparó los resultados de la entrevista en pacientes con y sin restauraciones dentales concluyó que «parece que apenas existe una necesidad sociofuncional para sustituir los dientes posteriores perdidos por prótesis parciales removibles hasta que la persona presenta menos de 3 unidades funcionales posteriores».
Tipos de Brackets Utilizados en Ortodoncia
Los brackets son un elemento clave en algunos aparatos de ortodoncia utilizados para alinear las piezas dentales del paciente. Técnicamente, el término «bracket» se corresponde con cada una de las piezas sujetadas por un arco de metal que se adhiere a la superficie frontal o trasera del diente. El arco metálico es la parte activa del aparato, la que realmente ejerce la fuerza necesaria para empujar los dientes a la posición que deben ocupar.
Existen diversos tipos de brackets:
- Brackets Tradicionales: Son los brackets tradicionales, los que más uso han tenido a lo largo de los últimos años gracias a su eficacia para corregir defectos y maloclusiones.
- Brackets Estéticos: Este tipo de ortodoncia también se coloca en la parte frontal de los dientes, pero suele pasar desapercibida porque está hecha de materiales como la cerámica, la resina o el zafiro.
- Brackets Linguales: Hablamos de una ortodoncia invisible a la vista, ya que se coloca en la parte interior de los dientes.
- Brackets Autoligables: A diferencia de los brackets convencionales, los brackets autoligables utilizan un mecanismo de clip que sujeta el arco no siendo necesarias las ligaduras y por tanto generan menos fricción dentro de la dentadura.
Beneficios de la Ortodoncia
La ortodoncia ofrece múltiples beneficios:
- Eliminan apiñamientos y alinean los dientes, lo que facilita la higiene en la zona de la dentadura.
- Mejoran la masticación, eliminando las molestias asociadas con problemas de mordida.
- Reducen problemas periodontales.
- Reducen las lesiones musculares y articulares de la boca. Está comprobado que los dientes mal alineados provocan dolores articulares y tensiones en el cuello que podrían resolverse con una ortodoncia adecuada.
- Evitan el desgaste dental, especialmente a partir de cierta edad en la que los dientes comienzan a erosionarse, haciendo que unas piezas dentales trabajen más que otras.
Fases de un Tratamiento de Ortodoncia
En general, las fases de un tratamiento de ortodoncia son similares con independencia del tipo de brackets que se utilice.
- Fase de estudio: La primera fase comienza cuando el paciente acude al centro de odontología, donde se detectan una serie de problemas que pueden ser corregidos mediante la colocación de unos brackets. Para ello, se realizarán una serie de pruebas diagnósticas, como una radiografía de la boca o un escáner intraoral.
- Fase activa: En esta fase, comienza con la colocación de los brackets y el arco.
- Corrección de la mordida: En primer lugar es necesario corregir la mordida, además de encajar los molares en la posición correcta.
- Cierre de los espacios dentales: Tras el movimiento de los dientes, la separación entre ellos puede ser algo mayor.
- Acabado y personalización: En esta fase, el paciente acude de manera regular a su dentista para determinar si los dientes ya están en la posición correcta.
- Retirada de los brackets: Es la última fase del tratamiento, y se produce sólo en el momento en el que todos los objetivos anteriores se hayan alcanzado.
Conclusión
Comprender la estructura y función de las arcadas dentales es fundamental para mantener una buena salud bucal. Desde la correcta oclusión hasta la elección adecuada de arcos de ortodoncia, cada detalle contribuye a una sonrisa sana y funcional. No dudes en consultar a tu odontólogo para evaluar y cuidar tus arcadas dentales.