¿Has vuelto a sentir dolor en una muela o diente tratado con endodoncia después de varios meses? Aunque no es lo habitual, puede suceder. Un diente tratado con endodoncia no debería doler de forma continua después de su recuperación inicial. Si las molestias aparecen al cabo de unos meses, es señal de que algo puede estar fallando en el tratamiento o que existe una nueva infección. Aunque durante el tratamiento de endodoncia dental se elimina el nervio del diente, el dolor puede aparecer por la inflamación de los tejidos que rodean la raíz, como el ligamento periodontal o el hueso.

Lo más común es que, tras el tratamiento dental, el dolor desaparezca en unos días o semanas. Sin embargo, cuando las molestias regresan o persisten pasado un tiempo, es necesario investigar la causa. El dolor puede manifestarse como sensibilidad al masticar, presión o incluso dolor punzante.
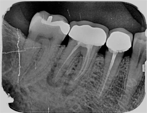
¿Por qué puede doler una muela con endodoncia después de meses?
Existen diversas razones por las que una muela con endodoncia puede doler después de meses:
- Conductos adicionales no tratados: Algunos dientes, especialmente molares, tienen conductos muy finos o difíciles de detectar.
- Abscesos o granulomas: Son acumulaciones de pus o tejido inflamado que se forman alrededor de la raíz si la infección persiste.
El objetivo del tratamiento endodóntico es eliminar la infección que ha afectado al nervio y conservar el diente sin dolor. Si esto no se logra en un tiempo razonable, estamos ante un tratamiento fallido. Además, es posible que los síntomas se manifiesten incluso años después del tratamiento. Un diagnóstico claro solo puede establecerlo tu dentista mediante exámenes complementarios como radiografías, pruebas de sensibilidad y estudios clínicos.
Complicaciones de una endodoncia
Un tratamiento de conducto o endodoncia, es un procedimiento odontológico bastante común hoy día. Pero, como en toda intervención, hay cierta posibilidad de que surjan complicaciones en una endodoncia. Es por ello que aquí te enseñaremos qué tipo de problemas puede surgir en una endodoncia, y cuáles son sus síntomas. De esta manera podrás identificar algún problema luego del tratamiento y acudir al especialista a tiempo.
Según ciertos informes, el 90% de las endodoncias se realizan sin ningún tipo de complicación. Lo anterior significa que este tratamiento tiene un índice alto de éxito. Pero, aunque es una intervención segura y con posibilidades muy bajas de riesgo, sigue siendo muy importante que conozcas los problemas que pueden generar una endodoncia mal hecha.
Posibles complicaciones y sus causas
- Prolongación del dolor: Esta es la complicación más común en una endodoncia, y esto generalmente sucede cuando quedan conductos del diente sin sellar. Es por ello que, si el dolor continúa luego del tratamiento, será necesaria una nueva exploración de la pieza dental para determinar si existe otro conducto que aún no se ha tratado.
- Sellado corto de los conductos: En caso de que el dentista realice un sellado corto o incompleto de las raíces, existen altas posibilidades de que el tratamiento fracase. Ya que, posteriormente, las bacterias podrán entrar desde el final de la raíz y esto ocasiona nuevamente una infección.
- Perforación radicular: Esto puede surgir mientras se hace la endodoncia y se endurece la búsqueda de conductos radiculares. Generalmente, el especialista utiliza un material denominado MTA, para sellar la grieta provocada. En la mayoría de casos la evolución suele ser favorable, aunque se recomienda vigilar en los meses siguientes la endodoncia.
- Inyección accidental de antiséptico en los tejidos perirradiculares: Aunque esta es una complicación poco frecuente, el especialista que aún utilice NaCi como antiséptico, debe realizar un lavando abundantemente los tejidos bucales. Es caso de que esté utilizando Clorhexidina como antiséptico, no existe ningún problema, ya que este líquido no es tóxico.
- Fractura dental: Es importante saber que los dientes con endodoncias tienen más probabilidad de fractura, puesto que quedan más debilitados una vez vaciado y sellado el conducto del nervio. En caso de que el diente se vuelva más rígido -y por ello, más propenso a sufrir fracturas- , la recomendación del especialista es colocar una corona de porcelana para protegerlos.
- Fractura de instrumento: Durante una endodoncia es posible que alguno de los instrumentos con los que se realiza la intervención se rompa y parte del mismo quede dentro del conducto de la raíz. En este caso, el especialista debe tratar de extraer el material con un instrumento más fino y volver a limpiar el conducto. Claro, este inconveniente es muy poco visto, sobre todo si acude a un especialista con experiencia, buena formación, y que emplea materiales de primera calidad.
Síntomas de una endodoncia mal realizada
Puedes presentar las siguientes afecciones después de una endodoncia mal realizada:
- Dolor de la pieza dental tras el proceso endodóntico.
- Dolor al rozar o tocar la zona donde se ha realizado la endodoncia.
- Inflamación de la encía cercana al diente tratado.
- Sensibilidad y/o dolor al masticar.
¿Puede dolerte un diente que ya tiene Endodoncia? "Diente Sin Nervio"
¿Qué hago si surgen complicaciones en una endodoncia?
Aunque este tratamiento es bastante seguro, si es posible que surjan problemas durante o después del tratamiento. Cómo pudiste ver, algunas de esas complicaciones tienen un riesgo relativamente bajo, en parte porque se pueden solucionar durante el procedimiento. Sin embargo, en caso de que presentes alguno de los síntomas o afecciones mencionadas en las líneas anteriores, debes acudir al especialista lo más pronto posible.
Cuando un diente empieza a doler de forma persistente, muchas personas lo ignoran o lo alivian con analgésicos sin saber que el problema puede estar en el nervio dental. Ahí es donde entra en juego la endodoncia, un tratamiento que no solo alivia el dolor, sino que puede evitar la pérdida de la pieza dental. Pero ¿qué pasa si se pospone demasiado? Posponer una endodoncia puede transformar un tratamiento sencillo en un problema complejo. Ignorar una endodoncia necesaria no es solo cuestión de dolor.
Consecuencias de posponer una endodoncia
- Pérdida del diente: Si el daño al diente es demasiado profundo o la estructura queda debilitada, no se podrá conservar.
- Infecciones: Una infección dental puede extenderse a los tejidos vecinos, generar abscesos o incluso alcanzar otras partes del cuerpo a través del torrente sanguíneo. En casos extremos, puede derivar en cuadros clínicos serios como la celulitis facial o incluso la sepsis.
- Costos más altos: Aplazar lo inevitable casi siempre sale más caro. Evitar una endodoncia por miedo o desinformación es una de las principales razones por las que muchas personas pierden dientes que podrían haberse salvado.
Hoy en día, este tratamiento es seguro, no duele gracias a la anestesia local y se realiza con técnicas muy precisas. Si notas molestias, lo mejor que puedes hacer es acudir cuanto antes a tu dentista de confianza. Una detección temprana puede marcar la diferencia entre conservar tu diente o perderlo para siempre.
¿Qué hacer ante una endodoncia fracasada?
Ante una endodoncia fracasada, lo más importante es actuar con rapidez para evitar complicaciones mayores como infecciones periapicales o sinusitis maxilares. En IDIM, ofrecemos soluciones y opciones de tratamiento que pueden ayudarte a recuperar la salud bucodental.
- Evaluación profesional: El primer paso que debes seguir si sospechas que tu endodoncia ha fracasado es pedir cita con un dentista con experiencia en endodoncia o en cirugía bucal para evaluar la situación.
- Tratamiento de reendodoncia: En algunos casos, se puede intentar hacer un retratamiento del conducto radicular para corregir cualquier problema del tratamiento inicial e intentar salvar el diente. Es un procedimiento más complejo que la endodoncia inicial, ya que pueden quedar restos de material, haber conductos obstruidos o lesiones periapicales.
- Cirugía periapical: Si no es posible realizar el retratamiento o no funciona, la cirugía periapical es la única alternativa para evitar extraer el diente. Suele ser la solución más eficaz cuando hay una lesión localizada, el diente tiene una restauración que no se puede retirar sin dañarlo o cuando el canal está bloqueado.
- Extracción e implante dental: En los casos donde resulta imposible salvar el diente, porque no es posible hacer reendodoncia o una cirugía periapical, la solución será extraerlo y colocar un implante dental en su lugar. Un implante es una solución segura y duradera que permite recuperar tanto la función estética como masticatoria del diente perdido.

Recomendaciones importantes
- Consulta inmediata con el dentista: No ignores el dolor.
- Medicación controlada: No tomes antibióticos o analgésicos sin receta.
- Higiene dental rigurosa: Mantener una buena limpieza bucal evita nuevas infecciones.
Ante cualquier molestia o dolor persistente tras una endodoncia, lo más importante es acudir a una clínica dental para recibir un diagnóstico certero y personalizado.