Una capa de suciedad en tus dientes puede indicar que tienes sarro. ¿Últimamente has notado manchas amarillas o marrones en tus dientes que parecen imposibles de eliminar con el cepillado regular? Si es así, lo más probable es que estés lidiando con sarro.
No subestimes al sarro porque es un enemigo silencioso de la salud bucodental y recuerda que la prevención es clave. El sarro dental, también conocido como cálculo, es un depósito duro de color amarillento o marrón que se forma en los dientes.
Está formado por partículas de comida, bacterias y otros microbios que se quedan atascados en nuestra boca y acaban calcificándose (endureciéndose). El sarro dental puede provocar la acumulación de placa y la enfermedad de las encías si no se trata.
El sarro, a veces denominado cálculo o tártaro dental, es la placa que se ha endurecido en los dientes debido al depósito de minerales. Consiste básicamente en la calcificación de la placa bacteriana, o placa dental. Al sarro dental también se le denomina “tártaro” o “cálculo dental”.
Como hemos comentado, el sarro se forma cuando la placa bacteriana se mezcla con saliva y restos de comida y se endurece. El sarro no sólo amenaza la salud de dientes y encías, también es un problema estético. Al ser más poroso, absorbe fácilmente las manchas.

Tipos de Sarro dental
El sarro es un depósito mineral duro en los dientes que puede provocar enfermedades de las encías y caries si no se trata. Se presenta en dos formas: el sarro supragingival, que se forma por encima de la línea de las encías, y el sarro subgingival, que reside por debajo de la línea de las encías.
Ambos deben ser eliminados cuidadosamente con herramientas de limpieza profesionales por un dentista o higienista cualificado. El sarro dental, no es más que la acumulación de placa bacteriana en nuestros dientes y encías. Es decir, es la mineralización y calcificación de la placa dental, a la que se irán adhiriendo bacterias orales y otras sustancias, como la saliva o el calcio, formando una capa dura y amarillenta.
¿Qué causa el sarro en los dientes?
La razón principal de la acumulación de sarro dental es una mala higiene bucal. Así pues, la principal causa de la aparición del sarro es una mala higiene bucodental. La principal causa del sarro en los dientes y encías es la falta de higiene oral. Otra causa de la aparición del sarro es la malposición de los dientes.
Cuando las partículas de comida se quedan en los dientes después de comer, pueden quedar atrapadas entre ellos y, segundos después, se convierten en un material endurecido y calcificado. El sarro dental está formado por minerales como el fósforo, el calcio y el magnesio que provienen de tu saliva y de otras fuentes.
Cuando la saliva entra en contacto con las partículas de comida de los dientes, ayuda a convertirlas en sarro. Además de la higiene, tiene que ver con el pH de la saliva. Cuando las personas tienen altos niveles de acidez, son propensas a las caries.
Y si la saliva tiene un pH más bajo, es más probable que desarrolle sarro. Las personas que tienen saliva con un pH más ácido son más propensas a las caries porque contribuye a debilitar el esmalte. Como hemos mencionado, el sarro es el endurecimiento de la placa dental, esta es una película incolora y pegajosa, formada por bacterias, proteínas y azúcares que se forma y adhiere sobre los dientes y muelas.
Otros alimentos que hacen que se forme más placa y se oscurezcan son el vino, el café y el té negro. Aunque la dieta no es el único factor que contribuye a la formación de sarro, ciertos alimentos y bebidas pueden promover su desarrollo al favorecer la acumulación de placa.

Otras causas que favorecen esta problemática es el mantenimiento inadecuado de sistemas de ortodoncia fijos o de las prótesis dentales. La principal causa de la formación de sarro es una higiene oral inadecuada. El consumo excesivo de alimentos y bebidas azucaradas puede acelerar que se genere la placa. Fumar o vapear no solo mancha los dientes, sino que también favorece la formación de sarro.
La genética también puede desempeñar un papel en la formación del sarro dental. Si tienes antecedentes familiares de acumulación de sarro, puedes ser más propenso a contraerlo tú mismo. Además, algunos medicamentos pueden provocar sequedad en la boca, lo que puede conducir a una mayor acumulación de sarro.
Como saber si uno tiene sarro dental
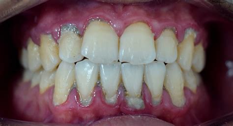
Lo primero es lo primero: mírate en el espejo. Si ves manchas descoloridas en tus dientes delanteros que no parecen desaparecer con el cepillado, puede ser un signo de sarro dental. El sarro dental tiene el aspecto de manchas amarillentas o vetas de color marrón oscuro a lo largo de la línea de las encías o en cualquier zona donde se acumulen partículas de comida.
Otra forma de saber si tienes sarro dental es palpar alrededor de los dientes con la lengua. El sarro dental se sentirá áspero y abrasivo, a diferencia de una superficie lisa cuando no tienes sarro.
La tercera forma de detectar el sarro dental es acudir a tu dentista para que te haga un examen profesional. El sarro dental puede ser difícil de ver, pero los dentistas tienen herramientas especiales que les permiten detectarlo fácilmente. A diferencia de la placa que es una película incolora, el sarro presenta minerales siendo fácilmente visible si se localiza por encima de la línea de las encías. El indicador de sarro más común es observar un color marrón o amarillento en los dientes o encías.
Un síntoma que ayuda a saber si tienes sarro en tus dientes, incluso si no está en la parte visible, es la halitosis o mal aliento. El sarro dental nunca debe ignorarse, así que si crees que puedes tenerlo, no dudes en visitar a tu dentista.
¿Cómo eliminar sarro dental?
La primera forma de eliminar el sarro es mediante buenos hábitos de higiene bucal, como cepillarse los dientes y usar el hilo dental con regularidad. Cepillarse los dientes dos veces al día durante dos minutos cada vez debería ayudar a aflojar la acumulación de placa para que no se convierta en depósitos más duros de sarro.

Usar el hilo dental al menos una vez al día ayuda a eliminar las partículas de comida y la placa de entre los dientes, que puede convertirse en sarro si no se limpia. Si el cepillado regular y el uso del hilo dental no parecen funcionar, hay otras formas de eliminar el sarro dental.
Las limpiezas dentales profesionales son vitales para eliminar la placa y el sarro. Las limpiezas profesionales dos veces al año con tu dentista o higienista pueden reducir significativamente la acumulación de sarro. La placa bacteriana que se endurece convirtiéndose en sarro no puede eliminarse con el cepillo de dientes. Por lo tanto, también es necesario que visite a su odontólogo o higienista dental para limpiezas y revisiones.
Durante estas visitas, tu profesional dental utilizará instrumentos especiales para eliminar el sarro que haya por encima y por debajo de la línea de las encías y que puedas haber pasado por alto durante el cuidado en casa. A diferencia de la placa bacteriana que se puede eliminar en casa, el sarro dental no puede eliminarse con un cepillado de dientes. Para eliminar el sarro en los dientes, utilizamos un tratamiento profesional llamado tartrectomía o raspado radicular.
En primer lugar, el dentista hará uso de la punta de ultrasonidos para eliminar los depósitos de cálculo. Posteriormente, el higienista empleará la seda dental, pasándola por todas las superficies de las piezas. Además, aplicará tiras de pulir y la pasta de profilaxis, que eliminarán cualquier mancha superficial.
Si el paciente presentase más resistencias, el odontólogo utilizará un aeropulidor con spray de bicarbonato. La profilaxis es un proceso totalmente indoloro para el paciente, que no requiere de anestesia. No obstante, en ocasiones, una profilaxis puede no ser suficiente para eliminar todo el sarro dental, especialmente si se acumula debajo de la línea de la encía. En estos casos, la persona podría padecer periodontitis.
Raspado y alisado radicular
En algunos casos, tu dentista puede recomendar también un procedimiento llamado raspado y alisado radicular. Durante este proceso, se elimina el sarro de la superficie de los dientes y de debajo de la línea de las encías. Este tratamiento ayuda a reducir la inflamación y puede contribuir a mejorar la salud de las encías en las personas con una grave acumulación de placa o sarro.
En el caso de depósitos de sarro persistentes que no desaparecen con la limpieza habitual, tu dentista puede utilizar la tecnología láser para eliminarlos. Los láseres son muy precisos, por lo que pueden dirigirse sólo a la zona afectada sin dañar ninguna de las estructuras dentales sanas.
Independientemente del tipo de eliminación de sarro que elijas, es importante mantener unos buenos hábitos de higiene bucal para evitar que se formen nuevos depósitos en los dientes. Además, los eliminadores de sarro de venta libre, como los enjuagues bucales y los dentífricos, pueden ayudar a mantener a raya los depósitos duros de sarro.
Remedios caseros para tratar el sarro dental
Hay algunos remedios caseros de eficacia probada que seguramente te ayudarán a eliminar el molesto sarro dental en poco tiempo. Uno de los tratamientos más comunes para el sarro dental es la pasta de bicarbonato de sodio, que disuelve los depósitos en los dientes y ayuda a eliminarlos sin tener que utilizar ningún producto químico fuerte.
Para hacer esta pasta, sólo tienes que mezclar una cucharadita de bicarbonato de sodio con agua caliente hasta formar una pasta espesa. A continuación, cepíllate los dientes con la mezcla durante dos minutos antes de enjuagarte bien la boca con la mezcla.
Si la pasta de bicarbonato de sodio no es suficiente, entonces puedes probar a utilizar vinagre de sidra de manzana. Este remedio natural es ácido y puede ayudar a romper los depósitos de los dientes, ayudando a eliminarlos fácilmente.
Sólo tienes que mezclar partes iguales de vinagre de sidra de manzana y agua en una taza, y luego utilizarlo como enjuague bucal durante dos minutos cada día, más o menos. Recuerda que no debes tragar esta mezcla. En 1 ⁄ 4 de vaso de agua procedes a disolver 4 cucharadas de vinagre de manzana, con el que te cepillarás tus dientes. Antes de hacer uso de este producto, es imprescindible verificar que sea de origen natural y no a base de petróleo.
Por último, si todo lo demás falla, siempre puedes probar el oil pulling con aceite de coco. Para este remedio casero, basta con hacer buches con aceite de coco en la boca durante unos 15-20 minutos por sesión. El aceite ayuda a eliminar las bacterias y la placa que quedan en los dientes y las encías, a la vez que los fortalece en el.
Sea cual sea el remedio que decidas probar, es importante recordar que ninguno sustituye a una higiene dental adecuada y a las revisiones periódicas con tu dentista. Así que asegúrate de cepillarte los dientes dos veces al día y de usar el hilo dental a diario, además de utilizar cualquiera de estos remedios caseros para el sarro dental.
BLANQUEAR LOS DIENTES CON BICARBONATO 🦷✨ ¿Es bueno este remedio casero?

Consecuencias de no tratar el sarro dental
Si eres una de las muchas personas que piensan que el sarro dental no es más que una molestia, piénsalo bien. El sarro dental puede causar multitud de problemas si no se trata, y es importante saber cómo puede afectar a tu salud bucal el hecho de ignorarlo.
En primer lugar, cuanto más tiempo dejes que el sarro dental permanezca en tu boca, más bacterias se acumularán a su alrededor. Estas bacterias pueden causar diversas enfermedades de las encías, como la gingivitis y la periodontitis, que son afecciones graves que pueden provocar dolor o incluso la pérdida de los dientes. No sólo eso, sino que los estudios también han relacionado el sarro dental no tratado con otros problemas sistémicos, como las enfermedades cardíacas y la diabetes.
Además, cuando la placa (la sustancia que acaba por endurecerse y convertirse en sarro) se deja en los dientes, puede empezar a corroer el esmalte. Esto provoca la decoloración de los dientes e incluso caries. El sarro dental también atrapa partículas de comida entre los dientes, lo que provoca mal aliento y un sabor desagradable en la boca.
Además de problemas estéticos, que pueden ocasionar baja autoestima por tener los dientes amarillentos, la acumulación de sarro dental provoca problemas de salud bucodental a medio y largo plazo.
- Gingivitis: la gingivitis es una enfermedad en la que se irritan e inflaman las encías, causando un gran daño a los tejidos blandos dentro de la cavidad bucal. Dicha inflamación viene acompañada de sangrado y edema sin llegar al desgaste del hueso. Esta enfermedad es atacable por medio de un tratamiento periodontal básico, el cual va dirigido a desinflamar la zona. Además, produce una gran sensibilidad que dificulta llevar a cabo actividades tan rutinarias como comer o beber.
- Periodontitis: podría considerarse como una de las peores consecuencias de la acumulación de sarro. la acumulación del sarro bajo las encías, produce sangrado y debilidad absoluta ocasionando pérdidas de inserción. Esta enfermedad pone en peligro la salud de la boca en general. Puede causar el aflojamiento de los dientes.
- Caries: son una de las consecuencias más comunes de la acumulación de sarro. El problema de las caries es que pueden ser muy perjudiciales si no se tratan enseguida.
- Halitosis: Un síntoma que ayuda a saber si tienes sarro en tus dientes, incluso si no está en la parte visible, es la halitosis o mal aliento.
- Problemas digestivos: se producen a causa de la infección que al tragar pasa por el tracto digestivo.
¿Qué es el sarro dental negro?
Puede que hayas oído hablar de la frase "diente de negro", pero ¿sabías que en realidad puede estar causada por el sarro dental negro? El sarro dental es una forma de placa endurecida que se acumula en los dientes y puede causar decoloración.
Suele ser de color marrón o amarillo, pero en algunos casos puede volverse negro debido a ciertos factores, como tener una alta concentración de hierro en la saliva. El hierro presente en la saliva se une a ciertas bacterias que producen la pigmentación oscura.
Este tipo de acumulación de placa puede aparecer en otras partes de los dientes, pero suele afectar a las muelas y afortunadamente, el sarro dental negro puede tratarse con una higiene bucal adecuada y una limpieza profesional por parte de un dentista.
El cepillado regular y el uso del hilo dental son esenciales para eliminar la acumulación de placa en los dientes. Además, utilizar un enjuague bucal antiséptico o una pasta de dientes como parte de tu rutina diaria puede ayudar a prevenir la aparición de este problema.
Tu dentista también puede recomendar el raspado y el alisado radicular, que es un procedimiento utilizado para eliminar los depósitos endurecidos de la superficie de los dientes. El raspado consiste en eliminar la placa con instrumentos especiales, mientras que el alisado radicular alisa las zonas ásperas de la superficie de la raíz que son propensas a acumular bacterias. Esto ayuda a detener la propagación de las bacterias y previene una mayor decoloración.
Como prevenir el sarro dental
Si bien el sarro no se elimina con una buena higiene mental, sí se previene con esta. Es imprescindible realizar un buen cepillado de los dientes, al menos durante un tiempo de 5 minutos. Los cepillos eléctricos tienen mayor efectividad de limpieza que los cepillos manuales.
Asimismo, se aconseja el uso del hilo dental o cepillos interproximales, así como un enjuague bucal para reforzar la eficacia de la limpieza oral. Lo recomendable es acudir al dentista al menos una o dos veces al año para hacerse una limpieza completa de los dientes y un examen oral. Estos son algunos de los consejos para prevenir el sarro dental.
Pero no te preocupes: ¡es relativamente fácil de eliminar! Todo lo que necesitas es cepillarte los dientes y utilizar hilo dental correctamente, además de limpiezas profesionales periódicas en el dentista. Si quieres saber si te cepillas los dientes de forma correcta, visita esta guía:¿Cómo evitar errores al cepillarte los dientes? Así que, aunque el sarro dental pueda parecer intimidante, con un poco de cuidado no tiene por qué serlo.
Para ello, lo ideal es cepillarse los dientes después de cada comida, con un mínimo de dos veces al día. Pero debe hacerse de forma correcta y concienzudamente, sin olvidarnos del hilo dental o cepillos interproximales. Para ello, solemos aconsejar dividir la boca en cuatro sectores: dos arriba y dos abajo.
También es importante limpiar la lengua, pues en ella se acumula gran cantidad de bacterias. Para limpiarla, hay que cepillarla varias veces desde la parte más interna hasta la punta.
Lavarnos los dientes cada vez que comamos, y como mínimo tres veces al día. Usar hilo dental o cepillos interdentales para eliminar restos entre los dientes, donde no llega el cepillo. Utilizar dentífricos y colutorios con flúor, ya que ayuda a evitar que la placa dental se endurezca y se transforme en sarro. Intentar no picar cosas dulces o beber zumos y refrescos entre horas.
Cepillado de los dientes: Todo comienza por el cepillado, por lo que saltarse el cuidado personal solo dificultará su capacidad de prevenir la enfermedad periodontal y la caries. La bacteria se acumulará más rápidamente si no se cepilla con regularidad. Recomendamos cepillarse los dientes con un cepillo de dientes de cerdas suaves al menos dos veces al día. Preste especial atención a la placa que se acumula alrededor de las encías. Reemplace su cepillo de dientes o el cabezal de su cepillo de dientes a menudo.
Hilo dental: La limpieza interdental es imprescindible una vez al día. Ya que el cepillo de dientes no llega a toda la comida y bacterias entre los dientes, el uso del hilo dental o enjuague para llegar a estas áreas de difícil alcance, ayuda a combatir la enfermedad periodontal y las caries. El mejor momento para limpiar los espacios entre los dientes es antes de ir a dormir para que la boca albergue menos bacteria durante ese tiempo. Si prefiere hacerlo por la mañana, también es buen momento. Aunque el uso de hilo dental es la manera usual de limpiar entre los dientes, a algunas personas les resulta raro.
Limpiezas profesionales regulares: La placa bacteriana que se endurece convirtiéndose en sarro no puede eliminarse con el cepillo de dientes. Por lo tanto, también es necesario que visite a su odontólogo o higienista dental para limpiezas y revisiones.
Alimentación saludable: Cuando reduce su ingesta de carbohidratos, en especial los azúcares, está reduciendo la habilidad de las bacterias de producir ácidos que pueden causar caries y enfermedad periodontal. Es importante llevar una dieta saludable y variada. Reemplace los aperitivos y bebidas azucaradas por queso, yogur u otras alternativas no azucaradas.
La adecuada alimentación también influye en la salud bucal. No hay nada mejor que poder sonreír con naturalidad y tranquilidad con una dentadura libre de suciedad o manchas.
